Niềng răng là giải pháp được nhiều người lựa chọn để có hàm răng đều đẹp
Niềng răng thẩm mỹ là gì?
Niềng răng là phương pháp được rất nhiều người ưa chuộng trong thời gian gần đây. Thế nhưng, không phải ai cũng biết rõ niềng răng là gì? Đây là kỹ thuật sử dụng các khí cụ nha khoa như: mắc cài, dây cung, khay niềng trong suốt,… để tạo lực kéo nhằm giúp răng dịch chuyển về đúng vị trí trên cung hàm, mang lại một hàm răng đều, đẹp, chuẩn khớp cắn.

Niềng răng thẩm mỹ giúp kéo các răng về đúng vị trí trên cung hàm
Các trường hợp nên niềng răng thẩm mỹ
Niềng răng thẩm mỹ thường được chỉ định để khắc phục các trường hợp răng mắc phải các khuyết điểm như:
- Răng hô, vẩu: là tình trạng răng hàm trên nhổ ra nhiều hơn so với hàm dưới, hoặc răng hàm dưới bị đưa vào trong quá nhiều so với răng hàm trên. Niềng răng hô không chỉ cải thiện thẩm mỹ cho răng mà còn giúp khuôn mặt ưa nhìn hơn. Trước và sau khi niềng răng hô, hàm răng của bạn sẽ có sự thay đổi đáng kể. Thông thường, sau khi niềng răng hô, hàm răng của bạn sẽ đẹp hơn, môi trên thu lại, khuôn mặt trở nên thu hút hơn, mũi cũng cao hơn trước, thậm chí còn tạo nên chiếc cằm Vline mà nhiều người mơ ước. Ngoài ra, niềng răng hô còn giúp răng đều và dễ vệ sinh hơn, răng chắc khỏe hơn, mô nướu hồng hào hơn. Một hàm răng đẹp và nụ cười rạng rỡ chắc chắn sẽ khiến bạn tự tin và thành công hơn trong công việc và cuộc sống.
- Răng móm: là tình trạng răng hàm trên thụt vào bên trong, còn răng hàm dưới nhô ra. Tình trạng này khiến cho việc ăn nhai gặp nhiều khó khăn, thậm chí dẫn đến nói ngọng, phát âm kém. Nhiều người thắc mắc không biết bị móm có nên niềng răng không. Thực tế cho thấy, niềng răng móm sẽ giúp khắc phục hiệu quả tình trạng này. Tuy nhiên, cũng cần tùy thuộc vào mức độ và nguyên nhân gây móm mà sẽ có những biện pháp trị liệu khác nhau. Để biết trường hợp của mình có thể đeo niềng để khắc phục móm hay không, trước tiên bạn cần đi khám tại nha khoa uy tín để xác định rõ nguyên nhân dẫn đến tình trạng móm này.
Móm do xương: Móm do xương là tình trạng xương hàm dưới phát triển nhanh và mạnh hơn, khiến hàm dưới nhô ra ngoài nhiều hơn so với hàm trên. Trong trường hợp này, răng của bạn có thể vẫn thẳng đều. Trong trường hợp này, phương pháp điều trị tốt nhất là phẫu thuật.
Móm do răng: Nếu nguyên nhân gây ra tình trạng răng móm là do răng và xương hàm vẫn hoàn toàn bình thường thì niềng răng là biện pháp được khuyến khích để khắc phục tình trạng này.
- Răng thưa, hở kẽ: là tình trạng có khe hở giữa các răng, các khe hở này dễ gây nhồi nhét thức ăn, đồng thời ảnh hưởng đến việc phát âm. Thông thường bạn hay gặp tình trạng thưa răng cửa, lúc này niềng răng cửa sẽ giúp các răng khít sát với nhau mà không hề làm tổn hại đến răng thật.
- Răng khấp khểnh, mọc lộn xộn, chen chúc lẫn nhau: là tình trạng các răng không mọc ngay hàng thẳng lối, có răng chìa ra, răng thì thụt vào, thậm chí mọc chồng lên nhau.
- Khớp cắn hở: là tình trạng hai hàm răng không chạm vào nhau, thường được hình thành do thói quen xấu từ nhỏ như: đẩy lưỡi, mút tay, thở miệng,…
- Khớp cắn sâu: là tình trạng hàm trên che phủ hàm dưới khi cắn lại, khiến phần cằm bị ngăn đi và làm cho khuôn mặt thiếu sự cân đối, hài hòa.

Những trường hợp nên niềng răng
Lợi ích khi niềng răng thẩm mỹ
Không phải ngẫu nhiên mà phương pháp niềng răng thẩm mỹ lại được các chuyên gia đánh giá cao và đông đảo khách hàng ưa chuộng đến vậy. Vậy niềng răng có tác dụng gì? Cùng điểm qua những lợi ích tuyệt vời khi niềng răng dưới đây.
Nâng cao thẩm mỹ cho khuôn mặt
Niềng răng sẽ giúp căn chỉnh khớp cắn sao cho cân đối, hàm răng trở nên đều đẹp, khuôn mặt từ đó cũng hài hòa và tăng tính thẩm mỹ. Một nụ cười đẹp chắc chắn sẽ giúp bạn thu hút ánh nhìn của người khác và giúp bạn tự tin hơn và thành công hơn trong cuộc sống.

Niềng răng giúp khuôn mặt cân đối, hài hòa hơn
Cải thiện chức năng nhai
Tình trạng răng khấp khểnh, hô, móm,… ít nhiều sẽ gây ảnh hưởng đến chức năng ăn nhai, từ đó dẫn đến các bệnh về đường tiêu hóa như: rối loạn tiêu hóa, đau dạ dày,… Răng sau khi niềng sẽ đều, chuẩn khớp cắn, giúp thức ăn được nghiền nhỏ hơn, cải thiện chức năng nhai và đảm bảo cho sức khỏe.
Thuận tiện khi vệ sinh răng miệng
Răng được sắp xếp đều đặn sẽ giúp bạn vệ sinh răng miệng dễ dàng hơn, loại bỏ được thức ăn thừa cũng như mảng bám trên răng. Điều này sẽ giúp bảo vệ sức khỏe răng miệng và ngăn ngừa được các bệnh lý như: sâu răng, viêm nướu, chảy máu chân răng, viêm nha chu,… Hơn nữa, trong khoảng thời gian niềng răng, bạn sẽ tập được thói quen chăm sóc, vệ sinh răng miệng một cách kỹ lưỡng và hiệu quả nhất.

Trong thời gian niềng răng, bạn sẽ được tập thói quen vệ sinh răng miệng kỹ lưỡng
Khắc phục nhược điểm về phát âm
Có rất nhiều trường hợp phát âm không rõ, bị ngọng là do răng không đều. Chính vì thế, khi niềng răng, hàm răng của bạn sẽ trở nên đều đặn, nhờ đó mà phát âm của bạn cũng sẽ được cải thiện, âm phát ra chuẩn hơn, tròn vành rõ chữ hơn.
Các phương pháp niềng răng phổ biến nhất hiện nay
Với sự phát triển của ngành nha khoa hiện đại, ngày nay có rất nhiều phương pháp niềng răng. Tùy theo từng tình trạng, nhu cầu cũng như điều kiện tài chính của mỗi người mà bác sĩ sẽ tư vấn phương pháp niềng răng phù hợp nhất. Dưới đây là các loại niềng răng phổ biến mà bạn có thể tham khảo.
Niềng răng mắc cài kim loại
Niềng răng mắc cài kim loại là phương pháp niềng răng truyền thống đã xuất hiện từ lâu nhưng đến nay vẫn được đánh giá cao về hiệu quả. Niềng răng kim loại sử dụng mắc cài và dây cung được cấu tạo từ hợp kim cao cấp không gỉ.

Niềng răng mắc cài kim loại được đánh giá cao về hiệu quả
Ưu điểm:
- Hiệu quả nhanh chóng, rút ngăn thời gian niềng răng, răng sẽ dịch chuyển nhanh vào đúng vị trí trên cung hàm.
- Thun mắc cài có rất nhiều màu sắc, có thể tùy ý lựa chọn màu mà mình mong muốn, giúp các bé thích việc niềng răng hơn.
- Chi phí thấp nhất trong số các loại mắc cài niềng răng.
>>>> Xem thêm: Nhổ răng khôn - Tất tần tật những điều cần biết
Nhược điểm:
- Không có tính thẩm mỹ cao vì khí cụ lộ ra rõ ràng trên răng.
- Một số trường hợp bị kích ứng bởi dây cung kim loại.
Niềng răng mắc cài sứ
Niềng răng mắc cài sứ có cấu tạo giống như mắc cài kim loại, bao gồm mắc cài kết hợp với dây thun để cố định dây cung trong rãnh mắc cài nhằm tạo lực kéo giúp răng dịch chuyển. Thế nhưng, phương pháp này khác nhau ở chỗ mắc cài được làm từ chất liệu sứ, được xem như phương pháp niềng răng mắc cài trong suốt, mang lại thẩm mỹ cao.

Niềng răng mắc cài sứ có tính thẩm mỹ cao
Ưu điểm:
- Màu sắc tự nhiên và tương tự như răng thật, mang lại thẩm mỹ cao ngay cả trong khi đeo niềng.
- Sứ được sử dụng rất lành tính, không gây kích ứng, đảm bảo an toàn với sức khỏe cơ thể.
Nhược điểm:
- Chi phí niềng răng sứ cao hơn so với mắc cài kim loại, vì thế khá nhiều người đặt ra câu hỏi niềng răng sứ giá bao nhiêu.
- Chất liệu sứ dễ bị gãy, vỡ nếu như va chạm mạnh.
- Lực kéo niềng răng bằng sứ không mạnh như mắc cài kim loại nên thời gian điều trị có thể kéo dài hơn.
Niềng răng mắc cài mặt trong
Niềng răng mắc cài trong hay còn được gọi là mắc cài mặt lưỡi. Với phương pháp này, mắc cài sẽ được gắn vào mặt trong của răng thay vì mặt ngoài như phương pháp khác. Do đó, khi thực hiện niềng răng mặt trong, bác sĩ phải thật sự giỏi, có trình độ chuyên môn cao, giàu kinh nghiệm thì mới đem lại hiệu quả chỉnh nha như mong đợi.

Niềng răng mắc cài mặt trong đòi hỏi bác sĩ phải giỏi, giàu kinh nghiệm
Ưu điểm:
- Tính thẩm mỹ cao do mắc cài nằm bên trong, người khác sẽ không thấy được, phù hợp với những người có tính chất công việc phải giao tiếp nhiều, đòi hỏi ngoại hình cao,…
Nhược điểm:
- Mắc cài tiếp xúc với lưỡi nên có thể gây cảm giác vướng víu, khó chịu khi mới đeo.
- Vệ sinh răng miệng gặp nhiều khó khăn do mắc cài nằm bên trong dễ gây giắt thức ăn nhưng khó làm sạch hoàn toàn.
- Chi phí niềng răng bên trong cao hơn so với các loại mắc cài thông thường.
Niềng răng mắc cài tự buộc
Niềng răng mắc cài tự buộc là phương pháp niềng răng hiện đại, có nhiều tính năng vượt trội. Mắc cài sẽ được lắp nắp trượt hoặc cánh kim loại có tác dụng đậy hoặc giữ dây trong rãnh mắc cài, giúp dây có thể trượt một cách tự do, không cần sử dụng dây thun. Bạn có thể lựa chọn niềng răng mắc cài sứ tự buộc hoặc niềng răng mắc cài kim loại tự buộc, tùy theo nhu cầu và điều kiện của mỗi khách hàng mà có thể lựa chọn loại mắc cài phù hợp.

Niềng răng mắc cài tự buộc có những cải tiến đáng kể
Ưu điểm:
- Tác dụng của niềng răng mắc cài tự khóa không thể không nhắc đến đó là hệ thống mắc cài và dây cung được thiết kế tự động nên khả năng bám dính tốt, giúp giữ chặt dây cung, hạn chế tình trạng biến dạng, bong sút mắc cài.
- Tạo lực đều đặn giúp răng dịch chuyển đúng hướng, rút ngắn thời gian niềng răng so với phương pháp truyền thống.
- Mắc cài tự buộc có khả năng cố định dây cung rất tốt nhờ hệ thống nắp trượt tự đóng không tạo ra lực ma sát nhiều cho răng. Nhờ đó, bạn cũng sẽ cảm thấy thoải mái hơn và không bị ê răng như các loại mắc cài khác.
- Không cần mất thời gian để đến phòng khám nha khoa điều chỉnh thường xuyên.
Nhược điểm:
- Độ dày của mắc cài khá lớn, dễ gây cảm giác vướng víu, khó chịu cho người sử dụng
Niềng răng không mắc cài
Niềng răng không mắc cài còn có những tên gọi khác như: niềng răng Invisalign, niềng răng vô hình, niềng răng khay trong suốt,… Thay vì sử dụng hệ thống mắc cài, dây cung, phương pháp này sử dụng các khay niềng được chế tạo từ nhựa trong suốt dựa trên dấu răng của từng khách hàng để dịch chuyển răng về vị trí mong muốn.

Niềng răng Invisalign sở hữu nhiều ưu điểm vượt trội
Ưu điểm:
- Khay niềng trong suốt ôm sát vào bề mặt răng, mang lại thẩm mỹ cao, người khác sẽ khó nhận ra là bạn đang niềng răng.
- Niềng răng tháo lắp dễ dàng, thuận tiện khi ăn uống, vệ sinh răng miệng.
- Hiệu quả điều trị cao, bạn có thể biết trước kết quả điều trị thông qua phần mềm Clincheck.
- Không mất nhiều thời gian tái khám, rất thuận tiện cho những khách hàng ở xa hay phải đi công tác,…
- Các khay niềng sẽ được chế tạo cẩn thận để vừa khít 100% với răng của bạn. Do đó, khi sử dụng, các khay niềng trong suốt được ôm khít vào răng rất cao, giúp răng dịch chuyển theo đúng kế hoạch đã định.
Nhược điểm:
- Niềng răng Invisalign giá cao hơn nhiều so với phương pháp niềng răng mắc cài.
- Không áp dụng được cho những trường hợp răng bị sai lệch nghiêm trọng.
- Cần phải đeo đúng thời gian (đảm bảo 20-22 tiếng mỗi ngày) để đảm bảo kết quả điều trị.
Các bạn nên cân nhắc thật kỹ trước khi lựa chọn phương pháp niềng trong suốt. Các yếu tố bạn cần lưu tâm là lựa chọn nha khoa uy tín, có độ ngũ bác sĩ giỏi và nhiều kinh nghiệm. Bên cạnh đó, bạn có thể tham khảo các bài review niềng răng trong suốt của nha khoa đó để nắm rõ hơn về chất lượng dịch vụ của nha khoa.
Niềng răng trainer
Niềng răng Trainer hay còn gọi là niềng răng silicon, là phương pháp chỉnh nha sử dụng khay niềng làm bằng chất liệu silicon dẻo giúp bạn nắn chỉnh răng một cách hiệu quả và an toàn ngay tại nhà. Biện pháp này giúp kiểm soát tình trạng răng mọc lệch lạc ở trẻ nhỏ và hỗ trợ quá trình chỉnh nha sau này.
Ngoài ra, niềng răng trainer còn có thể giúp tránh được những tổn thương do thói quen xấu như mút ngón tay cái, chống cằm, mút môi, đẩy lưỡi,...
Ưu điểm:
- Khay niềng trainer được làm bằng silicone mềm nên đảm bảo an toàn cho trẻ. Ngoài ra, loại khay này cũng dễ dàng tháo lắp tại nhà, chủ yếu sử dụng vào ban đêm nên sẽ không gây khó khăn gì cho việc ăn uống, học tập và sinh hoạt hàng ngày.
- Niềng răng trainer ít tốn kém hơn nhiều so với niềng răng mắc cài hoặc niềng răng trong suốt. Vì vậy, phương pháp này có thể được lựa chọn trong điều trị chỉnh nha trẻ nhỏ.
- Chỉnh răng về đúng vị trí: Đeo khay niềng traine theo chỉ định của nha sĩ sẽ giúp di chuyển các răng mọc lệch lạc về đúng vị trí. Nhờ vậy việc phải chỉnh nha ở tuổi trưởng thành, giúp mang lại hiệu quả cao với chi phí tiết kiệm.
- Kiểm soát thói quen xấu của trẻ: Khi đeo hàm silicon, những thói quen xấu ảnh hưởng đến răng miệng như chống cằm, đẩy lưỡi,... sẽ được hạn chế và loại bỏ.
- Giảm cảm giác khó chịu, đau nhức: Niềng răng bằng silicon mềm dẻo và có độ tương thích cao với răng của trẻ nên sẽ giảm bớt tình trạng khó chịu, đau nhức.
Nhược điểm:
- Không phù hợp với người lớn: Hạn chế đầu tiên là biện pháp này chỉ phù hợp với trẻ nhỏ. Khi áp dụng cho người lớn, thời gian nắn chỉnh có thể kéo dài và hiệu quả không cao, do cấu trúc xương của người trưởng thành đã hoàn thiện và cứng chắc.
- Không cải thiện được hoàn toàn các khuyết điểm của răng: Với những trường hợp răng mọc lệch lạc quá mức nghiêm trọng, các bác sĩ nha khoa thường chỉ định cho trẻ đeo hàm này một thời gian rồi mới can thiệp biện pháp khác.
- Dễ làm giả, làm nhái: Do cấu tạo tương đối đơn giản nên khay niềng trainer rất dễ bị làm giả. Điều này gây ảnh hưởng rất lớn đến sức khỏe của người sử dụng, thậm chí có thể khiến mức độ lệch lạc của răng trở nên trầm trọng hơn.
Quy trình niềng răng thẩm mỹ tại Nha Khoa Nhân Tâm
Để quá trình niềng răng diễn ra an toàn và đạt kết quả như mong đợi thì một quy trình đúng chuẩn là điều rất cần thiết. Sau đây là quy trình niềng răng thẩm mỹ tại Nha khoa Nhân Tâm.
Bước 1: Khám tổng quát, chụp phim
Trước khi tiến hành niềng răng, bác sĩ sẽ thăm khám tổng quát tình trạng răng miệng của khách hàng. Sau đó, chụp phim X-quang để đánh giá sai lệch của răng một cách chuẩn xác nhất (nguyên nhân gây sai lệch răng, mức độ sai lệch là bao nhiêu,…) và lấy dấu răng để thiết kế khay niềng hoặc khí cụ chỉnh nha phù hợp.

Chụp phim X-Quang hoặc phim 3 chiều CT Cone Beam là một bước quan trọng trong quy trình điều trị phục hồi răng. Vì vậy Khách hàng sẽ được Bác sĩ của nha khoa Nhân Tâm chỉ định đến các cơ sở y tế đủ chức năng để thực hiện trước khi điều trị.
Bước 2: Lên phác đồ điều trị cụ thể
Dựa vào tình trạng răng cũng như những dữ liệu đã thu thập trước đó, bác sĩ sẽ lên kế hoạch điều trị cụ thể cho từng người. Phác đồ sẽ bao gồm các tiến trình cũng như thời gian, chi phí cho toàn bộ quá trình niềng răng.
Đối với trường hợp niềng răng trong suốt thì bác sĩ sẽ lên kế hoạch điều trị qua phần mềm ClinCheck, cho phép khách hàng thấy trước kết quả qua một đoạn video. Sau đó, bác sĩ sẽ gửi dữ liệu sang cơ sở Invisalign tại Mỹ để sản xuất khay niềng.

Bác sĩ tư vấn kế hoạch điều trị cho từng khách hàng
Bước 3: Điều trị tổng quát
Bạn cần phải có một hàm răng chắc khỏe trước khi niềng răng để đảm bảo quá trình niềng diễn ra thuận lợi, không bị ảnh hưởng. Do đó, trước khi niềng, bác sĩ sẽ điều trị các bệnh lý răng miệng nếu có, đồng thời thực hiện cạo vôi răng để làm sạch răng miệng, loại bỏ các mảng bám trên răng.

Cạo vôi răng trước khi niềng răng
Bước 4: Gắn khí cụ niềng răng
Với phương pháp niềng răng bằng mắc cài, bác sĩ có thể chỉ định các loại khí cụ phù hợp với mỗi tình trạng răng để tạo tiền đề giúp việc niềng răng đạt hiệu quả như mong muốn. Chẳng hạn, trường hợp hàm bị hẹp thì có thể cần phải đeo nong rộng hàm, bắt vít niềng răng, tiếp theo đó là tách kẽ, gắn khâu,…

Gắn thun tách kẽ trước khi niềng răng
Bước 5: Gắn mắc cài/ Giao khay niềng
Tùy theo từng loại mắc cài mà bạn lựa chọn mà bác sĩ sẽ tiến hành gắn cố định cho bạn. Còn với niềng răng trong suốt, bác sĩ sẽ giao bộ khay niềng đầu tiên và hướng dẫn bạn cách đeo đúng nhất để khay niềng phát huy tối đa hiệu quả. Sau mỗi 2 tuần, bạn sẽ thay một cặp khay mới.

Mắc cài sẽ được gắn cố định lên răng
Bước 6: Tái khám định kỳ
Đây là khoảng thời gian mà khách hàng cần phải đến nha khoa để tái khám định kỳ theo lịch hẹn của bác sĩ. Tùy vào từng giai đoạn mà tại mỗi lần tái khám, bác sĩ có thể kiểm tra tốc độ dịch chuyển của răng, hoặc thực hiện các thao tác thay thun, siết răng, cắm minivis,…

Việc tái khám định kỳ sẽ giúp bác sĩ theo dõi quá trình dịch chuyển của răng
Bước 7: Tháo mắc cài
Khi răng đã về đúng vị trí, khớp cắn hai hàm cân đối, kết quả đạt được như mong đợi thì bác sĩ sẽ thực hiện tháo mắc cài. Dù lựa chọn phương pháp niềng răng nào, là mắc cài hay khay niềng trong suốt thì bạn đều phải đeo hàm duy trì sau niềng răng để ổn định răng lâu dài. Tùy vào tình trạng răng của mỗi người mà bác sĩ sẽ chỉ định thời gian đeo hàm duy trì dài hay ngắn.

Khi răng đã đều đẹp thì sẽ được tháo mắc cài
Bảng giá niềng răng thẩm mỹ 2025 tại Nha Khoa Nhân Tâm
Niềng răng bao nhiêu tiền là vấn đề được nhiều người quan tâm nhất khi có ý định lựa chọn phương pháp này. Tuy nhiên, bạn có thể thấy rằng, giá niềng răng sẽ có sự chênh lệch nhất định, không có một con số chung cho mức chi phí niềng răng. Sở dĩ như vậy là bởi niềng răng giá bao nhiêu sẽ phụ thuộc vào rất nhiều yếu tố, cụ thể như:
Tình trạng răng miệng
Niềng răng hết bao nhiên tiền phụ thuộc rất nhiều vào tình trạng răng của mỗi người. Nếu răng bị sai lệch nhẹ thì giá niềng răng chắc chắn sẽ thấp hơn so với những trường hợp phức tạp. Ngoài ra, nếu bạn mắc phải các bệnh lý răng miệng (sâu răng, viêm nướu,…) thì cần phải điều trị triệt để các bệnh lý này rồi mới tiến hành niềng răng. Vì thế, bảng giá niềng răng sẽ phải tốn thêm các chi phí này.
Bên cạnh đó, có nhiều khách hàng thắc mắc không biết niềng răng 1 hàm có được không (niềng răng hàm trên hoặc niềng răng hàm dưới), niềng răng 1 hàm bao nhiêu tiền. Trên thực tế, một số trường hợp chỉ cần niềng răng 1 hàm là đã đảm bảo thẩm mỹ và khớp cắn. Bạn không cần phải băn khoăn niềng răng 1 hàm giá bao nhiêu tiền vì chắc chắn giá sẽ thấp hơn so với niềng răng 2 hàm.

Niềng răng 1 hàm sẽ có chi phí thấp hơn niềng răng 2 hàm
Phương pháp niềng răng
Mỗi phương pháp niềng răng sẽ có những đặc điểm, những ưu nhược điểm khác nhau, do đó, niềng răng giá bao nhiêu tiền cũng sẽ khác nhau. Thông thường, giá niềng răng mắc cài kim loại truyền thống sẽ có chi phí thấp nhất, giá niềng răng trong suốt Invisalign sẽ có chi phí cao nhất. Tùy vào từng tình trạng răng, nhu cầu cũng như điều kiện của mỗi người mà có thể lựa chọn phương pháp niềng răng phù hợp.
Cơ sở nha khoa
Niềng răng mất bao nhiêu tiền còn phụ thuộc vào cơ sở nha khoa mà bạn lựa chọn. Những nha khoa chuyên sâu về niềng răng, có chất lượng dịch vụ cao, đảm bảo các yêu cầu về bác sĩ, cơ sở vật chất, trang thiết bị, máy móc,… thường sẽ có niềng răng giá cao hơn so với những cơ sở kém uy tín, chất lượng. Tuy giá niềng răng của nha khoa uy tín có cao hơn đi chăng nữa thì bạn cũng như cân nhắc lựa chọn để đảm bảo đạt kết quả như mong muốn nhé.

Chi phí niềng răng sẽ tùy thuộc vào cơ sở nha khoa mà bạn lựa chọn
Nếu bạn đang muốn biết giá niềng răng tại TPHCM mới nhất hiện nay là bao nhiêu, hoặc thắc mắc niềng răng mắc cài sứ giá bao nhiêu, niềng răng trong suốt giá bao nhiêu hoặc muốn biết chi phí niềng răng theo tình trạng như: niềng răng móm bao nhiêu tiền, niềng răng hô bao nhiêu tiền, niềng răng thưa bao nhiêu tiền,… hãy tham khảo bảng giá niềng răng của Nha khoa Nhân Tâm dưới đây.
3 loại niềng răng được nhiều người ưa chuộng nhất hiện nay
Niềng răng trong suốt Invisalign
Niềng răng Invisalign là gì đã được giải đáp ở trên, nhưng chắc hẳn bạn vẫn chưa biết lý do tại sao loại niềng răng này lại được nhiều người lựa chọn. Bên cạnh vấn đề niềng răng trong suốt giá bao nhiêu tiền thì những ưu điểm của phương pháp này cũng là vấn đề được nhiều người quan tâm. Mặc dù chi phí niềng răng trong suốt khá cao nhưng chắc chắn những lợi ích mà nó mang lại sẽ không làm bạn thất vọng.
- Thẩm mỹ vượt trội với khay niềng được làm từ chất liệu trong suốt. Khi đeo vào răng, khay niềng sẽ ôm sát các mặt răng, người đối diện sẽ không thể nhận ra là bạn đang niềng răng. Đây cũng chính là sự lựa chọn hàng đầu của các ngôi sao nổi tiếng trong nước và cả trên thế giới.
- Cảm giác thoải mái khi mang khay niềng, không gây ra bất kỳ khó chịu nào. Hơn nữa, khay niềng không kích ứng với môi trường bên trong miệng, đảm bảo chất lượng và vệ sinh nên bạn có thể hoàn toàn yên tâm.
- Vì có thể tháo ra lắp vào dễ dàng nên bạn có thể ăn uống thoải mái, không cần phải cắt nhỏ như khi niềng răng bằng mắc cài. Ngoài ra, bạn có thể tháo khay để vệ sinh răng miệng, từ đó giúp răng luôn được chắc khỏe trong suốt quá trình niềng.
- Giảm số lần tái khám vì bạn có thể chủ động thay khay niềng mà không cần có sự can thiệp của bác sĩ. Hơn nữa, không có sự cố bong tuột mắc cài nên khoảng 6 – 8 tuần bạn mới đến bác sĩ kiểm tra một lần.

Niềng răng Invisalign được xem là công nghệ chỉnh nha đỉnh cao
Niềng răng mắc cài sứ
Niềng răng mắc cài sứ luôn là sự lựa chọn số 1 cho những ai vừa mong muốn thẩm mỹ cao trong khi niềng mà lại vừa có chi phí phải chăng. So với niềng răng trong suốt, niềng răng sứ thẩm mỹ sẽ có chi phí thấp hơn khá nhiều nhưng vẫn đảm bảo được tính thẩm mỹ, rất phù hợp với những người có tính chất công việc hay phải giao tiếp với khách hàng.
Ngoài ra, phương pháp niềng răng này còn có độ bền chắc cao, chịu được lực kéo ở nhiều cấp độ, mang lại hiệu quả chỉnh nha cao. Hơn nữa, chất liệu sứ không gây kích ứng, thân thiện với môi trường khoang miệng, không gây những phản ứng có hại hay gây vướng víu cho môi, nướu và má. Chính vì thế, đây cũng là một trong những phương pháp niềng răng chiếm trọn trái tim của hầu hết khách hàng.

Niềng răng mắc cài sứ vừa đảm bảo thẩm mỹ, vừa có chi phí hợp lý
Niềng răng mắc cài kim loại
Mắc cài kim loại tuy xuất hiện đầu tiên nhưng đến nay vẫn nhận được sự tin yêu của nhiều người. Mặc dù thẩm mỹ không cao nhưng niềng răng mắc cài kim loại vẫn được ưa chuộng là bởi những ưu điểm tuyệt vời như:
- Chắc chắn vì được làm từ kim loại, không dễ dàng bị gãy vỡ làm ảnh hưởng đến quá trình điều trị.
- Lực kéo ổn định, giúp răng dịch chuyển nhanh chóng, đáp ứng tốt với cả những trường hợp răng bị sai lệch phức tạp, từ đó rút ngắn thời gian niềng răng hơn các phương pháp khác.
- Chi phí thấp, phù hợp với túi tiền của nhiều người. Đây cũng chính là lý do chính giúp mắc cài kim loại vẫn đứng vững trên thị trường hiện nay.
- Dây thun có nhiều màu sắc khác nhau, tùy theo cá tính của mỗi người mà có thể lựa chọn màu sắc mà mình thích, đặc biệt giúp trẻ em cảm thấy hứng thú hơn khi niềng răng.

Niềng răng mắc cài kim loại có thể sử dụng dây thun với nhiều màu sắc khác nhau
Các trường hợp nào cần nhổ bớt răng khi niềng?
Trong một số trường hợp, để tạo khoảng trống giúp răng di chuyển được dễ dàng thì cần phải nhổ răng. Các trường hợp cần nhổ răng khi niềng có thể kể đến như:
Răng hô, móm nặng
Răng bị hô hoặc móm nặng thì phần răng sẽ chìa ra ngoài hoặc thụt vào trong quá nhiều. Do đó, để kéo răng về vị trí chuẩn thì cần phải nhổ bớt răng để tạo khoảng trống thích hợp. Bạn có thể yên tâm là giá niềng răng hô không bao gồm chi phí nhổ răng. Còn những trường hợp niềng răng thưa thì có thể niềng răng không nhổ răng.
Đối với quá trình niềng răng hô nhổ răng, thường thì bác sĩ sẽ chỉ định bạn nhổ răng số 4, răng số 5 hoặc răng số 8. Việc nhổ răng nào và nhổ bao nhiêu răng sẽ phụ thuộc vào mức độ hô cũng như đặc điểm xương hàm của từng khách hàng.
Việc nhổ răng đúng cách và thao tác chính xác sẽ hạn chế tối đa tác động đến mô mềm bao quanh răng, tránh tổn thương xương hàm. Quá trình nhổ răng cũng sẽ diễn ra suôn sẻ, nhẹ nhàng, ít sưng, đau và ít chảy máu. Vì vậy, trong ngày đầu tiên nhổ răng, bạn vẫn có thể ăn những thức ăn dễ nuốt như sinh tố, cháo, súp. Đến ngày thứ 3 sau khi nhổ răng, bạn có thể sinh hoạt và ăn uống bình thường mà không có bất kỳ đau đớn hay biến chứng nào.

Trường hợp răng hô cần phải nhổ bớt răng khi niềng
Răng mọc lộn xộn, chen chúc nhau
Tình trạng răng mọc khấp khểnh, lộn xộn, chen chúc nhau thường xảy ra do khung hàm nhỏ, không đủ chỗ cho tất cả các răng. Vì thế, khi niềng răng khểnh, niềng răng khấp khểnh thì cần phải nhổ bỏ bớt răng thừa để tạo khoảng trống cho răng trở về vị trí đều đặn.

Răng mọc chen chúc nhau không có đủ khoảng trống để niềng răng
Răng khôn
Răng khôn mọc cuối cùng nên gần như không còn nhiều khoảng trống trên cung hàm, từ đó có xu hướng mọc chen lấn sang các răng kế cận, làm xô lệch răng, ảnh hưởng đến kết quả niềng răng. Chưa kể răng khôn còn gây nguy cơ sâu răng kế bên, khiến răng này bị tổn thương, lâu ngày dẫn đến lung lay và làm mất răng. Chính vì lý do này mà nhiều trường hợp niềng răng sẽ được bác sĩ chỉ định nhổ răng khôn.

Răng khôn mọc ngầm, mọc lệch gây biến chứng sẽ được xem xét chỉ định nhổ khi niềng
Vì sao cần đeo hàm duy trì sau khi niềng răng chỉnh nha?
Sau khi kết thúc quá trình niềng răng, bạn vẫn cần phải đeo thêm hàm duy trì. Mặc dù răng sau khi niềng đã đều đặn và có tương quan khớp cắn chuẩn nhưng vẫn chưa ổn định, cần có thời gian để mô nướu và mô nha chu điều chỉnh lại cấu trúc. Thêm vào đó, bạn còn phải ăn uống, các răng phải hoạt động nhiều. Nếu lúc này mà bạn không đeo hàm duy trì thì sẽ khiến răng bị dịch chuyển lại vị trí cũ.

Hàm duy trì sẽ giúp đảm bảo được kết quả niềng răng
Hàm duy trì sẽ giúp cho răng của bạn ổn định nhanh chóng hơn, đảm bảo được kết quả niềng răng. Thời gian đeo hàm duy trì sẽ tùy thuộc vào mức độ lệch lạc của răng ban đầu, độ tuổi niềng răng,… Thông thường, với trẻ em, bác sĩ có thể yêu cầu đeo hàm duy trì cho đến khi trưởng thành, còn người lớn thì có thể phải đeo từ 6 – 12 tháng. Riêng những trường hợp có hàm răng yếu thì có thể sẽ phải đeo hàm duy trì thời gian lâu hơn, thậm chí vĩnh viễn để hỗ trợ kết quả lâu dài.
Dịch vụ niềng răng trả góp tại Nha khoa Nhân Tâm
Nha khoa Nhân Tâm triển khai chương trình niềng răng trả góp 0% lãi suất nhằm giúp khách hàng có cơ hội trải nghiệm dịch vụ chất lượng cao mà không cần phải lo lắng quá nhiều về vấn đề chi phí.
Dịch vụ được áp dụng:
- Niềng răng vô hình Invisalign
- Niềng răng mắc cài kim loại
- Niềng răng mắc cài sứ
- Niềng răng mắc cài tự khóa
- Niềng răng mắc cài mặt lưỡi
Hình thức thanh toán:
Trả góp trực tiếp tại Nha khoa Nhân Tâm
- Thanh toán ít nhất 50% cho lần đầu tiên (đóng ngay sau khi bạn quyết định niềng răng). Số tiền còn lại sẽ được trả góp hàng tháng.
- Mức trả góp hàng tháng = (tổng số tiền phải trả - lần thanh toán đầu tiên) / số tháng niềng răng (tối thiểu 1 triệu / tháng).
Trả góp qua thẻ tín dụng ngân hàng
- Áp dụng đối với khách hàng sử dụng thẻ tín dụng của ngân hàng Sacombank.
- Kỳ hạn trả góp: 6 tháng, 9 tháng hoặc 12 tháng, tùy theo thỏa thuận của khách hàng và ngân hàng.
Trong suốt quá trình niềng răng, Nha khoa Nhân Tâm cam kết không phát sinh thêm bất kỳ khoản phí nào ngoài giá đã niêm yết cho các dịch vụ tại nha khoa.
Tổng hợp các câu hỏi thường gặp về dịch vụ niềng răng thẩm mỹ
Niềng răng bao lâu thì răng mới đều và đẹp?
Khi tổng hợp các câu hỏi thường gặp về niềng răng, chúng tôi nhận thấy câu hỏi được nhiều người đặt ra nhất đó chính là niềng răng mất bao lâu thì đẹp?
Bác sĩ Trần Thị Nga, Chuyên gia niềng răng trên 23 năm kinh nghiệm, cho biết: Đối với những ca thông thường thì thời gian niềng răng sẽ cần khoảng 18 – 24 tháng để có hàm răng đều đẹp như ý. Tuy nhiên, niềng răng bao lâu thì đẹp có thể dài hơn hoặc ngắn hơn ở mỗi người, tùy thuộc vào rất nhiều yếu tố.
Yếu tố chủ quan:
- Tình trạng răng của khách hàng: Khách hàng có hàm răng khấp khểnh, mọc lệch nhiều thì sẽ mất nhiều thời gian để răng dịch chuyển về đúng vị trí hơn so với những tình trạng nhẹ. Bên cạnh đó, nếu khách hàng mắc bệnh lý răng miệng thì cần phải ổn định trước khi đeo mắc cài, do đó thời gian hoàn thành ca chỉnh nha cũng lâu hơn.
- Độ tuổi niềng răng: Độ tuổi niềng răng lý tưởng là từ 12 - 16 tuổi. Do đó, nếu niềng răng trong độ tuổi này thì thời gian niềng sẽ được rút ngắn đáng kể.
- Sự hợp tác của khách hàng: Trong quá trình chỉnh nha, sự hợp tác của khách hàng là một trong những yếu tố quan trọng dẫn đến sự thành công hay thất bại của dịch vụ này. Nếu khách hàng thực hiện đúng chỉ định của bác sĩ và tiến hành kiểm tra thường xuyên thì thời gian đeo mắc cài cũng sẽ giảm xuống, bác sĩ có thể nhanh chóng phát hiện những bất thường và điều chỉnh kịp thời.
- Trình độ của bác sĩ: Đối với những bác sĩ có trình độ chuyên môn cao và dày dặn kinh nghiệm lâm sàng thì quá trình chỉnh nha cũng sẽ diễn ra nhanh chóng và suôn sẻ hơn.
Yếu tố khách quan:
- Chất lượng mắc cài: Đối với các khí cụ chỉnh nha cao cấp, chất lượng cao giúp quá trình chỉnh nha diễn ra nhanh chóng, không cần tốn thời gian điều chỉnh hay thay thế các khí cụ trong quá trình chỉnh nha.
- Chất lượng keo dán: Đối với những ca niềng răng cần có keo để giữ mắc cài dính vào răng thì việc sử dụng hệ thống keo chất lượng và đúng kỹ thuật sẽ giúp mắc cài bám chắc vào răng, tránh việc tốn thời gian gắn lại mắc cài, đi lại dây cung,…
Niềng răng có đau không? Nên làm gì để giảm cảm giác đau trong quá trình niềng răng?
Niềng răng có đau không là nỗi sợ của rất nhiều người. Thời gian đầu khi mới đeo niềng răng, bạn có thể cảm thấy hơi đau nhức, khó chịu vì có khí cụ lạ trong miệng. Thế nhưng cảm giác này chỉ diễn ra trong vài ngày đầu, sau đó bạn sẽ cảm thấy quen dần và không còn cảm giác đó nữa. Tuy nhiên, sau mỗi lần tái khám để tăng lực siết thì bạn vẫn có thể thấy đau và sẽ hết sau khoảng 2 – 3 ngày.
Để giảm đau khi niềng răng, bạn có thể áp dụng những cách như: chườm lành hoặc sử dụng các đồ uống lạnh để giảm bớt sự khó chịu; ăn các loại thức ăn mềm, lỏng, dễ tiêu hóa; bảo vệ các mô bằng sáp chỉnh nha; uống thuốc giảm đau theo chỉ định của bác sĩ,...
Niềng răng có làm răng bị yếu đi không?
Nhiều ý kiến cho rằng, tác hại của niềng răng đó chính là làm răng yếu đi. Thực tế, niềng răng không làm răng yếu đi, trừ khi bác sĩ không có kỹ thuật tốt, vật liệu không đạt chuẩn,… Còn nếu bác sĩ có trình độ chuyên môn cao, giàu kinh nghiệm, sử dụng vật liệu chất lượng cao, khách hàng tuân thủ theo những chỉ dẫn của bác sĩ thì răng không những đều đẹp mà còn chắc khỏe hơn so với lúc ban đầu.
Chi phí niềng răng trung bình khoảng bao nhiêu tiền?
Như đã đề cập ở trên, chi phí niềng răng sẽ tùy thuộc vào tình trạng răng, phương pháp niềng răng mà bạn lựa chọn cũng như chất lượng dịch vụ của nha khoa. Tại Nha khoa Nhân Tâm, trung bình giá niềng răng mắc cài kim loại sẽ dao động trong khoảng 40 – 45 triệu, mắc cài sứ 55 – 65 triệu, mắc cài tự khóa 45 – 65 triệu, niềng răng trong suốt giá trong khoảng 110 – 125 triệu.
Niềng răng có làm răng bị yếu đi không?Niềng răng 1 hàm có được không? Giá bao nhiêu tiền?
Để đảm bảo kết quả điều trị tốt nhất, thông thường bác sĩ sẽ chỉ định cho khách hàng niềng cả 2 hàm. Tuy nhiên, trong một số trường hợp, sự sai lệch chỉ xảy ra ở 1 hàm và khách hàng muốn tiết kiệm thời gian và tiền bạc vẫn có thể niềng răng 1 hàm. Theo bác sĩ, phương pháp này có thể được áp dụng nhưng chỉ khi khớp cắn tương đối chuẩn và răng hàm mọc thẳng.
Thông thường niềng răng 1 hàm sẽ áp dụng cho các trường hợp sau:
- Răng móm, hô hàm trên hoặc hàm dưới (mức độ nhẹ).
- Răng mọc thưa ở hàm dưới hoặc hàm trên, một vài răng trên 1 hàm mọc thưa.
- Răng mọc lệch, không đều ở hàm trên hoặc hàm dưới. Một vài răng trên một hàm mọc không đúng vị trí.
- Không có vấn đề mất răng.
- Gương mặt cân đối.
Thông thường trong bảng giá niêm yết của nha khoa sẽ chỉ có chi phí niềng răng 2 hàm. Với phương pháp niềng răng 1 hàm, bạn cần đến trực tiếp nha khoa để bác sĩ kiểm tra tình trạng răng và đưa ra mức phí chính xác. Niềng răng một hàm sẽ rẻ hơn so với niềng răng hai hàm.
Niềng răng ở đâu uy tín chất lượng?
Nhiều người thường quá quan tâm đến giá niềng răng mà bỏ qua yếu tố chất lượng để rồi dẫn đến niềng răng hỏng. Do đó, kinh nghiệm niềng răng là bạn hãy lựa chọn những nha khoa có bác sĩ chuyên sâu về niềng răng, nhiều kinh nghiệm, đã thực hiện thành công nhiều trường hợp khác nhau từ đơn giản đến phức tạp, cùng với đó là sự hỗ trợ của công nghệ hiện đại để đảm bảo có kết quả tốt, thẩm mỹ cao.
Hiện nay, địa chỉ niềng răng uy tín mà bạn có thể tham khảo đó chính là Nha khoa Nhân Tâm. Đây là trung tâm niềng răng chất lượng hàng đầu tại TP.HCM với đội ngũ bác sĩ trên 23 năm kinh nghiệm, ứng dụng trang thiết bị tân tiến nhất trên thế giới, quy trình niềng răng tuân thủ nghiêm ngặt các tiêu chuẩn Y khoa quốc tế, đảm bảo vô trùng vô khuẩn tuyệt đối. Đặc biệt dịch vụ chăm sóc khách hàng chu đáo sẽ là điểm cộng giúp bạn luôn cảm thấy thoải mái, hài lòng khi niềng răng tại đây.
Niềng răng bao lâu thì được ăn uống bình thường?
Các chuyên gia cho biết, trong quá trình đeo niềng răng thường gặp nhiều khó khăn trong việc ăn uống.
Giai đoạn mới bắt đầu niềng răng
Trong 1 - 2 tuần đầu sau khi đeo mắc cài, chắc chắn bạn sẽ cảm thấy khó chịu và vướng víu vì khí cụ niềng răng cọ sát vào má trong, nướu và lưỡi. Tuy nhiên, khi bạn quen với việc đeo mắc cài trong miệng, những cảm giác này sẽ qua đi và tất nhiên mọi hoạt động trở lại bình thường, bao gồm cả việc ăn uống.
Giai đoạn sau khi thay thun và dây cung theo định kỳ
Định kỳ 2 tuần - 1 tháng, bạn sẽ đến nha sĩ để tái khám và thay thun. Việc thay dây thun và siết dây sẽ tác động một lực vừa phải lên răng khiến bạn có cảm giác đau, tê và hơi khó ăn uống. Tuy nhiên, đừng quá lo lắng, cảm giác này sẽ chỉ kéo dài 1-2 ngày và là dấu hiệu tích cực cho thấy răng của bạn đang thay đổi và di chuyển.
Chế độ ăn uống trong quá trình niềng răng như thế nào?
Những ngày đầu mới niềng răng, bạn nên lựa chọn những thực phẩm mềm, lỏng và chứa nhiều dinh dưỡng như: sữa, sữa chua, bánh bông lan, đậu hũ, cháo, súp, nước ép trái cây, sinh tố,…
Khi răng đã ổn định và quen dần thì có thể ăn uống bình thường, tuy nhiên cần tránh những thức ăn cứng, giòn, dai, dính. Thay vào đó, hãy cắt thức ăn thành miếng nhỏ, nhai răng bằng hàm, ăn chậm,…
Niềng răng có làm thay đổi khuôn mặt hay không?
Niềng răng có làm thay đổi khuôn mặt hay không là thắc mắc của rất nhiều người. Những thay đổi trên khuôn mặt trước và sau khi niềng răng có thể là:
- Đối với những trường hợp răng mọc lệch, khiến khuôn mặt bị lệch, căng cứng hoặc gây ra các rối loạn tư thế như nghiêng vai, ngửa cổ,… thì sau khi đeo mắc cài, khuôn mặt sẽ trở nên cân đối, các cơ mặt được thả lỏng, tạo cảm giác nhẹ nhàng, thanh thoát.
- Nếu xương hàm dưới nằm sai vị trí khiến khuôn mặt bị lệch thì sau khi niềng răng, khuôn mặt sẽ được cân đối lại và hài hòa.
- Một thay đổi khác trước và sau khi niềng răng là góc mũi. Ví dụ, người bị hô sẽ kéo môi trên vào trong khi niềng răng, tạo ra một chiếc mũi cao và thẳng hơn. Người có mũi cao thực chất là do sụn phát triển, độ dày của mũi không liên quan gì đến xương hàm hay răng. Vì vậy niềng răng sẽ chỉ làm cho hàm răng đều đẹp hơn, khuôn mặt hài hòa hơn, mũi trông thon gọn và cao hơn.
- Các trường hợp nâng khớp, dàn đều răng hàm dưới hoặc kéo hàm dưới lùi ra sau có thể khiến cằm trở nên gọn hơn, đôi lúc có vẻ dài hơn và dáng Vline hơn.
- Sau khi niềng răng, răng của bạn sẽ đều hơn, khỏe hơn và dễ làm sạch hơn. Ngoài ra, mô nướu cũng chắc khỏe hơn, hạn chế tình trạng viêm nhiễm. Điều này tạo nên nụ cười rạng rỡ, khuôn mặt hài hòa và thu hút người đối diện hơn so với trước khi niềng răng.
- Những thay đổi trước và sau khi niềng răng cũng có thể bao gồm cả môi. Ở những người bị hô, răng hàm trên chìa ra phía trước khiến môi bị vểnh, mất thẩm mỹ. Trong trường hợp này, niềng răng sẽ giúp kéo hàm dưới, hàm trên lùi về phía sau giúp môi không bị hếch lên như trước nữa, đồng thời tạo cảm giác môi đầy đặn và sắc nét hơn.
Bắt vít niềng răng có đau không?
Bắt vít niềng răng hay minivis là một khí cụ đặc biệt hiện đang được ứng dụng rất phổ biến trong niềng răng - chỉnh nha. Minivis là một dụng cụ xoắn ốc được làm bằng titan, có kích thước nhỏ, chiều dài khoảng 6 đến 12 mm và đường kính từ 1,4 đến 2 mm. Trong một số trường hợp, bác sĩ sẽ đặt vít này vào xương hàm của khách hàng để tạo neo cố định, giúp quá trình chỉnh nha diễn ra suôn sẻ trong thời gian ngắn nhất có thể.
Trong quá trình bắt vít, bạn sẽ không cảm thấy đau mà chỉ hơi tê nhẹ do đã được gây tê tại chỗ trước đó. Khi thuốc tê hết tác dụng, bạn sẽ thấy hơi khó chịu và hơi đau (tùy cơ địa mỗi người). Thông thường, những người có xương hàm xốp, mềm ít bị đau hơn, còn nếu xương hàm cứng chắc thì có thể đau nhiều hơn.
Tuy nhiên, cảm giác này chỉ xuất hiện lần đầu hoặc một ngày sau khi bắt vít niềng răng. Ngoài việc gây tê, bác sĩ sẽ kê đơn thuốc chống viêm, kháng sinh, giảm đau để giảm cảm giác khó chịu sau khi bắt vít cho khách hàng.
Người trưởng thành có nên niềng răng không?
Khi bạn đã trưởng thành và răng khấp khểnh không có nghĩa là răng bạn không thể di chuyển. Niềng răng điều chỉnh các răng về đúng vị trí, giúp bạn sở hữu nụ cười rạng rỡ hơn bao giờ hết. Ngoài ra, phương pháp này còn có thể giúp bạn cải thiện sức khỏe răng miệng tốt hơn nhờ quá trình ăn nhai và vệ sinh răng miệng được thực hiện dễ dàng hơn, từ đó hạn chế tối đa các bệnh lý răng miệng có thể xảy ra.
Khác với trẻ em, người lớn xương hàm không còn phát triển nữa nên thời gian niềng răng cũng kéo dài hơn, thường là 18-24 tháng, tùy theo tình trạng răng miệng. Nhưng với một số trường hợp phức tạp thì thời gian có thể lên đến 3 năm. Còn đối với trường hợp hỗ trợ phục hình răng sứ hoặc đặt implant thì có thể chỉ mất khoảng 6 tháng.
Các loại niềng răng tháo lắp hiện nay
Hiện nay, có hai loại niềng răng tháo lắp cơ bản, bao gồm:
Khí cụ dùng cho trẻ em
Các thiết bị sau đây sẽ phù hợp để điều trị chỉnh nha cho trẻ em dưới 13 tuổi:
- Khí cụ 2×4: Làm đều răng hàm trên và hàm dưới một cách hiệu quả khi răng trẻ em mọc chìa ra ngoài, mọc lệch lạc.
- Khí cụ Headgear: Có tác dụng điều chỉnh sự phát triển của xương hàm, làm giảm tình trạng hô trong trường hợp hô liên quan đến xương.
- Khí cụ Twinblock: Dùng để đẩy hàm dưới về phía trước cân đối với hàm trên. Khí cụ này có tác dụng điều chỉnh cung hàm mà không ảnh hưởng đến răng và được coi là giai đoạn khởi đầu của quá trình chỉnh nha sau này.
Khí cụ dùng cho người trưởng thành
Niềng răng invisalign là phương pháp niềng răng tháo lắp dành cho người lớn. Khay niềng trong suốt được thiết kế vừa khít với răng, tạo lực tác động mạnh giúp phục hình răng về đúng vị trí trên xương hàm. Các khay niềng răng được làm riêng cho từng khách hàng và mỗi khách hàng sẽ cần khoảng 20 đến 40 khay niềng răng trong quá trình chỉnh nha, tùy thuộc vào tình trạng răng lệch lạc như thế nào.
Niềng răng cửa thưa mất bao nhiêu tiền?
Có nhiều lý do khiến răng cửa bị thưa, bao gồm:
- Do thiếu mầm răng: Vì một số lý do mà ở một số người không có mầm răng vĩnh viễn, bị trống, răng bên cạnh sẽ mọc lên thay thế răng đã mất nhưng không được lấp đầy hoàn toàn, để lại các khe thưa. Thông thường, nếu răng cửa bị thưa vì nguyên nhân này thì khoảng trống sẽ lớn.
- Do răng mọc ngầm: Răng mọc ngầm phía dưới chân răng cửa thay vì chui ra khỏi nướu sẽ khiến các răng cửa bị tách ra, tạo nên một khoảng trống nhỏ giữa hai răng.
- Do các bệnh lý răng miệng: Viêm nướu, mất răng và các bệnh lý khác đều là những vấn đề có thể gây ra tình trạng răng thưa. Bởi những bệnh lý này có thể dẫn đến tiêu xương, tụt nướu, khiến răng không những bị thưa mà còn dài hơn.
Niềng răng cửa thưa mất bao nhiêu tiền sẽ có mức giá khác nhau ở mỗi trung tâm nha khoa. Tại Nha Khoa Nhân Tâm, chi phí niềng răng cửa bị thưa được niêm yết công khai và rõ ràng. Chi phí niềng răng thưa bao nhiêu tiền sẽ được bác sĩ quyết định sau khi thăm khám tình trạng răng miệng của khách hàng.
Tại sao nên đeo hàm duy trì sau niềng răng?
Hàm duy trì sau niềng răng là một khí cụ hỗ trợ cho kết quả niềng răng được ổn định. Vai trò của khí cụ này là giữ cho răng về đúng vị trí sau khi tháo mắc cài. Những người niềng răng cần đeo hàm duy trì sau khi niềng răng là bởi vì:
- Cấu trúc của răng được điều chỉnh theo lực siết của dây cung và mắc cài trong một khoảng thời gian nhất định. Tuy nhiên, răng vẫn có thể bị dịch chuyển hoặc lệch lạc trong các hoạt động như ăn uống. Do đó, sau khi tháo mắc cài, khách hàng cần đeo hàm duy trì để cố định răng tránh tình trạng răng trở về vị trí ban đầu.
- Mô nha chu và mô nướu vừa trải qua thời gian dài nắn chỉnh nên đặc biệt nhạy cảm. Sau khi sửa chữa, chúng cần thêm thời gian để thích nghi và tái cấu trúc. Hàm duy trì chính là công cụ hỗ trợ đắc lực để khách hàng thực hiện được điều này.
Tại sao cần phải đeo thun niềng răng?
Trong kỹ thuật niềng răng, bác sĩ sẽ sử dụng hệ thống dây cung và mắc cài để tạo lực kéo răng về đúng vị trí trên cung hàm. Dây thun niềng răng được sử dụng để tạo thêm lực, giúp răng di chuyển nhanh chóng, sắp xếp các răng trên và dưới cân xứng với nhau cho khớp cắn chuẩn.
Thun niềng răng sẽ được gắn vào hệ thống mắc cài tương ứng giữa răng hàm trên và răng hàm dưới. Ngoài tác dụng điều chỉnh khớp cắn, thun niềng răng còn có tác dụng kéo răng khấp khểnh, hoặc răng mọc không thẳng hàng về đúng vị trí. Đồng thời, đối với trường hợp răng hô, dây thun sẽ được đặt vào móc phía trước của hàm trên và nối với móc phía sau của hàm dưới nhằm kéo các răng trên về phía sau, và kéo các răng dưới về phía trước, tạo sự cân đối cho hàm răng.
Độ tuổi niềng răng thích hợp nhất là khi nào?
Độ tuổi niềng răng được chia thành ba giai đoạn chính. Mỗi giai đoạn sẽ tương ứng với từng phác đồ điều trị khác nhau. Dưới đây là 3 giai đoạn phổ biến của tuổi niềng răng:
6-11 tuổi: Trainer chỉnh nha
Niềng răng Trainer là một phương pháp phù hợp với lứa tuổi dành cho trẻ em đã thay răng sữa và răng vĩnh viễn mới mọc. Hàm trainer được làm bằng chất liệu silicone và có thể tháo rời, vì vậy rất phù hợp cho trẻ nhỏ, giúp trẻ giảm thiểu các khuyết điểm về răng miệng. Tuy nhiên, cần lưu ý, dụng cụ này chỉ có tác dụng định hướng cho răng mọc về đúng vị trí, hỗ trợ phát triển cân đối xương hàm và giúp trẻ loại bỏ những thói quen xấu.
12-16 tuổi: Độ tuổi “vàng” để niềng răng
12-16 tuổi được xem là thời kỳ hoàng kim của việc niềng răng. Lúc này, răng sữa đã được thay thế bằng răng vĩnh viễn, tuy nhiên xương hàm chưa ổn định hoàn toàn sẽ dễ dàng thao tác, uốn nắn hơn. Do đó, khung xương mặt sẽ trở nên cân đối, không bị biến dạng.
Niềng răng đúng độ tuổi ở trẻ nhỏ sẽ giảm bớt cảm giác khó chịu, đau nhức, khó ăn nhai. Ngoài ra, niềng răng ở lứa tuổi này ít ảnh hưởng đến quá trình giao tiếp, hiệu quả niềng răng rõ rệt và nhanh chóng hơn.
17-35: Niềng răng theo chỉ định của bác sĩ
Nếu từ 12-16 tuổi là độ tuổi “vàng” để niềng răng thì từ năm 17 tuổi niềng răng có còn hiệu quả không? Khi trưởng thành, xương hàm đã hoàn thiện và răng đã cố định chắc chắn nên thời gian niềng răng chắc chắn sẽ khác so với niềng răng ở “thời điểm vàng”. Tuy nhiên, đeo niềng răng ở tuổi trưởng thành vẫn rất hiệu quả.
Niềng răng xong có dịch chuyển về như cũ không?
Mặc dù có những ưu điểm vượt trội mà phương pháp niềng răng mang lại nhưng vẫn có khả năng răng sau khi niềng chạy về lại vị trí cũ vì một số lý do:
- Sai hướng điều trị: Nếu bác sĩ không chuyên sâu về niềng răng - chỉnh nha, không có kinh nghiệm điều trị thì rất dễ chẩn đoán sai tình trạng răng và lên phác đồ điều trị không hợp lý. Điều này sẽ gây ảnh hưởng nghiêm trọng đến kết quả niềng răng.
- Không đảm bảo thời gian đeo mắc cài: Một số trường hợp không đảm bảo được thời gian đeo mắc cài, do những lý do cá nhân như: đi công tác, du học, kết hôn,… nên quá trình niềng răng vẫn chưa được hoàn thành, dễ dẫn đến tình trạng răng trở về vị trí ban đầu.
- Không đeo hàm duy trì: Sau khi quá trình niềng răng hoàn tất, bác sĩ thường khuyên bạn nên đeo hàm duy trì để duy trì hiệu quả chỉnh nha. Nếu bạn không đáp ứng được điều này sẽ khiến răng bị chạy lại vị trí cũ.
- Mọc răng khôn: Răng khôn mọc lệch trong quá trình niềng răng cũng có thể ảnh hưởng đến kết quả.
Niềng răng thun màu nào đẹp nhất?
Thun niềng răng đóng vai trò rất quan trọng trong quá trình niềng răng. Hiện nay trên thị trường có rất nhiều loại thun như: thun tách kẽ, thun đơn, thun chuỗi, thun liên hàm… Việc sử dụng loại thun nào tùy thuộc vào tình trạng răng cụ thể của mỗi người. Trong đó, loại thun có màu sắc đa dạng nhất là thun đơn, loại dây thun này có chức năng cố định dây cung và mắc cài lại với nhau, có độ đàn hồi nhất định nên nhìn chung cần phải thay sau khoảng 2 tuần sử dụng.
Thông thường, niềng răng với các loại mắc cài có màu sắc sẽ phổ biến ở trẻ em. Nhiều bạn thắc mắc không biết niềng răng thun màu nào đẹp nhất? Với đa dạng màu sắc như đỏ, vàng, trắng, xanh, thậm chí là dây ngũ sắc, các bé có thể tùy ý lựa chọn theo nhu cầu cũng như sở thích của mình, hoặc tương ứng với dịp lễ hội nào đó, chẳng hạn như màu đỏ và xanh lá cho dịp Giáng sinh, màu vàng và đỏ cho dịp Tết.
Các loại thun này sẽ được thay thế trong quá trình điều chỉnh niềng nên bạn có thể dễ dàng thay đổi màu sắc theo ý thích của mình. Lựa chọn màu sắc của thun sẽ giúp trẻ tham gia vào quá trình điều trị, tạo mối quan hệ gần gũi với các loại khí cụ vốn gây ít nhiều khó chịu này đấy.
Chi phí niềng răng hô hiện nay là bao nhiêu?
Chi phí niềng răng hô hiện nay là bao nhiêu là câu hỏi được rất nhiều khách hàng quan tâm, đặc biệt là những người đang có ý định chỉnh nha.
Hiện nay, chi phí niềng răng hô không phải là quy luật chung cũng như không cố định, giá niềng răng còn tùy thuộc vào từng trường hợp khách hàng khác nhau và từng phòng khám khác nhau. Để biết chính xác chi phí của dịch vụ này, khách hàng nên đến cơ sở nha khoa uy tín để được tư vấn chính xác nhất. Tại Nha Khoa Nhân Tâm, chi phí niềng răng hô dao động trong khoảng 60-120 triệu.
Niềng răng thưa mất bao lâu?
Trên thực tế, thời gian niềng răng thưa mất bao lâu sẽ khác nhau ở mỗi người, bởi mức độ lệch lạc của răng sẽ khác nhau. Thời gian niềng răng trung bình khoảng 1 đến 2 năm.
Ngoài ra, thời gian đeo niềng răng bao lâu còn phụ thuộc vào loại mắc cài bạn sử dụng, chuyên môn của bác sĩ và cách chăm sóc, vệ sinh răng miệng hàng ngày của bạn. Do đó, nếu bạn có ý định niềng răng, hãy trao đổi với bác sĩ để được tư vấn cụ thể. Dựa trên kết quả thăm khám và chụp phim X-quang, bác sĩ sẽ xác định tình trạng răng của bạn, lên phương án điều trị cụ thể.
Khám phá địa chỉ niềng răng tại TPHCM uy tín hiện nay
Tiêu chí đánh giá địa chỉ niềng răng uy tín
Địa chỉ niềng răng tại TPHCM uy tín cần phải đáp ứng đầy đủ các tiêu chí như:
Bác sĩ giỏi, giàu kinh nghiệm
Bác sĩ niềng răng giỏi cần phải am hiểu tường tận về cấu trúc vùng sọ-mặt, đồng thời nắm được lực tác động của từng loại khí cụ, giàu kinh nghiệm lâm sàng thì mới có thể mang lại hiệu quả cao và đảm bảo an toàn cho khách hàng.
Trang thiết bị hiện đại
Bất kỳ một dịch vụ nha khoa nào cũng sẽ có tỷ lệ thành công cao hơn nếu sử dụng máy móc và trang thiết bị hiện đại trong quá trình điều trị. Những địa chỉ niềng răng uy tín, chất lượng sẽ trang bị đầy đủ cơ sở vật chất, ứng dụng công nghệ cao, hỗ trợ quá trình niềng răng chính xác, nhanh chóng, thuận tiện và ngăn ngừa biến chứng.
Vật liệu chỉnh nha chất lượng cao
Việc đảm bảo chất lượng của các thiết bị và vật liệu chỉnh nha đạt tiêu chuẩn đòi hỏi nguồn vốn đầu tư đáng kể và không phải cơ sở nào cũng đáp ứng được yêu cầu này. Do đó, khi nhắc đến địa chỉ niềng răng, bạn đừng quên hỏi về chất lượng của vật liệu được sử dụng, ưu nhược điểm của những vật liệu này.
Chất lượng dịch vụ và chế độ bảo hành
Một tiêu chí không thể bỏ qua khi tìm địa chỉ niềng răng tại TPHCM uy tín đó là chất lượng dịch vụ và chế độ bảo hành của nha khoa đó. Bạn hãy đến nơi đó xem nhân viên có tiếp đón ân cần hay không và hỏi họ về chính sách bảo hành rồi mới đưa ra quyết định.
Nha khoa Nhân Tâm - Địa chỉ niềng răng uy tín không thể bỏ qua

Nha khoa Nhân Tâm - Địa chỉ niềng răng uy tín hàng đầu tại TPHCM
Để trả lời cho câu hỏi niềng răng ở đâu tốt thì không thể không nhắc đến Nha khoa Nhân Tâm. Hơn 25 năm hình thành và phát triển, Nha khoa Nhân Tâm đã thực hiện thành công hàng nghìn ca niềng răng từ đơn giản đến phức tạp, giúp khách hàng khắc phục hiệu quả tình trạng răng hô, móm, lệch lạc ... và chinh phục hàm răng đều đẹp, chuẩn khớp cắn.
Đến với Nha Khoa Nhân Tâm, bạn sẽ được bác sĩ Trần Thị Nga, Giám đốc chuyên môn Nha khoa Nhân Tâm - Bác sĩ chỉnh nha với hơn 25 năm kinh nghiệm trực tiếp thăm khám, tư vấn và điều trị. Tốt nghiệp chỉnh nha khóa đầu tiên và khóa chỉnh nha nâng cao tại Viện răng hàm mặt TW, được đào tạo các khóa chỉnh nha tại Pháp, Mỹ và Hàn Quốc, Bác sĩ Nga có đầy đủ chuyên môn và kinh nghiệm để thực hiện thành công tất cả các trường hợp niềng răng. Bác sĩ đã điều trị tất cả các ca phức tạp, cắn hở, hô hoặc móm quá nhiều bằng các kỹ thuật TADS, nẹp vít zygomatic để làm lún răng, giải quyết những ca khó,…
Ngoài ra, Nhân Tâm còn trang bị hệ thống máy móc tiên tiến nhất được nhập khẩu từ Châu u: máy chụp phim sọ đầu Cephalometric,... Giúp bác sĩ chẩn đoán chính xác cấu trúc răng hàm mặt, mức độ khiếm khuyết của răng, để lên kế hoạch điều trị chi tiết. Bên cạnh đó, phần mềm chỉnh nha V-ceph 3D giúp tiên lượng trước kết quả niềng răng, hỗ trợ tối đa cho bác sĩ trong quá trình niềng răng. Đồng thời, nha khoa trang bị hệ thống vô trùng đạt tiêu chuẩn quốc tế, phòng điều trị độc lập, bộ dụng cụ riêng biệt cho từng khách hàng.
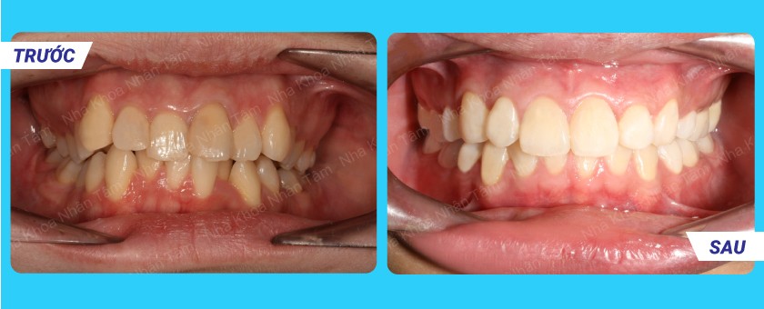
Hình ảnh khách hàng trước và sau khi niềng răng thẩm mỹ tại Nha Khoa Nhân Tâm
Nếu bạn còn đang phân vân không biết có nên niềng răng không hoặc thắc mắc niềng răng đẹp cỡ nào thì hãy cùng xem hình ảnh niềng răng đẹp tại Nha khoa Nhân Tâm dưới đây.



Trải nghiệm niềng răng của khách hàng tại Nha khoa Nhân Tâm
Giai đoạn trước khi niềng răng
Việc đầu tiên là bạn phải tìm cho mình một địa chỉ nha khoa niềng răng uy tín. Bác sĩ sẽ kiểm tra răng của bạn xem có vấn đề gì không và chụp X-quang toàn bộ xương hàm của bạn. Sau đó, lên kế hoạch điều trị phù hợp với tình trạng răng miệng của bạn, tư vấn về thời gian hoàn thành, hẹn lịch gắn mắc cài hoặc làm khay niềng trong suốt.
Hiện nay có rất nhiều phương pháp niềng răng như: niềng răng mắc cài kim loại, niềng răng mắc cài sứ, niềng răng không mắc cài… tùy theo nhu cầu và điều kiện kinh tế của bạn mà có thể lựa chọn phương pháp phù hợp.
Giai đoạn theo dõi
Bác sĩ sẽ lấy dấu mẫu hàm bằng cách đúc thạch cao hoặc sử dụng công nghệ kỹ thuật số 3Shape 3D, sau đó thiết kế khung niềng phù hợp cho từng khách hàng.
Tùy trường hợp mà có thể hẹn đặt thun ở lần hẹn đầu tiên. Bác sĩ sẽ đặt dây thun vào giữa các răng để tạo khoảng trống giữa các răng. Điều này sẽ giúp gắn các khâu vào răng hàm được dễ dàng hơn. Sau khi đặt thun, bạn sẽ có cảm giác hơi vướng víu khi cắn răng. Kết thúc cuộc hẹn đầu tiên, bác sĩ sẽ đặt lịch hẹn sau 5-7 ngày quay lại để gắn khâu và gắn mắc cài.
Đeo khâu và gắn mắc cài sẽ tốn khá nhiều thời gian. Sau khi gắn mắc cài, bạn sẽ có cảm giác vướng víu, khó chịu. Mắc cài khi cọ vào má trong gây rát, tuy nhiên cảm giác này chỉ kéo dài 2-3 ngày vì chưa quen.
Trong 3 tháng đầu sau khi niềng răng, bạn sẽ cảm nhận được sự thay đổi vị trí của răng. Nhưng răng vẫn chưa được thẳng đều như ý muốn.
Sau 6 tháng, mức độ di chuyển của răng sẽ chậm hơn so với thời gian đầu. Những thay đổi đáng kể sẽ rõ ràng sau 9 tháng. Các răng sẽ được sắp xếp đều đặn hơn, hai hàm sẽ nhìn tương quan với nhau, có khuôn đối xứng.
Đến tháng thứ 16, quá trình niềng răng gần như hoàn tất, theo đúng kế hoạch điều trị của bác sĩ. Nha sĩ sẽ kiểm tra lại và chỉnh sửa những điểm chưa được hoàn thiện.
Giai đoạn kết thúc niềng răng
Nhật ký niềng răng - Tháng 19: Hoàn thành ca niềng răng. Tuy nhiên, theo bác sĩ, một số răng mọc lệch quá nhiều thì thời gian chỉnh nha sẽ lâu hơn. Ngoài ra, sau khi niềng răng, bạn nên đeo hàm duy trì để có kết quả tốt nhất và tránh việc răng bị chạy về vị trí cũ
Chia sẻ chân thực từ khách hàng sau khi niềng răng thẩm mỹ tại Nha Khoa Nhân Tâm
Khách hàng Trần Thị Thủy (25 tuổi, TPHCM) chia sẻ: “Răng tôi trước đây bị hô nhẹ nên tôi không biết có nên niềng răng hay không, băn khoăn không biết niềng răng hô nhẹ giá bao nhiêu. Nhưng khi thấy nhiều người niềng răng và trở nên đẹp hơn thì tôi đã tìm đến Nha khoa Nhân Tâm để được tư vấn. Bởi ấn tượng với bác sĩ tận tình, nhân viên thân thiện, cùng cơ sở vật chất khang trang, hiện đại nên tôi đã không ngần ngại quyết định niềng răng tại đây. Sau hành trình hơn 2 năm thì giờ đây hàm răng của tôi đã trở nên đều đẹp, nụ cười rạng rỡ hơn, vì thế cũng tự tin hơn”.
Khách hàng Nguyễn Xuân Khanh (26 tuổi, TPHCM) cho biết: “Răng của tôi chỉ bị lệch và thưa nhẹ một vài răng nên bác sĩ tư vấn phương pháp niềng răng trong suốt. Tôi cực kỳ ấn tượng với bác sĩ, không chỉ phân tích cụ thể khuyết điểm răng mà còn tư vấn rất tận tình, cho tôi biết niềng răng thưa mất bao lâu, niềng răng trong suốt Invisalign giá bao nhiêu, niềng răng trong bao lâu với trường hợp của tôi. Quả thật niềng răng bằng khay trong suốt rất tiện lợi, tôi có thể ăn uống thoải mái, không gây bất kỳ bất tiện nào, mọi người cũng không biết là tôi niềng răng. Chỉ sau 1 năm là răng tôi đã đều đẹp, tôi rất hài lòng với dịch vụ tại Nha khoa Nhân Tâm”.
Báo chí nói gì về dịch vụ niềng răng thẩm mỹ tại Phòng khám Nha khoa Nhân Tâm
Trên đây là tất tần tật những thông tin về niềng răng thẩm mỹ. Niềng răng là một quá trình lâu dài, vì thế bạn đừng quá quan tâm đến vấn đề niềng răng bao nhiêu mà bỏ qua yếu tố chất lượng. Nha khoa Nhân Tâm sẽ là địa chỉ niềng răng uy tín mà bạn có thể tin tưởng lựa chọn. Để được tư vấn cụ thể, hãy liên hệ ngay đến Hotline 1900 56 5678 hoặc đến trực tiếp địa chỉ 807 Đường 3/2, Phường 7, Quận 10, TP.HCM.
LIÊN HỆ NHA KHOA NHÂN TÂM
Địa chỉ: 807 Đường 3/2, Phường 07, Quận 10, TP Hồ Chí Minh.
Hotline: 1900 56 5678 - 0842 56 5678
Zalo/Viber: 0338 56 5678
Email: drnhan1@gmail.com
Messenger: m.me/nhantamdental
Fanpage: fb.com/nhantamdental
Youtube: youtube.com/c/nhantamdental
Thời gian làm việc:
- Thứ 2 đến thứ 7: 8h00 - 20h00
- Chủ nhật: 8h00 - 17h00
Xem thêm:
*Chụp phim X-Quang hoặc phim 3 chiều CT Cone Beam là một bước quan trọng trong quy trình điều trị phục hồi răng. Vì vậy Khách hàng sẽ được Bác sĩ của nha khoa Nhân Tâm chỉ định đến các cơ sở y tế đủ chức năng để thực hiện trước khi điều trị.


















