Mòn răng là tình trạng mất đi lớp men răng do bị mài mòn, xảy ra nhanh hơn ở những người trẻ tuổi. Men răng một khi đã mất thì không được thay thế một cách tự nhiên. Có nhiều nguyên nhân có thể dẫn tới tình trạng này, liên quan đến thói quen ăn uống, chăm sóc răng miệng và các bệnh lý mà khách hàng mắc phải.
Mòn mặt nhai răng là như thế nào?
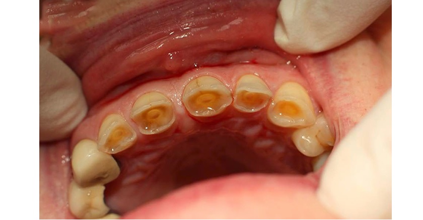
Răng bị mòn mặt nhai là tình trạng bề mặt nhai của răng - đỉnh răng bị mòn do mất mô răng. Tùy vào mức độ men răng bị mòn sẽ tạo ra vết lõm nông hoặc sâu trên bề mặt nhai của răng và mức độ ê buốt khi nhai.
Mức độ mòn mặt nhai của răng được xếp từ nhẹ đến nặng, cụ thể, khi tình trạng mòn chỉ xảy ra ở men răng là mức độ nhẹ và khi tình trạng mòn xảy ra ở ngà răng là mức độ nặng.
Răng mòn mặt nhai ảnh hưởng như thế nào đến đời sống?
Cấu tạo cơ bản của răng từ ngoài vào trong bao gồm men răng, ngà răng và tủy răng. Lớp men răng cứng bên ngoài có nhiệm vụ bảo vệ ngà răng và tủy răng bên trong, là những phần dễ bị tổn thương.
Khi răng bị mòn mặt nhai, tức là lớp men răng bị mòn sẽ gây ra những bất tiện trong ăn uống và sinh hoạt như:
- Mất thẩm mỹ: Khi mòn men răng, răng sẽ có màu vàng nâu.
- Gây ê buốt: Khi tiếp xúc với các loại thực phẩm có chứa axit, hoặc thức ăn quá nóng hoặc lạnh, sẽ xảy ra tình trạng ê buốt rất khó chịu do lớp men răng bị bào mòn làm răng trở nên nhạy cảm hơn.
- Tổn thương khớp hàm: Khi răng bị mòn mặt nhai, lớp men răng đã bị mất đi vĩnh viễn và không thể tự tái tạo, sẽ làm giảm khả năng nhai, nghiền nát thức ăn. Tình trạng này nếu để lâu không điều trị sẽ khiến cơ nhai, khớp hàm hoạt động nhiều hơn và gây ra tình trạng co thắt cơ, tổn thương khớp.

Khớp thái dương hàm bị tổn thương
- Sâu răng: Khi lớp men răng bị mòn và ngà răng lộ ra ngoài, sâu răng rất dễ xảy ra, nhất là khi ăn nhiều thực phẩm có axit cao.
- Viêm tủy, mất răng: Răng bị mòn mặt nhai nặng có thể làm tổn thương tủy răng và dẫn đến viêm tủy, chết tủy răng.
Xem thêm: Viêm khớp thái dương hàm và những điều cần biết
Nguyên nhân làm mòn mặt nhai của răng
Phần lớn các trường hợp răng mòn mặt nhai là do các tác nhân cơ học gây ra như:
- Chải răng không đúng cách: Chải răng theo ngang và quá mạnh sẽ làm mòn và mất đi lớp men răng bên ngoài.
- Thường xuyên sử dụng một số loại thực phẩm có chứa axit cao: Đồ ngọt, nước có gas, các loại trái cây có axit cao như cam, chanh, bưởi, ... nếu sử dụng thường xuyên cũng sẽ làm mòn men răng.
- Bệnh trào ngược dạ dày: Trào ngược axit dạ dày làm tăng khả năng răng tiếp xúc với axit và dẫn đến mòn mặt nhai của răng.
- Bệnh khô miệng: Bệnh khô miệng là tình trạng tuyến nước bọt ít tiết ra, vì vậy, khi ăn uống chất axit từ thực phẩm sẽ lưu lại trên răng lâu hơn và dẫn đến mòn men răng.
- Thói quen: Thường xuyên cắn, nhai thức ăn quá mạnh, ăn đồ cứng, cắn móng tay, nghiến răng khi ngủ, ... là những thói quen xấu làm mòn hoặc thậm chí có thể vỡ men răng.
- Di truyền, yếu tố cơ địa: Răng bị mòn mặt nhai cũng có thể là do di truyền hoặc cơ địa, men răng yếu, dễ bị vỡ và bào mòn.

Răng bị mòn mặt nhai do nhiều yếu tố khác nhau tác động
Ngoài ra, mòn mặt nhai của răng cũng có thể là một bệnh lý do thiểu sản men răng, hoặc các bệnh lý khác gây ra như đau khớp hàm làm ảnh hưởng đến việc nhai và cọ xát giữa hai hàm răng, ...
Hạn chế mòn mặt nhai của răng bằng cách nào?
Để phòng tránh và hạn chế tình trạng mòn mặt nhai của răng, cần lưu ý những cách sau:
- Chải răng đúng cách với bàn chải mềm, kem đánh răng có chứa flour. Chải răng ít nhất 2 lần/ngày vào buổi sáng lúc ngủ dậy và tối trước khi đi ngủ. Không dùng bàn chải chà xát vào bề mặt răng, không chải răng quá mạnh.
- Sử dụng nước súc miệng có chứa flour và dùng chỉ nha khoa thay cho tăm để xỉa răng.
- Hạn chế axit bám và lưu lại trên răng làm mòn mặt nhai của răng bằng cách súc miệng sau khi ăn uống thực phẩm có chứa axit, uống nước giữa các bữa ăn.

Cần súc miệng sau khi ăn uống để hạn chế axit bám lại trên răng gây hao mòn mặt nhai
- Hạn chế ăn uống đồ ngọt, thực phẩm có chứa axit cao. Sau khi ăn hoặc nhai thực phẩm nhiều axit, không nên đánh răng ngay mà cần đợi khoảng 30 phút để nước bọt trong miệng trung hòa axit bám trên men răng.
- Với người bị khô miệng có thể nhai kẹo cao su để làm tăng tiết nước bọt và giúp trung hòa axit trên bề mặt răng.
Răng bị mòn mặt nhai là bệnh lý khá phổ biến, có thể điều trị hiệu quả nếu bạn phát hiện kịp thời và lựa chọn đúng địa chỉ nha khoa uy tín để thực hiện. Nha khoa Nhân Tâm sẽ là trung tâm nha khoa uy tín, giúp bạn nhanh chóng thoát khỏi tình trạng ê buốt và mất tự tin khi cười khi gặp phải tình trạng mòn răng cửa.




