Tẩy trắng răng thực chất là biện pháp nha khoa nhằm loại bỏ các sắc tố nâu, vàng,… ở phần men răng và ngà răng, qua đó lấy lại màu sắc trắng sáng cho hàm răng. Quá trình tẩy trắng răng nha khoa không gây xâm lấn đến cấu trúc răng và mô mềm quanh răng, không gây đau nhức, khó chịu, không ảnh hưởng tới sức khỏe, hiệu quả làm trắng lại có thể duy trì trong thời gian dài nên ngày càng được nhiều khách hàng lựa chọn.
Điều quan trọng để đảm bảo hiệu quả và tính an toàn khi làm trắng răng là bạn cần lựa chọn đúng trung tâm nha khoa uy tín, chất lượng, ứng dụng công nghệ làm trắng hiện đại và có đội ngũ y bác sĩ dày dặn kinh nghiệm. Tại TPHCM, Nha khoa Nhân Tâm là địa chỉ nha khoa đáp ứng được tất cả các tiêu chí này.
Hiện nay, Nha khoa Nhân Tâm đang ứng dụng công nghệ tẩy trắng răng Laser Whitening, đây được đánh giá là công nghệ tẩy trắng răng chất lượng cao, đã vượt qua vòng kiểm định nghiêm ngặt và được công nhận về tính an toàn, hiệu quả làm trắng bởi Hiệp hội Nha khoa Pháp.
Tẩy trắng răng thẩm mỹ là gì?
Tẩy trắng răng thẩm mỹ thực chất là biện pháp nha khoa nhằm loại bỏ các sắc tố nâu, vàng,… ở phần men răng và ngà răng, qua đó lấy lại màu sắc trắng sáng cho hàm răng. Sự ra đời của phương pháp này đã giúp rất nhiều khách hàng cải thiện vấn đề răng xỉn màu, nâng cao tính thẩm mỹ và giúp mọi người tự tin hơn khi giao tiếp với người khác.
Tại trung tâm nha khoa, các bác sĩ sẽ sử dụng chất oxy hóa để thoa lên bề mặt răng và kết hợp năng lượng từ ánh sáng để khởi động phản ứng oxy hóa, đem lại tác dụng cắt đứt các chuỗi phân tử màu có trong răng. Nhờ vậy, hàm răng của bạn sẽ trắng sáng hơn rõ rệt so với ban đầu mà không gây ra bất cứ tổn hại nào ở bên trong răng hay trên bề mặt răng.
Mặc dù vậy, tẩy trắng răng không phải cách khiến răng đạt mức độ trắng sáng tuyệt đối. Hiệu quả sau mỗi lần tẩy trắng còn tùy thuộc vào màu sắc răng và tình trạng răng miệng trước khi tẩy.

Tẩy trắng răng giúp bạn lấy lại nụ cười tự tin, rạng rỡ
Các trường hợp cần tẩy trắng răng
Theo các bác sĩ nha khoa, không phải đối tượng nào cũng có thể sử dụng dịch vụ tẩy trắng răng. Kỹ thuật này thường được chỉ định cho các đối tượng sau đây:
- Người có răng bị xỉn màu, ố vàng do vệ sinh răng không đúng cách, mảng bám vôi răng tích tụ nhiều.
- Người bị ngả màu răng do sử dụng nhiều các thực phẩm đậm màu, có chứa chất tạo màu nhân tạo,….
- Người bị xỉn màu răng có men răng khỏe, không bị mài mòn nhiều và không có các bệnh nha khoa.
- Người từ 18 tuổi trở lên, cấu trúc xương hàm đã phát triển hoàn thiện.
- Người không mắc các bệnh lý mạn tính, tuổi tác không quá cao.
Bên cạnh các đối tượng được chỉ định nêu trên, bác sĩ khuyến cáo những trường hợp dưới đây không nên áp dụng biện pháp này dù là tẩy trắng răng tại nhà hay tẩy trắng răng nha khoa:
- Người mắc các bệnh lý như mòn cổ răng, viêm nha chu, sâu răng, tụt lợi chân răng,…
- Người có dấu hiệu dị ứng hoặc đã có tiền sử dị ứng với thuốc làm trắng răng.
- Người dưới 18 tuổi không nên áp dụng biện pháp tẩy trắng vì các hóa chất có thể khiến tủy răng bị kích thích, răng nhạy cảm hơn, thường xuyên bị ê buốt.
- Phụ nữ đang mang thai hoặc cho con bú không nên áp dụng các phương pháp làm trắng răng vì thuốc tẩy trắng có nguy cơ gây ảnh hưởng tới sức khỏe của trẻ nhỏ và thai nhi.

Phụ nữ có thai không nên thực hiện tẩy trắng răng
Tẩy trắng răng có hại không?
Không ít người có mong muốn khắc phục vấn đề xỉn màu, ố vàng răng nhưng vẫn băn khoăn chưa quyết định được có nên tẩy trắng răng không vì chưa rõ tẩy trắng răng có hại không?
Trên thực tế, quá trình tẩy trắng răng không gây xâm lấn, không ảnh hưởng đến cấu trúc răng và không gây cảm giác khó chịu nếu sức khỏe răng miệng của bạn tốt. Do đó, bác sĩ sẽ kiểm tra tình trạng răng miệng của bạn trước khi tiến hành tẩy trắng. Những trường hợp có vôi răng, viêm nhiễm, hay bị mòn cổ răng,… thì cần chữa trị khỏi trước khi làm trắng răng.
Đối với những người có cơ địa nhạy cảm, tác dụng của ánh sáng mạnh cùng các chất oxy hóa có thể gây ra cảm giác ê buốt nhưng thường không nghiêm trọng và sau vài ngày sẽ tự hết. Trường hợp mắc các bệnh lý ở nướu hoặc bị sâu răng, mòn răng thì việc tẩy trắng răng có thể gây nên các biến chứng phức tạp.
Do đó, tốt nhất bạn nên tìm hiểu và sử dụng dịch vụ làm trắng răng tại các trung tâm nha khoa chất lượng cao, kể cả việc dùng thuốc tẩy trắng răng tại nhà cũng nên tham khảo ý kiến bác sĩ và tuân theo hướng dẫn của bác sĩ nha khoa. Sử dụng loại thuốc có chất lượng, nguồn gốc rõ ràng, tiến hành đúng kỹ thuật sẽ giúp quá trình làm trắng răng đạt hiệu quả cao và đảm bảo an toàn với sức khỏe.

Làm trắng răng tại trung tâm nha khoa uy tín không gây hại cho sức khỏe
Tẩy trắng răng bằng công nghệ hiện đại tại nha khoa Nhân Tâm
Hiện nay, Nha khoa Nhân Tâm đang ứng dụng công nghệ tẩy trắng răng Laser Whitening. Đây được đánh giá là công nghệ tẩy trắng răng chất lượng cao, đảm bảo tính an toàn và đem lại hiệu quả nhanh chóng, giúp khắc phục khiếm khuyết về màu sắc răng do nhiều nguyên nhân, đem lại nụ cười rạng rỡ tự tin cho khách hàng.
Laser Whitening đem lại tác dụng làm trắng dựa vào hiệu ứng cơ lượng tử nên nhiệt lượng tỏa ra trong khi thực hiện là tối thiểu, đảm bảo an toàn tối đa cho khách hàng. Bên cạnh đó, Laser có độ ph = 7, đây là mức trung tính nên không làm hại đến men răng, không gây ra cảm giác ê buốt răng.
Tẩy trắng răng Laser Whitening với sự hỗ trợ từ đèn chiếu Laser được tiến hành hoàn toàn tại phòng khám nha khoa. Sau khi thoa thuốc tẩy trắng lên răng, bác sĩ sẽ chiếu ánh sáng từ đèn Laser để kích hoạt hoạt động của thuốc tẩy. Quá trình này sẽ phá vỡ các liên kết màu trong răng và trả lại hàm răng trắng sáng.

Công nghệ tẩy trắng răng Laser Whitening
Thực tế, độ trắng của răng sau khi tẩy tùy thuộc khá nhiều vào mức độ ngả màu răng ban đầu. Tuy nhiên chỉ sau một lần thực hiện tẩy trắng là bạn có thể nhận thấy màu sắc răng được cải thiện rõ rệt.
Tẩy trắng răng Laser Whitening tại Nha khoa Nhân Tâm luôn thu hút được rất nhiều sự quan tâm của khách hàng nhờ những lợi ích vượt trội mà nó đem lại như:
Đem đến hiệu quả tức thì
Tất cả các bước tẩy trắng răng chất lượng cao bằng công nghệ Laser Whitening đều diễn ra rất nhanh chóng và đơn giản. Chỉ sau 1 lần thực hiện tẩy trắng tại nha khoa là khách hàng đã có thể sở hữu hàm răng trắng bật tone và nụ cười tự tin, rạng rỡ.
Không gây tổn hại men răng
Tẩy trắng răng Laser Whitening đã vượt qua vòng kiểm định nghiêm ngặt và được công nhận về tính an toàn, hiệu quả làm trắng bởi Hiệp hội Nha khoa Pháp. Mặc dù mang lại hiệu quả ngay tức thì nhưng kỹ thuật này luôn đảm bảo an toàn đối với sức khỏe. Nồng độ thuốc tẩy luôn được kiểm soát chặt chẽ bởi các bác sĩ nha khoa giàu kinh nghiệm nên không gây ra bất cứ thương tổn nào cho răng và nướu.
Duy trì hiệu quả dài lâu

Kết quả sau tẩy trắng răng được duy trì trong thời gian dài
Công dụng của ánh sáng Laser là giúp tăng hiệu quả của thuốc tẩy trắng, từ đó các tác nhân làm đổi màu răng sẽ được loại bỏ triệt để, giúp độ trắng sáng của hàm răng được duy trì lâu dài hơn.
Quy trình tẩy trắng răng tại Nha khoa Nhân Tâm
Một dịch vụ tẩy trắng răng chất lượng cao cần đảm bảo được cả hiệu quả làm trắng, tính an toàn và không gây khó chịu cho khách hàng trong suốt thời gian thực hiện. Để làm được điều này, trước tiên quy trình tẩy trắng phải đạt chuẩn. Tại Nha khoa Nhân Tâm, quy trình tẩy trắng răng sẽ diễn ra với đầy đủ các bước cơ bản như sau:
Bước 1: Khám răng tổng quát và tư vấn khách hàng
Bác sĩ sẽ tiến hành khám răng tổng quát cho khách hàng để chắc chắn sức khỏe răng miệng của khách hàng đủ điều kiện tẩy trắng. Tiếp theo bác sĩ sẽ đo độ sáng của răng, đánh giá mức độ ngả màu răng và tư vấn cụ thể cho khách hàng về kỹ thuật làm trắng răng.
Bước 2: Vệ sinh khoang miệng

Cạo vôi răng trước khi thực hiện tẩy trắng
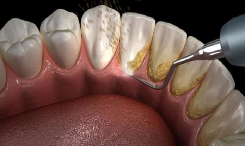
Khách hàng sẽ được cạo vôi răng (nếu có) và vệ sinh khoang miệng sạch sẽ trước khi dùng thuốc làm trắng răng. Việc này sẽ giúp gia tăng hiệu quả làm trắng và đảm bảo an toàn cho răng nướu, ngăn chặn nguy cơ nhiễm trùng.
Bước 3: Cách ly răng và nướu
Một đế cao su chuyên dụng sẽ được đặt vào khoang miệng hoặc vùng tiếp giáp giữa nướu răng sẽ được bôi gel để cách ly nướu với răng, tránh để nướu răng tiếp xúc với thuốc tẩy gây bỏng rát, nguy hiểm.
Bước 4: Thoa thuốc tẩy trắng lên răng
Ở bước này, bác sĩ sẽ bôi thuốc tẩy một cách kỹ lưỡng và cẩn thận sao cho thuốc bao phủ đều cả bề mặt trong và ngoài của răng.
Bước 5: Chiếu đèn Laser
Đèn laser sẽ được sử dụng để chiếu sáng ở mức thích hợp với tình trạng răng của từng người nhằm đảm bảo an toàn và kích thích chất làm trắng hoạt động. Thông qua phản ứng oxy hóa, các chất làm trắng sẽ cắt đứt các chuỗi protein màu và giúp răng trắng sáng bật tone từ trong ra ngoài.
Bước 6: Làm sạch và đánh bóng răng
Sau thời gian chiếu đèn, bác sĩ sẽ rửa sạch thuốc tẩy trên răng, đánh bóng lại răng, đồng thời kiểm tra màu sắc răng sau khi tẩy cho khách hàng.

Răng sẽ được đánh bóng lại sau khi làm trắng
Bước 7: Hướng dẫn cách chăm sóc tại nhà
Cuối cùng, bác sĩ sẽ hướng dẫn khách hàng cách vệ sinh, chăm sóc răng tại nhà và tư vấn chế độ ăn phù hợp để duy trì màu sắc răng trắng sáng dài lâu.
Chi phí tẩy trắng răng bao nhiêu tiền?
Khi sử dụng bất cứ dịch vụ nào, chi phí thực hiện luôn là chủ đề nhận được nhiều sự quan tâm từ phía khách hàng. Và tẩy trắng răng cũng vậy, khi tìm hiểu về dịch vụ này, không ít khách hàng đã đặt ra câu hỏi tẩy trắng răng giá bao nhiêu?
Dịch vụ tẩy trắng răng nha khoa với sự kết hợp giữ thuốc làm trắng và tia Laser là công nghệ tẩy trắng răng tiên tiến nhất hiện nay. Toàn bộ quá trình được thực hiện và giám sát bởi các bác sĩ chuyên môn cao cùng sự hỗ trợ từ trang thiết bị hiện đại.
Kỹ thuật này đem lại cho khách hàng nụ cười rạng rỡ với hàm răng trắng sáng chỉ sau 1 lần thực hiện. Vừa giúp cải thiện thẩm mỹ, đem lại hiệu quả nhanh mà vẫn đảm bảo được tính an toàn với sức khỏe răng miệng và sức khỏe tổng thể. Hơn nữa, màu sắc trắng sáng của răng có thể được duy trì tới vài năm chỉ sau 1 lần áp dụng.
Vì những lợi ích vượt trội nêu trên mà đáp án cho câu hỏi “tẩy trắng răng bao nhiêu tiền?” có thể lên đến vài triệu đồng và mức giá này sẽ có sự chênh lệch giữa các trung tâm nha khoa. Dưới đây là bảng giá dịch vụ tẩy trắng răng chất lượng cao tại Nha khoa Nhân Tâm, mời các bạn cùng theo dõi:
Những điều cần lưu ý sau khi tẩy trắng răng
Để duy trì được màu sắc răng trắng sáng dài lâu, phòng tránh răng bị ngả màu lại, bạn cần chú ý tới những vấn đề sau đây:
Chế độ ăn uống
Sau khi áp dụng biện pháp làm trắng răng, bạn nên nói không với thuốc lá bởi đây là một trong những nguyên nhân hàng đầu khiến răng bị ố vàng, xỉn màu nhanh chóng. Hạn chế tối đa các thực phẩm sẫm màu như trà, cà phê, nước ngọt, nước tương,… Nên ưu tiên ăn các món ăn có màu trắng, không chứa chất tạo màu. Nếu ăn uống các món ăn, thức uống đậm màu thì nên súc miệng lại ngay sau đó.
Đặc biệt trong vòng 2 tuần sau khi thực hiện tẩy trắng, bạn không nên uống và ăn đồ ăn quá lạnh hoặc quá nóng vì lúc này răng đang khá nhạy cảm, nhiệt độ quá cao hay quá thấp đều có thể khiến răng bị ê buốt.

Không nên ăn thực phẩm quá lạnh để tránh ê buốt răng trong 2 tuần đầu
Quá trình vệ sinh răng miệng
Bạn nên chải răng nhẹ nhàng với bàn chải lông mềm tối thiểu mỗi ngày 2 lần để loại bỏ vụn thức ăn, mảng bám đọng lại trên bề mặt răng. Kết hợp sử dụng chỉ nha khoa sau mỗi bữa ăn để loại bỏ toàn bộ thức ăn thừa giắt trong kẽ răng. Cùng với đó, bạn cũng nên sử dụng nước súc miệng hoặc nước muối sinh lý để súc miệng hàng ngày vào buổi sáng và tối để loại bỏ vi khuẩn gây hại tồn tại trong khoang miệng, tăng cường hiệu quả làm sạch răng.
Sử dụng thuốc duy trì trắng răng
Việc dùng thuốc hỗ trợ sau khi tẩy trắng sẽ giúp bạn duy trì màu sắc răng trắng sáng theo thời gian, không bị nhanh xuống màu.
Địa chỉ tẩy trắng răng uy tín nhất TPHCM
Địa chỉ tẩy trắng răng nào tốt và uy tín luôn là vấn đề được khách hàng quan tâm tìm hiểu, đặc biệt là trên địa bàn TPHCM – khu vực thương mại đắc địa, thành phố sầm uất bậc nhất cả nước. Vậy đâu là địa chỉ nha khoa cung cấp dịch vụ tẩy trắng răng chất lượng cao, uy tín hàng đầu tại TPHCM?
Nói đến địa chỉ tẩy trắng răng uy tín, chất lượng tại TPHCM thì không thể không nhắc đến Nha khoa Nhân Tâm. Nha khoa Nhân Tâm hiện đang là một trong các trung tâm nha khoa nhận được rất nhiều đánh giá, phản hồi tích cực từ khách hàng nhờ hệ thống trang thiết bị, phòng khám đạt chuẩn quốc tế được vận hành bởi các bác sĩ giàu kinh nghiệm, trình độ chuyên môn cao cùng đội ngũ nhân viên chuyên nghiệp, nhiệt tình, chu đáo.

Nha khoa Nhân Tâm – Địa chỉ tẩy trắng răng uy tín nhất TPHCM
Sau hơn 25 năm hoạt động, Nha khoa Nhân Tâm đã xây dựng được lòng tin vững chắc trong lòng của đông đảo khách hàng. Với mục tiêu đem đến trải nghiệm dịch vụ thoải mái và tuyệt vời nhất cho khách hàng, trong những năm qua Nha khoa Nhân Tâm đã không ngừng nỗ lực trong việc nâng cao tay nghề, chất lượng dịch vụ, cập nhật công nghệ mới, nhập khẩu nhiều máy móc chất lượng cao, đáp ứng tối đa nhu cầu ngày càng cao của khách hàng.
Nếu bạn đang phân vân chưa biết nên chọn địa chỉ tẩy trắng răng nào thì Nha khoa Nhân Tâm chính là gợi ý số 1. Dịch vụ chuyên nghiệp với quy trình tẩy trắng răng đạt chuẩn ứng dụng công nghệ hiện đại Laser Whitening giúp răng sáng rõ rệt chỉ sau 1 lần thực hiện.
Khi lựa chọn dịch vụ tẩy trắng răng tại Nha khoa Nhân Tâm, bạn sẽ được trải nghiệm quy trình làm trắng nhanh chóng, đơn giản và hiệu quả với thuốc tẩy trắng đạt chuẩn cùng đèn chiếu Laser hiện đại. Công nghệ tân tiến này còn giúp hiệu quả làm trắng được duy trì trong thời gian dài chỉ sau 1 lần thực hiện. Ngoài ra, chi phí dịch vụ tại Nhân Tâm cũng mang tính cạnh tranh, bạn sẽ được sử dụng các dịch vụ nha khoa cao cấp với mức giá phù hợp nhất.
Các câu hỏi thường gặp về tẩy trắng răng
Tẩy trắng răng có đau không?
Kỹ thuật tẩy trắng răng nha khoa không xâm lấn hay tác động tới cấu trúc răng và mô mềm quanh răng nên với câu hỏi tẩy trắng răng có đau không thì câu trả lời là KHÔNG. Tuy nhiên, có một số trường hợp sau khi làm trắng răng cảm thấy bị ê buốt, đặc biệt là những người có răng nhạy cảm. Nhưng bạn đừng quá lo lắng vì triệu chứng này không quá nghiêm trọng và sẽ nhanh chóng biến mất sau một vài ngày mà không gây ra bất cứ ảnh hưởng nào tới sức khỏe.
Thời gian thực hiện tẩy trắng răng mất bao lâu?

Thời gian thực hiện tẩy trắng răng mất bao lâu?
Tẩy trắng răng tại nha khoa hiện đang là biện pháp nhanh nhất giúp loại bỏ các vệt ố vàng, xỉn màu làm mất đi độ trắng sáng và vẻ đẹp thẩm mỹ của hàm răng. Bản chất của việc làm trắng răng là tạo ra chuỗi phản ứng oxy hóa nhằm cắt đứt liên kết protein màu, làm nhạt đi màu vàng, nâu trong men răng, giúp răng trắng hơn. Vậy tẩy trắng răng mất bao lâu? Vì quy trình thực hiện tương đối đơn giản và được hỗ trợ bởi máy móc hiện đại nên thời gian hoàn thiện quy trình tẩy trắng răng nha khoa chỉ mất từ 30 đến 45 phút.
Kết quả tẩy trắng răng duy trì được trong bao lâu?
Trên thực tế, độ trắng sáng của răng sau khi tẩy trắng kéo dài được trong thời gian bao lâu còn phục thuộc vào cấu trúc ngà răng, mên răng và cơ địa mỗi người. Thời gian duy trì kết quả còn chênh lệch ở từng người do chế độ dinh dưỡng, chăm sóc răng miệng khác nhau.
Thường thì màu sắc răng sẽ ổn định sau 2 tuần thực hiện tẩy trắng và duy trì độ trắng sáng từ 3 đến 5 năm nếu sử dụng công nghệ tẩy trắng hiện đại và được chăm sóc tốt. Độ trắng sáng của răng có thể giảm dần do hoạt động ăn uống, thói quen vệ sinh răng của bạn sau khoảng 1 đến 2 năm đầu nhưng vẫn sẽ trắng hơn màu răng trước khi tẩy.
Các triệu chứng có thể xảy ra sau khi tẩy trắng răng?
Tẩy trắng răng là biện pháp cải thiện màu sắc răng hiệu quả và an toàn tuyệt đối nếu được tiến hành tại trung tâm nha khoa uy tín. Mặc dù vậy, một số trường hợp vẫn có thể gặp phải các triệu chứng khó chịu sau khi làm trắng răng do lớp men răng bên ngoài tiếp xúc trực tiếp với chất làm trắng. Triệu chứng điển hình thường xảy ra nhất là ê buốt răng. Tuy nhiên, đây là biểu hiện hết sức bình thường và sẽ tự chấm dứt sau khoảng một vài ngày.

Khách hàng có thể bị ê buốt răng sau khi tẩy trắng
Những người bị ê buốt răng kéo dài có thể là do chưa điều trị triệt để các bệnh lý răng miệng trước khi làm trắng răng hoặc liều lượng thuốc tẩy sử dụng quá cao, không phù hợp với cơ địa khách hàng.
Tẩy trắng răng nhiều lần có ảnh hưởng gì không?
Như đã phân tích ở trên, làm trắng răng ở nha khoa uy tín là phương pháp giúp bạn loại bỏ vết ố vàng, ngả màu trên răng an toàn, nhanh chóng và hiệu quả. Quá trình tẩy trắng không gây ra bất cứ tác động tiêu cực nào tới nướu và men răng. Đồng thời còn giúp hạn chế tình trạng tích tụ vôi răng.
Tuy nhiên, nếu bạn không tuân theo chỉ dẫn của bác sĩ và thực hiện tẩy trắng răng quá thường xuyên thì sẽ gây phản tác dụng. Men răng bị bào mòn làm răng nhạy cảm hơn, dễ bị ê nhức, đau buốt,… gây suy giảm khả năng ăn nhai.
Vậy nên việc tẩy trắng răng nhiều lần không được các bác sĩ khuyến cáo. Để có được hiệu quả tốt nhất mà không gây tổn hại tới men răng, bạn cần tiến hành đúng theo chỉ định từ bác sĩ nha khoa.

Tiến hành làm trắng răng đúng theo chỉ định từ bác sĩ nha khoa để đảm bảo an toàn
Như vậy, nếu tình trạng răng xỉn màu, ố vàng đang khiến cho bạn cảm thấy mất tự tin thì tẩy trắng răng tại nha khoa là biện pháp khắc phục nhanh chóng, hiệu quả và an toàn mà bạn nên cân nhắc. Tuy nhiên, điều quan trọng là bạn cần lựa chọn đúng trung tâm nha khoa uy tín, chất lượng, ứng dụng công nghệ làm trắng hiện đại và có đội ngũ y bác sĩ kinh nghiệm dày dặn. Tại TPHCM, Nha khoa Nhân Tâm là địa chỉ nha khoa đáp ứng được tất cả các tiêu chí này, nếu bạn đang có mong muốn cải thiện màu sắc răng thì hãy liên hệ ngay với Nhân Tâm để được tư vấn miễn phí nhé.





