Trám răng là kỹ thuật bổ sung men răng nhân tạo để khôi phục mô răng, cải thiện chức năng răng và làm răng tốt hơn một cách toàn diện cả về màu sắc và hình thể răng. Thông thường, bác sĩ nha khoa sẽ chỉ định trám răng cửa, răng hàm trong các trường hợp sâu răng nhẹ, răng thưa hở kẽ, răng sứt mẻ nhỏ hoặc trám thay thế vết trám cũ.
Các vật liệu trám răng hiện nay rất đa dạng về chất liệu, màu sắc và mức giá. Tùy vào tình trạng răng, nhu cầu sử dụng mà bạn có thể lựa chọn trám răng bằng Amalgam, Composite, kim loại quý, sứ hoặc chất liệu GIC. Hãy tham khảo ý kiến bác sĩ tại Nha khoa Nhân Tâm sau khi thăm khám để biết đâu là chất liệu phù hợp, mang lại hiệu quả cao nhất nhé.
Trám răng là gì?
Trám răng là kỹ thuật bổ sung men răng nhân tạo để khôi phục mô răng, cải thiện chức năng răng và làm răng tốt hơn một cách toàn diện cả về màu sắc và hình thể răng.
Trám răng được tiến hành với các mục đích:
- Điều trị và phòng ngừa các bệnh lý răng miệng: Bằng cách phủ men răng nhân tạo bên ngoài răng thật, trám răng có thể cách ly răng với những yếu tố gây hại như đường, axit từ thực phẩm, nhiệt độ, lực ăn nhai,…
- Cải thiện màu sắc răng: Bằng việc phủ một lớp men răng nhân tạo mỏng lên thân răng, các vết xỉn màu, ố vàng trên răng sẽ được che đi hiệu quả.
- Phục hồi hình thể răng: Nhờ được bổ sung men răng nhân tạo, các mô răng khuyết thiếu sẽ được bổ sung, từ đó khôi phục lại hình thể răng.

Kỹ thuật trám răng
Các trường hợp nên thực hiện trám răng
Trám răng mặc dù là kỹ thuật điều trị đơn giản, được sử dụng rộng rãi nhưng không phải trường hợp nào cũng thích hợp để trám răng bởi chúng còn tùy thuộc vào bệnh lý, mức độ tổn thương mà răng gặp phải. Thông thường, bác sĩ nha khoa sẽ chỉ định trám răng trong các trường hợp sau đây:
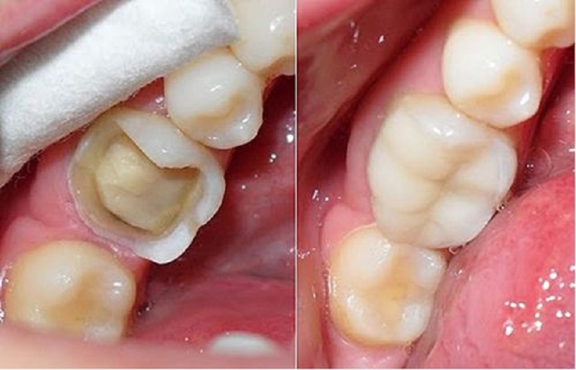
Răng bị sâu
Sâu răng là bệnh về răng rất phổ biến gây ra bởi vi khuẩn. Quá trình vệ sinh, chăm sóc răng không đúng cách sẽ khiến thức ăn thừa mắc lại trên răng, tạo điều kiện cho vi khuẩn sinh sôi và phá hủy răng. Lâu ngày men răng sẽ bị mòn dần và xuất hiện các lỗ sâu trên bề mặt.
Khi đó, kỹ thuật trám răng sâu sẽ giúp lấp kín các lỗ sâu, thu hẹp diện tích răng bị thương tổn và ngăn chặn sâu răng lan rộng sang các mô lành khác.
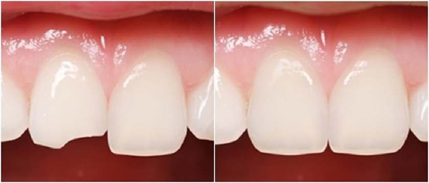
Răng bị mẻ

Trám răng phục răng bị sứt mẻ, gãy vỡ
Răng bị gãy vỡ, sứt mẻ do tai nạn, chấn thương, va đập mạnh sẽ gây tác động xấu tới chức năng ăn nhai. Trường hợp mẻ răng cửa còn làm mất đi nét đẹp thẩm mỹ. Bằng cách sử dụng các chất liệu chuyên dụng trong nha khoa khoa để trám răng cửa, trám răng hàm bị mẻ vỡ, những chiếc răng này sẽ được khôi phục lại hình dáng y như lúc đầu.
Tuy nhiên, biện pháp trám răng chỉ phù hợp với tình huống sứt mẻ, gãy vỡ ít còn với những người bị mẻ răng nhiều, lớn hơn 1/3 diện tích thân răng thì khắc phục bằng cách trám răng sẽ không mang lại hiệu quả cao. Miếng trám lúc này không chỉ thẩm mỹ không cao mà còn dễ bị bong tróc.
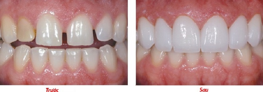
Răng thưa
Trường hợp khách hàng bị thưa răng, nhất là ở vị trí răng cửa thì vẫn có thể sử dụng các vật liệu hàn trám để lấp kín kẽ hở. Tuy nhiên, kỹ thuật trám răng cửa thưa cũng chỉ phù hợp với những khách hàng có răng thưa hở không quá 2mm.

Trám răng cửa khắc phục tình trạng răng thưa hở kẽ
Trám thay thế chỗ trám cũ
Hàn trám không phải là biện pháp có tuổi thọ vĩnh viễn. Sau khi sử dụng một thời gian dài, miếng trám sẽ bị mài mòn dần do tác động của quá trình nhai cắn thức ăn. Khi miếng trám bong ra, bạn sẽ cần thực hiện trám lại răng.
Các vật liệu trám răng thông dụng
Các vật liệu trám răng hiện nay rất đa dạng về chất liệu, màu sắc và mức giá. Mỗi loại lại có những ưu nhược điểm riêng biệt, cụ thể như sau:
Amalgam
Trám răng bằng Amalgam hay miếng trám bằng bạc là vật liệu trám răng đã được sử dụng từ rất lâu đời và cũng là vật liệu có mức giá thấp nhất trong các chất liệu hàn trám hiện đại ngày nay. Thành phần của loại vật liệu này bao gồm các kim loại như kẽm, bạc, thiếc, đồng và cả thủy ngân.

Sử dụng chất liệu Amalgam để trám răng
Ưu điểm:
- Độ bền chắc cao, tuổi thọ của miếng trám có thể lên tới 10 – 15 năm.
- Khả năng chịu lực ăn nhai tốt.
- Chi phí rẻ hơn các chất liệu trám răng khác.
Nhược điểm:
Thẩm mỹ không cao do màu sắc không tương đồng với răng thật.
Có nguy cơ ảnh hưởng đến sức khỏe do chứa thủy ngân trong thành phần.
Composite
Trám răng bằng Composite là biện pháp đem lại hiệu quả tốt, vẻ đẹp thẩm mỹ cao được áp dụng rất phổ biến tại các trung tâm nha khoa hiện nay.
Ưu điểm:
- Có màu sắc tương đồng với răng tự nhiên, có thể sử dụng để trám răng tại tất cả các vị trí, kể cả vị trí răng dễ nhìn thấy như các răng cửa.
- Khả năng chịu lực tốt, đảm bảo khả năng ăn nhai cho khách hàng.
- An toàn, lành tính, không gây kích ứng hoặc các tác động tiêu cực khác đến sức khỏe.

Trám răng bằng Composite là biện pháp được ứng dụng rất rộng rãi hiện nay
Nhược điểm:
- Độ bền của chất liệu Composite không cao như Amalgam, thông thường tuổi thọ của chất liệu này có thể duy trì trong 5 năm.
- Không mang lại hiệu quả cao khi sử dụng để trám răng sâu có kích cỡ lỗ sâu lớn.
Trám răng bằng Sứ
Một kỹ thuật trám răng khác cũng được rất nhiều khách hàng lựa chọn hiện nay là hàn trám răng bằng vật liệu sứ Inlay – Onlay. Đây cũng là biện pháp phù hợp để khắc phục các tình trạng răng nứt vỡ, sứt mẻ lớn cần phương pháp điều trị phức tạp hơn.
Ưu điểm:
- Có màu sắc tương tự với răng thật, đảm bảo thẩm mỹ tốt.
- Có khả năng chống ăn mòn và chống bám bẩn cao hơn so với chất liệu Composite.
- Tuổi thọ tương đối lâu dài, có thể lên đến 10 năm.
Nhược điểm:
- Chi phí thực hiện cao hơn trám răng bằng Composite và Amalgam.
Trám răng bằng vàng

Trám răng bằng vàng
Sử dụng chất liệu trám bằng vàng hoặc những kim loại quý khác như bạc hoặc đồng sẽ giúp tăng độ cứng chắc cho miếng trám.
Nhược điểm:
- Chi phí tương đối cao do giá thành của kim loại quý tương đối đắt.
- Khách hàng cần đến 2 lần hẹn tại nha khoa để hoàn thiện kỹ thuật này.
Chất liệu GIC
GIC là chữ viết tắt của cụm từ Glass Lonomer Cement, đây là chất liệu được sản xuất từ axit polyacrylic và fluoro aluminosilicate (một chất có trong thủy tinh).
Ưu điểm:
- Thành phần của chất liệu GIC có chứa fluor nên khi sử dụng để trám răng sâu sẽ giúp ngăn chặn tình trạng sâu răng tiến triển nặng hơn.
- Có khả năng bám chắc chắn lên răng và hạn chế tình trạng nứt vỡ miếng trám.
- Tuổi thọ lâu dài, có thể bền chắc tốt trong vòng 8 đến 10 năm.
Nhược điểm:
- Vẻ đẹp thẩm mỹ không cao do màu sắc của vật liệu không giống với màu răng tự nhiên.

Trám răng bằng chất liệu GIC
Như vậy, các loại chất liệu trám răng trên thị trường hiện nay tương đối đa dạng, mỗi loại lại có những điểm mạnh và điểm yếu riêng. Để nắm được loại vật liệu nào thích hợp nhất với tình trạng của mình, bạn nên đến trực tiếp các phòng khám nha khoa và trao đổi cụ thể với bác sĩ.
Quy trình trám răng tại nha khoa Nhân Tâm
Trám răng được biết đến là biện pháp khôi phục lại vẻ đẹp thẩm mỹ và khả năng ăn nhai cho những chiếc răng bị thương tổn. Mặc dù kỹ thuật này không quá phức tạp nhưng cũng cần tuân thủ đúng theo tiêu chuẩn nha khoa để bảo đảm sức khỏe răng miệng cũng như duy trì hiệu quả phục hình dài lâu.
Vậy nên, bạn cần chọn lựa đúng địa chỉ nha khoa uy tín như Nha khoa Nhân Tâm với đội ngũ y bác sĩ tay nghề cao và dày dặn kinh nghiệm để tiến hành quy trình trám răng an toàn.

Đội ngũ y bác sĩ tay nghề cao và dày dặn kinh nghiệm của Nha khoa Nhân Tâm
Quy trình trám răng trực tiếp
Quy trình trám răng trực tiếp tương đối đơn giản và thường chỉ mất một buổi hẹn tại nha khoa để hoàn thiện. Các bước trám răng trực tiếp bao gồm:
1. Khám tổng quát và tư vấn khách hàng
Trước tiên, bác sĩ sẽ tiến hành kiểm tra, chụp X – quang và đánh giá tình trạng răng cần trám. Từ đó xác định chính xác tình trạng bệnh lý, kích cỡ răng cần trám bít để tư vấn cho khách hàng những chất liệu phù hợp nên lựa chọn để việc phục hình răng đạt hiệu quả tốt và lấy lại vẻ đẹp thẩm mỹ, chức năng ăn nhai một cách tối đa.
2. Gây tê và làm sạch răng miệng
Bác sĩ sẽ tiến hành gây tê cục bộ tại khu vực răng cần trám bít. Đối với trường hợp trám răng sâu, vị trí sâu răng sẽ được vệ sinh sạch sẽ bằng các dụng cụ chuyên dụng trước khi tiến hành trám bít. Ngoài ra, khách hàng cũng sẽ được làm sạch khoang miệng bằng cách loại bỏ thức ăn thừa, mảng bám và vôi răng.
3. Trám bít răng

Trám bít răng và làm đông vật liệu trám bằng đèn chiếu Laser
Ở bước này, vật liệu hàn trám sẽ được đổ vào trong khoang trám hoặc lỗ sâu răng đã vệ sinh sạch sẽ trước đó. Lúc đầu, chất liệu trám răng tồn tại ở thể lỏng, sau khi có sự tác động của ánh sáng từ chiếu laser chúng sẽ đông cứng dần lại thông qua các phản ứng quang trùng hợp.
4. Chỉnh sửa miếng trám và kiểm tra khớp cắn
Khi vật liệu trám đã đông cứng trên răng, bác sĩ cần điều chỉnh lại miếng trám, loại bỏ lượng vật liệu trám dư thừa để khớp cắn được cân bằng, khách hàng không bị cộm vướng trong quá trình ăn nhai. Cuối cùng, bác sĩ sẽ mài phẳng bề mặt vết trám để răng trở nên nhẵn bóng hơn.
Quy trình trám răng gián tiếp
Trám răng gián tiếp chính là kỹ thuật trám răng bằng sứ Inlay – Onlay, đây là biện pháp trám răng hiện đại nhất ngày nay, giúp làm giảm khe hở giữa mô răng và miếng trám. Quy trình thực hiện cụ thể như sau:
1. Khám tổng quát và tư vấn khách hàng

Khách hàng có thể được chỉ định chụp X – quang răng nếu cần thiết
Trước tiên, bác sĩ sẽ chỉ định khách hàng chụp X – quang, đánh giá tình trạng răng cần trám, xác định kích cỡ sau đó thông báo rõ tình hình răng miệng cũng như kỹ thuật điều trị cụ thể cho khách hàng.
2. Gây tê cục bộ và làm sạch khu vực răng cần trám
Khách hàng sẽ được làm sạch các mảnh vụn từ thực phẩm, mảng bám, vôi răng đang bám trên răng. Tiếp theo, bác sĩ sẽ gây tê cục bộ tại khu vực răng cần trám bít. Trường hợp trám răng sâu, bác sĩ sẽ nạo sạch lỗ sâu bằng các dụng cụ chuyên dụng.
3. Lấy dấu hàm
Khi răng đã được làm sạch, các bác sĩ sẽ lấy dấu hàm của khách hàng để tại hình miếng trám đúng theo kích thước và hình dáng của lỗ hổng trên răng. Thường thì khách hàng sẽ được hẹn lịch tái khám sau một vài ngày để hoàn thiện quy trình trám răng.
4. Gắn cố định miếng trám

Gắn cố định miếng trám lên răng để hoàn thiện quy trình trám răng
Miếng trám sau khi hoàn thiện sẽ được gắn cố định lên răng thông qua vật liệu kết dính là xi măng nha khoa chuyên dụng.
Chi phí trám răng bao nhiêu tiền?
Giá trám răng bao nhiêu tiền trên thực tế sẽ chịu sự chi phối của vật liệu trám răng sử dụng cũng như tình trạng răng miệng của mỗi người. Để nắm rõ chi phí trám răng chính xác đối với tình trạng của bản thân, bạn nên tới các địa chỉ nha khoa uy tín để thăm khám và nhận tư vấn trực tiếp từ bác sĩ.
Giá trám răng tùy thuộc vào tình trạng răng miệng của khách hàng
Tùy theo mức độ bệnh lý, ha hại của răng: Sâu răng, răng vỡ mẻ ít hay nhiều mà mức độ phục hồi răng khác nhau. Điều này sẽ ảnh hưởng tới đáp án của câu hỏi trám răng bao nhiêu tiền.
Chi phí trám răng thay đổi theo chất liệu trám sử dụng

Chi phí trám răng thay đổi theo chất liệu trám sử dụng
Chất liệu trám răng được sử dụng cũng là một yếu tố quan trọng quyết định chi phí dịch vụ trám răng. Như đã đề cập ở phần trên, các vật liệu trám hiện nay rất đa dạng từ màu sắc, chất liệu tới mức giá như Amalgam, Composite, sứ, vàng, chất liệu GIC,… Tùy theo tình trạng răng miệng mà các bác sĩ sẽ tư vấn cho khách hàng loại chất liệu trám thích hợp.
Để chủ động trong việc khám và tiến hành trám răng, bạn nên tìm hiểu trước về các cơ sở nha khoa tốt, có uy tín, chất lượng cũng như bảng giá trám răng tại các trung tâm này để chuẩn bị tốt nhất về mặt kinh tế.
Bên cạnh yếu tố tình trạng răng và vật liệu trám, các trung tâm nha khoa khác nhau cũng sẽ có mức giá dịch vụ không giống nhau. Dưới đây là bảng giá trám răng cập nhật mới nhất tại Nha khoa Nhân Tâm, mời các bạn cùng theo dõi:
Các câu hỏi thường gặp về dịch vụ trám răng
Trám răng có cần phải diệt tủy răng không?
Trên thực tế, không phải trường hợp trám răng nào cũng cần lấy tủy. Nếu răng của khách hàng có những khuyết điểm nhỏ, răng thưa, hở kẽ, sâu răng nhẹ, chân răng bị mòn nhẹ thì không cần tiến hành điều trị tủy trước khi trám.
Tuy nhiên, nếu tủy răng đã bị ảnh hưởng do sâu răng tiến triển nặng thì bác sĩ sẽ chỉ định điều trị tủy trước khi trám. Lúc này, khách hàng sẽ được cạo vôi răng, điều trị tủy răng và sau đó trám lại răng để đưa răng về lại hình dáng cũ, bù đắp lại các mô răng đã mất để răng có tính thẩm mỹ hơn và ăn nhai bình thường trở lại.

Cần điều trị tủy trước khi trám nếu tủy răng đã bị viêm nhiễm
Trám răng có đau không?
Trường hợp khách hàng cần trám răng để khôi phục thẩm mỹ khi răng thưa, hở kẽ hay bị sứt mẻ, gãy vỡ ít thì bác sĩ chỉ tiến hành làm sạch khu vực răng cần chữa trị, đắp chất liệu trám lên răng và làm đông chúng lại là hoàn thiện. Các thao tác này không hề tác động hay xâm lấn đến cấu trúc răng nên bạn sẽ hoàn toàn không cảm thấy khó chịu, đau nhức gì trong suốt thời gian thực hiện.
Còn trong trường hợp răng bị sâu nặng, gãy vỡ lớn gây ảnh hưởng tới tủy răng, khách hàng cần phải điều trị tủy trước rồi mới tiến hành hàn trám răng được.
Trong thời gian điều trị tủy, cảm giác ê buốt và hơi nhói sẽ xuất hiện. Tuy nhiên, cảm giác này cũng không quá khó chịu và nặng nề vì trước đó bạn đã được gây tê cục bộ rồi.

Cảm giác ê buốt và hơi nhói có thể xuất hiện khi trám răng diệt tủy
Bên cạnh đó, trám răng có đau không còn tùy thuộc vào công nghệ điều trị áp dụng và tay nghề của đội ngũ y bác sĩ tại nha khoa. Bác sĩ có trình độ chuyên môn cao và kinh nghiệm dày dặn không những kiểm soát tốt quy trình trám răng, hạn chế tối đa nguy cơ ê buốt với những khách hàng cơ địa nhạy cảm mà còn giúp tạo ra được miếng trám đẹp, bám chắc vào răng, bảo đảm cả chức năng ăn nhai lẫn thẩm mỹ.
Trám răng bao lâu thì xong?
Thời gian thực hiện một ca trám răng còn tùy thuộc vào mức độ bệnh lý và sứt mẻ của răng. Thường thì sẽ sẽ chỉ mát khoảng 15 đến 20 phút để trám lại một kẽ răng thưa hở, răng sứt mẻ hoặc sâu bề mặt.
Đối với trường hợp trám răng hàm bị sâu, bác sĩ cần thực hiện thêm bước nạo sạch lỗ sâu bằng dụng cụ chuyên dụng trong nha khoa. Đây là thao tác cần thiết để lấy sạch những mô răng sâu hỏng, tránh hiện tượng vi khuẩn lây lan rộng hơn. Tùy vào chuyên môn và kinh nghiệm của bác sĩ thực hiện mà thời gian trám răng sâu có thể dao động từ 30 đến 40 phút.

Thời gian trám răng còn tùy thuộc vào mức độ bệnh lý của răng
Trường hợp răng sâu nặng làm tủy răng bị ảnh hưởng, cụ thể là viêm tủy thì khách hàng cần điều trị tủy răng trước khi tiến hành các phương án phục hình răng. Nếu cần điều trị tủy, khách hàng sẽ cần tới 2 – 4 buổi hẹn tại nha khoa.
Cần làm gì sau khi trám răng?
Sau khi thực hiện trám răng, dù là trám răng cửa hay trám răng hàm, bạn cũng nên chú ý đến những điều sau đây để miếng trám được bền chắc lâu dài nhất:
- Không ăn uống và dành thời gian nghỉ ngơi khoảng 2 giờ sau khi trám để chất liệu trám đông cứng hoàn toàn.
- Sử dụng thuốc đúng theo chỉ dẫn của bác sĩ để giảm ê buốt và đau nhức nếu có sau khi hàn trám răng.
- Trong trường hợp trám răng thẩm mỹ, bạn nên hạn chế tối đa các thực phẩm đậm màu như trà, nước ngọt, cà phê,… Để tránh làm răng bị xỉn màu.
- Ăn uống cũng là một trong những vấn đề cần chú ý sau khi trám răng. Bạn không nên ăn nhiều thực phẩm quá dai, quá cứng bởi lực ăn nhai quá mạnh có thể làm cho miếng trám bị bong ra.
- Nên ăn các món ăn mềm, lỏng, dễ nuốt để răng không bị tác động quá nhiều trong thời gian đầu khi mới hàn trám.
- Vệ sinh răng đều đặn mỗi ngày 2 lần, sau khi ăn chừng 30 phút. Sử dụng kem chải răng có Fluor trong thành phần để giúp răng chắc khỏe hơn.
- Súc miệng bằng nước muối hoặc nước súc miệng để tiêu diệt hoàn toàn các vi khuẩn có hại trong khoang miệng.

Vệ sinh răng miệng sạch sẽ sau khi hàn trám răng
Trám răng ở đâu tốt?
Nha khoa Nhân Tâm là địa chỉ nha khoa uy tín, chất lượng, an toàn được cả khách hàng trong nước và nước ngoài tin tưởng chọn lựa. Hàng năm, các bác sĩ và nhân viên tại đây đều tiến hành thành công hàng ngàn trường hợp trám răng cùng các dịch vụ nha khoa khác.
Đến với Nhân Tâm, khách hàng sẽ được các bác sĩ dày dặn kinh nghiệm, chuyên môn cao, tay nghề tốt trực tiếp thăm khám và tiến hành hàn trám răng. Với chuyên môn vững vàng, phong cách làm việc chuyên nghiệp vừ sự chu đáo, tận tâm, các bác sĩ sẽ đem lại cho khách hàng hiệu quả phục hình răng tối ưu nhất, thích hợp với tình trạng răng của mỗi người.
Ngoài ra, Nha khoa Nhân Tâm còn ứng dụng công nghệ trám răng hiện đại bằng Laser, giúp đẩy nhanh quá trình đông cứng vật liệu trám, giúp miếng trám kết dính tốt với răng và đem đến hiệu quả tối ưu trong việc cải thiện các khiếm khuyết trên răng.

Nha khoa Nhân Tâm là địa chỉ nha khoa gần đây uy tín, chất lượng hàng đầu tại Việt Nam
Mỗi khách hàng của Nhân Tâm đều được điều trị tại phòng nha có đầy đủ các trang thiết bị hiện đại, hệ thống ghế nha tiên tiến tích hợp đầy đủ các thiết bị chuyên dụng được vô khuẩn tuyệt đối. Bên cạnh đó, mỗi khách hàng còn được sử dụng một bộ dụng cụ và tay khoan riêng biệt nên bạn không cần lo ngại về vấn đề nhiễm trùng hay lây nhiễm chéo.
Quy trình trám răng đạt chuẩn, tuân thủ các bước do Bộ Y tế đề ra, đem đến hiệu quả tối ưu, quá trình điều trị không gây đau nhức và bảo đảm sức khỏe răng miệng dài lâu.
Mong rằng, sau khi tham khảo bài viết ngày hôm nay của Nha khoa Nhân Tâm, các bạn đã hiểu rõ hơn về phương pháp trám răng và giải đáp được những điều bản thân còn băn khoăn về biện pháp này. Nếu bạn còn vấn đề gì chưa rõ hoặc cần tư vấn rõ ràng hơn về tình trạng răng miệng, phương án khắc phục phù hợp thì hãy ghé qua Nha khoa Nhân Tâm tại địa chỉ 807 Đường 3/2, Phường 7, Quận 10, Thành phố Hồ Chí Minh ngay hôm nay để được các bác sĩ hỗ trợ miễn phí nhé.






