Nguyên nhân gây ê buốt răng và cách khắc phục hiệu quả
Ê buốt răng là cách gọi thông thường của hiện tượng quá cảm ngà hoặc triệu chứng ê buốt chân răng. Đây là một hiện tượng rất phổ biến và thường xuất hiện ở những người trẻ và trung niên.
Chứng ê buốt răng gây ảnh hưởng không nhỏ đến chất lượng cuộc sống, biểu hiện rõ nhất qua hoạt động ăn uống hàng ngày.
Nguyên nhân răng ê buốt do mòn men
Cấu tạo của răng gồm 3 phần: ngoài cùng là men răng, tiếp đó là ngà răng và trong cùng là tủy răng. Men răng giúp bảo vệ lớp ngà răng và tủy răng bên trong, nếu bị mòn thì bạn sẽ cảm thấy răng bị ê buốt.
Cách khắc phục:
- Hạn chế sử dụng thực phẩm có hại cho men răng như chanh, các loại nước ngọt có ga, trà, cà phê,…
- Ngưng sử dụng kem đánh răng hoặc nước súc miệng chứa nhiều axit.
- Vệ sinh răng miệng đúng cách, đánh răng ngày 2 lần bằng kem đánh răng dành riêng cho răng nhạy cảm, đồng thời súc miệng bằng nước muối sau mỗi bữa ăn.
- Nếu bị nghiến răng thì nên đeo máng nha khoa trong lúc ngủ
- Trám răng hoặc bọc răng sứ khi men răng bị tổn thương, không thể phục hồi.
Nguyên nhân răng ê buốt do bệnh về nướu
Các bệnh về nướu răng cũng là nguyên nhân giải thích tại sao răng ê buốt. Trong đó có thể kể đến như:
Bệnh viêm nướu do vệ sinh răng miệng không sạch sẽ hoặc do răng mọc khấp khểnh trên cung hàm (Biểu hiện: nướu sưng đỏ, dễ bị chảy máu,…).
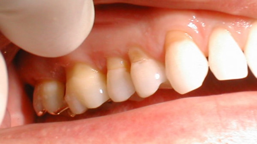
Tụt nướu răng sẽ để lộ lớp ngà răng ở chân răng theo thời gian, từ đó gây ê buốt răng. Nguyên nhân có thể do tiêu xương răng hoặc viêm nha chu (Biểu hiện: khoảng nướu có thể bị tụt sâu hơn so với những vùng khác).

Tụt nướu răng cũng là nguyên nhân gây ê buốt răng
Cách khắc phục:
- Vệ sinh răng miệng đúng cách.
- Thực hiện lấy cao răng định kỳ 3-6 tháng/lần.
- Điều trị viêm nha chu tại phòng khám nha khoa theo chỉ định của bác sĩ.
- Khi bị tiêu xương răng thì nên thực hiện ghép xương tại nha khoa.
Nguyên nhân răng ê buốt do sâu răng, răng sứt mẻ
Răng ê buốt có thể do răng sâu/sứt mẻ gây lộ ngà răng nhạy cảm bên trong, hoặc do tác nhân bên ngoài nào đó khiến răng sứt mẻ, lộ phần ngà răng nhạy cảm.

Sâu răng gây ê buốt răng
Cách khắc phục:
- Sâu răng: Trám răng nếu tình trạng nhẹ và bọc răng sứ nếu tình trạng nặng. Trong trường hợp sâu răng dẫn đến viêm tủy thì cần thực hiện điều trị nội nha lấy tủy.
- Răng sứ mẻ: Trám răng nếu mô răng thật mất ít hơn 1/3 răng, bọc răng sứ nếu mô răng thật mất nhiều hơn 1/3 răng, ít hơn 2/3 răng. Trong trường hợp mô răng mất nhiều thì có thể làm cầu răng sứ hoặc nhổ chân răng để cấy ghép implant.
Qua những thông tin trên, bạn có thể thấy được nguyên nhân khiến răng bị ê buốt có rất nhiều. Để xác định chính xác tình trạng của mình thì bạn nên đến thăm khám tại một trung tâm nha khoa uy tín. Tại đây, các Bác sĩ sẽ khám tổng quát và tư vấn cho bạn cách điều trị phù hợp.
Với đội ngũ Bác sĩ giỏi, giàu kinh nghiệm cùng hệ thống máy móc, trang thiết bị hiện đại, Nha khoa Nhân Tâm chính là địa chỉ điều trị các bệnh về răng được đông đảo khách hàng tin tưởng lựa chọn.
Đến với Nhân Tâm, bạn sẽ được thăm khám một cách kỹ lưỡng và tư vấn cụ thể về tình trạng ê buốt răng của mình, từ đó điều trị triệt để, giúp bạn loại bỏ được những khó chịu về răng và có thể ăn nhai, nói chuyện một cách thoải mái.
Nếu còn bất kỳ thắc mắc nào cần được giải đáp, hãy liên hệ ngay đến Nha khoa Nhân Tâm để được các chuyên gia tư vấn chi tiết và hoàn toàn miễn phí.



