Trám răng khi nào ăn được? Đây là thắc mắc phổ biến của nhiều người khi có ý định trám răng để khắc phục các tổn thương như sâu răng, mẻ vỡ, nứt răng, mòn răng hay cải thiện khe hở và màu sắc răng.
Thông thường, sau khi trám răng, bác sĩ sẽ dặn dò khách hàng cần đợi một khoảng thời gian nhất định trước khi ăn uống. Thời gian kiêng cữ sẽ phụ thuộc vào loại vật liệu trám mà bạn lựa chọn.
Trám răng khi nào ăn được?
Tùy theo vật liệu trám, thời gian ăn nhai trở lại sẽ khác nhau:
1. Trám răng Amalgam:
Với vật liệu Amalgam (trám bạc), khách hàng cần chờ ít nhất 24 giờ sau khi trám để vật liệu đông cứng hoàn toàn. Nếu ăn uống sớm, miếng trám có thể bị vỡ hoặc bong tróc.
2. Trám răng Composite:
Với trám Composite, khách hàng chỉ cần đợi khoảng 2 tiếng là có thể ăn uống bình thường. Đây là vật liệu được ưa chuộng hiện nay nhờ màu sắc tự nhiên và độ bền khá tốt.

Trám răng Composite được đánh giá cao về thẩm mỹ
3. Trám sứ Inlay/Onlay:
Với trám sứ Inlay/Onlay, khách hàng có thể ăn uống ngay sau khi gắn miếng trám. Tuy nhiên nên hạn chế thức ăn quá cứng hoặc dai để tránh gây nứt vỡ miếng trám.

Trám răng công nghệ laser giúp miếng trám nhanh kết dính và bền chắc hơn
Những lưu ý sau khi trám răng
Sau khi trám răng, để đảm bảo độ bền và thẩm mỹ của miếng trám, bạn cần lưu ý:
- Tránh ăn thực phẩm quá nóng hoặc quá lạnh ngay sau khi trám.
- Ưu tiên ăn thức ăn mềm trong 24 – 48 giờ đầu.
- Ăn chậm, nhai nhẹ nhàng, tránh cắn trực tiếp vào miếng trám mới.
- Hạn chế thực phẩm có màu, nhiều đường, axit và nước ngọt có gas.
- Đánh răng 2 lần/ngày với bàn chải lông mềm, không chải mạnh tại vùng mới trám.

Tránh sử dụng thức ăn và đồ uống nóng hoặc lạnh sau khi trám răng
Những trường hợp cần thực hiện trám răng
Trám răng là phương pháp phục hình được chỉ định trong các trường hợp:
1. Trám răng sâu:
Lỗ sâu nhỏ ở men răng hoặc ngà răng sẽ được làm sạch và trám lại để ngăn vi khuẩn phát triển.

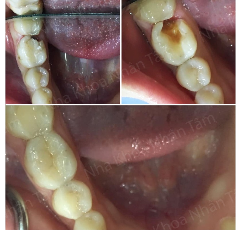
Trám răng tại Nha khoa Nhân Tâm
Xem thêm: Hình ảnh trám răng và quy trình trám răng thẩm mỹ
2. Trám răng bị mòn:
Răng bị mòn cổ chân răng hay mòn mặt nhai cần trám để bảo vệ tủy và hạn chế ê buốt.
3. Trám răng thưa:
Với khe hở răng nhỏ, trám thẩm mỹ giúp đóng kín kẽ răng, cải thiện nụ cười.
4. Trám răng nứt, mẻ:
Những vết nứt, mẻ nhỏ sẽ được trám lại để bảo vệ răng khỏi vi khuẩn.

Trám răng mẻ
5. Trám ngừa sâu răng:
Trám bít hố rãnh giúp ngăn ngừa sâu răng ở các răng hàm.
Nếu bạn đang băn khoăn về trám răng khi nào ăn được hay lựa chọn phương pháp phù hợp, hãy liên hệ ngay Nha khoa Nhân Tâm qua số 1900 56 5678 hoặc đăng ký tư vấn trực tuyến để được hỗ trợ.



