Theo chia sẻ của bác sĩ thì phí nhổ răng hết bao nhiêu còn tùy thuộc vào vị trí răng cần nhổ, tình trạng răng, mức độ bệnh lý, mức độ sai lệch răng, công nghệ nhổ răng và tay nghề của y bác sỹ thực hiện
Cần nhổ răng khi nào?
Răng vĩnh viễn mọc lên một lần và tồn tại trọn đời, chỉ định nhổ răng thường không được ưu tiên trong điều trị nha khoa nhưng vì một vài lí do mà chúng ta buộc phải nhổ răng. Trước khi nói tới phí nhổ răng hết bao nhiêu, hãy cùng Nha khoa Nhân Tâm tìm hiểu về những trường hợp cần phải loại bỏ răng nhé.
Nhổ răng để tạo khoảng trống cho việc chỉnh nha
Chỉnh nha là phương pháp trị liệu nhằm mục đích kéo nắn các răng về đúng vị trí. Việc này sẽ không thể tiến hành được nếu các răng có kích cỡ quá lớn, mọc quá nhiều và khuôn hàm không đủ diện tích chứa. Khi đó, bác sĩ sẽ chỉ định nhổ răng để tạo ra khoảng trống cần thiết.
Răng bị tổn thương nặng hoặc sâu nghiêm trọng
Nếu hiện tượng sâu răng hoặc các thương tổn khác ngày càng có xu hướng lan rộng tới tủy răng mà biện pháp điều trị tủy không đem lại tác dụng thì bạn buộc phải nhổ răng. Việc nhổ răng sẽ giúp ngăn chặn vi khuẩn và các tác nhân gây hại xâm nhập tủy dẫn đến nhiễm trùng.
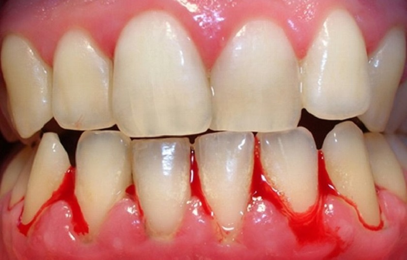
Do tình trạng viêm nha chu
Tình trạng viêm nha chu nặng khiến cho các răng trên cung hàm bị lung lay, lỏng lẻo, không chắc chắn được như ban đầu thì cần tiến hành loại bỏ.

Viêm nha chu nặng có thể là lý do khiến chúng ta phải nhổ răng
Bệnh lý về răng có nguy cơ nhiễm trùng các cơ quan khác
Khi bạn bị suy giảm hệ thống miễn dịch, ví dụ khi tiến hành ghép tạng hoặc làm hóa trị thì chỉ cần 1 chiếc răng bị nhiễm trùng cũng đủ lý do để nhổ bỏ. Nếu không nhổ thì nguy cơ gây hại cho các cơ quan khác là rất cao.
Răng khôn mọc bất thường
Răng khôn là chiếc răng mọc sau cùng trên cung hàm và có tỉ lệ mọc bất thường rất cao do không còn đủ diện tích trống. Trong đa số trường hợp, khách hàng sẽ phải đối mặt với tình trạng răng khôn mọc ngầm, mọc lệch, mọc kẹt dưới nướu, mọc ngang và đâm vào chân răng số 7, làm hỏng răng số 7, xô lệch các răng khác trên cung hàm,… Vì không đảm nhận chức năng ăn nhai hay thẩm mỹ mà nguy cơ gây ra nhiều biến chứng nguy hại nên các bác sĩ thường khuyên bạn nên nhổ răng khôn.
Phí nhổ răng hết bao nhiêu?
Theo chia sẻ của bác sĩ thì phí nhổ răng hết bao nhiêu còn tùy thuộc vào vị trí răng cần nhổ, tình trạng răng, mức độ bệnh lý, mức độ sai lệch răng, công nghệ nhổ răng và tay nghề của y bác sỹ thực hiện.
Để quý khách hàng nắm rõ hơn, Nha khoa Nhân Tâm xin tới quý khách bảng giá nhổ răng dưới đây:
Sau khi nhổ răng cần chú ý điều gì?
Sau khi nhổ răng, bạn hãy dành thời gian để nghỉ ngơi, thư giãn và chú ý những vấn đề sau đây để quá trình hồi phục diễn ra nhanh nhất:
- Sử dụng thuốc giảm đau theo chỉ định để giảm cảm giác đau nhức, khó chịu.
- Cắn chặt miếng gạc để cầm máu sau khi vừa nhổ răng. Thay gạc mới sau 30 phút và cắn đến khi máu ngừng chảy.
- Bạn có thể dùng đá lạnh để chườm bên ngoài khu vực nhổ răng nhằm giảm sưng, giảm đau. Mỗi lần chườm tối đa 10 phút.
- Nghỉ ngơi, thư giãn ít nhất 1 ngày sau nhổ, không vận động mạnh, làm việc nặng nhọc trong 1 – 2 ngày sau đó.

Nên dành thời gian nghỉ ngơi, thư giãn sau nhổ răng
- Không uống nước bằng ống hút, không khạc nhổ, không chạm tay hay vật dụng khác vào vị trí nhổ khi vết thương chưa lành.
- Không hút thuốc lá vì sẽ khiến thời gian lành thương kéo dài.
- Sử dụng các thực phẩm mềm trong thời gian đầu sau nhổ răng.
- Chải răng nhẹ nhàng, sử dụng thêm chỉ nha khoa để loại bỏ hoàn toàn thức ăn thừa, mảng bám nhưng cần tránh xa khu vực răng mới nhổ để phòng ngừa nhiễm trùng.
Xem thêm: Những lưu ý nhổ răng khôn quan trọng bạn cần biết
Qua những chia sẻ trên đây của Nha khoa Nhân Tâm, quý khách hàng chắc hẳn đã nắm rõ cần nhổ răng khi nào, phí nhổ răng hết bao nhiêu cũng như những lưu ý sau khi nhổ răng rồi đúng không nào? Nếu bạn cần biết thêm thông tin gì về vấn đề này thì hãy liên hệ ngay với Nha khoa Nhân Tâm ngay nhé.



