Trám răng cửa là phương pháp sử dụng vật liệu trám (thường là composite) để tái tạo hình thể, màu sắc của răng, giúp khôi phục thẩm mỹ và chức năng ăn nhai của răng.
Để đạt được kết quả trám răng như mong muốn và duy trì miếng trám được lâu dài, bạn cần thực hiện trám răng tại địa chỉ nha khoa uy tín, thực hiện chăm sóc răng miệng tốt tại nhà sau khi trám.
Những trường hợp có thể thực hiện trám răng cửa
Trám răng cửa được xem là kỹ thuật nha khoa đơn giản, thời gian thực hiện nhanh chóng và mang lại hiệu quả cao. Thế nhưng không phải trường hợp nào cũng có thể áp dụng kỹ thuật này. Vậy trám răng cửa áp dụng cho những trường hợp nào?
Răng cửa thưa, kém thẩm mỹ
Trường hợp răng cửa thưa ít (dưới 2 mm) thì có thể áp dụng phương pháp trám răng. Vật liệu trám Composite có màu sắc tương tự như răng thật sẽ làm tăng kích cỡ cho thân răng, giúp che lấp các khe hơn.

Răng cửa thưa không quá lớn có thể thực hiện trám răng
Với những trường hợp răng cửa thưa nhiều thì phương pháp trám răng cửa không đem lại hiệu quả cao. Lúc này, bạn nên cân nhắc đến phương pháp bọc răng sứ hoặc niềng răng.
Răng cửa bị sâu
Trám răng cũng là giải pháp hữu hiệu trong trường hợp răng cửa bị sâu. Đầu tiên, bác sĩ sẽ loại bỏ mô răng bị sâu, làm sạch vi khuẩn, sau đó tiến hành trám răng cửa bị sâu bằng vật liệu nha khoa chuyên dụng. Vật liệu trám sẽ giúp bảo vệ răng thật khỏi các vi khuẩn có hại, ngăn ngừa sâu răng tiến triển.
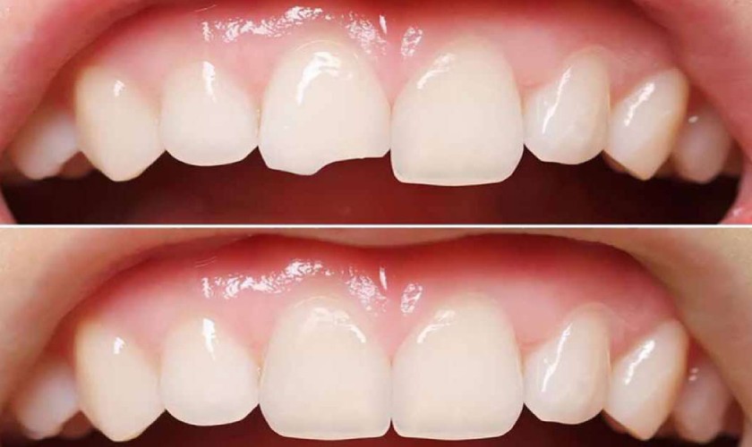
Răng cửa bị gãy vỡ nhẹ
Nhiều trường hợp do cắn phải các vật cứng hay gặp phải chấn thương từ bên ngoài mà răng cửa bị mẻ, gãy vỡ. Nếu răng cửa bị mẻ ở mức độ nhẹ thì có thể thực hiện hàn trám răng. Trám răng cửa sẽ giúp khôi phục thẩm mỹ, chức năng ăn nhai cho răng, đồng thời ngăn chặn tình trạng viêm nhiễm hay răng gãy vỡ nặng hơn.

Trám răng cửa bị gãy vỡ nhẹ
Răng cửa bị mòn
Nếu vệ sinh răng miệng không đúng cách, ăn thức ăn dai cứng, thường xuyên nghiến răng hay mắc phải các bệnh lý răng miệng, thì lớp men răng rất dễ bị bào mòn.
Trám răng sẽ giúp bổ sung phần men răng bị mòn, từ đó khôi phục hình thể, thẩm mỹ cho răng, đồng thời giúp bảo vệ răng khỏi các vi khuẩn gây hại, làm giảm cảm giác ê buốt khó chịu do mòn răng gây ra.
Trám răng cửa có đau không?
Trám răng cửa có đau không là mối bận tâm của rất nhiều người. Nếu bạn thực hiện trám răng tại địa chỉ nha khoa uy tín thì quá trình trám răng sẽ không hề gây đau nhức gì.

Trám răng là kỹ thuật nha khoa đơn giản, không gây đau nhức
Bởi trám răng là một kỹ thuật khá đơn giản. Trong nhiều trường hợp, bác sĩ sẽ tiêm thuốc tê tại vùng răng cần trám để hạn chế đau nhức, giúp khách hàng có tâm lý thoải mái, dễ chịu trong suốt quá trình điều trị.
Trám răng cửa có bền không?
Vì trám răng có thời gian thực hiện nhanh chóng và chi phí tương đối phải chăng, cho nên nhiều người băn khoăn không biết rằng trám răng cửa có bền không?
Trên thực tế, trám răng cửa có bền hay không còn phụ thuộc vào nhiều yếu tố như: vật liệu trám răng, tay nghề bác sĩ, cách chăm sóc răng miệng tại nhà của khách hàng,… Nếu sử dụng vật liệu trám tốt, thực hiện bởi bác sĩ giỏi và tay nghề cao, chăm sóc răng miệng đúng cách thì miếng trám sẽ tồn tại lâu dài.

Trám răng cửa có bền không phụ thuộc vào rất nhiều yếu tố
Nên sử dụng vật liệu trám nào?
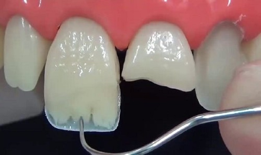
Hiện nay trên thị trường có rất nhiều loại vật liệu được sử dụng để trám răng. Tuy nhiên, vì răng cửa đảm nhiệm vai trò thẩm mỹ quan trọng cho cả hàm răng nên đòi hỏi sử dụng vật liệu trám chất lượng cao, đảm bảo tính thẩm mỹ và độ bền lâu dài.
Vật liệu được đánh giá cao để trám răng cửa đó là composite và fuji. 2 loại vật liệu này có màu sắc gần giống với màu răng thật, vì thế đảm bảo tính thẩm mỹ cao, người khác khó có thể nhận ra là bạn trám răng cửa.

Vật liệu trám composite mang lại thẩm mỹ cao
Vật liệu trám composite có độ đàn hồi tốt, độ chịu lực lớn, tính dẻo dai nên đa số các trường hợp trám răng cửa, bác sĩ sẽ ưu tiên sử dụng loại vật liệu này. Trong khi đó, vật liệu fuji có độ bền thấp hơn, nên thường được áp dụng trong những trường hợp trám cổ răng, những vị trí ít chịu lực ăn nhai tác động.
Xem thêm: 3 lợi ích của trám răng không thể bỏ lỡ
Trám răng cửa giá bao nhiêu?
Có thể nói, trám răng cửa là phương pháp phục hình hiệu quả, nhanh chóng với mức giá rất phải chăng, phù hợp với điều kiện tài chính của nhiều người.
Để đưa ra một con số cụ thể cho giá trám răng cửa là điều không thể. Bởi mức giá cho dịch vụ này còn phụ thuộc vào nhiều yếu tố như: tình trạng răng miệng của mỗi người, số lượng răng cần trám, chất liệu trám được sử dụng, chất lượng dịch vụ của nha khoa,…

Giá trám răng cửa còn tùy thuộc vào vật liệu sử dụng
Trong 2 loại vật liệu trám răng cửa phổ biến là composite và fuji, vật liệu trám fuji có mức giá thấp hơn, nhưng khả năng chịu lực và độ bền kém hơn so với composite. Bên cạnh đó, vật liệu composite cũng có nhiều loại, các loại vật liệu composite thế hệ sau sở hữu nhiều ưu điểm vượt trội hơn nên giá trám răng cũng sẽ có sự chênh lệch.
Để biết chi phí trám răng cửa chính xác cho trường hợp của mình, tốt nhất bạn nên đến các cơ sở nha khoa uy tín để bác sĩ thăm khám, tư vấn cụ thể. Tại Nha khoa Nhân Tâm, giá trám răng sẽ được công khai minh bạch ngay từ đầu, cam kết không phát sinh thêm bất kỳ chi phí nào trong suốt quá trình thực hiện.
Những điều cần lưu ý khi trám răng cửa
Để đạt hiệu quả cao khi trám răng cửa, đồng thời giữ cho miếng trám được đẹp lâu bền, bạn cần lưu ý đến những điều sau:
Lựa chọn địa chỉ nha khoa uy tín
Một nha khoa tốt có đội ngũ bác sĩ giỏi, giàu kinh nghiệm, cùng với sự hỗ trợ của công nghệ hiện đại chắc chắn sẽ mang lại cho bạn kết quả trám răng đẹp, an toàn và bền chắc.

Lựa chọn trám răng tại nha khoa uy tínLựa chọn trám răng tại nha khoa uy tín
Lựa chọn vật liệu trám tốt
Cần chú trọng lựa chọn những loại vật liệu chất lượng cao để tăng hiệu quả thẩm mỹ và giúp miếng trám bền đẹp lâu dài, đặc biệt loại trừ những tác hại xấu đến sức khỏe.
Chăm sóc răng miệng kỹ lưỡng
Để duy trì thẩm mỹ và độ bền của miếng trám, bạn cần xây dựng chế độ chăm sóc răng miệng và ăn uống khoa học. Theo đó nên chú ý đến những điều sau:
- Sau khi vừa trám răng xong, bạn nên ăn những thức ăn mềm như súp, canh, cháo,… để làm giảm áp lực lên răng và hỗ trợ làm cứng miếng trám.
- Cung cấp thêm vitamin và khoáng chất nhằm giúp tăng cường sức đề kháng và bảo vệ sức khỏe răng miệng.
- Hạn chế ăn những thực phẩm quá dai, cứng để tránh tạo áp lực lớn lên răng, ảnh hưởng đến tuổi thọ của miếng trám. Ngoài ra, thức ăn quá nóng lạnh cũng cần tránh vì có thể làm miếng trám bị co giãn. Đồ ngọt, chất kích thích như rượu bia, thuốc lá, nước ngọt có gas cũng nên kiêng sau khi trám răng vì chúng có thể phá hủy men răng, làm xỉn màu miếng trám.

Tránh sử dụng các chất kích thích sau khi trám răng
- Đánh răng ít nhất 2 lần/ngày bằng bàn chải lông mềm và kem đánh răng có chứa fluor. Chú ý dùng bàn chải với lực vừa đủ, không tác động mạnh vào miếng trám. Đồng thời nên kết hợp sử dụng chỉ nha khoa, nước súc miệng để làm sạch kẽ răng cũng như khoang miệng một cách toàn diện.
- Thăm khám nha khoa định kỳ để bác sĩ kiểm tra tính ổn định của miếng trám, khắc phục kịp thời các dấu hiệu bất thường có thể xảy ra.
Trên đây là những thông tin chi tiết về dịch vụ trám răng cửa. Với đội ngũ bác sĩ nha khoa giỏi, công nghệ hiện đại, vật liệu trám chất lượng cao và dịch vụ chăm sóc khách hàng chu đáo, Nha khoa Nhân Tâm là địa chỉ nha khoa uy tín mà bạn có thể an tâm lựa chọn và sở hữu hàm răng đẹp, chắc khỏe như mong muốn.
*Chụp phim X-Quang hoặc phim 3 chiều CT Cone Beam là một bước quan trọng trong quy trình điều trị phục hồi răng. Vì vậy Khách hàng sẽ được Bác sĩ của nha khoa Nhân Tâm chỉ định đến các cơ sở y tế đủ chức năng để thực hiện trước khi điều trị.




