Chụp X-quang răng có hại gì không là câu hỏi được nhiều khách hàng quan tâm. Trong nha khoa, lượng tia X sử dụng để chụp X-quang răng là cực kỳ nhỏ và luôn được kiểm soát chặt chẽ để đảm bảo an toàn cho khách hàng. Vì thế không hề gây hại cho sức khỏe.
Tuy nhiên, phụ nữ mang thai cần thông báo cho bác sĩ trước khi thực hiện chụp X-quang. Trong trường hợp bắt buộc phải chụp X-quang, nhân viên y tế sẽ sử dụng các dụng cụ bảo vệ chuyên dụng để che chắn và bảo vệ thai nhi khỏi tia bức xạ X.
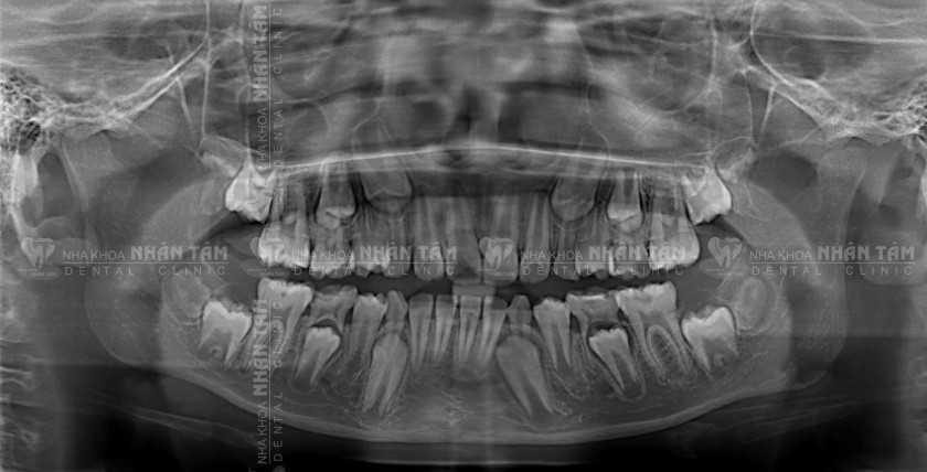
Chụp X-quang răng là gì?
Chụp X-quang là một kỹ thuật chẩn đoán hình ảnh sử dụng tia X để ghi lại hình ảnh bên trong cơ thể. Trong nha khoa, chụp X-quang răng giúp bác sĩ nhìn thấy cấu trúc bên trong răng, xương hàm, và các mô mềm xung quanh, nhằm phát hiện những vấn đề không thể quan sát bằng mắt thường.
Chụp X-quang răng là một quy trình được sử dụng phổ biến trong nha khoa, giúp chẩn đoán các bệnh lý như sâu răng, viêm nướu, tiêu xương hàm, răng khôn mọc lệch, u nang, hoặc tình trạng răng trước khi niềng…

Chụp X-quang răng là một quy trình được sử dụng phổ biến trong nha khoa
Mô phỏng quy trình chụp X-quang răng
Quy trình chụp X-quang răng thường sẽ diễn ra như sau:
- Trước khi chụp: Trước khi chụp X-quang, khách hàng được yêu cầu tháo bỏ trang sức kim loại, kính, và các vật dụng có thể gây nhiễu hại đến chất lượng hình ảnh. Bên cạnh đó, khách hàng cần phải đeo áo chì để bảo vệ cơ thể khỏi tia X. Bác sĩ hướng dẫn khách hàng cách cắn vào tấm phim hoặc cảm biến trong miệng.
- Trong khi chụp: Máy X-quang sẽ bao quanh đầu để cho ra những hình ảnh bên trong khoang miệng. Hình ảnh X-quang sẽ hiển thị trên màn hình máy tính hoặc lên phim chứa tia X. Toàn bộ quy trình chỉ mất vài phút, không gây khó chịu cho khách hàng.
- Sau khi chụp: Sau khi kết thúc quá trình chụp X-quang, bạn có thể phải chờ từ 5 - 10 phút để xử lý hình ảnh sau khi chụp. Bác sĩ sẽ phân tích hình ảnh và chẩn đoán tình trạng răng. Nếu có vấn đề, bác sĩ sẽ đề xuất phương pháp điều trị thích hợp.

Khách hàng cần phải đeo áo chì để bảo vệ cơ thể khỏi tia X khi chụp X-quang
Tại sao phải chụp X-quang răng?
Chụp X-quang răng là một kỹ thuật hình ảnh quan trọng trong nha khoa. Dưới đây là các lý do cụ thể vì sao việc chụp X-quang là cần thiết trong quá trình khám và điều trị:
- Phát hiện sớm các bệnh lý răng miệng tiềm ẩn: X-quang giúp bác sĩ phát hiện các tổn thương như sâu răng ở những vị trí khó quan sát, viêm tủy, áp xe chân răng, nang xương hàm hoặc tổn thương xương do nhiễm trùng.
- Đánh giá tình trạng răng trước khi thực hiện các thủ thuật: Trước khi niềng răng, trồng răng Implant hoặc làm răng sứ, bác sĩ cần chụp X-quang để phân tích cấu trúc xương hàm, xác định vị trí chân răng và khoảng trống giữa các răng. Điều này giúp lập kế hoạch điều trị chi tiết và chính xác, đảm bảo hiệu quả lâu dài.
- Xác định vị trí và tình trạng răng khôn: Đối với răng khôn mọc lệch, mọc ngầm hoặc có nguy cơ ảnh hưởng đến răng kế cận, hình ảnh X-quang sẽ giúp bác sĩ đánh giá mức độ phức tạp, từ đó đưa ra phương án nhổ răng an toàn, đặc biệt là khi răng nằm gần dây thần kinh hàm dưới.

Chụp X-quang mang đến nhiều lợi ích trong nha khoa
- Theo dõi tiêu xương và bệnh nha chu: Chụp X-quang giúp bác sĩ nhận biết tình trạng tiêu xương ổ răng – một biểu hiện của viêm nha chu nặng. Nhờ đó có thể đánh giá mức độ tiến triển của bệnh và lên phác đồ điều trị phù hợp.
- Giúp kiểm tra hiệu quả điều trị: Sau các ca điều trị như trám răng, lấy tủy, cấy ghép Implant,… hình ảnh X-quang giúp bác sĩ theo dõi sự hồi phục và đảm bảo không có biến chứng xảy ra.
Xem thêm: Bỏ túi ngay 10 cách giảm đau răng nhanh nhất
Chụp X-quang răng nhiều lần có ảnh hưởng đến sức khỏe không?
Tia X tuy có khả năng gây tác động đến cơ thể nếu tiếp xúc với cường độ cao trong thời gian dài. Nhưng trong nha khoa, liều lượng tia sử dụng khi chụp X-quang răng là rất nhỏ – chỉ bằng một phần rất nhỏ so với ngưỡng có thể gây hại. Bên cạnh đó, công nghệ X-quang hiện đại luôn đi kèm với các biện pháp kiểm soát nghiêm ngặt, đảm bảo lượng phóng xạ luôn ở mức an toàn tuyệt đối cho khách hàng.
Trên thực tế, mức phơi nhiễm khi chụp X-quang nha khoa thấp hơn nhiều lần so với lượng bức xạ tự nhiên mà cơ thể bạn tiếp nhận mỗi ngày từ môi trường sống – chẳng hạn như ánh nắng mặt trời hoặc các thiết bị điện tử.
Nhiều nghiên cứu y khoa uy tín đã khẳng định rằng việc chụp X-quang răng – kể cả khi cần thực hiện nhiều lần trong năm – hoàn toàn không gây ảnh hưởng tiêu cực đến sức khỏe. Ngay cả với phụ nữ mang thai, trong những trường hợp đặc biệt cần thiết, bác sĩ vẫn có thể chỉ định chụp X-quang răng với các biện pháp bảo vệ kỹ lưỡng như áo chì chắn tia, đảm bảo an toàn cho cả mẹ và thai nhi.

Chụp X-quang với các biện pháp kiểm soát nghiêm ngặt sẽ không gây hại cho sức khỏe
Bên cạnh đó, quy trình chụp X-quang hiện nay được thực hiện trong thời gian rất ngắn, cường độ tia thấp, và luôn có hệ thống cách ly tia tán xạ trong phòng chụp (vách chì, áo bảo hộ…) giúp hạn chế tối đa việc phơi nhiễm tia X không cần thiết.
Tóm lại, bạn hoàn toàn có thể yên tâm khi chụp X-quang răng theo chỉ định của bác sĩ, vì đây là kỹ thuật chẩn đoán hình ảnh an toàn, hiệu quả và được áp dụng rộng rãi trong nha khoa hiện đại.
Những điều cần lưu ý khi chụp X-quang răng
Mặc dù chụp X-quang răng là một kỹ thuật nhanh chóng, đơn giản và an toàn, vẫn có một số đối tượng cần được lưu ý đặc biệt để đảm bảo quá trình thực hiện không gây ảnh hưởng đến sức khỏe. Dưới đây là những điểm cần quan tâm trước khi tiến hành chụp X-quang răng.
Phụ nữ mang thai có nên chụp X-quang răng không?
Trong thời gian mang thai, nếu cần thực hiện chụp X-quang răng, thai phụ nên thông báo trước với bác sĩ để được tư vấn kỹ lưỡng. Dù tia X trong nha khoa có năng lượng rất thấp và chỉ tập trung ở vùng hàm mặt, nhưng để đảm bảo sự an toàn tuyệt đối cho thai nhi, bác sĩ thường chỉ định chụp khi thực sự cần thiết.
Khi việc chụp là không thể trì hoãn, đội ngũ y tế sẽ trang bị áo chì hoặc yếm chì cho thai phụ nhằm che chắn toàn bộ vùng bụng, giúp bảo vệ thai nhi khỏi tia bức xạ. Với những biện pháp phòng ngừa kỹ lưỡng như vậy, việc chụp X-quang răng vẫn có thể thực hiện một cách an toàn.

Phụ nữ mang thai khi chụp X-quang cần thông báo trước cho bác sĩ
Trẻ em có chụp X-quang răng được không?
Chụp X-quang răng ở trẻ em thường được chỉ định trong các trường hợp kiểm tra răng mọc sai lệch, theo dõi tiến trình mọc răng sữa hoặc răng vĩnh viễn, và phát hiện sớm tình trạng sâu răng hoặc dị dạng răng miệng. Để giảm thiểu tối đa tác động của tia X đến sức khỏe, trẻ sẽ được bảo vệ bằng áo chì chuyên dụng trong suốt quá trình chụp.
Đặc biệt, trẻ trong độ tuổi từ 5–6 tuổi là giai đoạn quan trọng khi các răng vĩnh viễn bắt đầu mọc. Việc chụp X-quang ở giai đoạn này giúp bác sĩ theo dõi hướng mọc răng và phát hiện sớm các bất thường để có kế hoạch điều chỉnh kịp thời.
Bao lâu nên chụp X-quang răng một lần?
Tần suất chụp X-quang răng phụ thuộc vào độ tuổi và tình trạng răng miệng cụ thể của từng người:
- Người lớn: nên chụp X-quang mỗi 2–3 năm nếu không có vấn đề nghiêm trọng.
- Thanh thiếu niên: mỗi 1,5–3 năm tùy vào nhu cầu chỉnh nha hoặc các bất thường răng hàm.
- Trẻ em: khoảng 1–2 năm/lần để theo dõi sự phát triển răng.
Đối với những trường hợp có nguy cơ sâu răng cao hoặc đang điều trị các vấn đề phức tạp, thời gian chụp sẽ được rút ngắn:
- Người lớn có nguy cơ sâu răng: 6 tháng đến 1,5 năm/lần.
- Trẻ em có nguy cơ sâu răng: 6–12 tháng/lần.

Chụp X-quang răng cho trẻ giúp bác sĩ theo dõi hướng mọc răng
Đặc biệt, ở những trẻ đang trong giai đoạn chuyển tiếp từ răng sữa sang răng vĩnh viễn, việc chụp X-quang định kỳ sẽ giúp bác sĩ đưa ra phương án điều trị hoặc chỉnh nha sớm, giúp hàm răng phát triển đều và đúng hướng.
Tóm lại, chụp X-quang răng là một phương pháp an toàn, giúp phát hiện và điều trị các bệnh lý răng miệng hiệu quả. Tuy nhiên, cần tuân thủ chỉ định của bác sĩ nha khoa và áp dụng các biện pháp bảo vệ để đảm bảo an toàn tuyệt đối.
*Chụp phim X-Quang hoặc phim 3 chiều CT Cone Beam là một bước quan trọng trong quy trình điều trị phục hồi răng. Vì vậy Khách hàng sẽ được Bác sĩ của nha khoa Nhân Tâm chỉ định đến các cơ sở y tế đủ chức năng để thực hiện trước khi điều trị.



