Trám răng hàm dưới là một thủ thuật nha khoa đơn giản, an toàn, hiệu quả, giúp bảo vệ răng, cải thiện thẩm mỹ và khắc phục một số bệnh lý nha khoa.
Kỹ thuật này sử dụng vật liệu nha khoa chuyên dụng để lấp đầy các vị trí khuyết thiếu trên răng. Khi răng bạn bị sâu, sứt mẻ, gãy vỡ,… bạn nên đến gặp bác sĩ nha khoa để thăm khám và tư vấn, chỉ định phương pháp trám răng phù hợp.
Trám răng hàm dưới là gì? Công dụng ra sao?
Trám răng là một thủ thuật nha khoa sử dụng vật liệu trám chuyên dụng để lấp đầy các lỗ hổng, kẽ hở hoặc khuyết điểm trên bề mặt răng.
Trám răng có thể được sử dụng để điều trị các bệnh lý răng hàm dưới như sâu răng, mẻ răng, sứt răng, vỡ răng,...
Trám răng hàm dưới có thể được thực hiện bằng nhiều loại vật liệu khác nhau, phổ biến nhất hiện nay là composite. Composite là loại vật liệu trám có màu sắc tự nhiên, tương đồng với màu răng thật, do đó được sử dụng phổ biến trong trám răng thẩm mỹ.
Trám răng hàm dưới đem lại nhiều lợi ích trong việc khắc phục bệnh lý, khiếm khuyết răng miệng bao gồm:
- Lấp đầy các lỗ hổng, kẽ hở hoặc khuyết điểm trên bề mặt răng, giúp răng trở nên chắc chắn, khỏe mạnh.
- Ngăn ngừa sự phát triển của vi khuẩn gây sâu răng, bảo vệ răng khỏi các bệnh lý răng miệng khác.
- Cải thiện chức năng ăn nhai, thẩm mỹ và phát âm.
Các trường hợp thường được chỉ định trám răng
Trám răng hàm dưới được áp dụng rất phổ biến trong điều trị nha khoa. Một số trường hợp cần trám răng hàm dưới là:
Sâu răng
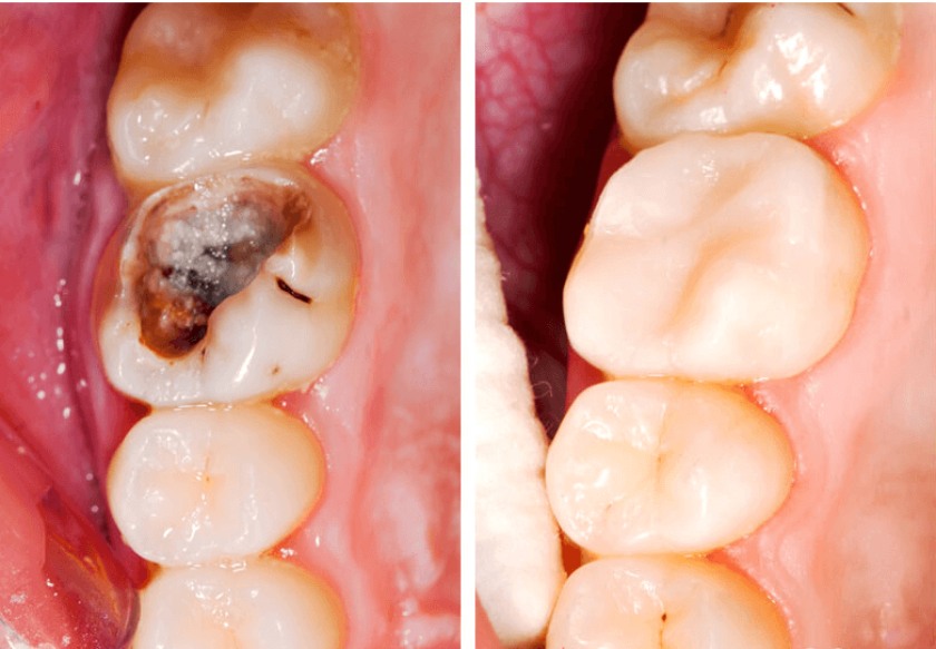
Sâu răng là trường hợp phổ biến nhất cần trám răng. Sâu răng là tình trạng vi khuẩn tấn công men răng và ngà răng, gây ra các lỗ sâu.
Nếu không được điều trị kịp thời, sâu răng có thể lan rộng và gây ra các tổn thương nghiêm trọng cho răng, thậm chí dẫn đến mất răng.

Trám răng hàm dưới bị sâu
Mẻ răng
Mẻ răng là tình trạng răng bị sứt, mẻ do va chạm mạnh, cắn phải vật cứng hoặc do sử dụng răng sai cách.
Mẻ răng có thể gây đau đớn, khó chịu khi ăn nhai và làm tăng nguy cơ sâu răng.
Răng bị vỡ
Vỡ răng là tình trạng răng bị gãy, vỡ một phần hoặc toàn bộ. Răng bị vỡ có thể làm tủy răng lộ ra ngoài, tăng nguy cơ viêm nhiễm và gây ê buốt khi ăn uống.
Răng bị nhiễm fluor
Fluor là một nguyên tố có thể gây ra các đốm trắng trên răng, làm giảm thẩm mỹ của răng.
Trong một số trường hợp, fluor có thể gây ra các tổn thương nghiêm trọng cho răng, thậm chí dẫn đến mất răng.
Răng bị dị tật bẩm sinh
Một số người có thể sinh ra với những chiếc răng bị dị tật bẩm sinh, chẳng hạn như răng mọc thưa, kích thước răng nhỏ,... Trong những trường hợp không nghiêm trọng, trám răng có thể giúp bạn khắc phục những khiếm khuyết này.
Đọc thêm: Tìm hiểu về bộ dụng cụ trám răng
Các kỹ thuật trám răng hàm dưới
Trám răng hiện nay được chia thành 2 kỹ thuật chính, đó là trám răng trực tiếp và trám răng gián tiếp.
Trám răng trực tiếp

Kỹ thuật trám răng trực tiếp
Trám răng trực tiếp là phương pháp trám răng được thực hiện trong một lần, tại phòng khám nha khoa.
Bác sĩ sẽ đưa vật liệu trám trực tiếp lên bề mặt răng cần trám và làm khô lại bằng đèn chiếu.
Kỹ thuật trám răng trực tiếp có ưu điểm là thời gian thực hiện nhanh chóng, giá thành rẻ. Tuy nhiên, kỹ thuật này đòi hỏi bác sĩ phải có tay nghề cao để đảm bảo vật liệu trám được khít sát với răng, không bị bong tróc.
Trám răng gián tiếp
Trám răng gián tiếp là phương pháp trám răng được thực hiện qua hai lần, trong đó lần đầu tiên bác sĩ sẽ lấy dấu răng để gửi đến phòng Labo chế tạo miếng trám. Lần thứ hai, bác sĩ sẽ gắn miếng trám đã chế tạo vào răng.
Kỹ thuật trám răng gián tiếp có ưu điểm là vật liệu trám được chế tạo trong môi trường vô trùng, đảm bảo độ chính xác cao, không bị bong tróc. Tuy nhiên, kỹ thuật này đòi hỏi thời gian thực hiện lâu hơn, giá thành cao hơn trám răng trực tiếp.

Kỹ thuật trám răng gián tiếp
Để xác định đúng tình trạng răng miệng của bản thân cũng như kỹ thuật trám răng hàm dưới phù hợp, bạn hãy liên hệ với Nha khoa Nhân Tâm ngay nhé. Các bác sĩ tại đây sẽ giúp bạn thăm khám và tư vấn miễn phí.
*Chụp phim X-Quang hoặc phim 3 chiều CT Cone Beam là một bước quan trọng trong quy trình điều trị phục hồi răng. Vì vậy Khách hàng sẽ được Bác sĩ của nha khoa Nhân Tâm chỉ định đến các cơ sở y tế đủ chức năng để thực hiện trước khi điều trị.



