Khi bị đau răng, bạn có thể sử dụng các loại thuốc giảm đau răng dưới sự hướng dẫn của bác sĩ. Các loại thuốc giảm đau phổ biến gồm Paracetamol/Acetaminophen, thuốc giảm đau chống viêm không steroid NSAIDs, thuốc giảm đau răng cấp tốc Alaxan, thuốc đau răng màu hồng Naphacogyl…
Thuốc giảm đau răng chỉ giúp giảm đau tạm thời chứ không thể chấm dứt cơn đau răng vĩnh viễn. Nếu bạn muốn điều trị dứt điểm, bạn cần thực hiện thăm khám tại nha khoa để tìm ra nguyên nhân và có hướng điều trị phù hợp.
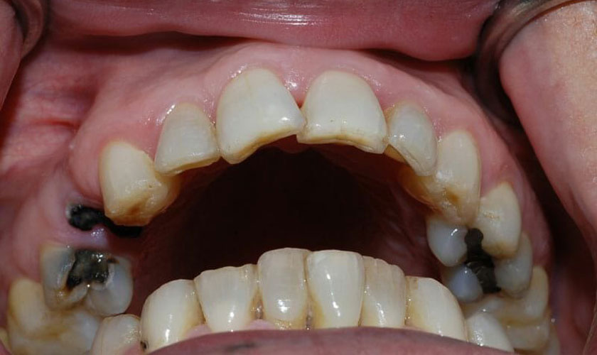
Răng bị đau – Do đâu?
Có nhiều nguyên nhân dẫn đến đau răng, trong đó những nguyên nhân chủ yếu gồm:
- Sâu răng: Nguyên nhân thường gặp nhất. Sâu răng gây đau răng khi sâu lan vào ngà răng và tủy răng. Mức độ từ đau nhẹ khi có yếu tố kích thích như nhiệt độ, đến đau dữ dội khi vi khuẩn xâm nhập tủy răng gây viêm tủy.

Đau răng
- Viêm tủy răng: Sâu răng, mòn răng hay các chấn thương gây ảnh hưởng đến viêm tủy răng. Viêm tủy răng gây ra những cơn đau răng nặng, thậm chí áp-xe răng, viêm mô tế bào, nhiễm trùng máu, tử vong… nếu không được điều trị kịp thời.
- Chấn thương răng: Các tai nạn chấn thương răng khiến răng bị nứt, mẻ, vỡ cũng gây hậu quả nghiêm trọng và khiến răng bị đau.
- Đau răng khôn: Biến chứng mọc răng khôn không chỉ gây đau, hành sốt, khó há miệng… mà còn để lại nhiều hậu quả nghiêm trọng.
- Bệnh về nướu: Tình trạng giắt thức ăn hay viêm nướu, viêm nha chu… cũng sẽ khiến cho bạn cảm thấy khó chịu hay đau răng.

Đau răng do viêm nướu trùm răng khôn
Các loại thuốc giảm đau răng tốt nhất hiện nay?
Khi bị đau răng, nếu chưa có thời gian hay điều kiện để tới ngay phòng khám nha khoa thì bạn có thể sử dụng các loại thuốc giảm đau răng để dịu đi cơn đau:
- Thuốc Paracetamol/Acetaminophen: Đây là hai loại thuốc phổ biến dùng để giảm đau, hạ sốt, và không kháng viêm, phù hợp với đối tượng từ trên 6 tuổi.

Paracetamol giúp giảm đau răng
- Thuốc giảm đau chống viêm không steroid NSAIDs: là loại thuốc giảm đau răng với thành phần chính là aspirin, meloxicam, ibuprofen,… giúp giảm đau hạ sốt nhanh, được dùng phổ biến.
- Thuốc giảm đau răng Naphacogyl: giúp chống viêm nhiễm và ngăn ngừa việc viêm nhiễm, thích hợp với cả trẻ em.
- Nhóm thuốc gây tê tại chỗ: như gel giảm đau, tinh dầu giảm đau... giúp giảm đau tạm thời tại thời điểm phẫu thuật…
Khi sử dụng thuốc giảm đau răng, bạn có thể gặp những tác dụng phụ không mong muốn như đau dạ dày, buồn nôn, tiêu chảy, viêm lưỡi, chóng mặt, nổi mề đay …

Sử dụng thuốc giảm đau răng cần tham khảo ý kiến của bác sĩ
Sử dụng thuốc giảm đau răng cần tham khảo ý kiến của bác sĩ nha khoa giỏi để đảm bảo uống đúng loại, đúng liều lượng, tránh lờn thuốc.
Điều trị đau răng như thế nào?
Sử dụng thuốc giảm đau răng chỉ làm giảm cơn đau tạm thời, không điều trị dứt điểm được cái răng bị đau. Điều trị đau răng tại phòng khám nha khoa là phương pháp tối ưu nhất khi bị đau răng.

Điều trị đau răng tại Nha khoa Nhân Tâm
Tại nha khoa, các bác sĩ sẽ cho bệnh nhân thăm khám để tìm ra nguyên nhân gây đau răng và mức độ đau răng, từ đó lên phác đồ điều trị hiệu quả. Nếu đau răng do sâu răng thì cần loại bỏ phần sâu răng, chữa tủy và phục hình lại hình dáng và màu răng bằng cách bọc răng sứ hoặc trám răng.
Phương pháp ngăn ngừa đau răng?
Bên cạnh việc dùng thuốc giảm đau răng chúng ta có thể phòng tránh đau răng hiệu quả bằng các cách sau:

Vệ sinh răng miệng đúng cách giảm đau răng
- Vệ sinh răng miệng với bàn chải kẽ, bàn chải lông mềm, chỉ nha khoa, nước súc miệng. Đánh răng nhẹ nhàng ít nhất 2 lần/ ngày.
- Hạn chế các thực phẩm giàu đường, giàu axit, hạn chế ăn vặt để giúp răng khỏe mạnh hơn.
- Bổ sung các loại thực phẩm tốt cho răng, tránh ăn vặt nhiều.
- Khám răng định kỳ và lấy vôi răng 6 tháng/ lần hoặc theo chỉ định của bác sĩ.
Nha khoa Nhân Tâm là một trong những nha khoa gần đây nhất ở TP.HCM đáp ứng các tiêu chuẩn quốc tế về chất lượng điều trị cũng như chất lượng phục vụ, mang lại những lợi ích to lớn cho Khách hàng khi lựa chọn dịch vụ.

Khách hàng thăm khám tại Nha khoa Nhân Tâm
Bài viết trên đây đã cung cấp cho bạn một số loại thuốc giảm đau răng hiệu quả mà đơn giản nhất. Tuy nhiên, để chấm dứt cơn đau răng thì bạn cần đến nha khoa để thực hiện các thăm khám và có phương pháp điều trị tối ưu nhé.



