Niềng răng mắc cài kim loại là loại mắc cài niềng răng cơ bản, được áp dụng đầu tiên trong lịch sử chỉnh nha. Mắc cài kim loại có thể được làm bằng vàng, bạc hay thép không gỉ đi cùng với các dây cung cao su có độ đàn hồi tốt, vừa có tác dụng giữ khung và định hình cấu trúc hàm, vừa có tác dụng tạo lực kéo dịch chuyển răng về vị trí mong muốn.
Ưu điểm của niềng răng mắc cài kim loại
Chi phí thấp
Niềng răng mắc cài kim loại là lựa chọn có chi phí thấp nhất trong các loại niềng răng, song chi phí có thể cao hơn nếu sử dụng mắc cài bằng vàng.
Chắc chắn và ổn định
Dây thun và các dây liên hợp có độ đàn hồi cao, giữ dây cung ổn định để đảm bảo quá trình niềng răng được diễn ra liên tục, giúp răng dần di chuyển về đúng vị trí như phác đồ điều trị đã đưa ra từ trước.
Tiết kiệm thời gian
Loại mắc cài niềng răng này được thiết kế mảnh nhỏ song siêu bền, có khả năng chịu lực tốt, lực kéo ổn định nên sẽ cho hiệu quả nhanh chóng, giúp bạn tiết kiệm thời gian tối đa.
Đa dạng lựa chọn
Hiện nay có rất nhiều lựa chọn về thiết kế cho niềng răng mắc cài kim loại. Dây cài có nhiều màu sắc đa dạng, thích hợp sử dụng cho trẻ em.

Hiện nay có rất nhiều lựa chọn về thiết kế cho niềng răng mắc cài kim loại
Nhược điểm của niềng răng mắc cài kim loại
Nhược điểm lớn nhất của phương pháp niềng răng mắc cài kim loại chính là chất liệu kim loại thép chống gỉ không có tính thẩm mỹ bằng mắc cài sứ, hay niềng răng trong suốt, niềng răng mặt trong có tính thẩm mỹ rất cao, thậm chí nếu không để ý kỹ thì người đối diện sẽ không biết bạn đang niềng răng. Với những người đề cao thẩm mỹ hay công việc đòi hỏi phải giao tiếp nhiều thường cân nhắc về vấn đề này.
Ảnh hưởng đến hoạt động thể chất
Nếu khách hàng là vận động viên hoặc làm những công việc cần nhiều hoạt động thể chất, các khí cụ niềng răng có thể gây tổn thương cho khách hàng.
Bất tiện trong quá trình ăn uống
Khách hàng cần phải hạn chế thức ăn dẻo, có độ dính như kẹo dẻo dính vào khí cụ niềng răng vì sẽ khiến việc vệ sinh trở nên khó khăn; các thức ăn cứng thì có thể làm bung, sút khí cụ niềng răng rất nguy hiểm.
Xem thêm: Niềng răng hô 1 hàm giá bao nhiêu?
Kim loại niềng răng có thể gây kích ứng nướu răng và má
Một số khách hàng có thể bị dị ứng với một số kim loại và không thể sử dụng mắc cài làm từ hợp kim thường này.
Hy vọng những chia sẻ về ưu - nhược điểm của niềng răng mắc cài kim loại trên có thể giúp bạn lựa chọn được phương pháp chỉnh nha phù hợp nhất cho mình. Để đảm bảo hiệu quả chỉnh nha đúng như mong muốn thì việc tìm đúng nha khoa uy tín, chất lượng là rất quan trọng. Với đội ngũ y bác sĩ giỏi, trang thiết bị hỗ trợ hiện đại, phương pháp niềng răng tiên tiến, Nha khoa Nhân Tâm chính là một trong những trung tâm nha khoa được nhiều khách hàng lựa chọn và được giới chuyên môn đánh giá cao.


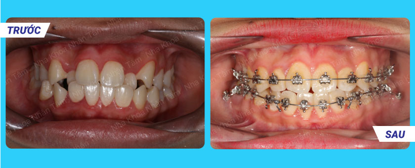
Khách hàng niềng răng tại Nha khoa Nhân Tâm
Nếu còn bất kỳ thắc mắc nào cần giải đáp về phương pháp niềng răng mắc cài kim loại nói riêng và các vấn đề về nha khoa nói chung, hãy liên hệ ngay đến Nha khoa Nhân Tâm để được các chuyên gia tư vấn chi tiết và hoàn toàn miễn phí.
*Chụp phim X-Quang hoặc phim 3 chiều CT Cone Beam là một bước quan trọng trong quy trình điều trị phục hồi răng. Vì vậy Khách hàng sẽ được Bác sĩ của nha khoa Nhân Tâm chỉ định đến các cơ sở y tế đủ chức năng để thực hiện trước khi điều trị.




