Đau nhức chân răng hàm dưới không chỉ gây khó khăn khi ăn uống, giao tiếp mà còn tiềm ẩn nhiều nguy hiểm khôn lường nếu không được chữa trị kịp thời.
Việc điều trị sẽ dựa trên nguyên nhân đau nhức chân răng. Bệnh nhân cần tìm được địa chỉ nha khoa uy tín và tiến hành thăm khám ngay khi có dấu hiệu đau nhức, tránh để kéo dài sẽ làm bệnh ngày càng tiến triển nghiêm trọng hơn.
Dấu hiệu đau nhức chân răng hàm dưới
Đau nhức chân răng hàm dưới là vấn đề răng miệng mà nhiều người gặp phải. Bệnh có thể xuất hiện ở mọi độ tuổi. Bệnh nhân sẽ cảm thấy đau nhức bên trong răng hoặc đau các mô và xương xung quanh các răng hàm dưới.

Bị đau răng hàm dưới không chỉ ảnh hưởng đến ăn uống, sinh hoạt mà còn có nguy cơ tiềm ẩn những biến chứng nguy hiểm
Nhìn chung, khi bị đau chân răng, bệnh nhân sẽ xuất hiện những dấu hiệu như sau:
- Đau nhói khi ăn nhai hoặc gõ nhẹ vào răng
- Nhạy cảm, ê buốt răng khi có kích thích nhiệt độ nóng/ lạnh
- Đau ở răng hoặc đau nướu, cơn đau có thể nhẹ hoặc đau dữ dội tùy mức độ tổn thương răng
- Có thể xuất hiện những triệu chứng như sưng nướu quanh răng đau, sưng hàm - mặt, chảy máu chân răng, nổi cục u ở nướu, hôi miệng, co cứng hàm, khó há miệng, đau lan sang tai, đau lan lên đầu, sốt, nổi hạch cổ…
Cơn đau ở chân răng hàm dưới sẽ khác nhau tùy tiến triển bệnh, có thể là cơn đau nhẹ, đau âm ỉ, đau từng cơn hoặc đau liên tục, đau dữ dội. Khi có những tác nhân kích thích như nhiệt độ nóng/ lạnh, thức ăn dai cứng, đánh răng,… thì cơn đau sẽ có xu hướng tăng lên.
Nguyên nhân gây đau nhức chân răng hàm dưới
Đau nhức chân răng hàm dưới xuất hiện khi bạn gặp phải một trong những tình trạng dưới đây:
1. Sâu răng hàm dưới
Nếu răng hàm dưới bạn bị đau, thì khả năng đầu tiên có thể xảy là răng bạn bị sâu. Ở mức độ nhẹ, vi khuẩn tấn công và phá hủy lớp cấu trúc bên ngoài của răng, thì cơn đau chỉ thoáng qua hoặc chỉ gây ê buốt răng khi bạn ăn uống đồ nóng hoặc lạnh.
Nếu không kịp thời phát hiện và điều trị, vi khuẩn sẽ tiếp tục xâm nhập vào bên trong tủy răng, gây nhiễm trùng tủy. Lúc này, các cơn đau sẽ ngày càng dữ dội. Bệnh nhân cảm thấy đau nhức ở chân răng có nghĩa là sâu đã lan vào buồng tủy.

Sâu răng hàm dưới giai đoạn sâu lan vào buồng tủy, gây nhiễm trùng tủy và đau nhức răng
2. Viêm tủy răng hàm dưới
Nếu cơn đau răng hàm dưới trở nên mạnh và nhức nhối thì bạn hãy cẩn thận vì có thể là biểu hiện của viêm tủy răng. Vi khuẩn đã tấn công tủy răng thông qua các lỗ sâu răng, khe nứt hoặc mẻ - vỡ răng, khiến tủy bị nhiễm trùng và đau.
Viêm tủy răng có hai dạng là viêm tủy có hồi phục và viêm tủy không hồi phục. Biến chứng có thể xảy ra bao gồm áp-xe, viêm mô tế bào, nhiễm trùng máu, mất răng vĩnh viễn, thậm chí nguy hiểm tính mạng.
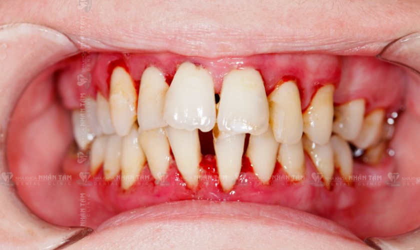
3. Viêm nướu – nha chu
Viêm nướu răng gây cảm giác đau nhức ở răng và nướu nhưng cơn đau không quá dữ dội. Do đó, nhiều bệnh nhân chủ quan khiến viêm nướu tiến triển thành viêm nha chu.
Viêm nha chu gây ra cơn đau mạnh hơn, đi kèm với sưng nướu, xuất hiện túi mủ nha chu, chảy máu chân răng… Nếu tình trạng viêm nha chu kéo dài có thể khiến răng bị nhiễm trùng, khó hồi phục, mất răng vĩnh viễn…

Viêm nha chu gây đau răng, sưng nướu, chảy máu nướu, tụt nướu…
4. Áp-xe răng
Áp-xe răng là hậu quả của những tổn thương nhưng không được điều khiến răng bị nhiễm trùng. Cơn đau bắt đầu từ bên trong răng, lan xuống chân răng và đau nhức các cùng xung quanh răng.
Các túi mủ hình thành tạo mùi hôi khó chịu ở miệng, tình trạng đau nhức răng không ngừng và có thể khiến bệnh nhân bị viêm tủy răng, viêm hạch, hỏng xương hàm, mất răng vĩnh viễn, nhiễm trùng máu.
5. Đau do răng khôn
Đau chân răng răng hàm dưới nếu ở vị trí phía trong cùng thì có thể là do mọc răng khôn hoặc viêm quanh răng khôn, sâu răng khôn.
Vì mọc ở độ tuổi trưởng thành (17-25 tuổi), cung hàm không còn đủ khoảng trống nên răng khôn dễ mọc lệch, mọc ngầm, mọc ngang, mọc kẹt dưới nướu gây viêm nhiễm và gây đau nhức, sưng nướu…

Răng khôn hàm dưới mọc ngầm, lệch gây đau răng
6. Lộ chân răng
Tụt nướu khiến chân răng hàm dưới bị lộ có thể gây đau nhức chân răng hàm dưới. Tuy cơn đau không quá mức nghiêm trọng nhưng về lâu dài có thể ảnh hưởng đến sức khỏe răng miệng và hoạt động ăn nhai.
7. Chấn thương răng
Các chấn thương ở răng như nứt, mẻ, vỡ, gãy răng làm lộ các bộ phận bên trong răng như tủy răng, dây thần kinh, mạch máu hoặc làm tổn thương xương ổ răng, dập nướu răng gây chảy máu… cũng là một trong những lý do khiến răng hàm dưới bị đau.

Răng bị nứt vỡ do chấn thương
8. Điều trị nha khoa
Các kỹ thuật nha khoa như trám răng, bọc sứ, tẩy trắng răng… nếu thực hiện sai kỹ thuật khiến răng bị tổn thương cũng gây ra tình trạng nhạy cảm và đau răng phát sinh.
9. Thói quen nghiến răng
Nhiều người có thói quen nghiến răng khi ngủ. Thói quen này cực kỳ có hại cho răng vì nó khiến răng bị mài mòn, kích thích các dây thần kinh bên trong răng và gây ra tình trạng ê buốt, nhức răng.
Đau nhức chân răng hàm dưới do nhiều nguyên nhân khác nhau và tiềm ẩn nhiều biến chứng nguy hiểm như hoại tử tủy răng, viêm mô tế bào, nhiễm trùng máu, áp-xe, mất răng, thậm chí tử vong…
Vì vậy, chúng ta không nên xem nhẹ đau nhức răng hàm dưới dù đó chỉ là những cơn đau nhẹ thoáng qua. Cần tiến hành khám và điều trị sớm để thuyên giảm cơn đau cũng như tìm và loại bỏ được tác nhân gây ra bệnh.
Điều trị đau nhức chân răng hàm dưới tại nhà
Nhiều người bị nhức chân răng hàm dưới nhưng không quá nghiêm trọng, đã thử giảm đau bằng các phương pháp tại nhà trong trường hợp chưa kịp thăm khám tại nha khoa. Một số phương pháp giảm đau răng tại nhà được áp dụng nhứ:
1. Uống thuốc giảm đau
Uống thuốc là điều đầu tiên mọi người nghĩ tới mỗi khi bị đau nhức đầu hoặc đau răng. Bạn có thể uống thuốc để giúp giảm đau tạm thời nhưng cần lưu ý tham khảo ý kiến của Bác sĩ hoặc dược sĩ để chọn được thuốc phù hợp, không lạm dụng để đảm bảo an toàn.

Paracetamol là thuốc giảm đau răng phổ biến
2. Chườm lạnh
Chườm túi lạnh hoặc khăn lạnh lên vùng răng bị đau. Nhiệt độ lạnh sẽ giúp làm “gây tê” khu vực này, giảm áp lực lưu thông máu, từ đó giảm đau răng. Bệnh nhân có thể thực hiện nhiều lần để cảm thấy thoải mái.
3. Vệ sinh răng đúng cách
Khi bị đau răng, nhiều người có xu hướng sợ chạm vào răng nên ngại đánh răng. Tùy nhiên, việc vệ sinh răng đúng cách sẽ giúp giảm lượng vi khuẩn đang tấn công răng, từ đó giúp giảm sưng và đau răng hiệu quả.
Hãy đảm bảo đánh răng 2 lần/ ngày bằng bàn chải lông mềm, dùng chỉ nha khoa để lấy thức ăn thừa và súc miệng bằng nước muối nhiều lần để diệt khuẩn bạn nhé.

Vệ sinh đúng cách giúp giảm lượng vi khuẩn tấn công
4. Sử dụng tinh dầu, trà bạc hà, trà xanh
Dùng tinh dầu oải hương, bạc hà, đinh hương bôi lên vùng răng bị đau cũng có thể giúp giảm đau tạm thời vì trong tinh dầu có chứa hơn 50% hoạt chất eugenol có tác dụng gây tê.
Bên cạnh đó, bạn có thể dùng trà bạc hà, trà xanh để uống và súc miệng để làm dịu cơn đau răng.
5. Đắp tỏi, lá ổi
Một trong những biện pháp giảm đau răng dân gian đó chính là giã tỏi hoặc lá ổi rồi đắp lên khu vực bị đau. Những thực vật này có các chất kháng khuẩn và kháng viêm nên có thể giúp giảm sưng và giảm đau.

Dùng lá và đọt ổi giã hoặc xay nhuyễn và đắp lên vùng răng bị đau
Điều trị nhức chân răng hàm dưới tại nha khoa
Các biện pháp giảm đau nhức chân răng hàm dưới tại nhà chỉ có hiệu quả tạm thời, do đó cơn đau vẫn có thể tiếp diễn sau khi đã thực hiện các biện pháp này.
Do đó, nếu không hết đau nhức chân răng thì tốt nhất bệnh nhân cần thăm khám và điều trị trực tiếp tại nha khoa vì chỉ có loại bỏ được nguyên nhân gây ra bệnh thì mới dứt điểm được cơn đau.

Thăm khám để tìm ra nguyên nhân gây đau răng
Bác sĩ sẽ chỉ định những kỹ thuật thăm khám cần thiết để tìm ra nguyên nhân và mức độ tổn thương răng, từ đó có phương pháp điều trị chính xác:
1. Điều trị sâu răng hàm dưới
Điều trị sâu răng được thực hiện như sau: Loại bỏ mô răng bị sâu và thực hiện trám răng đối với tình trạng sâu men răng, sâu ngà răng, sâu tủy nhẹ. Chữa tủy và bọc răng sứ đối với răng bị sâu vào buồng tủy.
Nếu răng sâu quá nặng không thể giữ thì bắt buộc phải nhổ răng để ngăn chặn sâu răng lan rộng, phòng ngừa biến chứng nhiễm trùng máu, viêm mô tế bào… Sau khi nhổ răng, bạn sẽ được tư vấn phục hình răng mất, phương pháp hiện đại nhất là trồng răng Implant.

Điều trị sâu răng hàm dưới tại Nha khoa Nhân Tâm
2. Điều trị viêm tủy răng
Đau nhức chân răng hàm dưới do viêm tủy răng buộc phải tiến hành chữa tủy. Bác sĩ nội nha sẽ thực hiện quy trình điều trị tủy theo đúng tiêu chuẩn của bộ Y tế. Răng sau khi chữa tủy trở nên khá yếu, dễ bị vỡ - gãy nên tốt nhất là bọc răng sứ để bảo vệ mô răng thật.

Chữa tủy răng bị viêm, sau khi chữa tủy nên bọc răng sứ để bảo vệ răng đã lấy tủy
3. Điều trị áp-xe răng
Việc điều trị áp-xe chân răng thường được chỉ định dùng thuốc giảm đau, kháng viêm, kháng sinh kết hợp với các kỹ thuật nha khoa như rạch dẫn lưu mủ, cạo vôi răng… để loại bỏ ổ áp-xe và vi khuẩn.
4. Điều trị viêm nướu - nha chu
Trường hợp viêm nướu, bệnh nhân chỉ cần cạo vôi răng để loại bỏ mảng bám vôi răng và vi khuẩn trên răng và dưới viền nướu.
Đới với viêm nha chu, Bác sĩ sẽ tiến hành những thủ thuật khác nhau tùy mức độ viêm. Nếu xuất hiện túi mủ nha chu, cần rạch dẫn lưu mủ để loại bỏ ra ngoài, sát trùng vết thương bằng dung dịch kháng khuẩn chứa chlorhexidine.

Cạo vôi răng giúp điều trị viêm nướu răng thông thường
Cạo vôi răng và kê thuốc kháng sinh đường uống cũng được chỉ định để tiêu diệt vi khuẩn gây viêm nha chu.
5. Điều trị chấn thương răng
Lựa chọn điều trị trong trường hợp đau do chấn thương răng là phục hình mão răng khi răng bị vỡ, gãy. Bác sĩ sẽ ưu tiên giữ lại răng thật và phục hình mão răng, tuy nhiên một số trường hợp chấn thương nghiêm trọng cần nhổ phần chân răng còn sót và phục hình bằng Implant.
6. Nhổ răng khôn
Cách chấm dứt cơn đau nhức răng hàm dưới do răng khôn chính là nhổ răng khôn. Nha khoa Nhân Tâm ứng dụng công nghệ nhổ răng khôn bằng sóng siêu âm giúp nhổ răng khôn an toàn, nhẹ nhàng, hạn chế đau và không gây biến chứng.
Sau khi nhổ răng khôn, các Bác sĩ tại nha khoa sẽ hướng dẫn kỹ lưỡng cách chăm sóc vết thương hậu phẫu, giúp vết thương nhanh lành, không bị nhiễm trùng và bạn có thể ăn uống, sinh hoạt như bình thường.

Nhổ răng khôn là cách tốt nhất để chấm dứt tình trạng đau răng do răng khôn
Như vậy, Nha khoa Nhân Tâm đã cung cấp cho bạn những thông tin hữu ích về bệnh đau nhức chân răng hàm dưới. Để được tư vấn hoặc đặt hẹn thăm khám, Quý khách vui lòng liên hệ thông qua hotline 1900 56 5678.





