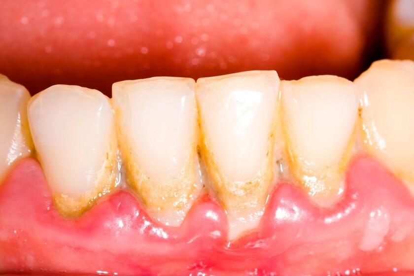
Cạo vôi răng (hoặc lấy cao răng) là quá trình loại bỏ mảng bám trên nướu. Khi vôi răng bám chặt vào bề mặt răng sẽ gây mất thẩm mỹ, hơi thở có mùi khó chịu và việc vệ sinh răng miệng gặp nhiều khó khăn. Nếu tình trạng lâu ngày sẽ gây viêm nướu, viêm nha chu, các mô sẽ tạo mủ, làm lung lay răng, thậm chí dẫn đến rụng răng.
Cạo vôi răng đúng cách giúp ngăn ngừa bệnh răng miệng. Bạn cần cạo vôi răng định kỳ 3-6 tháng/lần, ngoài ra tùy vào tình trạng răng miệng, mức độ hình thành vôi răng mà bác sĩ sẽ ít nhiều xác định thời điểm lấy vôi răng.
Cạo vôi răng là gì?
Cạo vôi răng (hoặc lấy cao răng) là quá trình loại bỏ mảng bám trên nướu bằng cách sử dụng rung động siêu âm từ đầu của máy cạo vôi. Nếu không lấy vôi răng định kỳ sẽ dễ dẫn đến bệnh lý viêm nướu. Đây là giai đoạn đầu của bệnh viêm nha chu, nếu bệnh được điều trị kịp thời sẽ hết nhanh chóng. Ngược lại, nếu tình trạng viêm nướu lâu ngày, các mô sẽ gây mủ, làm lung lay răng, thậm chí dẫn đến rụng răng.

Cạo vôi răng là quá trình loại bỏ mảng bám trên nướu
Phân loại các loại vôi răng
Thông thường, vôi răng có 2 loại đó là:
- Vôi răng nước bọt: Thường có màu vàng nhạt, vàng nâu do muối canxi trong nước bọt đọng lại trên mảng bám thức ăn, loại này thường thấy ở bề mặt nướu, mặt và cổ răng
- Vôi răng huyết thanh: Thường gặp ở người bị viêm lợi, khi chảy máu chân răng, huyết thanh sẽ dính mảng vôi răng. Lúc này vi khuẩn trong khoang miệng tích tụ lại, chúng sẽ phát triển và làm dày lớp vôi răng. Chúng thường có màu đen và dính chặt dưới nướu nên bạn khó có thể nhìn thấy chúng.
Vôi răng ảnh hưởng đến răng miệng như thế nào?
Khi vôi răng bám chặt vào bề mặt răng sẽ gây mất thẩm mỹ, hơi thở có mùi khó chịu và việc vệ sinh răng miệng gặp nhiều khó khăn. Vi khuẩn cũng được tìm thấy trên bề mặt vôi răng. Vi khuẩn sẽ lên men đường trong thức ăn, gây sâu răng và có thể làm hỏng men răng.
Vi khuẩn trong vôi răng kích ứng nướu gây ra các tình trạng như viêm nướu: nướu sưng, đỏ, chảy máu... Viêm nướu có thể khỏi nếu lấy vôi răng và vệ sinh răng miệng đúng cách. Nếu viêm nướu không được điều trị, vôi răng sẽ tích tụ nhiều hơn và tồn tại lâu dài dẫn đến viêm nha chu. Khi đó hệ thống miễn dịch của cơ thể sẽ tiết ra các chất để chống lại vi khuẩn.
Điều này không chỉ ảnh hưởng đến xương mà còn làm cho mô nha chu có tác dụng nâng đỡ và ổn định răng trên cung răng bị suy yếu, không thể giữ răng khiến răng bị lung lay dẫn đến mất răng. Ngoài ra, vi khuẩn còn là nguyên nhân gây ra các bệnh nguy hiểm như viêm tủy viêm niêm mạc miệng, lở miệng, viêm amidan, viêm họng...

Vôi răng có thể gây ra nhiều bệnh lý răng miệng nguy hiểm
Khi nào nên cạo vôi răng
Có nên cạo vôi răng không? Cạo vôi răng đúng cách, đúng thời điểm giúp ngăn ngừa bệnh lý răng miệng. Tuy nhiên, khi thực hiện quá mức, phương pháp này sẽ dẫn đến tổn thương răng và các mô xung quanh. Do đó, tùy vào tình trạng sức khỏe răng miệng của bạn và độ dày của lớp vôi răng mà bác sĩ chỉ định khi nào nên lấy vôi răng:
- Lấy vôi răng định kỳ 6 tháng/lần, áp dụng cho người có ít vôi răng và không mắc các bệnh lý răng miệng.
- Lấy vôi răng 3-4 tháng một lần nếu bạn uống trà hoặc cà phê thường xuyên, có thói quen hút thuốc hoặc răng có nhiều mảng bám tích tụ từ thức ăn.
- Ở trẻ em dưới 10 tuổi, cần thăm khám kỹ lưỡng và cạo vôi răng nhẹ nhàng.
- Đặc biệt người bị sâu răng, đang trong thời kỳ kinh nguyệt hoặc trẻ em dưới 6 tuổi không nên lấy vôi răng để tránh tổn thương nướu và răng.

Nên cạo vôi răng định kỳ 3-6 tháng/lần
Chi phí cạo vôi răng là bao nhiêu?
Cạo vôi răng bao nhiêu tiền phụ thuộc vào nhiều yếu tố. Vì vậy, bạn nên đến gặp bác sĩ để được thăm khám cụ thể nhằm kiểm tra tình trạng chung của răng miệng. Sau đây là tổng hợp các yếu tố có thể ảnh hưởng đến chi phí cạo vôi răng:
- Mức độ vôi răng ít hay nhiều: Đây là một trong những yếu tố ảnh hưởng đến việc lấy vôi răng bao nhiêu tiền. Nhìn chung người có ít vôi răng, đồng thời không mắc các bệnh lý về răng miệng sẽ chi trả chi phí thấp hơn.
- Đối tượng: Chi phí lấy vôi răng tùy thuộc vào đối tượng. Trẻ em thường chịu chi phí lấy vôi răng thấp hơn của người lớn.
- Địa chỉ nha khoa: Cạo vôi răng là một thủ thuật nha khoa không quá phức tạp, có thể thực hiện ở bất kỳ trung tâm nào. Tuy nhiên, chi phí cạo vôi răng ở mỗi địa chỉ lại khác nhau. Nó phụ thuộc vào cơ sở, trình độ bác sĩ và trang thiết bị. Vì vậy, bạn lưu ý liên hệ với một số cơ sở uy tín để có quyết định đúng đắn.

Vôi răng giá bao nhiêu còn tùy thuộc vào địa chỉ nha khoa mà bạn chọn
Như chúng ta thấy, chi phí lấy vôi răng phụ thuộc vào rất nhiều yếu tố, do đó cần đến địa chỉ điều trị nha khoa và tham khảo bảng giá cạo vôi răng.
Quy trình cạo vôi răng tiêu chuẩn tại nha khoa Nhân Tâm
Khám tổng quát
Khách hàng sẽ được các bác sĩ thăm khám, kiểm tra tổng quát và tư vấn cụ thể. Nếu có bệnh lý răng miệng bác sĩ sẽ thông báo và đề nghị phương pháp điều trị.
Cạo vôi răng
Sau khi quá trình thăm khám hoàn tất, bác sĩ sẽ tiến hành bước cạo vôi răng. Ở giai đoạn này, bác sĩ cần thận trọng loại bỏ hiệu quả mảng bám trong khoang miệng. Đồng thời, thao tác phải được thực hiện đúng kỹ thuật để không làm tổn thương mô nướu, tránh những biến chứng nặng nề có thể phát sinh về sau. Quy trình lấy vôi răng được thực hiện theo các bước sau:
- Đầu tiên, bác sĩ cạo vôi thân răng để loại bỏ mảng bám trên răng. Ở những vị trí này có thể nhìn thấy rõ ràng, vì vậy quá trình lấy vôi răng diễn ra dễ dàng và trơn tru.
- Sau đó tiếp tục lấy vôi phần kẽ răng, nơi tiếp xúc giữa răng và nướu nhằm làm sạch thân răng nằm dưới nướu. Cần làm sạch vôi răng ở những vùng này vì chúng là nguyên nhân gây viêm nha chu. Vị trí này khó khăn hơn vì vôi răng ở đây rất cứng. Bác sĩ mất nhiều thời gian để cạo sạch hoàn toàn.

Cạo vôi răng cần được thực hiện nhẹ nhàng
Đánh bóng răng
Sau khi cạo sạch vôi răng, bác sĩ sẽ đánh bóng để răng sạch và sáng bóng. Biện pháp này cũng hạn chế sự tích tụ mảng bám trên răng sau này. Tuy nhiên, nếu khách hàng bị viêm nướu thì nên điều trị dứt điểm trước khi đánh bóng, bước này không bắt buộc. Đánh bóng giúp khách hàng hết cảm giác khó chịu và cũng giúp cải thiện thẩm mỹ cho bệnh nhân. Hầu hết tất cả các bác sĩ đều kết hợp giữa cạo vôi và đánh bóng. Quy trình diễn ra nhanh chóng và an toàn. Khách hàng không cần quá lo lắng về vấn đề cạo vôi răng bao lâu.
Hoàn thành, dặn dò cách chăm sóc răng miệng
Sau khi thực hiện xong các bước trên, khách hàng súc miệng lại bằng nước sạch để loại bỏ hiệu quả các mảng bám còn sót lại bên trong. Sau đó bác sĩ sẽ tư vấn cách chăm sóc răng miệng giúp khách hàng hiểu các việc cần thiết để hạn chế sự hình thành mảng bám.
Một số lưu ý sau khi cạo vôi răng
Để răng được sáng bóng, chắc khỏe, tránh tình trạng răng ê buốt, sau khi cạo vôi răng cần lưu ý:
- Không hút thuốc lá: Hút thuốc sau khi cạo vôi răng sẽ làm cho răng bị vàng và xỉn màu. Lúc này men răng dễ bị bào mòn và đổi màu hơn.
- Không tẩy trắng răng: Sau khi lấy vôi răng, men răng và nướu chưa ổn định, nhất định không tẩy trắng răng vì làm ê buốt và kích ứng nướu.
- Tránh các thức ăn ngọt: Bạn nên hạn chế thực phẩm chứa nhiều đường như: kẹo, sô cô la,... Vì những thực phẩm này là nguyên nhân chính gây sâu răng và viêm nướu.
- Tránh dùng đồ uống có ga, cồn, nước có màu: Chúng dễ gây ố vàng răng.
- Không ăn thức ăn quá nóng, quá lạnh, quá cay: Làm răng nhạy cảm và có thể gây tê buốt, thậm chí gãy răng, tụt nướu, chết tủy.
- Không tự ý cạo vôi răng tại nhà.

Sau khi cạo vôi răng cần hạn chế những thức ăn chứa nhiều đường vì dễ gây kích ứng
Những câu hỏi liên quan đến cạo vôi răng
Lấy vôi răng nhiều lần có tốt không?
Cạo vôi răng là phương pháp loại bỏ những mảng bám cứng chắc trên bề mặt nướu, mang lại nhiều lợi ích cho răng. Tuy nhiên, việc sử dụng vôi răng quá nhiều thường có thể dẫn đến tổn thương răng. Do đó, bạn chỉ cần cạo vôi răng định kỳ 3-6 tháng/lần, ngoài ra tùy vào tình trạng răng miệng, mức độ hình thành vôi răng mà bác sĩ sẽ ít nhiều xác định thời điểm lấy vôi răng. Cụ thể:
- Những người có men răng sáng bóng, sức khỏe răng miệng tốt, ít tích tụ vôi răng nên cạo vôi răng khoảng 6 tháng một lần.
- Những người có men răng thô ráp, dễ tích tụ các mảnh vụn thức ăn, thường xuyên uống trà, cà phê, hút thuốc nên lấy vôi răng 3 tháng/lần.
Cạo vôi răng có đau và ê buốt không?
Cạo vôi răng có đau không? Lấy vôi răng không gây đau nhức, bạn sẽ chỉ cảm thấy ê buốt nhẹ và cảm giác này sẽ biến mất sau vài ngày. Tuy nhiên, việc cạo vôi răng có gây đau, tổn thương nướu, chảy máu hay không còn phụ thuộc vào những yếu tố sau:
- Sức khỏe răng miệng: Nếu lấy vôi răng khi đang bị viêm nướu hoặc viêm nha chu, bạn sẽ có nguy cơ bị ê buốt và chảy máu cao hơn người bình thường.
- Kỹ thuật ứng dụng: Hiện nay, nhiều trung tâm đã áp dụng kỹ thuật sóng siêu âm để giảm thiểu tình trạng ê buốt răng miệng. Kỹ thuật này an toàn hơn so với việc sử dụng các dụng cụ cầm tay truyền thống.
- Tay nghề của bác sĩ: Việc lấy vôi răng được thực hiện nhanh chóng và thuận lợi khi bác sĩ có trình độ chuyên môn và kinh nghiệm cao.

Cạo vôi răng bằng sóng âm không gây ê buốt, đau nhức
Cạo vôi răng có làm trắng răng không?
Như đã nói ở trên, vôi răng thường có màu sậm hơn so với màu răng thật nên kém thẩm mỹ. Do đó, sau khi loại bỏ hết vôi răng, răng của bạn sẽ trở lại màu sắc tự nhiên như ban đầu. Nhiều người thường lầm tưởng cạo vôi răng sẽ làm trắng răng. Tuy nhiên, phương pháp này không có tác dụng tẩy trắng răng hay đổi màu men răng. Nếu muốn răng trắng hơn, bạn nên liên hệ với trung tâm nha khoa uy tín để được tư vấn các phương pháp tẩy trắng răng hiệu quả.
Nha khoa cạo vôi răng uy tín ở TPHCM?
Nói đến địa chỉ tẩy trắng răng uy tín, chi phí hợp lý tại TP.HCM, bạn không thể bỏ qua Nha khoa Nhân Tâm. Chất lượng dịch vụ cạo vôi răng tại Nhân Tâm hoàn toàn tỷ lệ thuận với mức chi phí bạn bỏ ra cùng những lợi ích nổi bật như:
- Đội ngũ bác sĩ trình độ cao, giàu kinh nghiệm trực tiếp thăm khám và thực hiện lấy vôi răng.
- Sử dụng công nghệ bóc tách siêu âm hiện đại. Với công nghệ này, vôi răng được loại bỏ hoàn toàn một cách dễ dàng, nhanh chóng và không gây đau đớn, không gây ê buốt răng. Ngoài ra, sóng siêu âm chỉ tác động đến vôi răng, không tác động đến men răng hay nướu nên đảm bảo an toàn tuyệt đối cho sức khỏe răng miệng.
- Quy trình lấy vôi răng được thực hiện nghiêm ngặt theo quy trình chuẩn quốc tế, tuân thủ yếu tố vô trùng nên loại bỏ hoàn toàn tình trạng lây nhiễm chéo.
- Đặc biệt, Nha khoa Nhân Tâm đầu tư đầy đủ trang thiết bị hiện đại đảm bảo an toàn tối đa cho khách hàng.

Nha khoa Nhân Tâm – địa chỉ đáng tin cậy cho mọi nhà
Hy vọng những thông tin trên sẽ giúp bạn hiểu và tìm được địa chỉ cạo vôi răng uy tín, giá cả phải chăng. Nếu bạn còn bất kỳ thắc mắc nào cần giải đáp hoặc muốn đặt lịch hẹn để trải nghiệm dịch vụ chất lượng cao với mức giá phù hợp, hãy liên hệ ngay với Nha khoa Nhân Tâm. Các chuyên gia sẽ tư vấn cụ thể miễn phí cho bạn.
*Chụp phim X-Quang hoặc phim 3 chiều CT Cone Beam là một bước quan trọng trong quy trình điều trị phục hồi răng. Vì vậy Khách hàng sẽ được Bác sĩ của nha khoa Nhân Tâm chỉ định đến các cơ sở y tế đủ chức năng để thực hiện trước khi điều trị.




