Có nhiều cách để phục hồi răng sậm màu như tẩy trắng răng, trám răng, bọc răng sứ thẩm mỹ. Các biện pháp này có nhiều ưu điểm vượt trội và được các chuyên gia hàng đầu trong lĩnh vực nha khoa đánh giá cao, mang lại hàm răng trắng sáng và nụ cười tự tin cho hàng triệu người.
Răng bị sậm màu do đâu?
Bình thường, màu răng của chúng ta được quy định bởi yếu tố di truyền. Răng tự nhiên thường có màu trắng trong. Tuy nhiên, răng nhiều người đã bị sậm màu hoặc ố vàng từ nhỏ hoặc sậm màu một cách từ từ theo thời gian. Theo các chuyên gia, răng sậm màu có thể xuất phát từ các nguyên nhân sau:
Do tuổi tác
Càng lớn tuổi, răng càng bị mòn hoặc hình thành các vết nứt làm cho răng dễ bị bám màu. Mảng bám trên răng càng đậm hơn theo thời gian
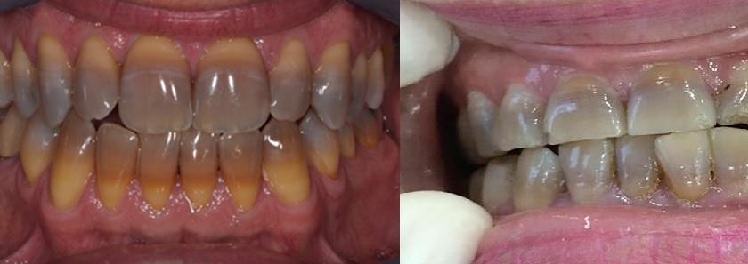
Nhiễm Tetracycline
Đây là nguyên nhân thường gặp ở nhiều người Việt Nam. Tetracycline là loại kháng sinh được dùng thời kỳ chiến tranh và hậu chiến, khi người thầy thuốc không có nhiều chọn lựa chủng loại kháng sinh cho bệnh nhân.
Nếu người mẹ uống loại thuốc này khi đang mang thai hoặc trẻ nhỏ uống trước 7-8 tuổi thì có thể làm răng đổi màu, trở nên vàng, nâu hay xám xanh. Trong trường hợp nặng, răng còn có thể bị lỗ chỗ, khiếm khuyết, mất đi hình dạng bình thường.

Răng bị nhiễm Tetracycline
Ngày nay còn có Doxycycline, Minocycline… là các thuốc kháng sinh cùng nhóm với Tetracycline.
Nhiễm Fluor
Đây là một chất hóa học tồn tại trong nguồn nước tự nhiên (nước giếng) có khả năng chống sâu răng. Ngoài ra, Fluor còn được cho thêm vào nước máy, sữa để phát huy tác dụng này. Tuy nhiên, nếu phụ nữ mang thai hay trẻ em nuốt phải Fluor quá nhiều sẽ gây nên tác dụng phụ đó là đổi màu răng. Răng sẽ có những vết nâu hay trắng đục, thậm chí, cấu trúc răng có thể bị khiếm khuyết.
Răng bị chết tủy
Răng có thể bị chết tủy bởi một số nguyên nhân như chấn thương, sâu răng, các bệnh lý răng miệng. Khi chết tủy, răng bị chảy máu bên trong khiến màu sắc trở nên sậm đi
Các chất bám dính trên bề mặt
Bất kỳ các thực phẩm nào có màu đậm đều có thể khiến răng của chúng ta bị nhiễm màu. Ví dụ như: trà, cà phê, nước ngọt, cà ri, khói thuốc lá, nước sốt cà chua, trầu..Thậm chí, một số thuốc súc miệng (chlorhexidine) cũng khiến răng sậm màu. Những vết dính này có thể có nhiều màu khác nhau như vàng đậm, nâu nhạt đến nâu đậm, hay thậm chí có màu đen.
Các cách khắc phục răng bị sậm màu
Chúng ta không thể loại bỏ màu sắc trên răng bằng các phương pháp chăm sóc răng miệng thông thường như đánh răng, súc miệng…Thay vào đó, để khắc phục răng sậm màu hiệu quả phải nhờ đến sự can thiệp của các kỹ thuật nha khoa. Tùy vào mức độ, tình trạng sậm màu của răng, bác sĩ sẽ tư vấn phương pháp khắc phục phù hợp như:
Tẩy trắng răng
Phương pháp được nhiều người áp dụng. Tẩy trắng răng có ưu điểm là răng trở nên sáng bóng hơn trong thời gian ngắn mà không phải mài răng. Tuy nhiên, phương pháp chỉ có hiệu quả trong trường hợp nhiễm màu nhẹ hoặc vừa, màu bám dính trên bề mặt răng, trường hợp răng nhiễm màu quá nặng hầu như sẽ không đạt được kết quả mong muốn.

Tẩy trắng răng giúp răng trắng sáng trong thời gian ngắn mà không cần mài răng
Dán sứ Veneer
Dán sứ veneer là giải pháp để cải thiện thẩm mỹ nụ cười, “cứu tinh” của những trường hợp răng sậm màu, ố vàng. Để thực hiện, bác sĩ chỉ cần mài một lớp siêu mỏng trên bề mặt ngoài của răng tối đa 0.5mm nên bảo tồn được mô răng. Khách hàng còn được lựa chọn màu răng như ý muốn, cảm giác ăn nhai như thật. Khuyết điểm là phương pháp chỉ điều trị cho vùng răng cửa.
Bọc răng sứ thẩm mỹ
Phương pháp phục hình răng điều trị hiệu quả cho cả trường hợp nhiễm màu quá nặng do Tetracycline hoặc Fluor. Ngày nay, công nghệ nha khoa ngày càng phát triển, kết quả bọc răng sứ thẩm mỹ có thể cho màu răng sáng đẹp tự nhiên, phục hồi chức năng ăn nhai và tuổi thọ khá cao. Khuyết điểm của phương pháp là đòi hỏi phải mài một phần mô răng và có thể phải điều trị tủy

Bọc sứ thẩm mỹ phục hình răng bị sậm màu
Nếu còn phân vân về nguyên nhân cũng như giải pháp khắc phục tình trạng răng sậm màu của mình, bạn có thể thăm khám trực tiếp tại nha khoa Nhân Tâm để được hỗ trợ chi tiết. Là địa chỉ nha khoa uy tín hàng đầu, kinh nghiệm hơn 25 năm trong chữa trị những trường hợp nha khoa phức tạp và thẩm mỹ tại Việt Nam, đội ngũ chuyên gia của Nhân Tâm sẽ tư vấn, đưa ra giải pháp phù hợp cho bạn đảm bảo tính thẩm mỹ, chức năng ăn nhai mà tiết kiệm chi phí tối đa.




