Sâu răng là hiện tượng mô cứng của răng bị tổn thương bắt nguồn từ tình trạng hủy khoáng men răng.
Khi bị sâu răng, trên bề mặt răng sẽ xuất hiện các lỗ nhỏ, theo thời gian những lỗ này sẽ ngày càng lớn dần, phá hủy cấu trúc răng và gây ra nhiều hậu quả nặng nề như mất răng, suy giảm sức khỏe răng miệng, mất thẩm mỹ, sa sút tinh thần, thậm chí có thể gây nhiễm trùng huyết, đe dọa tính mạng người mắc.
Tình trạng sâu răng có thể xảy ra ở bất cứ ai, bất cứ răng nào trên cung hàm nhưng thường gặp nhất là sâu răng hàm, sâu răng cấm do quá trình vệ sinh răng miệng không đúng cách, thói quen ăn nhiều đồ ngọt, uống nhiều đồ uống có gas, có cồn, thường xuyên hút thuốc lá,…
Ở mỗi giai đoạn, sâu răng sẽ có những dấu hiệu nhận biết và cách điều trị khác nhau. Khi sâu răng nhẹ, các lỗ sâu chưa lớn, tủy răng chưa bị ảnh hưởng, bạn có thể điều trị bằng flour hoặc trám răng thông thường.
Còn nếu sâu răng đã tiến triển nặng gây viêm tủy răng, bạn cần điều trị tủy, trám bít răng hoặc bọc răng sứ, trường hợp răng sâu vỡ nghiêm trọng có thể cần nhổ răng và trồng lại răng giả. Do vậy, bạn nên khám răng định kì tại nha khoa để phát hiện và điều trị sớm khi bị sâu răng.
Sâu răng là gì?
Sâu răng có thể xảy ra ở mọi đối tượng, tỉ lệ người bị sâu răng hiện nay rất cao, đặc biệt là sâu răng hàm hay sâu răng cấm. Tuy nhiên, không phải ai cũng hiểu rõ về bệnh lý này để có biện pháp phòng ngừa và điều trị hiệu quả.
Sâu răng là hiện tượng mô cứng của răng bị tổn thương bắt nguồn từ tình trạng hủy khoáng men răng. Vi khuẩn hình thành và tích tụ trong mảng bám trên răng chính là tác nhân gây ra tình trạng trên. Khi bị sâu răng, trên bề mặt răng sẽ xuất hiện các lỗ nhỏ, theo thời gian những lỗ này sẽ ngày càng lớn dần nếu bạn không phát hiện kịp thời và điều trị đúng cách.

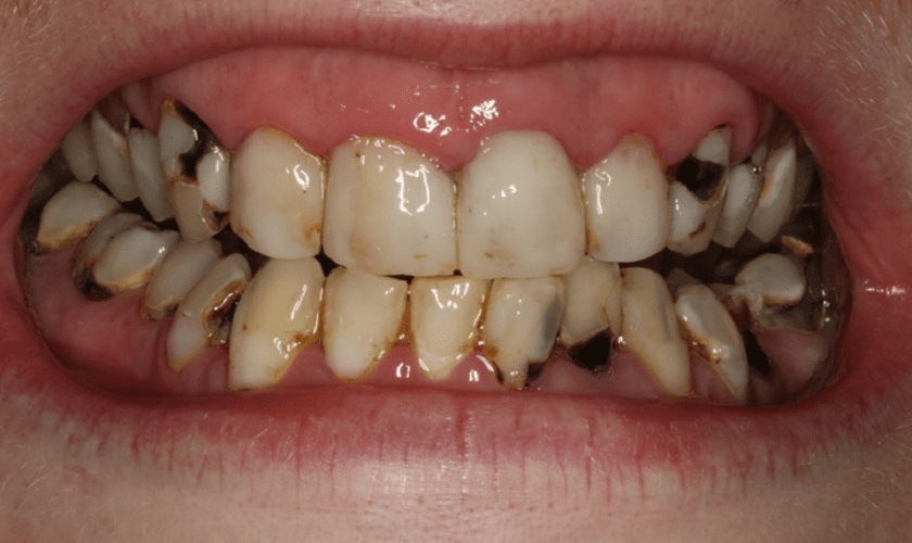
Ảnh minh họa bệnh lý sâu răng
Nguyên nhân dẫn đến tình trạng sâu răng
Bệnh lý sâu răng thường diễn ra sau một thời gian ăn uống và làm sạch răng không đúng cách, không hiệu quả, cùng tìm hiểu kỹ hơn về các nguyên nhân làm răng bị sâu nhé:
Vệ sinh răng không tốt
Nguyên nhân chính khiến nhiều người bị sâu răng chính là quá trình vệ sinh răng không hiệu quả, không đúng cách. Răng không sạch sẽ, có nhiều vôi răng, mảng bám sẽ là môi trường lý tưởng cho vi khuẩn – “con sâu răng” sinh sôi và phá hủy cấu trúc răng.
Thói quen ăn nhiều đồ ngọt
Theo kết quả từ nhiều nghiên cứu, trẻ em ăn nhiều bim bim, bánh kẹo, kem,… có nguy cơ bị sâu răng cao gấp 4 lần khi so sánh với các trẻ ăn ít những thực phẩm này.
Bởi khi ăn đồ ngọt, thức ăn có hàm lượng đường cao thì vô số loại acid sẽ có cơ hội tiếp xúc với răng trong thời gian dài, tác động hòa tan từ những acid này sẽ bào mòn men răng và làm răng xuất hiện các lỗ sâu.
Uống nhiều nước ngọt có gas

Uống nhiều nước ngọt có gas có thể khiến bạn dễ mắc sâu răng hơn
Những loại đồ uống có hàm lượng đường cao như nước tăng lực, nước có gas, đồ uống cung cấp protein trong thể thao hoặc nước ép hoa quả đóng chai có chứa rất nhiều các loại acid.
Nếu sử dụng quá nhiều các sản phẩm trên thì nguy cơ mắc bệnh sâu răng sẽ tăng cao thêm 31% so với những người không sử dụng (theo kết quả từ một nghiên cứu ở Phần Lan). Bên cạnh đó, lượng đường trong các thực phẩm này cũng là “món khoái khẩu” của “con sâu răng”, giúp các vi khuẩn phát triển mạnh mẽ và làm hình thành các lỗ sâu trên răng.
Uống nhiều đồ uống có cồn
Sử dụng quá nhiều, lạm dụng các loại đồ uống chứa cồn cũng là một trong những nguyên nhân khiến răng bị sâu. Hàm lượng axit có trong bia rượu và các thức uống khác sẽ khiến lớp men răng bên ngoài có vai trò bảo vệ răng bị phá hủy. Điều này sẽ gây ra sâu răng và đồng thời làm tăng khả năng mắc bệnh lý về nha chu.
Ngoài ra, bia rượu và các loại đồ uống chứa cồn khác còn làm lưu lượng nước bọt trong khoang miệng giảm đi, tạo cơ hội cho vi khuẩn bám chắc vào răng và phá hủy men răng.
Hút thuốc lá thường xuyên

Hút thuốc lá thường xuyên cũng là một nguyên nhân khiến răng bị sâu
Rất nhiều nghiên cứu về sức khỏe răng miệng đã chỉ ra tác hại của thuốc lá với răng. Trong một nghiên cứu tại Thụy Điển, các nhà khoa học đã so sánh 2 nhóm đối tượng là những người thường hút thuốc lá và những người chưa bao giờ hút thuốc.
Kết quả nghiên cứu đã cho thấy nhóm người hút thuốc có tỉ lệ mắc sâu răng cao hơn hẳn nhóm không hút thuốc.
Chưa dừng lại ở đó, hút nhiều thuốc lá còn là tác nhân làm đổi màu, ố vàng răng, dẫn đến tụt nướu chân răng và khiến vết thương lâu lành trong điều trị nha khoa.
Triệu chứng nhận biết bệnh sâu răng
Sâu răng có thể kéo theo nhiều dấu hiệu khác nhau, tùy thuộc và mức độ sâu răng nhẹ hay nặng cũng như vị trí chiếc răng sâu trên cung hàm. Cụ thể các biểu hiện của sâu răng qua từng giai đoạn như sau:
Giai đoạn 1: Thương tổn ban đầu
Ở thời kì mới chớm sâu, nếu là người thường xuyên khám răng định kì tại nha khoa thì có thể dễ dàng phát hiện bệnh và khắc phục sớm ở giai đoạn này. Còn lại, đa số mọi người đều không thể nhận biết sâu răng khi chúng mới chớm hình thành.

Giai đoạn răng mới chớm sâu trên răng chỉ hình thành các đốm trắng lẻ tẻ
Lý do là vì triệu chứng ê buốt, đau nhức vẫn chưa xuất hiện ở thời gian đầu. Lúc này, trên răng chỉ hình thành các đốm trắng lẻ tẻ. Những đốm trắng này lại có màu sắc gần giống với men răng nên nếu không để ý kỹ thì sẽ không thể nhận ra. Đặc biệt là trong trường hợp sâu răng hàm, sâu răng khôn,…
Giai đoạn 2: Thương tổn men răng
Các đốm trắng trên răng đến giai đoạn này sẽ chuyển sang màu nâu. Tuy nhiên, đây vẫn là giai đoạn sâu răng nhẹ nên cũng không có tình trạng ê buốt hay đau nhức. Do vậy, đa số người bị sâu răng vẫn không thể tự nhận biết ở thời kì này.
Và đây cũng chính là tiền đề cho giai đoạn sâu răng nặng vì men răng là cấu trúc duy nhất bao bọc và bảo vệ ngà răng, nếu không khắc phục kịp thời thì con sâu răng sẽ ăn sâu đến ngà răng.
Giai đoạn 3: Thương tổn ngà răng

Giai đoạn sâu răng nặng khiến ngà răng bị tổn thương
Ngà răng là nơi có nhiều dây thần kinh cảm giác, một khi chúng gặp thương tổn, răng của bạn sẽ trở nên nhạy cảm hơn khi tiếp xúc với điều kiện nhiệt độ bất thường. Biểu hiện lúc này sẽ là cảm giác đau nhói, ê buốt tại vị trí răng sâu cộng thêm mùi hôi khó chịu trong khoang miệng và các lỗ sâu màu đen hoặc nâu trên bề mặt. Nếu để ý quan sát, bạn có thể nhận biết chúng bằng mắt thường.
Ngà răng bị thương tổn được xem là thời kì sâu răng nặng. Nhưng vẫn có những người lầm tưởng tình trạng ê buốt răng xảy ra đơn thuần là do ăn thức ăn nóng, lạnh. Cảm giác đau không kéo dài lâu nên rất dễ bị bỏ qua.
Giai đoạn 4: Viêm tủy
Nếu đến giai đoạn tổn thương ngà răng mà vẫn bị ngó lơ không điều trị thì thương tổn sẽ lây lan vào tủy. Tủy răng là “nguồn sống” của răng, chứa nhiều mạch máu và dây thần kinh.
Tủy bị hư hại nên các triệu chứng sưng tấy, kích ứng, đau nhức sẽ xuất hiện do những mô xung quanh phình ra, tạo áp lực lớn đến các dây thần kinh cảm giác.

Tủy răng bị viêm nhiễm do sâu răng tiến triển nặng không được chữa trị
Đường lây truyền bệnh sâu răng
Sâu răng là bệnh lý xảy ra do sự tấn công của vi khuẩn nên giống như các bệnh lý truyền nhiễm khác, chúng có thể lây lan nếu không được ngăn ngừa cẩn thận, nhất là đối với trẻ sơ sinh và trẻ nhỏ.
Vi khuẩn khiến răng bị sâu có thể lan truyền sang các răng bên cạnh và sang người khác. Cụ thể, đường lây truyền của bệnh sâu răng như sau:
Sâu răng lây lan từ răng này qua răng khác
Streptococcus sobrinus và Streptococcus mutans là các loại vi khuẩn khiến răng bị sâu. Nếu các vi khuẩn này tồn tại trên chiếc răng nào đó thì nguy cơ ảnh hưởng tới các răng bên cạnh là cực kì cao khi gặp điều kiện thuận lợi.
Các điều kiện lý tưởng khiến con sâu răng lan rộng ra các răng ở khu vực lân cận bao gồm:
- Thường xuyên ăn vặt.
- Ăn nhiều các món ăn và uống đồ uống nhiều đường.
- Không làm sạch răng đúng cách và đều đặn mỗi ngày.
- Rối loạn ăn uống.
- Mắc chứng khô miệng.

Sâu răng có thể lây lan từ răng này qua răng khác
Sâu răng lây lan từ người này qua người khác
Vi khuẩn sâu răng cũng có thể lan truyền từ người sang người bằng nhiều cách thức khác nhau, chẳng hạn như dùng chung dụng cụ ăn uống, ăn chung thức ăn, ho, hắt hơi và cả hôn. Ngoài ra, cha mẹ hoặc người chăm sóc bị sâu răng khi chuẩn bị đồ ăn cho trẻ không đúng cách cũng sẽ làm nguy cơ lây nhiễm vi khuẩn gây sâu răng tăng lên.
Thông qua nhiều nghiên cứu, các nhà khoa học đã phát hiện sự tồn tại của vi khuẩn Streptococcus mutans trên khoảng 30% trẻ em 3 tháng tuổi, khoảng 60% trẻ em 6 tháng tuổi và gần 80% trẻ em 2 tuổi. Đây là một loại vi khuẩn có khả năng khiến răng bị sâu.
Các chuyên gia tin rằng loại vi khuẩn này có thể lây lan sang trẻ nhỏ từ cha mẹ, người thân hoặc những người có bệnh lý sâu răng trong gia đình. Vì vậy, cần tránh việc tiếp xúc quá gần gũi và giữ vệ sinh răng miệng phù hợp là biện pháp tốt nhất để ngăn chặn sự lây lan của bệnh sâu răng.

Sâu răng lây lan từ người này qua người khác thông qua tiếp xúc gần gũi
Sự nguy hiểm của sâu răng
Nếu không có biện pháp điều trị đúng cách trong thời gian dài, bệnh lý sâu răng sẽ để lại rất nhiều hậu quả nghiêm trọng, một số ảnh hưởng nặng nề của chứng bệnh này có thể kể đến là:
Ảnh hưởng trực tiếp đến sức khỏe răng miệng
Răng bị sâu khiến cấu trúc răng hư hỏng dần, gây ra cảm giác đau buốt, ê nhức. Nếu không được khắc phục sẽ gây ra mất răng sau một thời gian dài. Vi khuẩn sâu răng lây lan vào tủy và gây ra viêm tủy. Lúc này, chóp răng bị vi khuẩn xâm lấn, chèn ép khiến các dây thần kinh chết đi.
Máu không thể lưu thông và cung cấp dưỡng chất cho răng và tủy răng dẫn đến chết tủy. Sau khi chết tủy, răng sẽ giòn hơn, dễ nứt vỡ hơn nên gần như không thể tránh khỏi tình trạng gãy thân răng.
Thiếu thẩm mỹ
Bên cạnh những ảnh hưởng về sức khỏe, răng bị sâu còn làm mất đi vẻ đẹp thẩm mỹ của hàm răng, đặc biệt là sâu răng cửa. Bởi khi bệnh lý sâu răng trở nên nghiêm trọng thì các lỗ sâu chiếm diện tích rất lớn, khiến răng bị đen, nứt vỡ và rất dễ phát hiện thông qua quá trình giao tiếp hàng ngày.

Răng bị sâu khiến hàm răng mất đi vẻ đẹp thẩm mỹ
Ảnh hưởng đến tâm lý
Cùng với việc mất đi vẻ đẹp thẩm mỹ của hàm răng và tình trạng hôi miệng do sâu răng, không ít người mắc bệnh sẽ bị ảnh hưởng về mặt tâm lý, trở nên tự ti và ngại giao tiếp với những người xung quanh. Điều này không những làm ảnh hưởng đến công việc, các mối quan hệ xã hội mà còn làm giảm chất lượng cuộc sống.
Ảnh hưởng đến tinh thần
Không ít trường hợp sâu răng nặng gây ra tình trạng đau nhức răng liên tục và đau đầu kéo dài. Tình trạng này phần sẽ phần nào ảnh hưởng tới giấc ngủ, hoạt động ăn uống và nghỉ ngơi khiến người mắc trở nên mệt mỏi, uể oải.
Tinh thần bị ảnh hưởng dễ dẫn đến khó chịu trong người, hay cáu gắt. Ở trẻ em, chứng bệnh này khiến trẻ chán ăn, hay bỏ bữa, quấy khóc và suy giảm sức đề kháng.
Ảnh hưởng đến tính mạng
Răng bị sâu không được chữa trị triệt để có thể kéo theo biến chứng viêm tủy hoặc hoại tử tủy, làm vùng răng có bệnh bị nhiễm trùng. Trường hợp nặng có thể lây lan đến trung thất hoặc gây nhiễm trùng huyết, đe dọa tính mạng người mắc.

Sâu răng có thể gây ra nhiễm trùng huyết đe dọa tính mạng người mắc
Các phương pháp phòng ngừa bệnh sâu răng
Nguy cơ răng bị sâu sẽ giảm đi đáng kể khi bạn chú ý đến vấn đề ăn uống và vệ sinh răng miệng. Dưới đây sẽ là các biện pháp phòng ngừa bệnh sâu răng mà bạn nên áp dụng:
Đánh răng đúng cách
Chải răng theo chiều dọc từ trên xuống dưới, từ dưới lên trên hoặc xoay tròn để loại bỏ thức ăn thừa và mảng bám. Việc này còn giúp men răng không bị tác động bởi hoạt động chải răng, tránh tình trạng mòn men răng.
Sử dụng chỉ nha khoa
So với cách xỉa răng bằng tăm thì sử dụng chỉ nha khoa sẽ giúp bạn loại bỏ mảng bám, thức ăn thừa trong kẽ răng hiệu quả hơn và không hại cho răng, nướu, không gây thưa răng. Từ đó, góp phần làm giảm khả năng sâu kẽ răng.

Nên sử dụng chỉ nha khoa để làm sạch và ngăn ngừa sâu kẽ răng
Dùng nước súc miệng
Chải răng đúng cách kết hợp với súc miệng bằng nước muối hoặc nước súc miệng hàng ngày là biện pháp loại bỏ mảng bám, vi khuẩn gây hại triệt để nhất, giúp ngăn chặn hiệu quả bệnh lý sâu răng.
Xây dựng chế độ ăn lành mạnh
Hạn chế ăn món ăn nhiều đường, không sử dụng nhiều nước ngọt có gas, đồ uống có cồn,… sẽ giúp răng miệng không phải tiếp xúc nhiều với acid. Thay vào đó, bạn nên bổ sung vào bữa ăn hàng ngày các loại rau xanh, trái cây tươi, thực phẩm giàu canxi,… để men răng thêm chắc khỏe và hạn chế tình trạng sâu răng.
Trám răng phòng ngừa
Bạn nên tới trung tâm nha khoa uy tín khám răng định kì để phòng tránh sâu răng cùng nhiều bệnh lý khác liên quan đến răng miệng. Việc này sẽ giúp bạn phát hiện sớm từ khi sâu răng nhẹ. Lúc này, trám răng phòng ngừa sẽ là biện pháp tốt ưu để chấm dứt sâu răng, ngăn chặn lỗ sâu phát triển ngày càng lớn, bệnh tiến triển thành sâu răng nặng làm ảnh hưởng đến tủy răng.
Các biện pháp chẩn đoán bệnh sâu răng

Các biện pháp chẩn đoán bệnh sâu răng tại nha khoa
Tại phòng khám nha khoa, các bác sĩ sẽ giúp bạn phát hiện và chẩn đoán sâu răng bằng những biện pháp sau:
- Hỏi về độ nhạy cảm, tình trạng đau nhức và ê buốt của răng.
- Thăm khám, kiểm tra răng miệng của khách hàng bằng các dụng cụ chuyên dụng trong nha khoa.
- Chụp X – quang răng để đánh giá mức độ sâu răng. Quá trình chụp X – quang sẽ không gây tác động xấu tới sức khỏe của khách hàng. Không thể phủ nhận tia X có nguy cơ gây nhiễm phóng xạ, tác động tiêu cực đến sức khỏe con người nếu tiếp xúc nhiều lần. Nhưng trong y học nói chung và nha khoa nói riêng thì cường độ tia X rất nhỏ và được kiểm soát chặt chẽ. Phòng chụp cũng được ngăn cách bằng vách chì giúp tia tán xạ được hấp thụ tối đa nên sẽ không gây ảnh hưởng gì đến sức khỏe của bạn.
Địa chỉ chữa bệnh sâu răng uy tín nhất 2025
Để chữa trị sâu răng dứt điểm và nhanh chóng, bạn nên chọn lựa những trung tâm nha khoa chất lượng cao, có uy tín lâu năm khi có nhu cầu khám và điều trị. Nha khoa Nhân Tâm với vị trí đắc địa tại quận 10, TP.HCM sẽ là địa chỉ chữa trị răng sâu uy tín mà bạn nên tham khảo:
Quy tụ đội ngũ bác sĩ giỏi

Nha khoa Nhân Tâm là nơi quy tụ các bác sĩ Răng Hàm Mặt giỏi
Bác sĩ luôn là yếu tố quan trọng hàng đầu quyết định đến kết quả của ca điều trị. Các bác sĩ tại Nha khoa Nhân Tâm đều tốt nghiệp từ các trường Đại học Y Dược nổi tiếng, đã từng tu nghiệp tại nước ngoài, cộng thêm kinh nghiệm dày dặn và sự tỉ mỉ, chu đáo, chắc chắn sẽ mang lại cho khách hàng kết quả chữa trị cao nhất, giúp khách hàng thoải mái, an tâm trong suốt thời gian chữa bệnh.
Hệ thống cơ sở vật chất, máy móc hiện đại
Với mục đích đem đến cho khách hàng sức khỏe răng miệng tốt nhất, Nha khoa Nhân Tâm luôn đầu tư hệ thống máy móc, thiết bị công nghệ cao để hỗ trợ hoạt động thăm khám, chẩn đoán, điều trị diễn ra chính xác và đem lại hiệu quả cao.
Quy trình chữa trị đạt chuẩn
Nha khoa Nhân Tâm đã có hơn 25 năm kinh nghiệm trong lĩnh vực nha khoa, quy trình thăm khám và chữa trị tại đây luôn được tiến hành đầy đủ các bước theo quy định của Bộ Y tế, đảm bảo cho khách hàng thời gian điều trị nhanh chóng, ít đau nhức và đạt hiệu quả cao.
Chi phí hợp lý, công khai
Toàn bộ bảng giá dịch vụ tại Nhân Tâm đều được công khai và niêm yết rõ ràng để khách hàng dễ dàng cập nhập. Mỗi khách hành sẽ có một tình trạng bệnh và phác đồ chữa trị khác nhau nên sau khi thăm khám, các bác sĩ cũng sẽ thông báo rõ ràng cho bạn về chi phí điều trị để bạn nắm rõ và cân nhắc trước khi thực hiện.

Khách hàng sẽ được thông báo cụ thể về chi phí trước khi điều trị
Quy trình thăm khám chữa bệnh sâu răng tại nha khoa Nhân Tâm
Quy trình thăm khám & chữa bệnh sâu răng tại nha khoa Nhân Tâm bao các bước như sau:
Khám răng tổng quát và tư vấn
Trước tiên, các bác sĩ cần quan sát răng miệng khách hàng bằng mắt thường, thăm khám lâm sàng với sự trợ giúp của các dụng cụ nha khoa và hỏi triệu chứng bệnh của khách hàng, chỉ định chụp X – quang nếu cần thiết.
Sau khi thăm khám, bác sĩ sẽ nắm rõ tình trạng răng miệng của khách hàng, xác định các răng bị sâu, mức độ sâu. Từ đó tư vấn cho khách hàng các biện pháp chữa trị chuẩn xác và phù hợp nhất.
Cô lập răng bị sâu
Khách hàng sẽ được làm sạch khoang miệng, loại bỏ thức ăn thừa, mảng bám, vôi răng và súc miệng diệt khuẩn theo sự hướng dẫn của bác sĩ để tránh tình trạng nhiễm trùng khi điều trị.
Tiếp theo, các răng cần chữa trị sẽ được giữ khô ráo thông qua việc đặt đế cao su hoặc sử dụng bông gòn vô khuẩn.

Đặt đế cao su để giữ răng cần điều trị được khô ráo
Gây tê tại chỗ
Có thể gây tê khu vực răng cần can thiệp điều trị tùy vào từng trường hợp. Nếu bác sĩ nhận thấy quá trình chữa trị có thể gây đau nhức nhiều thì sẽ chỉ định gây tê cục bộ trước khi thực hiện thủ thuật.
Điều trị sâu răng
Các biện pháp điều trị sẽ khác nhau trong trường hợp sâu răng nhẹ và sâu răng nặng. Ở từng giai đoạn của bệnh, phương án điều trị thường được chỉ định là:
Giai đoạn sâu răng nhẹ:
- Bổ sung flour: Đây là kỹ thuật điều trị chuyên nghiệp thường được áp dụng cho những người răng mới chớm sâu. Trong cách làm này, flour ở dạng nước súc miệng hay gel, bọt có nồng độ cao sẽ được dùng để thoa lên răng bằng bàn chải, tăm bông và khay. Nếu khách hàng dễ bị sâu răng, bác sĩ có thể kê đơn nước súc miệng hoặc gel có hàm lượng flour thích hợp để khách hàng sử dụng tại nhà.
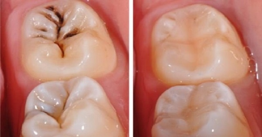
- Trám răng: Bác sĩ sẽ tiến hành loại bỏ các mô răng đã hư hỏng và hàn trám lại lỗ hổng trên răng bằng các chất liệu nha khoa có tính thẩm mỹ tốt và độ bền chắc cao.

Trám răng điều trị răng sâu trong trường hợp sâu răng nhẹ
Giai đoạn sâu răng nặng:
- Nạo bỏ các mô răng bị viêm, làm sạch ngà răng bệnh lý sau đó hàn tám để phục hình răng. Nếu răng bị sâu vỡ lớn không thể phục hình bằng cách trám răng thông thường thì có thể cân nhắc các hình thức khác như trám răng gián tiếp Inlay – Onlay, bọc răng sứ,… để bảo đảm tính thẩm mỹ và chức năng ăn nhai.
- Điều trị tủy khi sâu răng đã lây lan vào tủy. Bác sĩ sẽ làm sạch các mô tủy bị viêm rồi trám bít lại nhằm ngăn ngừa vi khuẩn xâm nhập, sau đó phục hình bằng phương pháp bọc răng sứ để bảo tồn răng.
- Nhổ răng: Trường hợp lỗ sâu răng quá lớn, các kỹ thuật điều trị bảo tồn không thể giữ lại răng thì cần nhổ bỏ. Sau khi nhổ, bạn nên trồng lại răng giả để đảm bảo khả năng ăn uống.

Trồng răng bằng cấy ghép Implant được khuyến khích thực hiện sau khi nhổ răng bị sâu
Hướng dẫn chăm sóc răng miệng và hẹn lịch tái khám
Sau khi điều trị sâu răng, kể cả sâu răng cửa, sâu răng hàm hay sâu răng cấm, các bác sĩ cũng sẽ hướng dẫn bạn cách chăm sóc hợp lý nhằm ngăn ngừa bệnh tái phát, đồng thời hẹn lịch tái khám định kì để theo dõi, kiểm soát sức khỏe răng miệng và phát hiện, khắc phục sớm khi có bệnh lý.
Các câu hỏi liên quan đến sâu răng
Bị sâu răng nên ăn gì để ngăn bệnh tiến triển nặng?
Khi bị sâu, răng của chúng ta thường rất nhạy cảm nên việc ăn uống là vấn đề hàng đầu cần lưu tâm. Các bác sĩ khuyến cáo khách hành bị sâu răng nên ăn các loại thực phẩm sau:
- Hoa quả tươi và rau xanh sẽ giúp khoang miệng được làm sạch, kiểm soát lượng kiềm trên răng, tăng lưu thông máu quanh chân răng, giúp răng chắc khỏe hơn. Bên cạnh đó, các loại thực phẩm này còn cung cấp nhiều vitamin thiết yếu giúp cơ thể hấp thụ canxi tốt hơn.
- Sữa, sữa chua, sò, tôm và các loại đậu cũng là nguồn cung cấp canxi dồi dào mà bạn nên sử dụng để tăng cường sức khỏe men răng.
- Trứng, thịt, cá và các loại phomai cũng chứa nhiều chất đạm, giúp bảo vệ răng và phòng tránh sâu răng.

Sữa và các chế phẩm từ sữa là các thực phẩm tốt cho răng
Răng bị sâu có thể tự khỏi không?
Sâu răng khác với các tổn thương khác trên cơ thể bởi đây là cả một quá trình phá hủy cấu trúc răng và răng cũng là một bộ phận không thể phục hồi trên cơ thể mà phải thông qua việc điều trị. Thường thì sâu răng sẽ phát triển từ lớp bên ngoài là men răng đến các lớn bên trong là ngà răng và tủy răng.
Quá trình sâu răng từ khi mới hình thành tới khi xuất hiện lỗ sâu phải trải qua một thời gian, quá trình này nhanh hay chậm còn tùy thuộc vào khả năng chống sâu răng của mỗi người, thói quen vệ sinh răng miệng và mức độ vi khuẩn ít hay nhiều.
Theo tính toán, thời gian trung bình từ khi răng chớm sâu đến khi xuất hiện lỗ sâu là khoảng 1,5 năm, trong giai đoạn này răng rất cần được chữa trị kịp thời để tránh các biến chứng nặng.

Răng bị sâu hỏng sẽ không thể tự khỏi mà cần được can thiệp điều trị
Bị sâu răng cần đi khám bác sĩ khi nào?
Đa số người bị sâu răng đều rất khó phát hiện mình bị bệnh ở giai đoạn đầu. Vậy nên việc giữ răng miệng sạch sẽ, khám răng định kì tại nha khoa là việc làm hết sức quan trọng giúp bảo vệ sức khỏe răng miệng.
Tuy nhiên, khi nhận thấy các dấu hiệu đau nhức, các mảng trắng, lỗ sâu màu đen trên răng hoặc những triệu chứng bất thường khác về răng miệng thì bạn cũng nên đến gặp bác sĩ để điều trị càng sớm càng tốt.
Sâu răng khôn nên làm gì?
Thông thường khi các răng trên cung hàm bị sâu, phương án điều trị bảo tồn luôn được ưu tiên. Với những chiếc răng khôn mọc thẳng bị sâu nặng, bạn hoàn toàn có thể lựa chọn điều trị tủy và bảo tồn chiếc răng này.
Khi răng khôn đã mọc đầy đủ, không bị mắc kẹt trong nướu, bác sĩ vẫn có thể giúp bạn trám răng phục hình như các răng khác trên cung hàm.
Tuy nhiên, nếu răng khôn bị sâu mọc lệch, mọc ngang, mọc ngầm thì nhổ bỏ răng là biện pháp tối ưu nhất để giải quyết vấn đề này. Việc loại bỏ chiếc răng khôn bị sâu hỏng không chỉ giúp đảm bảo an toàn cho sức khỏe mà còn tránh được triệu chứng đau nhức, ngăn chặn răng khôn gây hại cho răng số 7.

Nhổ răng khôn là biện pháp điều trị tối ưu nhất nếu chiếc răng này bị sâu
Như vậy, các kiến thức cơ bản cần biết về bệnh sâu răng đã được trình bày cụ thể qua bài viết trên đây. Mong rằng đây sẽ là những thông tin hữu ích giúp bạn biết cách phòng tránh, phát hiện sớm và điều trị triệt để, kịp thời nếu chẳng may răng bị sâu.
Tại khu vực TPHCM, Nha khoa Nhân Tâm là cơ sở nha khoa khám và điều trị các bệnh lý răng miệng uy tín, chất lượng cao. Nếu có băn khoăn cần được giải đáp hoặc đang gặp vấn đề về Răng Hàm Mặt, bạn hãy liên hệ qua hotline 1900 56 5678 hoặc đến trực tiếp phòng khám để được khám và tư vấn miễn phí nhé.
*Chụp phim X-Quang hoặc phim 3 chiều CT Cone Beam là một bước quan trọng trong quy trình điều trị phục hồi răng. Vì vậy Khách hàng sẽ được Bác sĩ của nha khoa Nhân Tâm chỉ định đến các cơ sở y tế đủ chức năng để thực hiện trước khi điều trị.



