Nhiều người dễ mắc phải tình trạng viêm nướu răng nhưng mọi người thường phớt lờ đi và không đến cơ sở nha khoa để điều trị. Bệnh viêm nướu kéo dài có thể gây ra các biến chứng dẫn đến mất răng vĩnh viễn và làm tổn hại đến sức khỏe của bạn.
Triệu chứng của viêm nướu răng
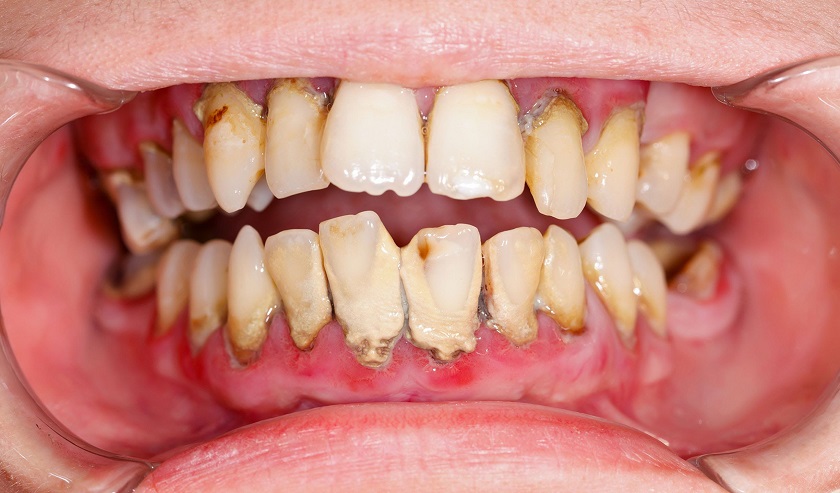
Bệnh viêm nướu răng có thể tiến triển mà không có dấu hiệu gây đau nhức trong giai đoạn đầu, do đó thường ít khi nào người mắc bệnh cảm nhận rõ ràng, ngay cả khi đang trong giai đoạn cuối của bệnh. Đa số người mắc bệnh lý viêm nướu thường gặp phải các triệu chứng dưới đây:
- Có dấu hiệu chảy máu nướu răng khi đánh răng
- Nướu đỏ, sưng và mềm
- Hôi miệng dai dẳng, khó chịu
- Tụt nướu gây lộ chân răng
- Hình thành các túi sâu
- Răng lung lay
- Các răng khớp với nhau khi cắn thay đổi
- Xuất hiện mủ giữa răng và nướu
- Đau khi nhai
- Răng nhạy cảm
Ngay khi không nhận thấy bất cứ triệu chứng nào, khách hàng cũng có thể đã bị viêm nướu mức độ nhẹ. Ở một số người, bệnh viêm nướu chân răng chỉ ảnh hưởng đến một số răng nhất định trong cung hàm như răng hàm. Chỉ có bác sĩ nha khoa chuyên ngành nha chu mới có thể xác định được mức độ tiến triển của viêm nướu và các bệnh nha chu. Do đó, bạn cần thăm khám bác sĩ định kỳ 2 lần mỗi năm để được chẩn đoán và có biện pháp chăm sóc răng hợp lý.
Nguyên nhân dẫn đến viêm nướu răng
Nguyên nhân phổ biến nhất của viêm chân răng là do vệ sinh răng miệng không hiệu quả, tạo điều kiện thuận lợi cho mảng bám hình thành trên răng, dẫn đến viêm các mô xung quanh nướu. Cụ thể là các nguyên nhân và yếu tố rủi ro có thể gây ra viêm nướu bao gồm:
Chế độ dinh dưỡng thiếu khoa học

Chế độ ăn uống không hợp lý có thể dẫn đến viêm nướu răng
Ăn quá nhiều đồ ăn ngọt, hoặc dùng đồ ăn quá nóng hay quá lạnh, sử dụng các chất có cồn như rượu bia, hút thuốc lá...sẽ dễ hình thành mảng bám trên răng, tạo điều kiện cho bệnh viêm nướu phát triển.
Bệnh tiểu đường
Phần lớn người bị mắc bệnh tiểu đường dễ bị mắc các bệnh nha chu nặng. Nguyên nhân là bởi vì lượng đường huyết không được kiểm soát, khiến cho nguy cơ mắc bệnh viêm nướu chân răng tăng cao. Vì đường huyết cao làm cho áp lực lên mạch máu tăng, đồng thời hạn chế khả năng vận chuyển chất dinh dưỡng đến mô nướu, khiến cho nướu yếu đi và bị nhiễm khuẩn.
Chăm sóc răng miệng sai cách
Trong quá trình ăn uống, nếu không được vệ sinh đúng cách sẽ làm cho cặn thức ăn còn mắc lại trong kẽ răng, chải răng sai cách, không làm sạch triệt để các mảng bám và cao răng trong miệng sẽ tạo điều kiện cho vi khuẩn tồn tại trong khoan miệng và phát triển. Vi khuẩn sẽ có khả năng tấn công đến tận chân răng, sản sinh ra các enzyme phá hủy liên kết các biểu mô giữa nướu và răng, gây ra viêm nướu.
Giảm tiết nước bọt do dùng thuốc
Có rất nhiều loại thuốc uống, đặc biệt nếu bạn đang sử dụng một số loại thuốc điều trị chống trầm cảm, lợi niệu dẫn đến khô miệng, giảm tiết nước bọt. Nước bọt tiết ra không đủ sẽ khiến cho mảng bám và cao răng ngày càng tích tụ nhiều hơn, gia tăng nguy cơ gây sâu răng, viêm nướu.
Các biến chứng nguy hiểm của viêm nướu răng
Khi bị viêm nướu răng, nếu không kịp thời chữa trị, bạn sẽ có thể sẽ mắc phải những biến chứng sau:
Viêm nha chu

Viêm nha chu là một biến chứng nguy hiểm
Bị viêm nướu nếu không được điều trị sớm sẽ chuyển sang giai đoạn viêm nha chu, với các biểu hiện sau:
- Nướu chảy máu dù không hề có bất kỳ tác động nào.
- Nướu bị sưng đỏ, nhiều trường hợp còn xuất hiện mủ.
- Hơi thở có mùi.
- Mô tế bào của lợi lỏng lẻo.
- Răng bị lung lay làm cho các răng bị thưa ra, chức năng ăn nhai giảm sút.
Không nên để tình trạng viêm nướu chân răng tồn tại quá lâu, vì không điều trị lâu dài sẽ khiến cho tình trạng trở nặng hơn, việc điều trị sẽ càng trở nên phức tạp, tốn kém chi phí. Bên cạnh đó, nếu không được chữa trị đúng cách, nguy cơ có thể bị mất răng rất cao.
Không chỉ vậy, viêm nướu còn là nguyên nhân chủ yếu gây ra nhiều bệnh lý nguy hiểm khác như: tiêu xương hàm, tiểu đường, tim mạch, đột quỵ, nhiễm trùng huyết, nguy cơ sinh non hay thiếu cân ở phụ nữ mang thai.
Viêm phổi
Trường hợp bị viêm lợi nặng và có vấn đề về phổi, bạn có thể sẽ hít phải vi khuẩn từ trong khoang miệng vào phổi, gia tăng nguy cơ mắc bệnh viêm phổi. Đây là một loại biến chứng nguy hiểm nếu không chữa trị dứt điểm.
Viêm nướu răng có thể nhanh chóng khỏi nếu được phát hiện và điều trị sớm. Chính vì vậy, khi phát hiện bất cứ triệu chứng bất thường nào ở răng miệng, bạn cần phải đi khám ngay tại các phòng khám nha khoa uy tín để được chẩn đoán và điều trị sớm nhất, tránh để lâu vừa khiến việc chữa trị trở nên phức tạp và khó khăn, lại tốn kém nhiều chi phí.

Viêm nướu cũng có thể dẫn đến bệnh lý viêm phổi
Điều trị viêm nướu răng triệt để tại nha khoa Nhân Tâm
Không chỉ có thế mạnh trong các dịch vụ thẩm mỹ răng, Nha Khoa Nhân Tâm còn là địa chỉ uy tín được nhiều người tin tưởng lựa chọn khi muốn điều trị viêm nướu răng. Đây là một trong số ít các cơ sở nha khoa được xây dựng và hoạt động theo tiêu chuẩn bệnh viện quốc tế, đáp ứng về hệ thống cơ sở vật chất, trang thiết bị hỗ trợ lẫn tay nghề và chuyên môn của bác sĩ.

Điều trị viêm nướu răng hiệu quả tại Nha khoa Nhân Tâm
Hơn nữa, toàn bộ quá trình điều trị viêm nướu còn được thực hiện đúng theo quy trình chuẩn nha khoa:
- Bác sĩ thăm khám tình trạng răng, xác định mức độ bệnh lý viêm nướu và tư vấn cho khách hàng các phương pháp cải thiện tối ưu nhất. Trực tiếp thăm khám, tư vấn và thực hiện điều trị tại Nha Khoa Nhân Tâm đều là các bác sĩ chuyên khoa, có nhiều năm kinh nghiệm thực tế, tận tâm trong mỗi ca điều trị nên bạn có thể yên tâm về quá trình và kết quả nhận được.
- Vệ sinh răng miệng là bước bắt buộc trong quá trình điều trị viêm nướu răng tại Nha Khoa Nhân Tâm nhằm đảm bảo nhiễm trùng, lây lan chéo các bệnh lý nha khoa sẽ không xảy ra.
- Tùy vào tình trạng răng hàm của mỗi khách hàng mà bác sĩ sẽ đưa ra những phương pháp điều trị viêm nướu mang lại hiệu quả cao. Nếu viêm nướu còn nhẹ, bác sĩ sẽ cạo vôi, làm sạch lợi và răng miệng cũng như hướng dẫn khách hàng cách chăm sóc răng miệng tại nhà. Còn nếu nặng hơn, sẽ tùy vào tình trạng mà kê đơn thuốc hay áp dụng phương pháp điều trị phù hợp.
- Khách hàng sẽ được hẹn lịch tái khám để kiểm tra kết quả điều trị viêm nướu, đảm bảo hiệu quả dài lâu nhất.
Tại Nha Khoa Nhân Tâm, toàn bộ các bước trong quá trình điều trị viêm nướu răng được thực hiện tại phòng nha hiện đại, trang bị máy móc hỗ trợ tiên tiến.
Các câu hỏi thường gặp về viêm nướu răng
Chúng tôi sẽ tổng hợp một số câu hỏi thường nhận được và đưa ra câu trả lời để các bạn hiểu rõ hơn về căn bệnh này.
Viêm nướu răng nổi hạch có nguy hiểm không?
Nổi hạch là một dạng phản ứng tự nhiên của cơ thể khi tổ chức các tế bào Lympho sản sinh ra ác tế bào bạch cầu và kháng thể, chống lại các tác nhân gây bệnh trong trường hợp cơ thể mắc phải một số bệnh lý răng miệng hay bị vi khuẩn tấn công.
Tuy nổi hạch chỉ là một phản ứng tự nhiên của cơ thể con người. Tuy nhiên nếu bạn không sớm điều trị sẽ rất nguy hiểm và để lại các hậu quả như: Ảnh hưởng đến chất lượng cuộc sống, viêm nhiễm xương hàm, nguy cơ mất răng cao, nguy hại cho sức khỏe toàn thân.
Cách thức chẩn đoán bệnh viêm nướu như thế nào?
Bác sĩ có thể kiểm tra các triệu chứng có liên quan, như mảng bám và cao răng trong khoang miệng để chẩn đoán bệnh.
- Kiểm tra tiền sử bệnh và tình trạng sức khỏe răng miệng để hỗ trợ xác định bệnh.
- Kiểm tra răng, nướu, miệng và lưỡi để tìm ra các dấu hiệu của mảng bám và viêm nhiễm.
- Đo độ sâu của các túi ở giữa rãnh nướu và răng bằng đầu dò chuyên dụng trong nha khoa. Độ sâu túi thông thường khoảng 1 đến 3 mm. Các túi sâu hơn 4 mm có thể là dấu hiệu nhận biết của bệnh viêm nướu răng.
- Chụp X–quang răng để kiểm tra tình trạng mất xương ở các khu vực bác sĩ nhận thấy túi viêm sâu hơn bình thường.
- Thực hiện các thử nghiệm khác nếu bác sĩ không xác định được nguyên nhân dẫn đến viêm nướu răng.
Cách phòng bệnh viêm lợi như thế nào?
- Bạn nên đánh răng ít nhất là 2 lần mỗi ngày vào buổi sáng và buổi tối. Kết hợp dùng chỉ nha khoa để làm sạch thức ăn và mảng bám dính trên răng, kẽ răng. Chải răng đúng cách để tránh tổn thương lợi.
- Súc miệng thật sạch và uống nước sau mỗi bữa ăn, nhất là khi ăn đồ chứa nhiều đường.
- Không dùng các vật cứng, nhọn như tăm xỉa răng tác động vào răng và kẽ răng.
- Hạn chế sử dụng các loại thực phẩm chứa nhiều đường, thức ăn quá cay hay nóng.
- Không hút thuốc, uống rượu, bia (Khuyến cáo nên bỏ thuốc lá và bia rượu để tránh ảnh hưởng đến răng nói riêng cũng như sức khỏe cuẩ bản thân nói chung).
Kết luận
Trên đây là một số chia sẻ của chúng tôi về bệnh lý viêm nướu răng. Hy vọng, bài viết này sẽ giúp bạn có được những thông tin bổ ích, từ đó có được hướng điều trị, cũng như bảo vệ sức khỏe răng hàm hiệu quả.




