Áp xe răng là một tình trạng khá khó chịu và đau đớn. Áp xe chỉ phát triển khi tình trạng đau đã không được điều trị.
Tuỳ vào nguyên nhân, cách điều trị tổng quát mà nha sĩ có thể thực hiện là: Rạch tháo mủ -> Nhổ răng (nếu răng đã quá lung lay và phim x-quang cho thấy có sự tiêu xương trần trọng) -> Lấy tủy răng -> Nạo túi mủ và cạo láng gốc răng -> Xử trí toàn thân (dùng thuốc kháng sinh).
Nguyên nhân chính của áp xe răng
Nguyên nhân chính gây áp xe răng là do không vệ sinh răng miệng sạch sẽ và đúng cách. Các thức ăn và mảng bám dính trên răng sẽ tạo thành một môi trường thuận lợi cho vi khuẩn phát triển.
Bên cạnh đó, áp xe răng cũng là do biến chứng của bệnh sâu răng, cũng có thể do chấn thương răng. Bởi khi răng bị mẻ, vỡ có thể khiến vi khuẩn xâm nhập, len lỏi vào tủy răng và gây nhiễm trùng, mưng mủ. Trường hợp tủy răng bị chết, răng có thể không đau nữa nhưng trùng vẫn còn hoạt động và vẫn tiếp tục lan ra, phá hủy các mô.

Áp xe răng thường do sâu răng gây nên
Chính vì thế, những người bị sâu răng, chấn thương răng mà không chữa trị có nguy cơ bị áp xe răng rất cao. Khi bị sâu răng, các vi khuẩn tồn tại trong răng, nướu và tủy tiết ra độc đố khiến vùng xung quanh tủy và nước sưng tấy, mưng mủ và gây nên áp xe.
Phân loại áp xe răng
Tuỳ vào từng nguyên nhân mà bác sĩ nha khoa sẽ phân biệt làm hai trường hợp áp xe răng:
- Áp-xe chân răng: Loại áp xe này chỉ tồn tại ở chóp chân răng bị tổn thương. Thường áp xe chân răng là hậu quả của bệnh lý tủy răng không được điều trị hay cũng có khi là một trường hợp điều trị nội nha (lấy tủy răng) thất bại
- Áp-xe quanh răng: Loại áp xe này bao bọc toàn bộ chân răng bị tổn thương. Thường áp-xe quanh răng là hậu quả của một trường hợp bệnh nha chu tiến triển đã lâu.
Các triệu chứng thường gặp của áp xe răng
Để nhận biết mình có bị áp xe răng hay không, bạn có thể tham khảo những triệu chứng thường gặp dưới đây.
- Đau răng, nhai đau, cắn mạnh thậm chí ngậm miệng cũng cảm thấy đau.
- Nhạy cảm với các thức ăn nóng hoặc lạnh.
- Có vị đắng trong miệng.
- Hơi thở có mùi có chịu, miệng hôi.
- Có thể có triệu chứng nóng, sốt.
- Sưng hạch cổ.
- Người không khỏe, mệt mỏi.
- Sưng hàm trên hoặc hàm dưới

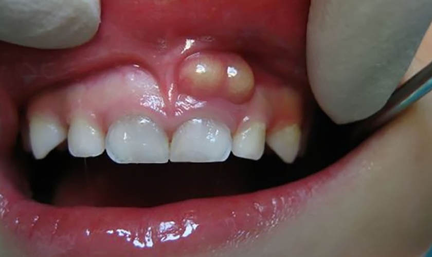
Triệu chứng của áp xe răng
Cách điều trị áp xe răng
Áp xe răng thường không gây nguy hiểm nếu được điều trị kịp thời. Tuy nhiên, ngược lại nếu không được điều trị, tình trạng này có thể gây nên nhiều hậu quả nghiêm trọng, thậm chí đe dọa đến tính mạng.
Điều trị áp xe tại nhà
- Súc miệng bằng nước muối: Phương pháp này có thể loại bỏ vi khuẩn tích tụ, đồng thời thúc đẩy quá trình lành thương và hỗ trợ bảo vệ sức khỏe răng miệng. Bạn chỉ cần thực hiện 3 lần/ngày để thấy được hiệu quả.
- Tinh dầu đinh hương: Loại tinh dầu này có đặc tính kháng khuẩn và chống viêm, do đó dùng để chữa đau răng do áp xe rất hiệu quả. Bạn có thể pha loãng 3-5 giọt tinh dầu đinh hương với 30ml dầu dừa, sau đó dùng tăm bông thấm đẫm hỗn hợp và thoa lên vùng răng bị ảnh hưởng.
- Tỏi: Tỏi chứa flavonoid và hợp chất lưu huỳnh, có khả năng hỗ trợ kháng sinh tự nhiên, tiêu diệt vi khuẩn gây nhiễm trùng và điều trị áp xe răng hiệu quả. Bạn chỉ cần nghiền nhỏ một nhánh tỏi, sau đó thoa đều lên khu vực bị nhiễm trùng là được.

Tinh dầu đinh hương có khả năng giảm đau do áp xe răng gây ra
Điều trị tại nha khoa
Cách điều trị áp xe răng tại nhà có khả năng giảm các triệu chứng và ngăn ngừa áp xe trở nên nghiêm trọng hơn. Tuy nhiên, bạn vẫn cần tìm đến nha khoa uy tín để được điều trị triệt để. Tuỳ vào nguyên nhân, cách điều trị tổng quát mà nha sĩ có thể thực hiện là:
- Rạch tháo mủ, nếu thấy có tụ mủ rõ rệt, và có khả năng vỡ túi mủ. Sau đó bác sĩ sẽ làm sạch và khử trùng khoang miệng bằng dung dịch chuyên dụng.
- Lấy tủy răng nếu áp xe lây nhiễm vào tủy. Bác sĩ sẽ khoan một lỗ nhỏ vào răng để dẫn lưu áp xe, vi khuẩn và loại bỏ tủy răng không thể phục hồi. Sau đó thực hiện trám răng để ngăn ngừa nguy cơ nhiễm trùng.
- Nạo túi mủ và cạo láng gốc răng (loại trừ nguyên nhân từ mô nha chu bệnh).
- Xử trí toàn thân: Bệnh nhân cần dùng thuốc kháng sinh để tăng cường sức đề kháng của cơ thể. Nếu áp xe lây nhiễm sang các bộ phận khác, bác sĩ có thể chỉ định kháng sinh dạng uống hoặc dạng tiêm tĩnh mạch để làm sạch nhiễm trùng.
- Nhổ răng nếu răng đã quá lung lay và phim x-quang cho thấy có sự tiêu xương trần trọng làm răng không thể cứng lại trên cung hàm được nữa.

Cần tìm đến nha khoa uy tín để điều trị áp xe răng
Bạn nên chọn các nha khoa uy tín khi nhận thấy các dấu hiệu bị áp xe răng để được các bác sĩ thăm khám và tư vấn cách điều trị tốt nhất. Để nhận được hỗ trợ nhanh chóng, hãy liên hệ ngay đến Nha khoa Nhân Tâm theo số Hotline 1900 56 5678, các chuyên gia sẽ tư vấn cụ thể và hoàn toàn miễn phí cho bạn.



