Tình trạng chảy máu chân răng trẻ em rất dễ xảy ra. Nguyên nhân chủ yếu là do các bệnh lý răng miệng hoặc do sự thiếu hụt vitamin C ở trẻ. Nếu không kịp thời khắc phục sẽ ảnh hưởng lâu dài đến sự phát triển của hàm răng.
Nguyên nhân gây chảy máu chân răng trẻ em
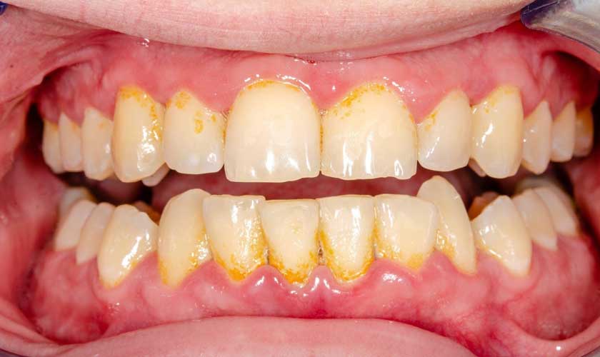
Chảy máu chân răng trẻ em thường xảy ra khi trẻ gặp các vấn đề răng miệng, chủ yếu là bệnh viêm nướu và sâu răng.
Thói quen ăn ngọt, ăn vặt và vệ sinh răng sai cách sẽ khiến các mảng bám răng tích tụ trên răng và dưới nướu, tạo điều kiện cho vi khuẩn phát triển và tấn công nướu răng. Nướu bị viêm sẽ có những biểu hiện như sưng nướu, đỏ nướu, đau và chảy máu chân răng.
Sâu răng ở mức độ nghiêm trọng cũng sẽ khiến răng dễ bị chảy máu, đặc biệt là khi đánh răng. Do đó, nếu trẻ bị chảy máu chân răng thì ba mẹ hãy kiểm tra răng và nướu ở vị trí bị chảy máu xem có bị viêm nhiễm hay sâu răng không nhé!

Mảng bám răng khiến trẻ dễ bị viêm nướu và chảy máu răng
Một lý do khác cũng dẫn đến chảy máu chân răng trẻ em đó là sự thiếu hụt Vitamin C. Thiếu vitamin C sẽ làm giảm lượng collagen khiến mạch máu trở nên mỏng manh và dễ bị chảy máu.
Nếu ba mẹ nhận thấy nướu trẻ bị sưng, chảy máu, da dễ bị bầm, sủi da, móng và tóc yếu, cơ thể mệt mỏi, chán ăn, vết thương lâu lành… thì có thể trẻ đang bị thiếu hụt Vitamin C.
Chảy máu chân răng trẻ em có nguy hiểm không?
Chảy máu chân răng trẻ em khiến ba mẹ lo lắng không biết liệu tình trạng này có nguy hiểm không?
Tình trạng chảy máu chân răng ở trẻ nên để kéo dài sẽ vô cùng nguy hiểm đến sức khỏe của trẻ. Nếu do các bệnh về răng như viêm nướu, sâu răng gây nên, trẻ sẽ bị đau răng, đau nướu, ảnh hưởng đến việc ăn uống và sinh hoạt, học tập của trẻ.

Chảy máu chân răng ảnh hưởng lớn đến sức khỏe và cuộc sống của trẻ
Xem thêm: Nguyên nhân răng trẻ em bị vàng và cách điều trị
Viêm nướu răng sẽ dễ tiến triển thành viêm nha chu, làm tụt nướu và khiến răng bị lung lay, tăng nguy cơ mất răng ở trẻ. Sâu răng tiềm ẩn những biến chứng nguy hiểm như viêm tủy răng, áp-xe răng, viêm mô tế bào, nhiễm trùng máu…
Trường hợp trẻ thiếu hụt Vitamin C, trẻ sẽ bị chán ăn, mệt mỏi, giảm đề kháng. Lâu dài trẻ có thể bị bệnh scorbut, xuất huyết, thiếu máu, nhiễm trùng, loãng xương, suy dinh dưỡng…
Điều trị chảy máu chân răng trẻ em
Khi trẻ bị chảy máu chân răng, ba mẹ cần cho trẻ thăm khám tại nha khoa tốt, uy tín để kiểm tra sức khỏe răng miệng của trẻ và chẩn đoán nguyên nhân trẻ bị chảy máu chân răng.
Trường hợp trẻ bị viêm nướu gây chảy máu răng, trẻ sẽ được cạo vôi răng để loại bỏ mảng bám và vôi răng, tiêu diệt vi khuẩn gây viêm. Sau khi cạo vôi răng, nướu sẽ dần hồi phục và chấm dứt tình trạng chảy máu.
Trường hợp trẻ bị sâu răng, Bác sĩ sẽ điều trị sâu răng bằng cách loại bỏ mô răng bị sâu, chữa tủy nếu cần và trám răng sâu để ngăn chặn vi khuẩn tấn công.

Điều trị cho trẻ tại Nha khoa Nhân Tâm
Đồng thời Bác sĩ sẽ hướng dẫn ba mẹ và trẻ cách chăm sóc răng đúng cách tại nhà. Trẻ cần có chế độ ăn uống đầy đủ dinh dưỡng và hợp lý, không ăn uống quá nhiều đồ ngọt hay các thực phẩm dai cứng, giàu axit, dễ bám dính… Hạn chế ăn vặt và súc miệng sạch sau mỗi bữa ăn.
Ba mẹ cần theo sát việc đánh răng ở trẻ, hướng dẫn trẻ đánh răng theo chỉ dẫn của Bác sĩ 2 lần/ ngày với bàn chải lông mềm. Dùng chỉ nha khoa để loại bỏ thức ăn thừa và súc miệng với nước muối để sát khuẩn.
Trường hợp chảy máu chân răng trẻ em là do trẻ bị thiếu Vitamin C thì ba mẹ nên tham khảo ý kiến của Bác sĩ nhi khoa để bổ sung Vitamin C cho trẻ, tăng cường lượng Vitamin C với các loại thực phẩm như ổi, nước cam, cà chua, ớt chuông, bông cải, quả kiwi, dâu tây…

Ổi là thực phẩm chứa nhiều vitamin C
Chảy máu chân răng trẻ em là biểu hiện không thể xem nhẹ và không thể để kéo dài. Để trẻ phát triển khỏe mạnh, đảm bảo thể chất và tinh thần thì ba mẹ hãy chăm sóc trẻ thật tốt, cho trẻ ăn uống đủ chất, khám sức khỏe toàn thân và sức khỏe răng miệng định kỳ nhé!




