Mất răng toàn hàm tiềm ẩn nhiều rủi ro cho sức khỏe răng miệng, sức khỏe toàn thân và làm suy giảm chất lượng cuộc sống.
Bệnh nhân bị mất răng toàn hàm có thể phục hồi răng toàn hàm với phương pháp Implant cá nhân hóa để khôi phục thẩm mỹ và chức năng ăn nhai, lấy lại tự tin và hòa nhập với cộng đồng.
Nguyên nhân dẫn đến mất răng toàn hàm
Trước khi tìm hiểu giải pháp phục hồi răng toàn hàm với phương pháp Implant cá nhân hóa, hãy cùng tìm hiểu những nguyên nhân gây mất răng toàn hàm nhé.
Mất răng toàn hàm là tình trạng nhiều người gặp phải, do nhiều nguyên nhân, bao gồm:
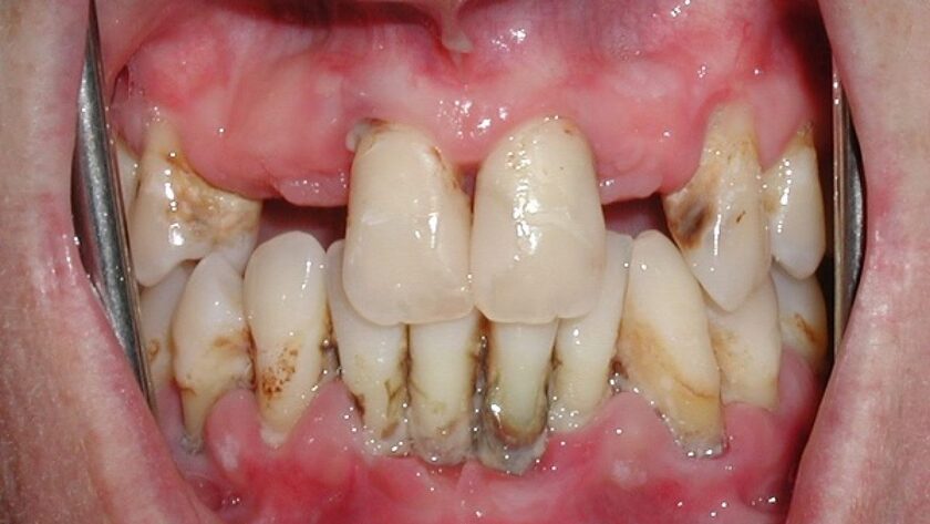
1. Viêm nha chu
Viêm nha chu là tình trạng nhiễm trùng hệ thống tổ chức quanh răng gồm răng, nướu, nha chu và xương ổ răng. Tình trạng này gây tụt nướu, tiêu xương ổ răng, hình thành túi nha chu, răng bị lung lay và cuối cùng là bị rụng răng.

Viêm nha chu gây nguy cơ mất răng
2. Sâu răng, nhiễm trùng chóp chân răng
Sâu răng không điều trị dẫn đến sâu răng lây lan diện rộng, làm tăng nguy cơ mất răng toàn hàm.
Nguyên nhân gây sâu răng là do việc vệ sinh răng miệng kém khiến thức ăn thừa bám trên răng và kẽ răng, tạo điều kiện thuận lợi cho vi khuẩn phát triển và phân hủy thành axit bào mòn men răng, phá hỏng cấu trúc răng và hình thành lỗ sâu răng.
3. Chấn thương
Các ý kiến của các group review nha khoa tốt cho biết chấn thương vùng đầu cổ mặt cũng là nguyên nhân phổ biến gây mất răng toàn hàm. Va đập mạnh có thể làm hỏng và nhiễm trùng răng, nướu, xương ổ răng, mô mềm của miệng như môi, lưỡi…
Chấn thương răng mức độ nặng có thể làm răng gãy dọc, chéo hoặc ngang, thậm chí gãy toàn bộ chân răng, dẫn đến mất răng.
4. Tuổi tác
Răng cũng như các bộ phận khác trên cơ thể sẽ bị lão hóa theo thời gian. Việc thiếu hụt canxi và dinh dưỡng ở người già sẽ tăng nguy cơ khiến răng trở nên yếu đi và bị rụng.

Điều trị mất răng toàn hàm trên cho bệnh nhân lớn tuổi
Tác hại của việc mất răng toàn hàm
Vì sao cần phục hồi răng toàn hàm với phương pháp Implant cá nhân hóa? Vì mất răng toàn hàm gây ra nhiều hậu quả vô cùng nặng nề đối với thẩm mỹ, sức khỏe răng miệng và sức khỏe toàn thân, bao gồm:
1. Suy giảm chức năng ăn nhai
Thức ăn trước khi đi vào hệ tiêu hóa thì cần được nghiền nhỏ bởi hoạt động ăn nhai. Hoạt động ăn nhai hiệu quả khi có sự phối hợp giữa hàm trên và hàm dưới.
Do đó, nếu mất răng toàn hàm trên hoặc mất răng toàn hàm cả hai hàm thì bệnh nhân sẽ không thể thực hiện tốt quá trình cắn xé, nhai nghiền thức ăn.
Vì vậy, bệnh nhân mất răng nguyên hàm thường phải ăn các loại thức ăn mềm như súp, cháo hoặc xay nhỏ thức ăn, không thể ăn được những món ăn yêu thích.

Mất răng toàn hàm làm suy giảm nghiêm trọng chức năng ăn nhai
Xem thêm: Vai trò của công nghệ định vị trong Implant dưới màng xương
2. Tiêu xương hàm
Tiêu xương hàm hay tiêu xương ổ răng là tình trạng suy giảm mật độ, số lượng, thể tích của xương hàm. Xương hàm duy trì và phát triển nhờ hoạt động ăn nhai kích thích các mô xương. Nếu mất răng, sẽ không có lực tác động lên xương, dẫn đến quá trình tiêu xương.
25% xương hàm bị tiêu trong năm đầu tiên sau khi mất răng, tỷ lệ này tăng đến 45%-60% sau khoảng 3 năm. Quá trình tiêu xương sẽ diễn ra nhanh hơn đối với những bệnh nhân mất răng toàn hàm.
3. Ảnh hưởng nghiêm trọng đến thẩm mỹ
Hậu quả dễ nhận biết nhất ở bệnh nhân mất răng toàn hàm là mất thẩm mỹ. Quá trình tiêu xương khiến cho nướu răng bị teo, má hóp, da mặt bị chảy xệ, lão hóa sớm khiến khuôn mặt bệnh nhân trở nên hom hem, móm mém và già trước tuổi.

Tiêu xương hàm do mất răng khiến mặt chảy xệ, già trước tuổi
4. Nguy cơ mắc các bệnh liên quan đến hệ tiêu hóa
Răng đảm nhiệm chức năng ăn nhai và nghiền nát thức ăn để giúp việc tiêu hóa thức ăn diễn ra thuận lợi.
Khi bị mất răng toàn hàm, bệnh nhân không thể nghiền nhỏ thức ăn khiến hệ tiêu hóa phải “làm việc” nhiều hơn. Theo thời gian sẽ ảnh hưởng đến hệ tiêu hóa gây ra nhiều triệu chứng như viêm dạ dày, trào ngược dạ dày, táo bón…
5. Suy giảm sức khỏe toàn thân
Chức năng ăn nhai suy giảm sẽ khiến thức ăn không được nghiền nhuyễn, không ăn được đa dạng thức ăn dẫn đến không cung cấp đủ dinh dưỡng cho cơ thể. Dinh dưỡng kém kéo theo nhiều vấn đề như suy giảm miễn dịch, bệnh suy dinh dưỡng…
6. Phát âm kém chính xác
Răng còn có chức năng hỗ trợ phát âm chuẩn. Mất răng nguyên hàm ảnh hưởng nghiêm trọng đến việc phát âm, bệnh nhân khó có thể phát âm tròn vành, rõ chữ, từ đó hình thành thói quen nói ngọng…
7. Ảnh hưởng đến tinh thần của bệnh nhân
Bệnh nhân bị mất răng toàn hàm thường kèm theo tinh thần kém do cảm thấy tự ti vì hàm răng của mình, từ đó dần sống khép kín, khó giao tiếp với người khác và khó hòa nhập với xã hội.
Phục hồi răng toàn hàm với phương pháp Implant cá nhân hóa
Phục hồi răng toàn hàm với phương pháp Implant cá nhân hóa là giải pháp khôi phục răng mất ít xâm lấn, cải thiện ăn nhai và thẩm mỹ cho bệnh nhân mất răng.
Implant cá nhân hóa là kỹ thuật được cải tiến dựa trên kỹ thuật cấy ghép Implant dưới màng xương - Một kỹ thuật phục hình răng mất lâu đời nhưng ít được sử dụng do tồn tại nhiều thách thức và tỷ lệ thất bại cao.

Kỹ thuật Implant cá nhân hóa
Cấy ghép Implant cá nhân hóa sử dụng thanh kim loại và trụ Implant đặt ở bên trên xương và bên dưới nướu, ngay tại vị trí dưới màng xương, không cấy trụ Implant vào trong xương như kỹ thuật Implant thông thường.
Implant sẽ được cố định vào xương hàm bằng những con vít đặc biệt (đây là điểm khác biệt giữa Implant cá nhân hóa và Implant dưới màng xương truyền thống, Implant dưới màng xương không có vít cố định nên dễ bị di động, gây ra nhiều biến chứng và đào thải Implant). Những con vít này sẽ giúp trụ Implant ổn định và chắc chắn để nâng đỡ phục hình bên trên Implant.
Vì không cần cấy trụ Implant vào xương hàm nên tình trạng xương hàm không ảnh hưởng đến quá trình và hiệu quả của cấy ghép Implant cá nhân hóa. Đó là lý do phương pháp này là giải pháp tối ưu cho bệnh nhân bị tiêu xương trầm trọng như mất răng toàn hàm, không răng bẩm sinh, người cao tuổi có sức khỏe yếu, bệnh nhân không thể ghép xương…

Phục hồi răng cho bệnh nhân không răng bẩm sinh bằng Implant cá nhân hóa (Quá trình phẫu thuật được thực hiện tại bệnh viện)
Kỹ thuật Implant cá nhân hóa được xem là "cứu cánh" để phục hồi chức năng và thẩm mỹ của hàm răng cho những bệnh nhân bị tiêu xương đặc biệt nghiêm trọng, không thể thực hiện bằng kỹ thuật Implant thông thường hay Implant xương gò má do xương hàm quá mỏng.
Trên đây là những thông tin cần biết về tình trạng mất răng toàn hàm. Để hiểu rõ hơn về kỹ thuật này, bạn có thể liên hệ qua Hotline 1900 56 5678.




