
Bài viết gần đây

Nên trám hay nhổ răng sâu bị vỡ - Lời khuyên của chuyên gia
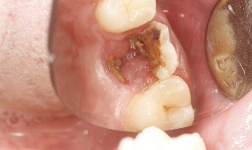
Răng sâu bị vỡ là tình trạng thường gặp, đặc biệt khi không điều trị sâu răng kịp thời, dẫn đến tổn thương nghiêm trọng cấu trúc răng. Trong trường hợp này, câu hỏi đặt ra là nên trám răng hay nhổ răng? Quyết định phụ thuộc vào mức độ tổn thương và sức khỏe tổng quát của răng.
Ngày đăng: 27/11/2024
1.012 Lượt xem

Top 10 bài thuốc trị sâu răng vĩnh viễn hiệu quả tại nhà
Sâu răng là tình trạng phổ biến, có thể gặp ở bất cứ ai, từ trẻ em đến người trưởng thành. Bên cạnh các liệu pháp nha khoa, những bài thuốc trị sâu răng vĩnh viễn cũng được nhiều người áp dụng, nhất là trong những trường hợp sâu răng nhẹ. Cùng tham khảo 10 bài thuốc trị sâu răng được lưu truyền trong dân gian dưới đây nhé.
Ngày đăng: 25/07/2024
3.683 Lượt xem

Tìm hiểu nguyên nhân, dấu hiệu và cách điều trị sâu kẽ răng
Sâu kẽ răng là tình trạng có thể gặp ở bất kỳ độ tuổi nào. Tình trạng này có thể gây đau nhức, khó chịu, làm giảm khả năng ăn nhai và ảnh hưởng nghiêm trọng đến sức khỏe răng miệng. Bài viết sau sẽ giúp bạn biết được nguyên nhân, dấu hiệu cũng như cách điều trị sâu kẽ răng một cách nhanh chóng, hiệu quả.
Ngày đăng: 17/07/2024
1.460 Lượt xem

Răng hàm bị sâu chỉ còn chân điều trị như thế nào?
Răng hàm bị sâu chỉ còn chân gây khó khăn khi ăn uống, thậm chí còn gây đau nhức, khó chịu, ảnh hưởng đến sinh hoạt hàng ngày của người bệnh. Cách khắc phục tình trạng này như thế nào? Hãy cùng tìm hiểu qua những thông tin trong bài viết sau.
Ngày đăng: 07/06/2024
1.822 Lượt xem

Răng bị lủng lỗ đau nhức do sâu răng phải làm sao?
Răng bị lủng lỗ đau nhức là triệu chứng thường gặp khi răng bị sâu. Tình trạng này nếu không khắc phục kịp thời có thể dẫn đến nhiều biến chứng nguy hiểm, thậm chí là mất răng.
Ngày đăng: 05/06/2024
1.841 Lượt xem




