Niềng răng không mắc cài Invisalign là gì?
Niềng răng không mắc cài Invisalign là phương pháp sử dụng khay niềng trong suốt vừa khít với răng và dễ dàng tháo ra để làm thẳng răng. Khay niềng sẽ tạo ra lực siết chính xác, giúp răng về đúng vị trí, mang đến cho khách hàng một khớp cắn chuẩn, đẹp.

Niềng răng không mắc cài Invisalign sử dụng khay niềng trong suốt
Sử dụng công nghệ kỹ thuật số tiên tiến, Invisalign sẽ vạch ra rõ ràng kế hoạch điều trị cho khách hàng từ đầu đến cuối. Nhờ đó, khách hàng sẽ nhìn thấy trước kết quả điều trị của mình thông qua hình ảnh 3D.
Sau đó, các kỹ thuật viên sẽ sản xuất các máng trong suốt với độ dày dưới 1mm, dựa trên dấu răng của từng khách hàng. Vì vậy, mỗi khách hàng sẽ có một bộ khay niềng khác nhau, và sẽ đeo bộ khay này trong vòng 2 tuần, sau đó sẽ thay một bộ khay khác cho đến khi răng di chuyển về vị trí mong muốn.
Niềng răng Invisalign thích hợp với ai?
Niềng răng trong suốt Invisalign thích hợp cho những trường hợp có khoảng trống xung quanh răng, chẳng hạn như răng thưa, răng mọc chìa ra ngoài, răng mọc lệch và chen chúc vừa phải.
Phương pháp điều trị chỉnh nha này phù hợp với những bệnh nhân không có nhiều thời gian, ở xa phòng khám hoặc có kế hoạch đi học tập, công tác ở nước ngoài, vì Invisalign ít gặp vấn đề hơn so với niềng răng bằng mắc cài.

Invisalign chỉ định rất tốt cho răng thưa vì khay niềng bao phủ toàn bộ bề mặt răng và di chuyển rất chính xác.
Tại sao nên lựa chọn niềng răng không mắc cài Invisalign?
Theo Align Technology, một công ty thiết bị y tế toàn cầu với các sản phẩm tiên tiến trong công nghệ Invisalign, hơn 3 triệu người trên thế giới hiện đang được điều trị bằng phương pháp niềng răng Invisalign.
Đây là phương pháp được các bác sĩ khuyên dùng và chiếm được sự tin tưởng của nhiều khách hàng do những ưu điểm vượt trội sau:
Tính thẩm mỹ cao
Được làm bằng nhựa trong suốt, Invisalign vừa khít với bề mặt răng nên đảm bảo tính thẩm mỹ rất tốt ngay cả trong quá trình niềng. Vì vậy, bạn có thể giao tiếp, cười nói thoải mái mà không lo người khác nhận ra.
Ăn uống và vệ sinh dễ dàng
Khách hàng có thể dễ dàng tháo lắp bất cứ lúc nào mà không cần đến sự can thiệp của bác sĩ. Do đó, việc ăn uống hay vệ sinh răng miệng và niềng răng của bạn sẽ thuận tiện hơn. Điều này sẽ giúp ngăn chặn sự phát triển của vi khuẩn có hại, do đó đảm bảo sức khỏe răng miệng tốt.

Niềng răng Invisalign đem lại tính thẩm mỹ, tiện lợi và an toàn
Xem thêm: Niềng răng mắc cài sứ và những điều bạn cần biết
Đảm bảo an toàn
Invisalign được làm bằng nhựa nha khoa đặc biệt, rất thân thiện với cơ thể, không bị biến chất trong môi trường miệng nên rất an toàn khi sử dụng.
Khách hàng không cần phải lo lắng về vấn đề tổn thương xương hàm do mắc cài bị rơi hay bị kích ứng của nướu răng bởi các kim loại dị ứng.
Rút ngắn thời gian thăm khám tại nha khoa
Dựa trên kế hoạch niềng răng đưa ra, bác sĩ sẽ đánh số khay theo thứ tự tương ứng với từng giai đoạn niềng răng để giúp khách hàng không bị nhầm lẫn.
Do đó, khách hàng có thể thay răng tại nhà mà không cần đến nha khoa, rất lý tưởng cho những khách hàng ở xa thành phố hoặc đi công tác.
Niềng răng không mắc cài mất bao lâu?
Thời gian niềng răng không mắc cài mất bao lâu còn phụ thuộc vào nhiều yếu tố như: tình trạng cụ thể của từng khách hàng, độ tuổi niềng răng, kỹ thuật thực hiện, chất lượng dịch vụ,…
Nhưng nhìn chung, bạn sẽ cần đeo khoảng 20 - 40 khay, tùy thuộc vào tình trạng lệch lạc của răng mỗi người. Số lượng khay cần sử dụng sẽ tương đương với thời gian niềng răng, thường được chia thành:
12 đến 18 tháng:
Đây là giai đoạn niềng răng khi răng mọc chìa ra ngoài, hô móm, lệch lạc nhẹ, khớp cắn vẫn bình thường. Vì những trường hợp này sẽ sử dụng kỹ thuật niềng răng đơn giản, chỉ cần khoảng 20-30 khay niềng là đã có thể kéo răng về vị trí mong muốn.
18 đến 24 tháng:
Những người có răng răng hô, móm, vẩu, răng mọc lệch lạc…, nặng và phức tạp sẽ mất nhiều thời gian hơn để di chuyển răng về đúng vị trí và sử dụng số lượng khay nhiều hơn, từ 30 - 40 khay. Do đó, thời gian niềng răng cũng sẽ lâu hơn.

Sở hữu hàm răng đều và đẹp chỉ từ 12 đến 24 tháng
Nha khoa Nhân Tâm – Địa chỉ niềng răng Invisalign uy tín
Nha khoa Nhân Tâm là phòng khám nha khoa chăm sóc, điều trị và phục hình răng hàng đầu tại Việt Nam. Trong đó, niềng răng Invisalign được đánh giá là dịch vụ nha khoa có thế mạnh nhờ đội ngũ bác sĩ giỏi và công nghệ hiện đại, được thực hiện theo quy trình chuẩn hóa với sự hỗ trợ của máy móc tiên tiến.
Nha khoa Nhân Tâm quy tụ đội ngũ bác sĩ giỏi, có trình độ chuyên môn cao, nhiều năm kinh nghiệm thực tế. Tại đây, mỗi khách hàng sẽ được đội ngũ bác sĩ chuyên khoa và phụ tá điều trị, thực hiện các bước niềng răng Invisalign chính xác, mang lại hiệu quả chỉnh nha cao.

Đội ngũ bác sĩ tại Nha khoa Nhân Tâm có chuyên môn và giàu kinh nghiệm
Nha Khoa Nhân Tâm không chỉ đáp ứng cao về yếu tố chuyên môn của bác sĩ mà còn được trang bị hệ thống máy móc hiện đại hỗ trợ điều trị diễn ra suôn sẻ và nhanh chóng.
Khách hàng sẽ được chụp X-quang Panorex và Cephalometric để khảo sát cấu trúc cụ thể của răng hàm, xác định tình trạng răng mọc lệch lạc như thế nào, sau đó sử dụng phần mềm Vceph 3D để phân tích và lên kế hoạch điều trị cụ thể.
Tại Nha Khoa Nhân Tâm, toàn bộ phòng nha, ghế nha được đầu tư kỹ lưỡng, đảm bảo vô trùng tuyệt đối sử dụng máy phun sương, hệ thống hấp tiệt trùng sử dụng đèn chỉ thị màu và đèn UV. Mỗi khách hàng được sử dụng một bộ tay khoan, một bộ dụng cụ riêng khi điều trị nha khoa, loại bỏ hoàn toàn tình trạng lây nhiễm chéo.

Dịch vụ chăm sóc khách hàng chu đáo tại Nha khoa Nhân Tâm
Nha Khoa Nhân Tâm hiện đang áp dụng chính sách trả góp 0% lãi suất nhanh chóng và dễ dàng. Thông qua chương trình ưu đãi này, khách hàng có thể chủ động hơn về vấn đề tài chính của mình bằng cách trả góp khi niềng răng Invisalign.
Đội ngũ nhân viên tại Nha Khoa Nhân Tâm luôn lịch sự, niềm nở và tận tâm trong từng bước phục vụ khách hàng. Ngoài ra, nha khoa còn đồng bộ hóa công nghệ thông tin cho trải nghiệm tối tân, thông tin của khách hàng sẽ được lưu trữ và cập nhật đầy đủ trên hệ thống.
Nha khoa Nhân Tâm có chế độ bảo hành chu đáo, chú trọng đến độ ổn định của mắc cài, tạo sự tin tưởng tuyệt đối cho khách hàng.
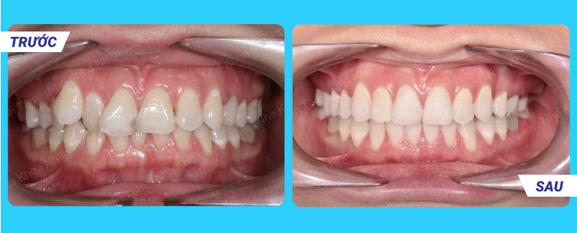
Khách hàng niềng răng tại Nha khoa Nhân Tâm

Khách hàng niềng răng tại Nha khoa Nhân Tâm
Niềng răng invisalign mang lại nhiều lợi ích trong quá trình chỉnh nha, sai khớp cắn, lệch lạc và hơn thế nữa, mang lại hàm răng đều đẹp, tự nhiên và đảm bảo chức năng ăn nhai tốt cho khách hàng. Để hiểu thêm về kỹ thuật chỉnh nha này, hãy liên hệ với Nha khoa Nhân Tâm ngay hôm nay, chuyên gia sẽ tư vấn và giải đáp mọi thắc mắc của bạn.




