Sức khỏe và thẩm mỹ răng miệng của con là một trong những mối qua tâm hàng đầu của các bậc phụ huynh. Khi chăm sóc răng cho trẻ, ba mẹ có thể nhận thấy ở một số bé có tình trạng răng bị đốm trắng. Vậy răng trẻ em có đốm trắng là bị gì, có nguy hiểm không?
Răng trẻ em có đốm trắng là bị gì?
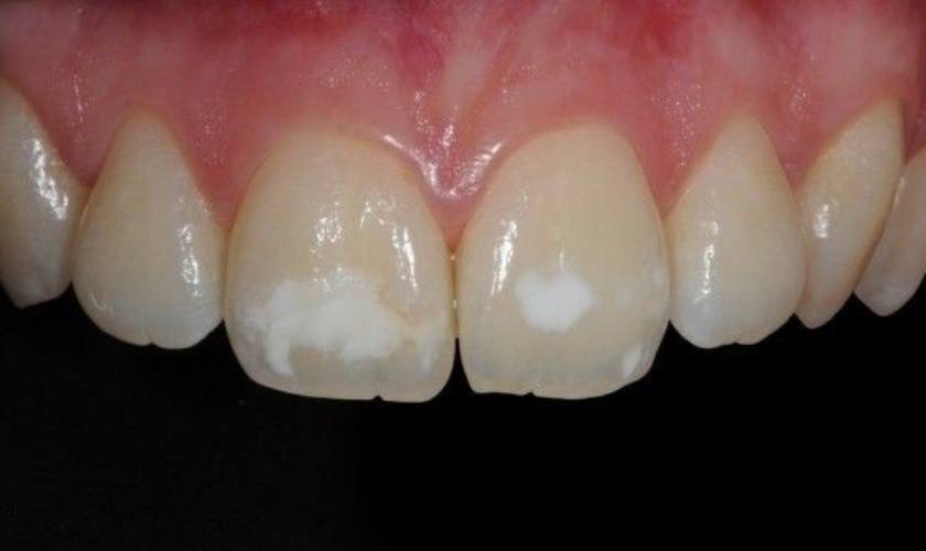
Răng trẻ em có đốm trắng là bị gì? Đây là hiện tượng bất thường ở răng thường gặp ở nhiều trẻ. Những đốm trắng có màu đục trên răng khiến răng trẻ bị mất thẩm mỹ.
Trong nha khoa, tình trạng răng xuất hiện những vệt hay đốm trắng đục được gọi là hiện tượng răng nhiễm Fluor.

Răng trẻ em có đốm trắng do nhiễm Fluor
Fluor là một chất dinh dưỡng cần thiết để răng mọc và phát triển, hỗ trợ tạo men răng và ngà răng, giúp răng trở nên cứng chắc và ngăn ngừa sâu răng.
Tuy nhiên, bất kỳ chất dinh dưỡng nào, nếu sử dụng quá nhiều dẫn đến dư thừa thì cũng gây ra tác dụng ngược. Trẻ bị dư thừa Fluor sẽ khiến răng phát triển bất thường, hình thành những đốm trắng màu đục hoặc vàng ở men răng.
Phần răng tại vị trí đốm trắng rất giòn và dễ vỡ, dễ bị ăn mòn và tấn công bởi vi khuẩn. Do đó, răng rất dễ bị sâu, nứt, mẻ, vỡ ở những vị trí này.
Vì sao răng trẻ em có đốm trắng?
Như chúng tôi đã chia sẻ, răng trẻ em có đốm trắng là do răng bị nhiễm Fluor. Vậy vì sao răng bị nhiễm Fluor?
Nguyên nhân có thể là do nguồn nước sử dụng hàng ngày chứa lượng Fluor vượt mức, sử dụng kem đánh răng chưa phù hợp lứa tuổi, chế độ dinh dưỡng quá mức khiến trẻ không hấp thụ hết, một phần dinh dưỡng trở nên dư thừa và gây ra tình trạng phản ứng ngược.

Răng tại vị trí đốm trắng khá giòn và dễ bị sâu, mẻ, vỡ
Nếu trẻ nhận vừa đủ lượng Fluor cần thiết thì trẻ sẽ có hàm răng chắc khỏe. Ngược lại, nếu trẻ nhận quá nhiều Fluor thì sẽ khiến tình trạng canxi hóa quá mức, khiến răng có màu trắng đục và trở nên giòn, dễ bị tổn thương.
Ba mẹ cần lưu ý những nguồn thực phẩm cung cấp lượng Fluor dồi dào bao gồm cá biển, bắp, ngũ cốc, các loại đậu, trà xanh…
Răng trẻ em có đốm trắng phải làm sao?
Vậy răng trẻ em có đốm trắng có nguy hiểm gì không, có cần điều trị hay không?
Ảnh hưởng đầu tiên của răng bị nhiễm Fluor là gây mất thẩm mỹ cho hàm răng của trẻ, răng sẽ không đều màu mà xuất hiện những đốm trắng loang lổ khiến trẻ mất tự tin khi cười hay giao tiếp.
Thứ hai, răng có đốm trắng sẽ yếu hơn răng bình thường, vị trí đốm trắng rất dễ bị tác động và tổn thương như sâu, gãy, viỡ, nứt, mẻ răng. Vì vậy, răng nhiễm Fluor sẽ tăng nguy cơ bệnh lý răng miệng và chấn thương răng.

Răng sữa có đốm trắng
Răng trẻ em có đốm trắng được xử lý như sau:
1. Đối với răng sữa:
Nếu răng bị nhiễm Fluor ở giai đoạn răng sữa thì ba mẹ không cần quá lo lắng, chỉ cần vệ sinh răng miệng đúng cách và chế độ dinh dưỡng cần bằng cho trẻ vì răng sữa sẽ được thay bằng răng vĩnh viễn.
2. Đối với răng vĩnh viễn:
Trường hợp răng trẻ em có đốm trắng vào giai đoạn răng vĩnh viễn thì sẽ ảnh hưởng lâu dài đến sức khỏe và thẩm mỹ răng miệng ở trẻ. Ba mẹ cần chú ý kiểm tra lại nguồn nước và chế độ dinh dưỡng cho trẻ nhằm hạn chế nguồn Fluor vào cơ thể.
Bên cạnh đó, ba mẹ cần tư vấn ý kiến của Bác sĩ nha khoa về loại bàn chải và kem đánh răng có hàm lượng Fluor phù hợp và cho trẻ vệ sinh răng đúng cách, không đánh răng mạnh, không dùng răng để cắn các vật cứng, hạn chế các tác động từ bên ngoài, tránh ăn thức ăn dai cứng và các thực phẩm không tốt cho sức khỏe răng miệng.

Thăm khám tại nha khoa định kỳ giúp bảo vệ răng trẻ chắc khỏe
Đồng thời, việc thăm khám sức khỏe răng miệng định kỳ và cạo vôi răng 6 tháng/ lần cũng giúp trẻ được theo dõi sức khỏe răng miệng tốt hơn, kịp thời xử lý nếu có bất kỳ vấn đề nào về răng miệng, tránh những hậu quả nghiêm trọng.
Nếu trẻ không may có răng bị nhiễm Fluor, khi trẻ đủ tuổi (18 tuổi), ba mẹ có thể cho trẻ thực hiện các biện pháp nha khoa thẩm mỹ như bọc sứ, dán sứ veneer để giúp trẻ lấy lại nụ cười thẩm mỹ và tự tin.
Nếu nhận thấy răng của trẻ có dấu hiệu giống với những thông về răng trẻ em có đốm trắng, ba mẹ có thể liên hệ với Nha khoa Nhân Tâm. Với mục tiêu can thiệp tối thiểu, hiệu quả tối đa các chuyên gia của chúng tôi sẽ giúp cha mẹ chăm sóc răng miệng tốt nhất cho bé.
*Chụp phim X-Quang hoặc phim 3 chiều CT Cone Beam là một bước quan trọng trong quy trình điều trị phục hồi răng. Vì vậy Khách hàng sẽ được Bác sĩ của nha khoa Nhân Tâm chỉ định đến các cơ sở y tế đủ chức năng để thực hiện trước khi điều trị.




