Đau răng nổi hạch là dấu hiệu thường gặp của các vấn đề răng miệng như mọc răng khôn, sâu răng, viêm tủy răng, áp-xe răng… Bệnh rất dễ tiến triển và gây ra những biến chứng nguy hiểm nên cần được điều trị càng sớm càng tốt.
Đau răng nổi hạch là bị gì?
Khi một bộ phận nào đó trên cơ thể của chúng ta gặp vấn đề bất thường, cơ thể sẽ nổi hạch như một phản ứng miễn dịch. Hạch thường sưng to, dễ nhận biết khi sờ vào và gây ra cảm giác đau nhức khó chịu.
Đau răng nổi hạch là dấu hiệu cảnh báo tình trạng răng không khỏe, có thể do những nguyên nhân như:
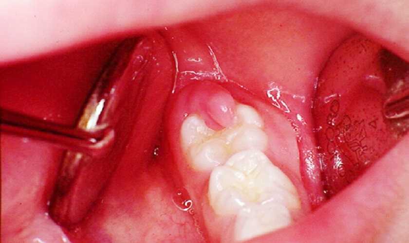
- Mọc răng khôn: Nhiều trường hợp mọc răng khôn gây ra tình trạng viêm quanh răng do răng khôn mọc khó, mọc kẹt, mọc ngầm. Các dấu hiệu bao gồm đau nhức ở vị trí hàm phía trong cùng, nướu sưng to, có thể bị sưng mặt, khó há miệng, nổi hạch và hành sốt.

Răng khôn mọc kẹt gây viêm nhiễm quanh răng dẫn đến đau răng nổi hạch
- Sâu răng: Sâu răng ở giai đoạn nghiêm trọng, vi khuẩn tấn công gây nhiễm trùng tủy hoặc sâu răng diện rộng có thể gây ra nhiều biến chứng như đau nhức không ngừng, răng hàm mặt bị sưng to, sốt cao, nổi hạch.
- Viêm tủy răng: Viêm tủy răng là tình trạng tủy răng bị nhiễm trùng do chấn thương hoặc các bệnh lý tạo điều kiện cho vi khuẩn xâm nhập tủy răng và gây viêm nhiễm. Viêm tủy răng gây ra tình trạng đau răng, nổi hạch, hàm sưng to, khó há miệng. Để lâu sẽ kéo theo những biến chứng như áp-xe, viêm mô tế bào, nhiễm trùng máu…

Răng bị viêm tủy do sâu răng nặng
- Áp-xe răng: Các chấn thương hoặc bệnh lý răng miệng nếu không kịp thời điều trị sẽ dẫn đến áp-xe răng. Quanh chân răng sẽ xuất hiện các túi mủ gây sốt, đau nhức, nổi hạch.
- Bệnh về nướu: Bệnh viêm nướu hay viêm nha chu nghiêm trọng cũng khiến răng bị đau nhức kéo dài và tái phát nhiều lần.
Đau răng nổi hạch có nguy hiểm không?
Đau răng nổi hạch cho thấy các vấn đề răng miệng đã bước qua giai đoạn nặng hơn, vô cùng nguy hiểm cho bệnh nhân. Nếu không chữa trị sẽ dẫn đến những biến chứng như:
1. Hoại tử răng
Nhiễm trùng kéo dài sẽ khiến lượng vi khuẩn tăng cao và tấn công sang các vùng xung quanh răng, tạo thành các ổ áp-xe, phá hủy mô nướu, nha chu và xương ổ răng.
2. Mất răng
Trường hợp răng bị hoại tử nặng thì nguy cơ nhổ răng để ngăn chặn nhiễm trùng lan rộng rất cao. Bệnh nhân sẽ phải đối mặt với tình trạng mất răng, ảnh hưởng thẩm mỹ và suy giảm sức nhai.

Mất răng ảnh hưởng đến thẩm mỹ và gây tiêu xương hàm trầm trọng
3. Đe dọa sức khỏe toàn thân
Không chỉ làm tổn thương vùng răng - nướu, vi khuẩn còn có thể xâm nhập vào cơ thể qua đường máu làm ảnh hưởng đến hệ thống cơ quan trong cơ thể, gây ra nhiều vấn đề như nhiễm trùng máu, tim mạch, hô hấp, viêm phổi và có nguy cơ đột quỵ, đặc biệt rất nguy hiểm với những người có bệnh mãn tính.
4. Giảm chất lượng cuộc sống
Đau răng nổi hạch không thuyên giảm sẽ làm ảnh hưởng trực tiếp tới quá trình ăn uống, bệnh nhân sẽ không thể há miệng và ăn uống khiến cơ thể mất sức, miễn dịch kém, các hoạt động sinh hoạt hằng ngày bị đình trệ.

Đau răng nổi hạch khiến việc ăn uống khó khăn, giảm chất lượng cuộc sống
Điều trị đau răng nổi hạch như thế nào?
Có rất nhiều nguyên nhân gây đau răng nổi hạch. Do đó, khi có dấu hiệu, bệnh nhân cần tìm hiểu xem nha khoa nào tốt để đặt hẹn thăm khám trong thời gian sớm nhất.
Tùy theo nguyên nhân mà Bác sĩ sẽ lên phác đồ điều trị phù hợp, có thể kết hợp sử dụng các thủ thuật nha khoa và thuốc để tăng hiệu quả điều trị. Dưới đây là những điều trị nha khoa khi bị đau răng mà bạn có thể tham khảo:
- Trám răng: Răng bị sâu nhẹ chưa hoặc ảnh hưởng rất ít đến tủy răng thì Bác sĩ sẽ nạo sạch phần răng bị sâu và trám bít lỗ sâu để ngăn chặn vi khuẩn xâm nhập, chấm dứt cơn đau răng.
- Chữa tủy: Chữa tủy được áp dụng khi tủy răng bị nhiễm trùng. Mô tủy bị tổn thương sẽ bị loại bỏ. Sau chữa tủy Bác sĩ sẽ tiến hành phục hình răng bằng biện pháp trám hoặc bọc răng sứ.

Tùy vào nguyên nhân đau răng nổi hạch mà Bác sĩ sẽ có hướng điều trị phù hợp
- Rạch ổ áp-xe: Trường hợp răng bị áp-xe thì cần tiến hành điều trị bằng cách rạch dẫn lưu mủ, vệ sinh răng, điều trị áp-xe để tiêu diệt ổ viêm.
- Nhổ răng: Nhổ răng được áp dụng trong trường hợp răng bị nhiễm trùng nặng không thể giữ lại, cần nhổ để không ảnh hưởng đến các bộ phận khác của cơ thể. Trường hợp mọc răng khôn thì cũng được chỉ định nhổ răng khôn để ngăn ngừa biến chứng nguy hiểm do răng khôn.
Trên đây là những thông tin về nguyên nhân và cách điều trị tình trạng đau răng nổi hạch. Để được tư vấn miễn phí cùng chuyên gia về sức khỏe và thẩm mỹ răng miệng, quý khách vui lòng liên hệ Hotline 1900 56 5678!




