Trám răng bằng chất liệu gì để răng vừa đảm bảo thẩm mỹ mà vừa có độ bền chắc cao là thắc mắc của các khách hàng. Hiện nay có rất nhiều vật liệu trám răng được sử dụng trong nha khoa như: Amalgam, vàng, bạc, đồng, GIC, Composite, Inlay – Onlay,… Trong đó, vật liệu Composite được ứng dụng phổ biến nhất hiện nay vì có tính thẩm mỹ cao, bền chắc lâu dài và đảm bảo an toàn cho cơ thể.
Các vật liệu trám răng phổ biến hiện nay
Hiện nay có rất nhiều vật liệu trám răng được ứng dụng rộng rãi trong nha khoa nhằm đáp ứng đa dạng nhu cầu của các khách hàng. Tuy nhiên nên trám răng bằng chất liệu gì thì không phải ai cũng biết. Dưới đây là những ưu và nhược điểm của các loại vật liệu trám răng phổ biến trên thị trường mà bạn có thể tham khảo để có thể đưa ra lựa chọn phù hợp cho mình.
Vật liệu Amalgam
Amalgam là vật liệu trám răng truyền thống đã được sử dụng từ lâu trong nha khoa. Vật liệu Amalgam được tạo thành từ một hỗn hợp của các kim loại như bạc, thiếc, đồng và kẽm, kết hợp với một lượng nhỏ thủy ngân.

Vật liệu trám Amalgam không có tính thẩm mỹ cao
Ưu điểm:
- Độ bền cao, có khả năng chịu được lực nhai cắn mạnh.
- Amalgam có khả năng chống ăn mòn tốt, giúp bảo vệ răng khỏi các tác động của thức ăn và nước.
- Chi phí thấp. Đây cũng là ưu điểm giúp Amalgam trở thành một lựa chọn phổ biến trong trám răng.
Nhược điểm:
- Thẩm mỹ không cao do Amalgam có màu sắc xám bóng và không tương thích hoàn toàn với màu răng tự nhiên. Do đó, Amalgam thường được dùng để trám răng hàm nằm phía trong chứ không dùng để trám răng cửa.
- Miếng trám Amalgam phải cần 24 giờ mới ổn định, vì thế không nên ăn nhai ngay sau khi trám răng xong.
- Vật liệu Amalgam có khả năng gây kích ứng với cơ thể, ngoài ra vì có tính dẫn nhiệt tốt nên có thể nhạy cảm với nhiệt độ quá nóng hay quá lạnh.
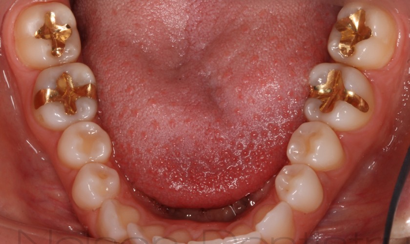
Vật liệu vàng, kim loại quý
Vật liệu trám răng bằng vàng hay một số kim loại quý khác cũng được khá nhiều người lựa chọn. Loại vật liệu này cũng tồn tại những ưu và nhược điểm riêng biệt.

Trám răng bằng vàng khá cứng chắc
Ưu điểm: Độ bền chắc cao, khả năng ăn nhai tốt.
Nhược điểm:
- Màu sắc không hài hòa với răng thật.
- Chi phí khá cao
Vật liệu GIC
GIC là loại vật liệu thường dùng để trám tạm hoặc cho những răng ít phải chịu lực nhai mạnh.
Ưu điểm:
- Thẩm mỹ cao hơn so với vật liệu Amalgam. Tuy nhiên, vật liệu GIC lại có màu sắc trắng đục, không được tự nhiên.
- Thành phần chứa fluoride, có khả năng chống sâu răng.
Nhược điểm:
Vật liệu GIC dễ bị vỡ, tuổi thọ không được cao như những chất liệu khác. Đây cũng chính là lý do thường dùng vật liệu này để trám tạm.
Vật liệu Composite
Nên trám răng bằng chất liệu gì thì không thể bỏ qua Composite. Composite là vật liệu trám răng được sử dụng rộng rãi nhất hiện nay, còn được gọi là trám răng thẩm mỹ. Loại vật liệu này sở hữu nhiều ưu điểm vượt trội, ngày càng được ưa chuộng bởi nhiều tính năng ưu việt của nó.

Composite là vật liệu trám có tính thẩm mỹ cao
Ưu điểm:
- Composite có màu sắc tương tự như răng tự nhiên và có thể được điều chỉnh để phù hợp với màu sắc và hình dạng của răng.
- Quá trình trám răng Composite thường nhanh chóng và đơn giản hơn so với một số vật liệu khác. Bác sĩ có thể trám Composite trực tiếp trong một lần điều trị mà không cần mất thời gian chờ đợi như khi sử dụng các loại vật liệu khác.
- Vật liệu Composite rất an toàn với cơ thể, không gây ra kích ứng cho răng nướu hay sức khỏe tổng thể.
Nhược điểm:
- Composite không bền bỉ như Amalgam, có thể bị mài mòn hoặc mất màu theo thời gian, nhất là khi sử dụng trên các răng chịu lực cắn mạnh.
- Quá trình trám răng Composite đòi hỏi kỹ thuật cao để đạt được kết quả tốt nhất.
Vật liệu trám Inlay – Onlay
Trám răng Inlay – Onlay là kỹ thuật trám răng hiện đại, phù hợp với các trường hợp răng bị gãy vỡ lớn, đòi hỏi thẩm mỹ cao, thường được áp dụng cho răng hàm. Đây là phương pháp mà bác sĩ sẽ chế tạo miếng trám bằng chất liệu sứ cao cấp, mang đến kết quả phục hình tối ưu.

Trám răng Inlay - Onlay
Ưu điểm:
- Thẩm mỹ cao. Chất liệu sứ có độ trong, bóng tự nhiên như răng thật.
- Có khả năng chịu lực tốt, đảm bảo chức năng ăn nhai, khó bị đổi màu.
- Độ bền chắc lâu dài.
Nhược điểm:
- Chi phí cao, quá trình thực hiện đòi hỏi kỹ thuật cao, cần được thực hiện bởi bác sĩ giỏi, giàu kinh nghiệm.
- Mất nhiều thời gian hơn so với các phương pháp khác, khách hàng phải mất ít nhất 2 lần hẹn mới hoàn thành.
Nên trám răng bằng chất liệu gì?
Mỗi loại vật liệu trám răng đều có những ưu và nhược điểm riêng biệt. Điều này khiến nhiều người băn khoăn không biết nên trám răng bằng chất liệu gì là tốt nhất. Tùy thuộc vào tình trạng răng cũng như nhu cầu của mỗi người mà sẽ có phương pháp phù hợp. Sau quá trình thăm khám kỹ lưỡng, bác sĩ sẽ chỉ định cụ thể.
Trong số các vật liệu trám được ứng dụng hiện nay thì vật liệu Composite được các chuyên gia khuyên dùng nhiều nhất. Sở dĩ như vậy là bởi Composite có tính thẩm mỹ cực kỳ cao, trùng màu với răng thật nên rất tự nhiên. Hơn nữa, vật liệu này khá cứng chắc, độ bền cao, thời gian sử dụng lâu dài nếu được chăm sóc tốt, đảm bảo an toàn cho sức khỏe răng miệng, cơ thể.

Cần thăm khám kỹ lưỡng với bác sĩ để lựa chọn được vật liệu trám răng phù hợp
Mong rằng những thông tin trên đây đã giúp bạn hiểu rõ hơn về trám răng và biết được trám răng bằng chất liệu gì để phù hợp với bản thân. Nếu bạn có nhu cầu trám răng, hãy liên hệ ngay đến Nha Khoa Nhân Tâm để được bác sĩ nha khoa thăm khám và tư vấn miễn phí.



