Xử lý răng trẻ em mọc lẫy là vấn đề được nhiều phụ huynh băn khoăn khi con yêu trải qua thời kỳ thay răng vĩnh viễn. Răng mọc lẫy gây ảnh hưởng khá lớn đến thẩm mỹ, khiến trẻ tự ti và khó hòa nhập với bạn bè, trường lớp. Cách tốt nhất là bạn nên đưa trẻ đến thăm khám và điều trị bởi bác sĩ giỏi.
Răng trẻ em mọc lẫy là gì?
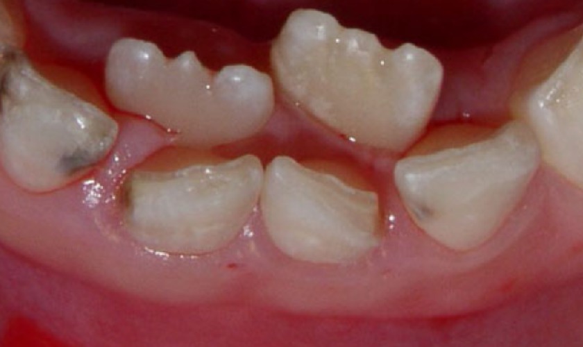
Răng trẻ em mọc lẫy là tình trạng răng sữa chưa rụng nhưng răng vĩnh viễn đã mọc lên, khiến cho răng bị lệch so với vị trí chuẩn trên cung hàm. Thay vì mọc đều và thẳng hàng, răng vĩnh viễn sẽ bị đẩy lệch về phía trong hay phía ngoài.

Răng mọc lẫy là tình trạng răng sữa chưa rụng nhưng răng vĩnh viễn đã mọc lên
Tình trạng răng mọc lẫy thường xảy ra khi bé trong độ tuổi 5 - 7 tuổi, đang trong quá trình thay răng vĩnh viễn, gây ảnh hưởng rất lớn đến thẩm mỹ cũng như chức năng nhai của hàm răng.
Dấu hiệu nhận biết răng mọc lẫy ở trẻ
Để nhận biết sớm tình trạng răng trẻ em mọc lẫy, cha mẹ cần lưu ý đến những dấu hiệu sau:
- Các răng ở hàm trên bị chìa ra ngoài quá nhiều, khiến hai hàm không khớp với nhau.
- Bé đã đến thời kỳ thay răng vĩnh viễn mà răng sữa vẫn chưa lung lay, còn rất chắc chắn.
- Răng vĩnh viễn mọc lên đúng thời điểm nhưng lại mọc khấp khểnh, móm, thưa,...
- Răng vĩnh viễn có kích thước to hơn so với bình thường, khiến các răng khác không có đủ không gian để mọc, dẫn đến tình trạng răng mọc lệch lạc.
- Bé phải nhổ bỏ răng sữa sớm dù chưa đến thời kỳ thay răng do răng bị sâu, gãy vỡ nặng.
- Răng mọc lẫy dẫn đến sai khớp cắn, ảnh hưởng đến khớp thái dương hàm, khiến bé cảm thấy đau nhức, khó chịu. Bé sẽ cảm thấy biếng ăn, bỏ bữa, các chất dinh dưỡng không được hấp thu sẽ ảnh hưởng đến sự phát triển toàn diện của bé.

Răng mọc lẫy có thể khiến răng mọc lộn xộn
Nguyên nhân khiến răng trẻ em mọc lẫy
Tình trạng răng trẻ em mọc lẫy do nhiều nguyên nhân gây nên, trong đó có thể kể đến những nguyên nhân phổ biến như:
Do di truyền
Nếu cha mẹ hoặc các thành viên trong gia đình có tình trạng răng mọc khấp khểnh, chen chúc nhau thì khả năng cao trẻ cũng có nguy cơ gặp phải tình trạng tương tự.
Do các thói quen xấu
Các thói quen xấu của trẻ như mút môi, mút tay, đẩy lưỡi, chống cằm, ngậm ti giả quá lâu... sẽ ảnh hưởng phần nào để hướng mọc răng của trẻ.

Trẻ mút tay có thể gây ảnh hưởng xấu đến hướng mọc răng của trẻ
Răng sữa tồn tại quá lâu
Nếu đến thời điểm thay răng vĩnh viễn mà răng sữa vẫn còn chắc chắn, không rụng đúng thời điểm, răng vĩnh viễn sẽ không có đủ chỗ để mọc lên, từ đó có thể bị mọc lệch.
Cung hàm quá hẹp
Khi cũng hàm của trẻ quá nhỏ so với số lượng răng, răng sẽ không có đủ chỗ để mọc thẳng hàng, khiến răng mọc chen chúc, mọc lệch.
Trẻ bị thiếu vitamin và khoáng chất
Việc thiếu vitamin và khoáng chất cũng là nguyên nhân hàng đầu khiến răng vĩnh viễn mọc sai vị trí hoặc mọc khi răng sữa vẫn chưa rụng.

Trẻ bị thiếu chất dinh dưỡng có thể khiến răng vĩnh viễn mọc sai vị trí
Chấn thương ở vùng mặt
Các chấn thương ở vùng mặt có thể gây ảnh hưởng đến sự phát triển của răng và hàm, dẫn đến răng trẻ em mọc lẫy.
Do kích thước của răng vĩnh viễn quá lớn
Răng vĩnh viễn mọc lên nhưng có kích thước quá lớn, không có đủ khoảng trống để mọc lên bình thường, từ đó mọc chen chúc lẫn nhau.
Xem thêm: Có nên sử dụng bàn chải đánh răng cho bé hay không?
Những ảnh hưởng của răng mọc lẫy
Trẻ em gặp phải tình trạng răng mọc lẫy có thể bị ảnh hưởng nghiêm trọng đến thẩm mỹ cũng như quá trình phát triển toàn diện của trẻ, dẫn đến các hệ lụy khôn lường.
Mất thẩm mỹ nụ cười
Răng mọc lẫy khiến hàm răng của bé không được đều đẹp, làm mất đi sự cân đối của khuôn mặt. Đặc biệt, độ tuổi bé bắt đầu thay răng cũng là độ tuổi bé đến trường và tiếp xúc với nhiều thầy cô, bạn bè. Việc sở hữu một hàm răng lệch lạc có thể sẽ khiến bé tự ti, mặc cảm khi giao tiếp.
Nếu tình trạng này kéo dài sẽ ảnh hưởng tiêu cực đến tâm lý của trẻ, khiến trẻ ngày càng sợ hãi, trở nên khép kín, nặng hơn có thể dẫn đến tự kỷ.

Răng mọc lẫy gây mất thẩm mỹ cho nụ cười của trẻ
Ảnh hưởng đến khả năng ăn nhai
Răng mọc lẫy ngoài việc ảnh hưởng đến thẩm mỹ còn gây khó khăn khi nhai cắn thức ăn. Răng mọc lộn xộn, không đều có thể khiến bé ăn nhai không kỹ, lâu ngày sẽ gây ảnh hưởng đến hệ tiêu hóa.
Tăng nguy cơ các bệnh về răng miệng
Răng mọc chen chúc, không đều nhau sẽ rất dễ khiến thức ăn bị mắc lại, đồng thời rất khó để vệ sinh sạch sẽ. Điều này sẽ gia tăng nguy cơ mắc các bệnh về răng miệng như sâu răng, viêm nướu, hôi miệng,...

Răng mọc lẫy rất dễ khiến trẻ bị sâu răng
Cần làm gì khi răng trẻ em mọc lẫy?
Răng mọc lẫy ở trẻ em là một tình trạng khá phổ biến và cần được can thiệp kịp thời để tránh những biến chứng không mong muốn. Khi phát hiện con mình có dấu hiệu răng mọc lẫy, ba mẹ cần làm những điều sau.
Đưa trẻ đi thăm khám bác sĩ nha khoa
Bạn nên đưa trẻ đến những nha khoa uy tín để thăm khám. Tại đây, bác sĩ sẽ tiến hành khám tổng quát răng miệng, chụp X-quang để đánh giá mức độ răng mọc lẫy, nguyên nhân gây ra và đưa ra phương án điều trị phù hợp.
Bác sĩ sẽ tư vấn cụ thể cho ba mẹ biết về các phương pháp điều trị, lợi ích và rủi ro có thể xảy ra để ba mẹ đưa ra quyết định phù hợp nhất cho bé.

Nên đưa trẻ đến nha khoa uy tín để thăm khám
Tuân thủ theo chỉ định của bác sĩ
Ba mẹ hãy tuân thủ theo những chỉ định của bác sĩ. Điều trị sớm sẽ giúp quá trình điều trị diễn ra nhanh chóng và hiệu quả hơn. Bên cạnh đó, ba mẹ hãy nhắc nhở trẻ thực hiện đầy đủ các hướng dẫn của bác sĩ.
Các phương pháp điều trị răng mọc lẫy phổ biến
Tùy theo mức độ răng mọc lẫy của bé, bác sĩ sẽ đưa ra phương pháp điều trị thích hợp nhất.
- Trường hợp răng mọc lẫy ở mức độ nhẹ, bác sĩ sẽ tiến hành nhổ răng sữa nhằm tạo khoảng trống cho răng vĩnh viễn mọc lên đúng vị trí chuẩn trên cung hàm.
- Trường hợp răng mọc lẫy ở mức độ phức tạp hơn, gây sai lệch khớp cắn thì bác sĩ có thể chỉ định niềng răng cho bé. Đây là phương pháp mà bác sĩ sẽ sử dụng các khí cụ chỉnh nha như mắc cài, dây cung để tạo lực dịch chuyển các răng về đúng vị trí trên cung hàm.

Niềng răng là giải pháp thường được bác sĩ chỉ định để khắc phục tình trạng răng mọc lẫy
Những câu hỏi thường gặp
Răng mọc lẫy có tự hết không?
Trong một số trường hợp răng mọc lẫy nhẹ thì răng có thể tự điều chỉnh. Tuy nhiên, trong hầu hết trường hợp đều cần có sự can thiệp của bác sĩ nha khoa.
Niềng răng có đau không?
Niềng răng để khắc phục tình trạng răng trẻ em mọc lẫy là giải pháp phổ biến. Vậy trẻ em niềng răng có đau không? Trong những ngày đầu niềng răng, trẻ có thể cảm thấy hơi ê ẩm và khó chịu do có khí cụ lạ trong miệng, nhưng sau đó sẽ nhanh chóng quen. Bên cạnh đó, trẻ em niềng răng sẽ ít đau hơn so với người trưởng thành vì xương hàm vẫn đang trong quá trình phát triển.
Niềng răng có ảnh hưởng đến việc ăn uống không?
Trong thời gian đầu niềng răng, trẻ em có thể gặp một số khó khăn trong việc ăn uống, nhưng sẽ dần thích nghi. Ba mẹ có thể cho bé ăn những thực phẩm mềm, dễ nhai, tránh những thực phẩm dai, cứng, quá nóng hay quá lạnh,... Bên cạnh đó, ba mẹ có thể cắt nhỏ thức ăn, nhắc nhở bé nhai kỹ, tránh dùng răng để cắn các vật cứng,...
Hy vọng rằng những thông tin trên đây đã giúp ba mẹ hiểu được tình trạng răng trẻ em mọc lẫy và biết được giải pháp khắc phục hiệu quả. Cha mẹ hãy chú ý và xử lý sớm tình trạng răng miệng của bé, tránh để lại những hệ quả xấu nhé.
*Chụp phim X-Quang hoặc phim 3 chiều CT Cone Beam là một bước quan trọng trong quy trình điều trị phục hồi răng. Vì vậy Khách hàng sẽ được Bác sĩ của nha khoa Nhân Tâm chỉ định đến các cơ sở y tế đủ chức năng để thực hiện trước khi điều trị.




