Cũng có không ít trường hợp, đã trám răng rồi nhưng chỉ được một thời gian là miếng trám bị hỏng, bung bật phải trám lại. Nếu muốn trám lại răng trám bị bể, bạn cần tìm hiểu rõ nguyên nhân vết trám bị hỏng và cách khắc phục.
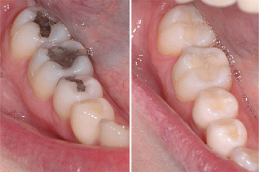
Miếng trám cũ bị bể có dấu hiệu gì?
Trám răng là một kỹ thuật nha khoa thường được chỉ định để khôi phục, tái tạo lại hình dáng của răng (như sâu, mẻ, vỡ hoặc mòn men…), giúp bảo vệ các mô răng còn sót lại khỏi sự tấn công của vi khuẩn và các tác nhân gây hại hằng ngày.
Ở vị trí bị bể, bạn có thể dễ dàng nhìn thấy bằng mắt thường. Nhưng vẫn có rất nhiều trường hợp, bạn có thể nhận biết tình trạng này những dấu hiệu sau:
- Răng ê buốt: Khi miếng trám răng bị bể, các mô ngà và tủy răng có thể bị lộ ra ngoài. Đó là nguyên nhân khiến bạn cảm thấy đau nhức, khó chịu khi ăn uống hoặc đánh răng…
- Đau răng: Nếu miếng trám bị vỡ, vi khuẩn sẽ xâm nhập và lấp đầy các khoảng trống bị vỡ. Từ đó làm tăng nguy cơ mắc phải những bệnh lý về răng miệng như sâu răng hay viêm tủy…
- Áp xe răng: Bạn đừng xem thường bệnh viêm tủy, nếu không được điều trị kịp thời có thể gây biến chứng áp xe chân răng, thậm chí là viêm chóp răng và xương hàm…
Trám răng là một kỹ thuật điều trị chuyên khoa được ưu tiên hàng đầu tại nha khoa. Cho nên bạn không thể tự mình khắc phục tình trạng bể, vỡ miếng trám tại nhà. Vì thế, khi thấy bản thân có dấu hiệu như trên thì hãy thu xếp đến gặp bác sĩ trong thời gian sớm nhất nhé!

Miếng trám cũ bị bể có dấu hiệu gì
Răng trám bị bể có trám lại được không?
Khi miếng trám để lâu ngày bị bể hay bung bật, chắc chắn câu hỏi đầu tiên của các bạn chính là răng trám bị bể có trám lại được không? Câu trả lời là việc này hoàn toàn có thể được khắc phục bằng cách trám lại, thông thường các bác sĩ sẽ khuyên bạn nên thực hiện càng sớm càng tốt.
Việc trám răng lần hai sẽ không khác mấy so với trám răng lần đầu. Nhưng bạn cần phải cân nhắc về việc lựa chọn nha khoa uy tín, công nghệ trám răng tốt nhất. Phải tìm hiểu thật kỹ về các loại vật liệu trám răng để không bị bong tróc miếng trám một lần nữa.
Hiện tại Nha khoa Nhân Tâm có thể khắc phục tình trạng bong tróc miếng trám bằng công nghệ hiện đại với rất nhiều chất liệu trám răng. Những chất liệu này đều đã qua kiểm chứng về chất lượng. Bác sĩ sẽ tư vấn cho bạn thật chi tiết về các loại chất trám và đưa ra lời khuyên nên lựa chọn chất trám thích hợp với cơ địa cũng như tình trạng răng của bạn.
Bạn có thể trám lại răng nhiều lần mỗi khi miếng trám răng bị bể, nhưng điều này có thể làm mất rất nhiều thời gian, công sức và tiền bạc, chưa kể đến những chiếc răng còn lại trên khung hàm cũng có thể bị ảnh hưởng một phần. Vì thế, hãy học cách xây dựng cho mình một chế độ ăn uống và chăm sóc răng miệng khoa học. Sau đó lựa chọn dịch vụ tốt nhất để duy trì tối đa độ bền của miếng trám răng nhé.
Quá trình trám răng cũ bị vỡ
Quá trình này còn phụ thuộc vào tình trạng răng. Đa phần các bác sĩ sẽ tháo gỡ miếng trám cũ, loại bỏ vùng mô bị ảnh hưởng và trám lại như mới. Quá trình này diễn ra vô cùng nhẹ nhàng, nhanh chóng, sẽ hoàn tất trong một lần hẹn.
»»» Quá trình làm lại răng trám bị bể tại Nha khoa Nhân Tâm như sau:
Bước 1: Khám tổng quát và chụp X-quang
Bác sĩ sẽ thăm khám, phân tích các triệu chứng và chụp X – Quang để kiểm tra mức độ tổn thương của các mô răng. Sau đó sẽ tư vấn cho bạn phương án phục hình răng phù hợp, thường là trám lại hoặc bọc sứ.

Quá trình trám răng cũ bị vỡ
Bước 2: Khử khuẩn khoang miệng
Bác sĩ sẽ hướng dẫn bạn vệ sinh răng miệng bằng dung dịch nha khoa chuyên dụng, sát trùng và làm sạch vùng răng chuẩn bị điều trị.
Bước 3: Trám răng bị bể
Vật liệu trám răng tại Nha khoa Nhân Tâm là Composite – có màu sắc khá giống với màu răng tự nhiên. Bác sĩ đắp vật liệu trám này lên trên bề mặt răng, tạo hình thẩm mỹ và chiếu đèn quang để vật liệu này được đông lại.
Trên thực tế, đối với các trường hợp răng bị viêm tủy, hoại tử tủy hoặc bị mất quá nhiều mô cứng, bác sĩ sẽ khuyên bạn nên đi bọc sứ, dùng các kỹ thuật đóng chốt, gắn cùi giả.
Ngoài ra, khả năng chịu lực ăn nhai của hàm răng sứ rất cao, cứng chắc gấp 1 – 8 lần răng thật còn tùy vào vật liệu và công nghệ chế tạo. Chúng sẽ có tác dụng như một lớp áo chịu lực, bao phủ và bảo vệ cho các mô răng thật ở bên trong, mang đến hiệu quả toàn diện và lâu dài.
Trong trường hợp răng bị tổn thương quá nặng, không thể phục hình được nữa thì bác sĩ buộc phải loại bỏ chúng. Sau đó tư vấn cho các bạn giải pháp trồng lại phù hợp, thường thì sẽ ưu tiên cấy Implant, cầu răng sứ hoặc răng giả tháo lắp.
Vệ sinh răng trám bị bể
Nếu răng trám bị bể nhưng bạn chưa thể đến nha khoa gần đây, bạn cần lưu ý các vấn đề sau để không làm cho răng bị tổn thương nghiêm trọng hơn:
- Ăn nhai bằng một lực vừa phải, không được dùng lực quá mạnh
- Hạn chế ăn nhai ở bên hàm có răng trám bị vỡ
- Ngừng ăn thực phẩm có hàm lượng đường cao
- Hạn chế những loại thực phẩm nhiều tính axit
- Đồ ăn quá nóng hoặc quá lạnh vì dễ làm ê buốt
- Đánh răng sau khi ăn các loại thực phẩm có đường hay tinh bột
- Uống nước lọc sau khi ăn và súc miệng bằng nước muối sinh lý

Vệ sinh răng trám bị bể
Hy vọng bài viết này đã giúp bạn có được những thông tin bổ ích về răng trám bị bể có dấu hiệu và quy trình thay mới. Nếu bạn cần được tư vấn thêm về vấn đề này, vui lòng liên hệ hoặc đến trực tiếp Nha khoa Nhân Tâm với sứ mệnh: "Vì nụ cười đẹp tự tin - hàm răng chắc khỏe giúp nâng cao chất lượng cuộc sống, hạnh phúc và thành công" nhé!



