Sâu kẽ răng có thể bắt nguồn từ nhiều nguyên nhân như: vệ sinh răng miệng sai cách, do men răng yếu, chế độ ăn uống thiếu khoa học, những thói quen xấu trong cuộc sống,...
Tùy vào mức độ sâu kẽ răng mà bác sĩ sẽ chỉ định phương pháp điều trị phù hợp như: trám kẽ răng, dán sứ veneer, bọc răng sứ,...
Sâu kẽ răng là gì?
Sâu kẽ răng là tình trạng kẽ răng giữa hai răng liền kề bị vi khuẩn tấn công, gây tổn thương cấu trúc của răng. Vi khuẩn có trong mảng bám, thức ăn thừa mắc trong kẽ răng sẽ phát triển mạnh mẽ và ăn mòn lớp men răng tại đây, đồng thời tạo nên các vệt đen trông mất thẩm mỹ.

Sâu kẽ răng là tình trạng khá phổ biến
Các vị trí sâu kẽ răng
Sâu kẽ răng có thể xuất hiện ở nhiều vị trí răng, kể cả răng cửa và răng hàm, không chỉ gây ảnh hưởng đến thẩm mỹ mà còn tác động tiêu cực đến sức khỏe răng miệng.
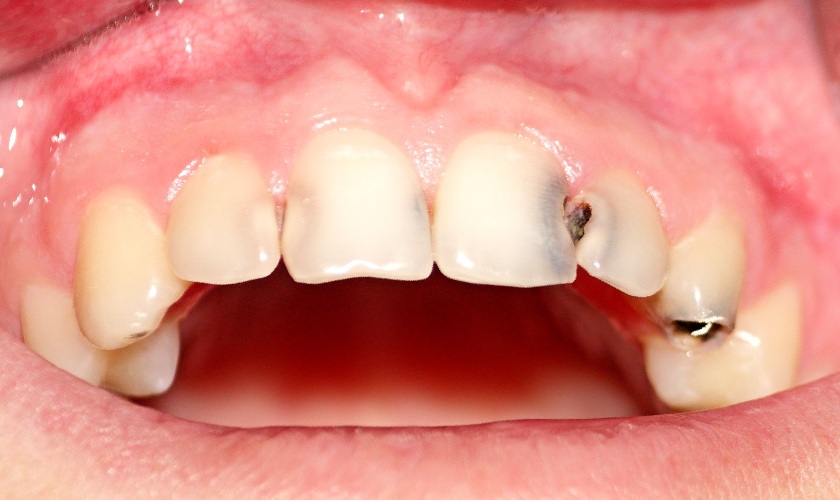
Sâu kẽ răng cửa
Là tình trạng kẽ răng cửa bị sâu. Thời gian đầu khi sâu răng mới xuất hiện chỉ là những chấm đen li ti ở kẽ răng. Theo thời gian, vết sâu sẽ lan rộng ra khắp bề mặt răng. Đây là vị trí sâu răng dễ nhìn thấy nên thường sẽ khiến người bệnh cảm thấy tự ti, e ngại khi giao tiếp.
Sâu kẽ răng hàm
Là tình trạng giữa 2 răng hàm xuất hiện sâu răng. Răng hàm nằm sâu bên trong nên rất khó nhận biết tình trạng sâu răng bằng mắt thường. Khi phát hiện thì bệnh đã tiến triển nặng, lan rộng và có thể làm hỏng cả răng.

Sâu kẽ răng cửa và sâu kẽ răng hàm
Những dấu hiệu nhận biết sâu kẽ răng
Việc nhận biết sớm dấu hiệu sâu kẽ răng sẽ giúp bạn có cách điều trị kịp thời, từ đó ngăn ngừa được những hậu quả do sâu răng gây ra. Dưới đây là một số dấu hiệu mà bạn có thể tham khảo.
- Kẽ răng xuất hiện vết đen: Khi bị sâu kẽ răng, mặt tiếp xúc giữa 2 răng liền kề sẽ xuất hiện các vệt đen.
- Răng bị đau nhức, ê buốt: Cảm giác này sẽ xuất hiện rõ ràng khi bạn vệ sinh răng miệng, ăn uống các thực phẩm quá nóng hay quá lạnh, chứa nhiều axit.
- Sưng nướu răng: Tình trạng nướu răng bị sưng đỏ, đau nhức, dễ chảy máu khi tác động vào là dấu hiệu cho thấy tình trạng sâu răng đã tiến triển nặng.
- Hơi thở có mùi hôi: Vi khuẩn sâu răng kết hợp với mảng bám, thức ăn thừa còn sót lại sẽ tạo ra mùi hôi khó chịu, khiến người bệnh mất tự tin trong giao tiếp.

Sâu kẽ răng gây đau nhức, ê buốt răng
Nguyên nhân dẫn đến sâu kẽ răng
Có rất nhiều nguyên nhân gây sâu kẽ răng, trong đó có thể kể đến như:
Do vệ sinh răng miệng không đúng cách
Việc chải răng không kỹ lưỡng, sử dụng lông bàn chải quá cứng sẽ khó có thể loại bỏ được các mảng bám, vụn thức ăn trong kẽ răng. Điều này sẽ tạo môi trường thuận lợi cho vi khuẩn sinh sôi phát triển và tấn công, gây sâu kẽ.
Ngoài ra, không sử dụng chỉ nha khoa, nước súc miệng hay không lấy vôi răng định kỳ cũng làm gia tăng sự tích tụ của vi khuẩn và dẫn đến sâu răng.

Vệ sinh răng không kỹ lưỡng sẽ dễ gây sâu răng
Do cấu trúc và tổ chức răng trên cung hàm
Một trong những yếu tố gây sâu kẽ răng không thể không nhắc đến đó là cấu trúc và sự sắp xếp của các răng trên cung hàm.
Những người có men răng yếu, thiểu sản men răng, mòn cổ chân răng,... thì khả năng bị sâu kẽ sẽ cao hơn những người khác. Ngoài ra, người có tình trạng răng mọc chen chúc, khấp khểnh,... dễ bị mắc thức ăn tại kẽ răng, khó làm sạch hoàn toàn nên nguy cơ sâu kẽ cũng sẽ rất cao.
Do chế độ ăn uống thiếu khoa học
Thường xuyên ăn các thực phẩm ngọt, dai, dính như nước ngọt có gas, bánh, kẹo, socola,... sẽ tạo môi trường axit lý tưởng cho vi khuẩn phát triển và gây sâu kẽ răng.
Bên cạnh đó, nếu bạn ăn vặt nhiều lần trong ngày nhưng không làm sạch răng miệng sau khi ăn sẽ khiến thức ăn thừa bám dính vào kẽ răng, tạo điều kiện cho vi khuẩn sâu răng phát triển.

Ăn nhiều đồ ngọt sẽ dễ bị sâu răng
Do những thói quen xấu trong cuộc sống
Những thói quen xấu như thường xuyên ăn đồ ăn quá cứng, dùng răng để mở nắp chai,... rất dễ gây tổn thương đến cấu trúc răng. Điều này sẽ tạo cơ hội cho vi khuẩn xâm nhập và gây sâu răng.
Xem thêm: Răng hàm bị sâu chỉ còn chân điều trị như thế nào?
Các giai đoạn tiến triển của sâu kẽ răng
Quá trình sâu kẽ răng sẽ được tiến triển thành 3 giai đoạn chính từ nhẹ đến nặng, bao gồm:
Sâu men răng
Đây là tình trạng nhẹ nhất của sâu răng. Dấu hiệu nhận biết sâu răng ở giai đoạn đầu đó là ở kẽ răng xuất hiện nhiều chấm vàng và nâu.
Sâu ngà nông
Sâu men răng khi không được phát hiện và điều trị kịp thời sẽ dẫn đến sâu ngà nông. Ở giai đoạn này, vi khuẩn sẽ bắt đầu ăn mòn và tạo ra các lỗ li ti trên răng. Các lỗ này sẽ khiến người bệnh cảm thấy khó chịu, nhất là khi ăn uống.
Sâu ngà sâu
Đây là giai đoạn sâu răng tiến triển khá năng. Ở giai đoạn này, men răng và ngà răng hầu như đã bị vi khuẩn ăn mòn. Một số trường hợp nặng hơn sẽ gây ảnh hưởng đến tủy răng, khiến cơn đau xuất hiện nhiều và thường xuyên hơn.

Các giai đoạn tiến triển của sâu kẽ răng
Cách chữa sâu kẽ răng đơn giản tại nhà
Từ thời xa xưa, khi sâu kẽ răng mới tiến triển, ông bà ta đã có rất nhiều cách để điều trị tình trạng này. Dưới đây là một số cách phổ biến mà bạn có thể thử áp dụng để chữa trị tại nhà.
Sử dụng lá trầu không
Trong lá trầu không có chứa hoạt chất Flavonoid, là hoạt chất chống viêm và oxy hóa nên có tác dụng sát khuẩn, giảm đau và ngăn ngừa sâu răng tiến triển hiệu quả.

Lá trầu không giúp ngăn ngừa sâu răng tiến triển
Cách thực hiện:
- Chuẩn bị một ít lá trầu không, nghệ vàng, búp bàng. Đem rửa sạch các nguyên liệu này rồi giã nhỏ và ngâm với khoảng 20ml rượu trắng. Đem hỗn hợp cách thủy và để nguội.
- Với hỗn hợp vừa thu được, bạn có thể dùng để súc miệng hoặc dùng bông thấm vào hỗn hợp rồi chấm lên vùng kẽ răng bị sâu.
- Cuối cùng súc miệng lại với nước sạch.
Sử dụng lá bàng non
Lá bàng non có khả năng kháng viêm, kháng khuẩn, nên thường được ông bà ta sử dụng trong các bài thuốc điều trị bệnh lý về răng miệng, trong đó có sâu răng.

Lá bàng non giúp trị sâu răng hiệu quả
Cách thực hiện:
- Chuẩn bị khoảng 7 - 10 lá bàng non, đem rửa sạch rồi đun với một ít nước.
- Khi nước sôi thì vặn nhỏ lửa và hãm trong khoảng 5 phút để các tinh chất có trong lá bàng non ra hết.
- Bạn có thể dùng nước lá bàng non thu được để súc miệng vào mỗi buổi tối, các cơn đau do sâu răng gây ra sẽ được làm dịu nhanh chóng.
Sử dụng hoa cúc vàng
Hoa cúc vàng cũng thường xuất hiện trong các sản phẩm chăm sóc và bảo vệ sức khỏe răng miệng trên thị trường. Sở dĩ như vậy là bởi loài hoa này có tác dụng kháng viêm và diệt khuẩn hiệu quả. Dưới đây là bài thuốc chữa sâu kẽ răng bằng hoa cúc vàng được lưu truyền từ xưa đến nay.

Hoa cúc vàng giúp bảo vệ sức khỏe răng miệng
Cách thực hiện:
- Chuẩn bị 4 - 6 hoa cúc vàng. Sau đó đem đi ngâm muối, rửa sạch và để cho ráo nước.
- Mỗi ngày bạn có thể nhai một lượng vừa đủ cánh hóa để tiêu diệt vi khuẩn gây sâu răng. Sau đó nhả ra và súc miệng lại với nước sạch.
Lưu ý: Các phương pháp điều trị sâu kẽ răng tại nhà vừa kể trên chỉ có tác dụng làm dịu cơn đau nhức do sâu răng gây ra, đồng thời làm chậm quá trình tiến triển của sâu răng. Do đó, khi bạn sắp xếp được thời gian, hãy đến ngay các cơ sở nha khoa uy tín để bác sĩ thăm khám và đưa ra cách điều trị phù hợp.
Cách điều trị sâu kẽ răng tại nha khoa
Tùy vào mức độ sâu kẽ răng mà bác sĩ sẽ chỉ định cho bạn phương pháp điều trị phù hợp. Dưới đây là một số phương pháp phổ biến.
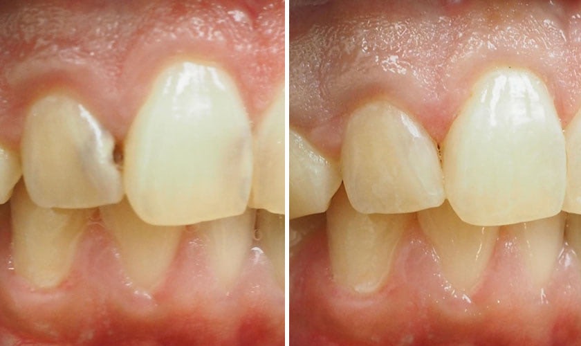
Trám kẽ răng
Phương pháp trám răng sẽ được sử dụng trong những trường hợp sâu răng nhẹ. Bác sĩ sẽ tiến hành loại bỏ những mô răng bị sâu, sau đó dùng vật liệu trám chuyên dụng để trám bít lại, khôi phục lại hình dáng tự nhiên của răng.

Trám kẽ răng thường được sử dụng trong các trường hợp sâu nhẹ
Dán sứ Veneer
Bạn cũng có thể áp dụng phương pháp dán sứ Veneer với những trường hợp kẽ răng xuất hiện vết sâu nhỏ. Mặt dán sứ Veneer sẽ mang lại thẩm mỹ cao hơn và độ bền chắc lâu dài hơn so với phương pháp trám răng.
Khi thực hiện phương pháp này, bác sĩ sẽ loại bỏ mô răng bị sâu, sau đó mài một lớp mỏng mặt ngoài của răng. Mặt dán sứ Veneer sẽ được tạo hình dựa trên dấu răng thật của khách hàng, ôm khít sát vào răng thật.

Dán sứ Veneer mang lại thẩm mỹ và độ bền cao
Dán sứ Veneer không xâm lấn quá nhiều nên giúp bảo tồn tối đa răng thật. Ngoài ra, miếng dán sứ khá mỏng nên không làm ảnh hưởng đến chức năng ăn nhai. Đồng thời, Veneer sứ còn mang lại thẩm mỹ tự nhiên cho răng.
Bọc răng sứ
Bọc răng sứ là phương pháp thường được áp dụng trong những trường hợp sâu kẽ răng nặng gây tổn thương đến tủy.
Bác sĩ sẽ tiến hành điều trị tủy để ngăn ngừa cơn đau nhức và tình trạng viêm nhiễm lây lan. Sau đó, bác sĩ sẽ mài một phần răng thật và gắn mão răng sứ lên trên. Răng sứ giúp phục hình răng hoàn hảo, đảm bảo thẩm mỹ và ăn nhai thoải mái như răng thật.

Bọc sứ cho răng sâu
Làm thế nào để phòng ngừa tình trạng sâu kẽ răng?
Để ngăn ngừa những tác hại của sâu kẽ răng gây ra, bạn nên lưu ý đến chế độ vệ sinh răng miệng cũng như chế độ ăn uống hàng ngày.
- Chải răng đều đặn ít nhất 2 lần/ngày với bàn chải lông mềm, không chải răng theo chiều ngang mà chải nhẹ nhàng theo chiều dọc hoặc theo chuyển động xoay tròn.
- Lựa chọn kem đánh răng có chứa Fluor - Hoạt chất có khả năng bảo vệ răng trước sự tấn công của các vi khuẩn gây sâu răng.
- Kết hợp sử dụng thêm chỉ nha khoa, nước súc miệng, máy tăm nước để làm sạch vụn thức ăn trong kẽ răng, tiêu diệt các vi khuẩn trong khoang miệng.

Vệ sinh răng miệng đúng cách để phòng ngừa sâu răng
- Loại bỏ những thói quen xấu có hại cho răng như dùng răng cắn móng tay, mở nắp chai,...
- Hạn chế những thức ăn dai, cứng, quá cay hay quá nóng, những thực phẩm nhiều đường,... để tránh làm tổn thương đến men răng. Bên cạnh đó, hãy bổ sung nhiều rau xanh, trái cây, đồng thời uống đủ 1.5 - 2 lít nước mỗi ngày.
- Lấy vôi răng định kỳ 6 tháng/ngày để bác sĩ làm sạch răng và kịp thời phát hiện những bệnh lý răng miệng nếu có.
Như vậy, tình trạng sâu kẽ răng gây ra những ảnh hưởng không nhỏ đến thẩm mỹ cũng như sức khỏe răng miệng. Do đó, khi phát hiện những dấu hiệu của bệnh lý này, bạn nên đến ngay các địa chỉ nha khoa tốt ở Sài Gòn để được bác sĩ thăm khám và điều trị kịp thời, tránh những hậu quả không mong muốn.




