Hậu quả của mòn răng
Mòn răng có 2 nguyên nhân chính: mòn răng sinh lý và mòn răng bệnh lý. Mòn răng cũng có thể xảy ra như là hậu quả của các bệnh lý: trào ngược dạ dày thực quản, khô miệng, giảm tiết nước bọt.
Răng bị mòn gây ra nhiều hậu quả ảnh hưởng đến thẩm mỹ và chức năng:
- Giảm khả năng ăn nhai
- Ảnh hưởng đến hoạt động của hệ thống nhai
- Lộ lớp ngà răng gây ê buốt, mòn nhiều còn có thể gây viêm tủy và chết tủy răng
Mòn răng do đâu?
Mòn răng có 2 nguyên nhân chính:
Mòn răng sinh lý
Thói quen ăn uống các chất cứng, dai, các thức ăn quá chua,… sẽ làm cho răng nhanh mòn. Người càng lớn tuổi thì răng sẽ càng mòn. Ngoài ra, chải răng sai cách cũng là một yếu tố dẫn đến mòn men răng.
Mòn răng bệnh lý
- Các bệnh lý ảnh hưởng đến chất lượng men răng như thiếu sản men răng hay các bệnh lý làm ảnh hưởng đến quá trình khoáng hóa của men răng sẽ làm cho men răng mềm và dễ vỡ hơn so với bình thường.
- Các bệnh lý gây ra sự ma sát quá mức giữa 2 hàm răng, nhất là khớp cắn lệch tâm (đây là bệnh lý gây mòn răng hay gặp nhất vì đến hơn 70% người bình thường có khớp cắn lệch tâm).
- Do điều trị hàn răng hay làm răng giả không đúng dẫn đến sang chấn khớp cắn và mòn, vỡ răng.

Mòn răng do nhiều nguyên nhân gây nên
Không rõ nguyên nhân
Một số bệnh lý chuyển hóa ảnh hưởng đến các thành phần khoáng hóa của nước bọt, cấu trúc dòng chảy của nước bọt, thói quen đánh răng theo chiều ngang được cho là có thể khiến răng bị mòn, tuy nhiên vẫn chưa được chứng minh đầy đủ.
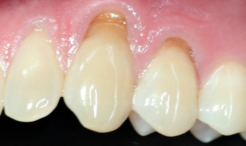
Hậu quả của mòn răng
Răng bị mòn không chỉ gây mất thẩm mỹ, khiến nhiều người mất tự tin trong giao tiếp mà còn ảnh hưởng đến nhiều chức năng như:
- Giảm khả năng ăn nhai như nghiền và cắn thức ăn, dễ dẫn đến các bệnh về tiêu hóa.
- Ảnh hưởng đến hoạt động của hệ thống nhai: khi răng mòn thì hiệu suất nhai sẽ giảm, do đó hệ thống cơ nhai sẽ phải làm việc nhiều hơn, dẫn đến hiện tượng cơ nhai co thắt, lâu ngày làm tổn thương khớp hàm.
- Ảnh hưởng đến cảm giác của răng bởi răng mòn nhiều sẽ làm lộ lớp ngà răng gây ê buốt. Ngoài ra, mòn nhiều còn có thể gây viêm tủy và chết tủy răng.
Xem thêm: Những triệu chứng của bệnh ung thư miệng bạn cần biết
Cách phòng tránh mòn răng theo lời khuyên của chuyên gia
Để phòng bệnh răng miệng nói chung và mòn răng nói riêng, các chuyên gia nha khoa đưa ra những lời khuyên như sau:
- Đánh răng ít nhất 2 lần/ngày bằng bàn chải lông mềm. Nên tập thói quen dùng chỉ nha khoa thay vì tăm xỉa răng để làm sạch kẽ răng sau mỗi bữa ăn. Ngoài ra, hiện nay trên thị trường còn có máy tăm nước, giúp làm sạch răng một cách hoàn hảo.
- Ngay sau khi tiếp xúc với thức ăn, nước uống có chứa axit thì cần phải súc miệng bằng nước lọc.
- Hàng ngày cần uống nhiều nước, đặc biệt là giữa các bữa ăn.
- Tránh hoặc giảm thiểu việc ăn uống có chứa nhiều axit, nên ăn các thức ăn mềm, không dùng thức ăn quá lạnh, quá chua,…
- Khám răng định kỳ 3-6 tháng/lần để phát hiện sớm các bệnh lý về răng miệng. Khám càng sớm từ lứa tuổi 5-6 tuổi trở đi thì càng có khả năng dự phòng sớm.
Trong trường hợp răng của bạn đã bị mòn thì bạn nên tìm đến với một địa chỉ nha khoa uy tín. Tại đây, các bác sĩ sẽ thăm khám tổng quát tình trạng răng miệng của bạn, từ đó đưa ra phương pháp điều trị phù hợp.
Với đội ngũ bác sĩ giỏi, giàu kinh nghiệm cùng hệ thống máy móc hiện đại, Nha khoa Nhân Tâm đã điều trị thành công 100% cho các trường hợp mòn răng từ đơn giản đến phức tạp.

Nha khoa Nhân Tâm quy tụ đội ngũ bác sĩ giỏi, giàu kinh nghiệm
Trong trường hợp răng bị mòn ở mức độ nhẹ, bạn chỉ cần dùng kem fluor và nước súc miệng tại nhà là đủ. Nặng hơn có thể thực hiện tái khoáng hoặc dùng miếng trám composite, GIC để phủ lên trên mặt nhai để che đi khoảng men răng bị mòn, nhằm ngăn cách men răng với các tác động của những yếu tố gây mòn men.
Trong trường hợp răng không chỉ bị mòn men mà còn bị xâm lấn tới ngà răng thì bọc răng sứ sẽ là sự lựa chọn hoàn hảo cho bạn. Đây là biện pháp hỗ trợ điều trị răng bị mòn một cách hiệu quả và lâu dài.
Hy vọng những thông tin trên đã giúp bạn có được những thông tin hữu ích về mòn răng. Nếu còn bất kỳ thắc mắc nào cần được giải đáp, hãy liên hệ ngay đến Nha khoa Nhân Tâm nhé.



