Nướu răng bị sưng có thể là dấu hiệu răng khôn mọc, bị áp xe răng, viêm nướu, viêm nha chu, thiếu chất, do chăm sóc răng không đúng cách… Nếu tình trạng sưng nướu nhẹ, bạn có thể giảm đau tại nhà bằng cách chườm đá, dùng gừng, tỏi đắp lên chỗ sưng. Dần dần nướu sẽ bớt sưng đau.
Tuy nhiên, nếu nướu sưng đỏ viêm nhiễm nặng hãy thăm khám tại nha khoa uy tín để được điều trị đúng cách. Bác sĩ sẽ tìm hiểu nguyên nhân và đưa ra giải pháp hiệu quả.
Các nguyên nhân khiến nướu răng bị sưng
Bất kể tình trạng của bạn có nghiêm trọng hay không, sưng nướu răng có thể do:
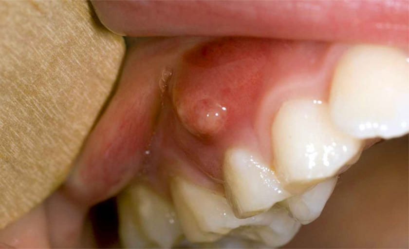
Áp xe răng
Áp xe răng có thể xảy ra ở chân răng (quanh chóp răng) hoặc ở mặt bên của chân răng (nha chu). Áp xe chứa đầy mủ và thường do sâu răng, chấn thương hoặc thủ thuật thẩm mỹ gây ra các vấn đề răng miệng (quá trình thẩm mỹ tạo vết nứt khiến cho vi khuẩn xâm nhập làm răng bị nhiễm trùng).
Các triệu chứng của áp xe răng bao gồm:
- Đau nhói răng
- Sưng hạch bạch huyết ở hàm hoặc cổ
- Sốt
- Nhạy cảm với nhiệt độ nóng và lạnh
- Sưng mặt và cổ
- Ê buốt khi cắn hoặc nhai
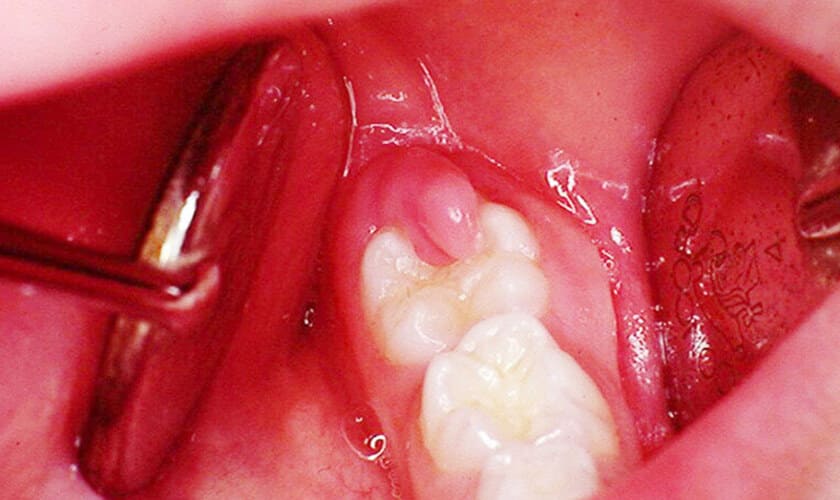
Mọc răng khôn
Răng khôn mọc là một quá trình tự nhiên. Tuy nhiên, đôi khi sự thay đổi này có thể khiến nướu bị sưng tấy. Nướu răng khôn bị sưng khi vẫn còn ở dưới nướu. Khi răng khôn trồi lên chúng sẽ tạo ra khoảng trống để vi khuẩn có thể xâm nhập vào nướu và dẫn đến sưng đau.

Nướu răng bị sưng có thể do nhiều nguyên nhân
Viêm nướu
Viêm nướu là giai đoạn đầu của bệnh nướu răng. Tình trạng này khiến nướu sưng lên, tấy đỏ, kích ứng và có thể chảy máu khi đánh răng.
Bệnh viêm nướu có thể được điều trị tại nhà với thói quen chăm sóc răng miệng đúng cách, hạn chế ăn đồ ăn vặt và đồ uống có đường, đồng thời ngừng sử dụng rượu bia, thuốc lá. Tuy nhiên, nếu bạn có các triệu chứng của viêm nướu, bạn nên đến gặp bác sĩ để được đánh giá và điều trị.
Thiếu Vitamin C
Thiếu vitamin C có thể dẫn đến viêm quanh răng. Ăn nhiều trái cây có múi như cam và bưởi để tránh điều này. Bổ sung vitamin C cũng có thể hữu ích. Hãy nói chuyện với nha sĩ hoặc chuyên gia chăm sóc sức khỏe để xác định lượng cần bổ sung vào chế độ ăn uống của bạn.
Thuốc và các nguyên nhân khác
Một số loại thuốc có thể có tác dụng phụ là khiến nướu răng bị sưng tấy. Nếu bạn thấy kem đánh răng hoặc nước súc miệng gây kích ứng nướu, hãy ngừng sử dụng. Khi đó bạn nên tham khảo ý kiến của chuyên gia để lựa chọn được sản phẩm phù hợp.
Do thói quen xấu hàng ngày
Những thói quen xấu như: xỉa răng bằng tăm tre, đánh răng mạnh và nhanh,... có thể ảnh hưởng đến nướu và gây viêm nhiễm, đau đớn.
Nướu chỉ sưng lên mà không kèm theo các dấu hiệu như lở loét hay các dấu hiệu lạ khác như đốm trắng hồng... thì không phải triệu chứng của ung thư. Nếu được điều trị kịp thời thì sẽ nhanh chóng khỏi hẳn.
Để tránh viêm nướu do nguyên nhân này hãy thay tăm xỉa răng bằng chỉ nha khoa, đánh răng nhẹ nhàng bằng bàn chải đánh răng lông mềm
Đối tượng nguy cơ bị sưng nướu răng
Ai cũng có thể bị sưng nướu nếu không chăm sóc răng miệng đúng cách. Tuy nhiên thường có một số đối tượng dễ mắc hơn như:
- Người nghiện hút thuốc, uống rượu: Những người này dễ bị viêm nướu nhất vì các chất kích ứng độc hại như nicotin khi được răng hấp thụ trong một thời gian sẽ gây ố vàng, cao răng và tiến triển viêm nướu. Nếu không điều trị sớm sẽ biến chứng viêm nha chu dẫn đến mất răng sớm.
- Người chăm sóc răng miệng không đúng cách: Người chăm sóc răng miệng không đúng cách lâu dần sẽ bị tụt nướu, sâu răng, viêm nướu... ảnh hưởng nghiêm trọng đến sức khỏe răng miệng.
- Người có chế độ dinh dưỡng kém: Nếu việc cung cấp dưỡng chất không được đảm bảo dễ dẫn đến tình trạng thiếu các chất thiết yếu như vitamin, khoáng chất làm suy yếu sức đề kháng và khả năng bảo vệ của nướu. Nó không đủ để chống lại vi khuẩn tấn công và dễ gây sưng nướu.
- Phụ nữ mang thai hoặc sau khi sinh bị thay đổi nội tiết tố: Trong thời kỳ mang thai và sau khi sinh, phụ nữ bị thay đổi nội tiết tố khiến khả năng miễn dịch của nướu bị suy giảm, khiến các vi khuẩn có hại vô tình sinh sôi dẫn đến viêm quanh nướu răng.
- Người mắc các bệnh lý: Đối với những người mắc bệnh tiểu đường, tim mạch, nhiễm virus… thường có lượng đường trong nước bọt cao hơn người bình thường. Đây là môi trường thuận lợi để vi khuẩn hình thành mảng bám gây viêm nướu, sưng tấy.

Ai cũng có thể bị sưng nướu nếu không chăm sóc răng miệng đúng cách
Những giai đoạn của viêm nướu
Giai đoạn đầu
Ở giai đoạn đầu, vùng nướu chỉ bị viêm nhiễm nhẹ, đau ít hoặc không đau, ăn uống vẫn bình thường.
Giai đoạn tiến triển
Khi bệnh nặng sẽ khiến nướu sưng đau, tấy đỏ. Khi bị kích thích bạn sẽ cảm thấy rất nhạy cảm và đau. Người bệnh không thể ăn uống bình thường vào thời điểm này, đặc biệt là những thức ăn quá lạnh, nóng, cay.
Nếu không đi khám kịp thời, rất có thể nhiễm trùng sẽ lan rộng và gây chảy máu nhiều, chảy mủ và hơi thở có mùi.
Phương pháp điều trị nướu răng bị sưng tại nhà
Tất cả các bước làm sạch nướu bị sưng phải được thực hiện rất nhẹ nhàng. Bạn có thể giảm sưng và đau tại nhà bằng một số mẹo đơn giản như:
Chườm lạnh hoặc chườm ấm
Nước đá có tác dụng làm tê các dây thần kinh để ngăn chặn cơn đau. Vì vậy, chườm đá lạnh lên vùng nướu bị đau cũng giúp giảm sưng đau hiệu quả. Bạn cũng có thể chườm ấm lên khu vực này. Nó có tác dụng giảm sưng tấy, tan máu bầm khá tốt.

Chườm đá làm tê các dây thần kinh để ngăn chặn cơn đau
Đắp gừng
Gừng tươi có tính ấm, tiêu viêm rất tốt. Nếu bị sưng nướu, bạn có thể dùng một ít gừng tươi giã nhỏ đắp lên chỗ răng sưng đau. Thực hiện mỗi ngày một lần để hỗ trợ giảm đau.
Dùng tỏi
Tỏi có tính kháng viêm, sát trùng, giảm đau, rát rất hiệu quả. Bạn có thể giã nhuyễn 1 nhánh tỏi rồi trộn cùng muối ăn, sau đó đắp lên vùng nướu sưng đau, dần dần cơn sưng đau sẽ thuyên giảm đáng kể.
Phương pháp điều trị tại nha khoa
Nha khoa Nhân Tâm là trung tâm điều trị và chăm sóc răng miệng chất lượng cao với hơn 25 năm kinh nghiệm. Trang thiết bị kỹ thuật hiện đại cùng với đội ngũ bác sĩ giỏi đảm bảo quá trình điều trị diễn ra thành công.
Toàn bộ quy trình điều trị viêm nướu răng được đảm bảo theo tiêu chuẩn quốc tế, bao gồm các bước sau:
Bước 1: Thăm khám & tư vấn
Bước 2: Xác định tình trạng
Bước 3: Chuẩn bị trước khi điều trị
Bước 4: Tiến hành điều trị theo phương án đề ra
- Nếu sưng nướu do viêm nhẹ: Để khắc phục tình trạng viêm nướu nhẹ, bác sĩ sẽ tiến hành cạo vôi răng, làm sạch mảng bám, sau đó hướng dẫn bệnh nhân cách chăm sóc răng miệng tại nhà đúng cách. Trường hợp sưng tấy, đau nhức nhiều, bác sĩ có thể kê đơn thuốc giảm đau, kháng viêm để bệnh nhân sử dụng.
- Nếu viêm nướu ở phần trong cùng của răng do răng khôn mọc lệch, mọc ngầm: Bác sĩ sẽ dùng kết quả chụp x-quang để xác định nguyên nhân, hướng mọc và kích thước của răng khôn. Bác sĩ sẽ gây tê và nhổ răng khôn bằng công nghệ mới. Sau điều trị, vùng nướu sẽ không sưng đau nữa
- Nếu nướu bị sưng do viêm nha chu: Ở những bệnh nhân bị viêm nướu nặng, răng bị lung lay và các mô mềm trong khoang miệng cũng bị tổn thương, bác sĩ sẽ tiến hành cạo vôi răng, điều trị nha chu, loại bỏ những ổ viêm nhiễm.

Tùy vào nguyên nhân gây sưng nướu bác sĩ sẽ có phương pháp điều trị thích hợp
Bước 5: Kiểm tra kết quả điều trị
Bác sĩ sẽ kiểm tra lại vùng nướu răng vừa điều trị nhằm đảm bảo không còn vấn đề nào có thể dẫn đến viêm nhiễm nữa. Sau đó bác sĩ sẽ hướng dẫn bệnh nhân cách chăm sóc hiệu quả.
Xem thêm: Hình ảnh viêm chân răng giúp nhận biết dấu hiệu và cách điều trị
Cách phòng ngừa sưng nướu răng hiệu quả
Việc phòng ngừa viêm nướu, sưng nướu rất quan trọng. Bạn nên xây dựng thói quen chăm sóc răng miệng hiệu quả bằng cách:
- Đánh răng kỹ 2-3 lần/ngày. Đừng quên làm sạch bằng nước súc miệng và chỉ nha khoa để loại bỏ mảng bám tốt hơn.
- Xây dựng chế độ ăn uống hợp lý và cân bằng các chất dinh dưỡng. Bổ sung vitamin A, C, E, K, canxi... để răng luôn khỏe mạnh.
- Khám răng định kỳ tại các cơ sở nha khoa uy tín ít nhất 6 tháng một lần là cách tốt nhất để ngăn ngừa bệnh nướu răng.
- Nguyên nhân chính của bệnh nướu răng là mảng bám vôi hóa. Vì vậy, cần loại bỏ để phòng bệnh hiệu quả.
- Khi đi khám, bạn có thể nhờ bác sĩ tư vấn cách chọn kem đánh răng, nước súc miệng để cải thiện tình trạng khô miệng.
- Khô miệng làm tăng nguy cơ tích tụ mảng bám và hình thành cao răng, dễ dẫn đến viêm nướu.

Hãy chăm sóc răng miệng đúng cách để tránh sưng tấy nướu răng
Nướu bị sưng có thể gây đau và khó chịu, nhưng trong hầu hết vấn đề này có thể dễ dàng điều trị. Khi nguyên nhân cơ bản đã được tìm thấy, việc tự điều trị có thể bắt đầu tại nhà. Tuy nhiên bạn vẫn nên nhờ đến sự tư vấn chuyên nghiệp của bác sĩ nha khoa.
Nếu có các triệu chứng sưng tấy, viêm nhiễm nặng, bạn nên đến nha khoa càng sớm càng tốt để bác sĩ thăm khám và kiểm tra trực tiếp tình trạng. Từ đó bạn có thể đưa ra kết luận chính xác, cũng như phương án điều trị chính xác nhất.




