Răng sứ thẩm mỹ Emax IPS là một trong những dòng răng toàn sứ được ưa chuộng nhất hiện nay nhờ sở hữu ưu điểm vượt trội như độ bền chắc cao, ăn nhai như răng thật, thẩm mỹ tinh tế và mang lại vẻ đẹp tự nhiên.
Răng sứ Emax là gì?

Răng sứ E.max giải pháp phục hình răng sứ được nhiều khách hàng lựa chọn
Răng toàn sứ IPS E.Max có lớp sườn được chế tạo từ khối sườn sứ Lithium Disilicate, được nung ở mức nhiệt độ rất cao, trên 1.600 độ C và được phủ một lớp sứ bên ngoài.
Răng toàn sứ IPS E.Max hiện được áp dụng phục hình trong mọi trường hợp (răng nhiễm màu, mất răng, răng vỡ mẻ hoặc răng thưa…) và ở mọi vị trí răng. Chất liệu này được coi là sự lựa chọn số một nếu muốn bọc răng sứ cho răng cửa.
Ưu điểm vượt trội của răng sứ E.Max
Ăn nhai như răng thật
E.Max là dòng răng sứ được tạo nên từ khối sườn sứ Lithium Disilicate – sản phẩm của công nghệ CEREC tân tiến, được nung ở nhiệt độ cao trên 1.600 độ C nên có độ cứng từ 900 – 1300 MPA, mức chịu lực đạt tới 400Mpa.
Bên cạnh đó, loại răng sứ này còn có đặc tính kháng gãy, kháng nứt tốt. Cho nên có thể phục hình tại tất cả các vị trí của răng, đáp ứng nhu cầu ăn nhai hiệu quả. Đồng thời đây là dòng sứ có tính chất sinh lý, độ đàn hồi và cảm biến thức ăn như răng thật, mang lại cảm giác ngon miệng, tự nhiên khi ăn nhai.

Răng toàn sứ E.Max giải pháp thẩm mỹ hàng đầu hiện nay
Thẩm mỹ toàn diện
Răng sứ E.Max có đặc tính thấu quang cao, giống như ngà răng nên có chiều sâu, sống động tự nhiên, tạo hiệu ứng phản quang và dẫn truyền ánh sáng như răng thật. Bên cạnh đó, chất liệu toàn sứ cùng lớp phủ bên ngoài tạo độ trong, bóng lý tưởng, màu sắc trắng sáng tự nhiên.
Một trong những ưu điểm của răng sứ E.Max giúp nó ghi điểm tuyệt đối chính là đặc tính kháng khuẩn, chống nhiễm màu thực phẩm.
Chính vì thế, dù trải qua thời gian lâu dài sử dụng, răng sứ E.Max vẫn không bị xuống màu, không ố vàng, hạn chế mảng bám và đặc biệt loại bỏ hoàn toàn tình trạng đen viền nướu như các dòng sứ kim loại truyền thống.

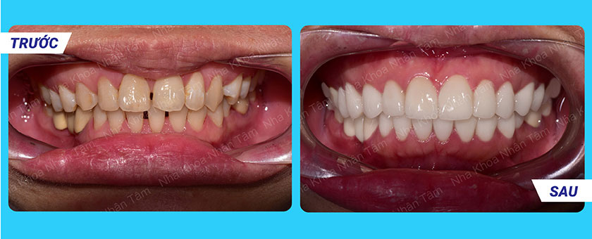
Hình ảnh khách hàng điều trị răng sứ thẩm mỹ tại Nha khoa Nhân Tâm
An toàn không kích ứng
Giống như các dòng răng toàn sứ khác, răng toàn sứ E.Max hoàn toàn tích hợp với mô nướu, loại bỏ tình trạng viêm nhiễm, sưng nướu sau phục hình. Khi tồn tại trong môi trường miệng nhiều năm, E.Max vẫn không gây ra bất cứ phản ứng phụ hóa học nào, không có dấu hiệu kích ứng nướu và đen viền nướu.
Răng sứ E.Max có chỉ số mài mòn phù hợp do đó sau thời gian lâu dài ăn nhai vẫn không làm tổn thương răng đối diện, duy trì sự ổn định lâu dài của khớp cắn tự nhiên.
Tuổi thọ cao
Nếu yêu cầu một loại răng sứ tồn tại lâu dài và bền chắc theo thời gian thì răng sứ E.Max sẽ là một lựa chọn tối ưu để phục hồi thẩm mỹ và chức năng răng.
Với chất liệu sứ toàn khối được chế tác tỉ mỉ, thời gian tồn tại của răng sứ thẩm mỹ E.Max thông thường trên 20 năm, có thể duy trì trọn đời nếu được chăm sóc tốt.

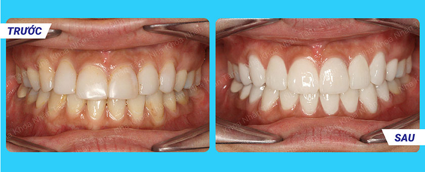
Hình ảnh khách hàng điều trị răng sứ thẩm mỹ tại Nha khoa Nhân Tâm
Răng toàn sứ E.Max có thể ứng dụng điều trị cho trường hợp nào?
Với những ưu điểm vượt bậc của mình răng toàn sứ E.Max có thể ứng dụng ở mọi vị trí răng và mang đến kết quả điều trị hoàn hảo cho những trường hợp sau đây:
- Răng thưa, khấp khểnh, không đều, ảnh hưởng trực tiếp đến thẩm mỹ và chức năng ăn nhai
- Răng hô, móm dạng nhẹ và được xác định nguyên nhân do răng
- Răng sâu, mẻ, vỡ, răng đã điều trị tủy
- Răng ố vàng do nhiễm kháng sinh, màu thực phẩm
- Răng nhiễm flour, bệnh lý thiểu sản men răng
- Mất răng do tai nạn, tuổi tác hoặc bệnh lý.

Hình ảnh khách hàng điều trị răng sứ thẩm mỹ tại Nha khoa Nhân Tâm
Chi phí phục hình với răng sứ E.Max
Bạn có thể tham khảo giá làm răng sứ E.Max và so sánh với các loại răng sứ khác qua bảng giá dưới đây:
Nha khoa Nhân Tâm – Trên 25 năm kinh nghiệm trong lĩnh vực răng sứ thẩm mỹ
Chỉ định chính xác
Điều trị răng sứ thẩm mỹ tại nha khoa gần đây nhất tại Nha Khoa Nhân Tâm khách hàng sẽ được thăm khám, tư vấn và trực tiếp điều trị bởi đội ngũ Bác sĩ trên 25 năm kinh nghiệm trong lĩnh vực điều trị răng sứ thẩm mỹ, tốt nghiệp chuyên khoa Răng - Hàm - Mặt tại các trường đại học danh tiếng trong nước và Quốc tế.
Luôn cập nhập xu hướng thẩm mỹ hiện đại, thực hiện thành công 100% các chỉ định phục hình răng sứ và đem đến sự hài lòng tuyệt đối cho khách hàng.
Thời gian thực hiện nhanh chóng
Ứng dụng công nghệ hiện đại và Kỹ thuật số hóa trong phục hình răng sứ với hệ thống CAD/CAM, phần mềm thiết kế nụ cười bản quyền Smile Design Pro, hệ thống chụp phim CT Cone Beam 3D, phần mềm lấy dấu mẫu răng kỹ thuật số 3Shape, hệ thống LAB chuẩn quốc tế ngay tại nha khoa,... giúp rút ngắn tối đa thời gian và đảm bảo răng sứ được phục hình tỉ mỉ, hoàn hảo đến từng chi tiết.
Đảm bảo an toàn
Nha khoa Nhân Tâm ứng dụng hệ thống vô trùng hiện đại với quy trình điều trị khép kín, loại bỏ hoàn toàn lây nhiễm chéo, tầm soát và kiểm soát bệnh lý tổng quát và bệnh lý nha khoa hiệu quả trước khi điều trị.
Hệ thống răng sứ và vật liệu nha khoa nhập khẩu trực tiếp từ châu Âu, bảo hành rõ ràng, cam kết cụ thể trong và sau điều trị.
Dịch vụ hoàn hảo
Dịch vụ thăm khám, tư vấn và xe đưa đón hoàn toàn miễn phí. Chế độ chăm sóc khách hàng tận tâm, ân cần, mang đến cảm giác thoải mái và hoàn toàn thuận lợi trong suốt thời gian điều trị.
Xem thêm: Quy trình lấy tủy và bọc sứ thẩm mỹ cho răng sâu
*Chụp phim X-Quang hoặc phim 3 chiều CT Cone Beam là một bước quan trọng trong quy trình điều trị phục hồi răng. Vì vậy Khách hàng sẽ được Bác sĩ của nha khoa Nhân Tâm chỉ định đến các cơ sở y tế đủ chức năng để thực hiện trước khi điều trị.




