Theo TS. BS Võ Văn Nhân, khi đã bị bệnh sâu răng thì điều cần làm đầu tiên là mọi người nên tới một nha khoa uy tín để được bác sĩ thăm khám cũng như tư vấn cách điều trị hiệu quả. Còn nếu bạn đang có sức khỏe răng miệng khỏe mạnh thì cũng không nên chủ quan, nên đi khám định kỳ 4 – 6 tháng một lần để có thể kiểm soát tốt các bệnh như sâu răng, viêm nướu hay nha chu.
Sâu răng là gì?
Sâu răng là hiện tượng tổn thương vĩnh viễn trên bề mặt men răng, phát triển thành những khe hở hoặc lỗ nhỏ li ti. Sâu răng hình thành do sự kết hợp của nhiều yếu tố khác nhau, bao gồm vi khuẩn trong khoang miệng, thói quen ăn vặt, sử dụng đồ uống có đường và vệ sinh răng miệng không tốt.
Nếu sâu răng không được điều trị, tổn thương sẽ lớn dần và ảnh hưởng đến các phần sâu hơn của răng. Điều này có thể dẫn tới đau răng nghiêm trọng, nhiễm trùng và mất răng. Thăm khám nha khoa thường xuyên cùng với thói quen đánh răng và dùng chỉ nha khoa tốt là cách bảo vệ tốt nhất để bạn chống lại sâu răng.
Xem thêm: Quy trình lấy tủy và bọc sứ thẩm mỹ cho răng sâu
Nguyên nhân gây sâu răng là gì?
Sâu răng là một quá trình diễn ra theo thời gian, nó phát triển qua các giai đoạn sau:
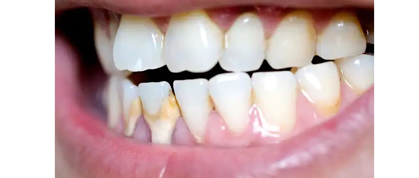
- Các mảng bám: Mảng bám là một lớp màng dính trong suốt bao phủ bề mặt bên ngoài của răng. Mảng bám hình thành do bạn ăn nhiều đường, tinh bột và không vệ sinh răng miệng kỹ. Khi đường và tinh bột bám lại trên răng, vi khuẩn sẽ nhanh chóng phát triển và hình thành mảng bám. Mảng bám bám trên răng có thể nằm ở dưới hoặc trên đường viền nướu, nó cứng lại tạo thành cao răng (vôi răng), khiến mảng bám khó bị loại bỏ hơn và tạo lá chắn cho vi khuẩn phát triển.

Mảng bám trên răng
- Mảng bám tấn công răng: Axit trong mảng bám sẽ phá hủy các khoáng chất trong lớp men răng. Sự xói mòn này gây ra các lỗ nhỏ trên men răng - giai đoạn đầu tiên của sâu răng. Một khi các men răng bị ăn mòn, vi khuẩn và axit có thể tấn công vào đến lớp tiếp theo của răng, được gọi là ngà răng. Lớp này mềm hơn men răng và khả năng chống lại axit kém hơn. Ngà răng có các đường ống nhỏ li ti thông trực tiếp với dây thần kinh của răng, nên khi sâu răng tấn công vào đến đây sẽ gây ê buốt.
- Sâu răng vẫn tiếp tục phát triển: Khi sâu răng phát triển, vi khuẩn và axit tiếp tục di chuyển qua răng của bạn, di chuyển đến tủy răng, nơi có chứa dây thần kinh và mạch máu. Tủy răng bị sưng tấy do vi khuẩn xâm nhập, chèn ép dây thần kinh gây đau. Cảm giác khó chịu thậm chí có thể lan ra bên ngoài chân răng đến tận xương.
Các biến chứng của sâu răng
Bạn có thể cho rằng sâu răng không đáng lo ngại vì quá phổ biến. Và bạn có thể nghĩ rằng không có vấn đề gì nếu trẻ bị sâu răng ở răng sữa. Tuy nhiên, sâu răng có thể gây ra những biến chứng nghiêm trọng và lâu dài, ngay cả đối với những trẻ chưa mọc răng vĩnh viễn.
Các biến chứng của sâu răng bao gồm:
- Đau nhức
- Áp xe răng
- Sưng hoặc chảy mủ quanh răng
- Tổn thương hoặc gãy răng
- Vấn đề về nhai
- Thay đổi vị trí của răng sau khi bị mất răng

Răng bị áp xe
Các cách ngăn ngừa sâu răng
Vệ sinh răng miệng tốt có thể giúp bạn tránh được sâu răng và các vấn đề răng miệng khác. Dưới đây là một số cách ngăn ngừa sâu răng. Tuy nhiên, bạn hãy hỏi bác sĩ nha khoa của bạn những lời khuyên nào là tốt nhất cho bạn.
- Đánh răng sau khi ăn hoặc uống: Đánh răng ít nhất hai lần một ngày và tốt nhất là sau mỗi bữa ăn, sử dụng kem đánh răng có chứa florua. Để làm sạch kẽ răng, bạn hãy dùng chỉ nha khoa hoặc dùng dụng cụ làm sạch kẽ răng.
- Súc miệng: Súc miệng cũng là một phương pháp bảo vệ răng miệng cùng với việc đánh răng. Nếu bác sĩ nha khoa nhận thấy bạn có nguy cơ cao bị sâu răng, họ có thể khuyên bạn sử dụng nước súc miệng có fluor.
- Thăm khám nha khoa thường xuyên: Làm sạch răng chuyên nghiệp và khám răng miệng thường xuyên, có thể giúp ngăn ngừa hoặc phát hiện sớm các vấn đề răng miệng. bác sĩ của bạn có thể đề xuất một lịch trình khám răng định kỳ phù hợp nhất cho bạn.
- Hạn chế ăn vặt: Bất cứ khi nào bạn ăn vặt hoặc uống đồ uống không phải nước lọc, đồng nghĩa với việc bạn giúp vi khuẩn trong miệng tạo ra axit có thể phá hủy men răng. Nếu bạn ăn vặt hoặc uống đồ uống có đường liên tục trong ngày, răng của bạn đang bị tấn công liên tục.

Cần hạn chế ăn vặt để phòng ngừa sâu răng
- Ăn thực phẩm tốt cho răng: Có một số loại thực phẩm và đồ uống tốt cho răng của bạn. Nhưng vẫn cần tránh để cho thức ăn bám lâu ngày trong rãnh và kẽ răng, hoặc chải răng ngay sau khi ăn xong. Tuy nhiên, có những loại thực phẩm như trái cây tươi và rau quả giúp làm tăng lưu lượng nước bọt, và cà phê không đường, trà và kẹo cao su không đường giúp rửa sạch các mảnh vụn thức ăn.
- Hỏi bác sĩ về phương pháp điều trị kháng khuẩn: Nếu bạn đặc biệt dễ bị sâu răng - chẳng hạn như do tình trạng bệnh lý - bác sĩ có thể khuyên bạn nên súc miệng kháng khuẩn đặc biệt hoặc các phương pháp điều trị khác để giúp làm giảm vi khuẩn có hại trong miệng của bạn.
- Các phương pháp điều trị kết hợp như: Nhai kẹo cao su có chứa xylitol cùng với florua kê đơn và nước súc miệng kháng khuẩn có thể giúp giảm nguy cơ sâu răng.
Nếu có nhu cầu thăm khám răng miệng hay điều trị các bệnh sâu răng, viêm nướu, hôi miệng, bọc răng sứ, niềng răng, trồng răng implant, quý khách hàng hãy liên hệ ngay với nha khoa Nhân Tâm để được hỗ trợ tư vấn cụ thể và đặt lịch hẹn thăm khám sớm nhất có thể!




