Nha khoa Nhân Tâm xin cung cấp cho Quý khách hàng những hình ảnh trám răng và những thông tin cơ bản về trám răng thẩm mỹ. Đừng bỏ lỡ bài viết hữu ích này bạn nhé!
Trám răng thẩm mỹ là gì? Hình ảnh trám răng
Trám răng thẩm mỹ là phương pháp phục hình nha khoa sử dụng vật liệu trám để khôi phục răng bị sâu, bị mẻ, vỡ… trở lại hình dạng ban đầu.

Trám răng sâu tại Nha khoa Nhân Tâm
Công dụng của kỹ thuật trám răng là phục hồi chức năng ăn nhai và thẩm mỹ cho răng, nâng cao chất lượng cuộc sống và sự tự tin cho bệnh nhân. Bạn có thể tham khảo hình ảnh trám răng bên dưới để hình dung rõ hơn về giải pháp phục hình này.

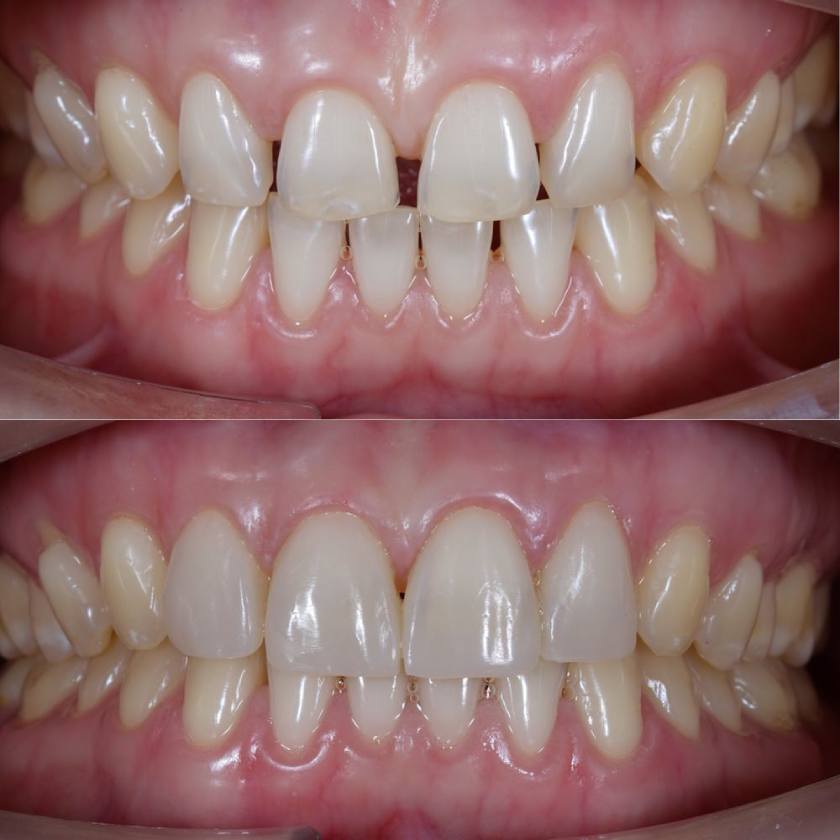
Hình ảnh trám răng thưa
Trám răng thẩm mỹ được áp dụng trong các trường hợp như răng bị sâu nhẹ chưa ảnh hưởng tủy răng, răng bị viêm tủy nhẹ, răng bị mòn men răng, răng bị nứt - mẻ - vỡ nhỏ do chấn thương hay va đập, răng bị hở kẽ nhẹ.
Lưu ý: Không phải trường hợp nào cũng thích hợp để trám răng. Tùy vào tình trạng cụ thể của từng bệnh nhân mà Bác sĩ sẽ tư vấn giải pháp tối ưu nhất để đạt thẩm mỹ và độ bền tối đa.
Hình ảnh trám răng và quy trình thực hiện
Sau khi tham khảo hình ảnh trám răng mà Nhân Tâm đã cung cấp, mời các bạn cùng tìm hiểu quy trình trám răng gồm những bước nào nhé!

Trám răng giúp phục hình hình dạng và chức năng răng
Nha khoa Nhân Tâm ứng dụng kỹ thuật trám răng Laser Tech với quy trình chuẩn như sau:
Bước 1: Thăm khám tổng quát và tư vấn trám răng
Trước tiên, Bác sĩ cần kiểm tra răng, cho bệnh nhân chụp phim răng để xác định nguyên nhân răng bị tổn thương và mức độ tổn thương, từ đó xác định kích thước và lựa chọn vật liệu trám răng phù hợp.
Tiếp theo bệnh nhân được tư vấn về tình trạng bệnh, quy trình điều trị và chi phí trám răng.

Chụp phim CT Cone Beam 3D
Xem thêm: Thông tin cần biết về trám răng hàm trên
Bước 2: Vệ sinh răng miệng
Trước khi trám răng, bệnh nhân được hướng dẫn vệ sinh răng miệng sạch sẽ, sát trùng vùng răng cần trám để tránh nhiễm trùng hay lây nhiễm chéo.
Bác sĩ sẽ tiến hành gây tê cục bộ tại vị trí răng cần trám để giúp bệnh nhân cảm thấy thoải mái, không đau suốt quá trình trám răng.
Nếu răng bị sâu hay viêm tủy thì sẽ cần điều trị sâu răng và chữa tủy. Sau đó, Bác sĩ dùng mũi khoan chuyên dụng để tạo hình xoang trám phù hợp với vật liệu trám răng đã chọn.
Bước 4: Trám răng
Tiến hành cho vật liệu trám răng vào xoang trám. Vật liệu trám mới đầu ở dạng lỏng và sẽ dần đông cứng dưới tác động của ánh sáng Laser (thường mất khoảng 40 giây).

Trám răng Laser Tech
Bước 5: Điều chỉnh miếng trám
Bác sĩ sẽ tiến hành kiểm tra khớp cắn và điều chỉnh miếng trám sao cho không còn vật liệu trám dư thừa, không bị cộm vướng hay khó chịu khi cắn.
Bước 6: Hướng dẫn chăm sóc răng miệng đúng cách
Bước cuối cùng trong quy trình trám răng tại Nhân Tâm chính là hướng dẫn bệnh nhân cách chăm sóc răng đúng sau khi trám răng. Bệnh nhân cần tuân thủ đúng chỉ định của Bác sĩ để giúp tăng tuổi thọ miếng trám và tăng cường sức khỏe răng miệng.
Trám răng giữ được bao lâu? Chi phí trám răng
Bên cạnh hình ảnh trám răng thì mọi người cũng tìm kiếm nhiều về vấn đề “Trám răng giữ được bao lâu?”.
Tuổi thọ của miếng trám phụ thuộc nhiều vào các yếu tố như vật liệu trám răng, chuyên môn và kinh nghiệm của Bác sĩ, công nghệ trám răng và chế độ chăm sóc răng miệng…

Nha khoa Nhân Tâm - Địa chỉ trám răng uy tín
Phòng khám nha khoa uy tín-chất lượng, ứng dụng công nghệ trám hiện đại và bác sĩ thực hiện là người có kinh nghiệm sẽ mang lại hiệu quả cao và đảm bảo an toàn, nhanh chóng, không đau. Bên cạnh đó, miếng trám sẽ ổn định, bền chắc và sử dụng được lâu dài hơn.
Sau khi trám răng, cần hạn chế ăn những thức ăn cứng, dai, dễ bám dính và thực phẩm giàu đường, giàu axit. Chú trọng vệ sinh răng miệng kỹ lưỡng, thường xuyên dùng chỉ nha khoa sau mỗi bữa ăn để gia tăng tuổi thọ cho vết trám.
Chi phí trám răng cũng không có sự đồng nhất giữ các nha khoa. Bạn có thể tham khảo bảng giá trám răng tại Nha khoa Nhân Tâm như sau:
Hi vọng với những hình ảnh trám răng mà Nhân Tâm cung cấp trong bài viết sẽ giúp bạn hiểu hơn về kỹ thuật trám răng. Nếu bạn còn bất kỳ thắc mắc nào về sức khỏe và thẩm mỹ răng miệng, vui lòng liên hệ 1900 56 5678 để được giải đáp nhanh chóng và chi tiết.




