Sâu răng dưới nướu là tình trạng chân răng bị sâu do vi khuẩn tấn công phá hủy cấu trúc của răng. Để điều trị sâu chân răng, bạn cần thăm khám tại địa chỉ nha khoa uy tín, Bác sĩ sẽ thăm khám và lên phác đồ điều trị phù hợp.
Nguyên nhân gây sâu răng dưới nướu
Sâu răng dưới nướu hay sâu chân răng là tình trạng sâu răng thường gặp, nếu không được điều trị kịp thời thì nguy cơ nhổ răng sẽ rất cao.
Phần lớn nguyên nhân gây sâu răng là do các chủng vi khuẩn gây sâu răng tấn công. Thông thường, vi khuẩn sẽ tấn công bề mặt nhai, phá hủy cấu trúc của răng khiến răng xuất hiện các lỗ hổng.

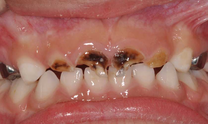
Vi khuẩn ăn mòn hết chân răng
Theo thời gian, vi khuẩn sẽ ăn mòn thân răng và tiếp tục tấn công phần chân răng bên dưới gây ra hiện tượng sâu chân răng.
Tất cả chúng ta đều có thể bị sâu răng, tuy nhiên, tỷ lệ sâu răng sẽ tăng rất nhiều lần nếu thuộc các trường hợp sau đây:
- Lơ là trong việc vệ sinh răng miệng, vệ sinh răng miệng sai cách.
- Không thực hiện các phương pháp chăm sóc răng như dùng kem đánh răng chứa Fluor, dùng chỉ nha khoa, dùng nước súc miệng.
- Thói quen ăn vặt, ăn uống nhiều thực phẩm chứa đường, nước ngọt có ga, thực phẩm giàu tính axit, thực phẩm dễ bám dính.
- Không súc miệng sạch sau khi ăn.
- Không thực hiện cạo vôi răng định kỳ.
- Dinh dưỡng kém khiến răng thiếu chắc khỏe.
- Tiết nước bọt kém.
Tình trạng sâu chân răng (sâu răng dưới nướu) không chỉ gây mất thẩm mỹ, gây nên những cơn đau nhức răng mà còn có thể dẫn đến hậu quả mất răng nếu không điều trị. Do đó, việc thăm khám càng sớm càng tốt khi có dấu hiệu sâu răng là cách cần thiết để chúng ta bảo tồn răng thật của mình.
Xem thêm: Bị sâu răng dùng thuốc gì hiệu quả?
Cách điều trị sâu răng dưới nướu
Điều trị sâu răng dưới nướu như thế nào phụ thuộc vào mức độ sâu răng của bệnh nhân. Bác sĩ cần tiến hành thăm khám, chụp phim X-quang để chẩn đoán chính xác tình trạng và đưa ra phương pháp điều trị phù hợp.
Trong trường hợp sâu răng mới chớm, men răng vẫn có khả năng phục hồi thì Bác sĩ sẽ thực hiện kỹ thuật tái khoáng bằng cách bôi Fluor lên phần răng bị sâu nhằm giúp men răng cứng chắc và ức chế quá trình vi khuẩn chuyển hóa đường trong thức ăn thành axit.

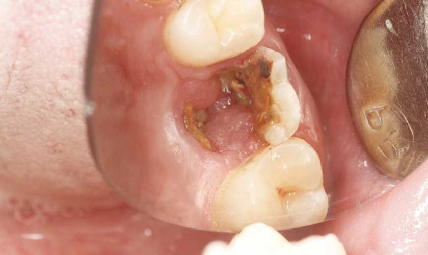
Tùy vào tình trạng sâu răng mà sẽ có phương pháp điều trị phù hợp
Trong trường hợp sâu răng hình thành lỗ trên thân răng và chân răng nhưng chưa ảnh hưởng đến tủy răng thì Bác sĩ sẽ loại bỏ mô răng bị sâu và dùng vật liệu trám để trám bít lại lỗ sâu, ngăn ngừa vi khuẩn tấn công.
Trường hợp sâu chân răng ở giai đoạn nghiêm trọng, tủy răng bị phá hủy thì cần tiến hành chữa tủy và loại bỏ mô răng bị sâu rồi bọc răng sứ để phục hồi ăn nhai, thẩm mỹ cho răng.
Trường hợp sâu chân răng không thể phục hồi thì cần tiến hành nhổ răng để tránh vi khuẩn tấn công vào xương hàm và các răng khác, phá hủy cấu trúc xương hàm và gây sâu răng diện rộng.
Lưu ý sau khi điều trị sâu răng
Sau khi điều trị sâu răng, răng có thể bị sâu lại hoặc sâu các răng khác nếu chúng ta không chăm sóc răng đúng cách. Do đó, cần lưu ý những điều sau đây sau khi điều trị sâu răng để tăng hiệu quả điều trị và bảo vệ tốt sức khỏe răng miệng:
- Đánh răng bằng bàn chải lông mềm theo hướng dẫn của Bác sĩ. Súc miệng với dung dịch sát khuẩn, sử dụng kem đánh răng chứa nồng độ Flour phù hợp.
- Sử dụng chỉ tơ nha khoa, máy tăm nước để loại bỏ mảng bám và thức ăn thừa trong kẽ răng. Không dùng tăm xỉa răng.
- Hạn chế hút thuốc và sử dụng đồ uống có cồn để tránh làm hỏng men răng.
- Hạn chế dùng thực phẩm gây màu để tránh làm đổi màu miếng trám.
- Thực hiện lấy vôi răng định kỳ và khám răng 6 tháng/ lần để Bác sĩ kiểm tra và theo dõi sức khỏe răng miệng.
- Hạn chế ăn vặt, ăn thực phẩm chứa nhiều đường, thực phẩm dai cứng dễ bám dính, thực phẩm giàu axit.
- Bổ sung dinh dưỡng đầy đủ, tăng cường các thực phẩm cung cấp nguồn canxi, phospho và flour để giúp răng chắc khỏe.

Điều trị sâu răng tại Nha khoa Nhân Tâm
Trên đây là những kiến thức về bệnh sâu răng dưới nướu. Nếu có dấu hiệu bị sâu răng hay các vấn đề răng miệng bất thường khác, bạn cần nhanh chóng tìm một địa chỉ nha khoa gần đây uy tín để thực hiện thăm khám và điều trị nhằm tránh tình trạng nặng hơn và phòng ngừa những biến chứng do sâu răng.




