Răng khôn là răng mọc cuối cùng trong một hàm răng đầy đủ, và mỗi người sẽ có số lượng răng khôn khác nhau, thường là 4 răng. Loại răng này khi mọc thường theo nhiều hình dạng khác nhau, có thể là xiên, lệch so với khuôn răng bình thường. Nhiều người khi mọc răng khôn sẽ bị sưng đau nhìn rất rõ, thậm chí là bị sốt, gây cảm giác mệt mỏi.
Các bác sĩ nhổ răng khôn giỏi cũng khuyến khích mọi người nên nhổ răng khôn, vì răng khôn khi mọc sẽ gây ra rất nhiều ảnh hưởng không tốt cho sức khỏe. Răng khôn nếu mọc lên không đều và không khớp với các răng bên cạnh của hàm, khi ăn uống dễ khiến thức ăn bị bám vào khe hở, dẫn đến sâu răng viêm lợi,…. Ngoài ra, việc mọc răng khôn cũng có khả năng gây bệnh u nguyên bào men hay các bệnh lý khác trên cơ thể như tim mạch,…
Dấu hiệu khi mọc răng khôn
Mỗi người đều sẽ trải qua một quá trình đau răng khôn khác nhau tùy cơ địa và tình trạng sức khỏe của mỗi người. Trung bình mỗi người sẽ trải qua cơn đau nhức răng khôn trong 3 – 5 tháng, có một số người thậm chí kéo dài tới 1 năm cho đến khi răng mọc lên hẳn. Ngoài ra, triệu chứng mọc răng khôn của mỗi người cũng sẽ khác nhau, thường thấy nhất đó là:
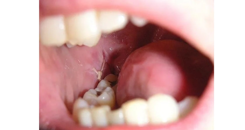
Nướu bị sưng đỏ
Đây là dấu hiệu dễ nhận thấy nhất. Đối với trường hợp răng khôn mọc ở hàm dưới, mọi người có thể dễ dàng nhìn thấy được. Nguyên nhân: niêm mạc nướu vốn dĩ dày và răng khôn lại mọc ở một vị trí thừa thãi nên nướu bị đùn lên, tạo hiện tượng sưng đỏ, khó chịu.

Nướu bị sưng đỏ khi mọc răng khôn
Xuất hiện tình trạng hôi miệng, đắng miệng
Khi phần nướu bị sưng đỏ, quá trình ăn uống cũng sẽ khó khăn hơn, các mẩu thức ăn thừa cũng dễ giắt vào kẽ răng hơn. Nếu không vệ sinh kỹ càng, những mẩu thức ăn này sẽ phát triển thành các tụ vi khuẩn và gây ra mùi hôi miệng cùng cảm giác đắng miệng thường xuyên.
Xem thêm: Chi phí nhổ răng khôn có đắt không?
Cứng xương hàm
Răng khôn mọc lên cũng sẽ tạo ra một áp lực nhất định cho phần khung xương hàm, gây khó khăn cho việc ăn uống, vận động một cách bình thường. Đây chính là nguyên nhân khiến phần xương hàm bị cứng lại, không thể dẻo dai như bình thường.
Sốt cao
Một số trường hợp đặc biệt, mọc răng khôn cũng có nguy cơ dẫn đến tình trạng sốt. Tùy vào cơ địa và sức khỏe của mỗi người mà cơn sốt sẽ có mức độ nặng nhẹ và thời gian kéo dài khác nhau. Nguyên nhân: bởi sự viêm sưng và đau trong một khoảng thời gian dài sẽ gây ra hiện tượng các lợi khuẩn chống lại vi khuẩn trong khoang miệng, tạo nên hiện tượng sốt.
Nếu tình trạng sốt kéo dài quá lâu, bạn nên đến thăm khám tại các cơ sở nha khoa gần đây ngay để được tiến hành phương án điều trị kịp thời, tránh các biến chứng nguy hiểm khi tiến hành tiểu phẫu răng khôn có thể ảnh hưởng đến thần kinh, mắt hay sức khỏe.
Nhổ răng khôn có gây nguy hiểm đến sức khoẻ không?
Trước khi các bác sĩ nhổ răng khôn giỏi tiến hành quá trình tiểu phẫu, một số khách hàng sẽ có tâm lý sợ hãi bởi chính sự đau nhức từ việc mọc răng khôn gây ra. Cảm giác đau này khiến mọi người lo ngại vấn đề nhổ răng khôn có hại không?
Trên thực tế, nếu khách hàng trải qua quá trình nhổ răng khôn tại địa chỉ nha khoa uy tín, hệ thống cơ sở vật chất tiên tiến, hiện đại, được bác sĩ nhổ răng khôn giỏi, có tay nghề cao điều trị, cảm giác đau nhức sẽ được cải thiện, chấm dứt hoàn toàn.

Tiểu phẫu nhổ răng khôn
Tiểu phẫu nhổ bỏ răng khôn không quá phức tạp, nhưng nếu không may thực hiện nhổ bỏ tại một cơ sở nha khoa không uy tín và ít kinh nghiệm thì khó có thể xử lý những ca phức tạp như: răng khôn mọc lệch 90 độ, mọc ngược,... hay điều kiện phòng khám không đảm bảo vô trùng sẽ có thể gây ra những biến chứng nguy hiểm cho khách hàng như:
- Sưng mặt
- Nhiễm trùng
- Tổn thương dây thần kinh
- Viêm ổ răng hoặc viêm có mủ
- Gây ảnh hưởng đến răng kế bên
Tiểu phẫu nhổ răng khôn có gây hại hay không luôn là thắc mắc lớn trong lòng mỗi khách hàng. Vậy nên cần đảm bảo các yếu tố giúp quá trình trở nên an toàn và không gây ra biến chứng nguy hiểm nào. Bác sĩ nhổ răng khôn giỏi là yếu tố chiếm đến 70% trong bất kỳ quá trình phẫu thuật chỉnh nha nào. Để quá trình diễn ra đảm bảo an toàn, bác sĩ thực hiện cần có chuyên môn và tay nghề cao, giàu kinh nghiệm mới có thể phác thảo kế hoạch điều trị phù hợp với từng khách hàng.
Bên cạnh dịch vụ nhổ răng khôn, Nha khoa Nhân Tâm còn cung cấp các dịch vụ chỉnh nha đa dạng khác như tẩy trắng răng, niềng răng, bọc răng sứ thẩm mỹ, dịch vụ nha khoa trẻ em,... và luôn đảm bảo mang đến cho khách hàng sự phục vụ tận tình cùng những chính sách ưu đãi nhất.




