Viêm nướu răng cửa là tình trạng nướu răng cửa bị kích ứng, đỏ và sưng (viêm) nướu, Điều quan trọng là tiến hành thăm khám và điều trị kịp thời để tránh trường hợp bệnh viêm nướu răng tiến triển nghiêm trọng hơn dẫn đến viêm nha chu và mất răng.
Nguyên nhân dẫn đến viêm nướu răng cửa
Nguyên nhân phổ biến nhất của viêm nướu răng cửa là vệ sinh răng miệng kém, tạo điều kiện cho mảng bám hình thành trên răng, gây viêm các mô nướu xung quanh.
Bên cạnh đó, các nguyên nhân khác cũng làm tăng nguy cơ viêm nướu bao gồm hút thuốc lá, khô miệng, thiếu dinh dưỡng, thay đổi nội tiết tố trong thai kỳ, tác dụng phụ của một số loại thuốc…

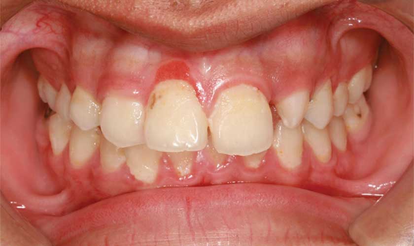
Viêm nướu răng cửa
Quá trình hình thành viêm nướu răng như sau:
Đầu tiên là sự xuất hiện của mảng bám trên răng. Mảng bám là một màng dính chứa vi khuẩn, là sự tích tụ của các thức ăn thừa không được làm sạch. Thức ăn thừa bị vi khuẩn phân hủy tạo thành một lớp màng dính quanh răng và nướu. Đây là cách hình thành mảng bám.
Sau một thời gian, mảng bám sẽ dính chặt và bị vôi hóa, cứng lại dưới đường viền nướu tạo thành vôi răng. Vôi răng làm cho mảng bám khó loại bỏ hơn, tạo lá chắn bảo vệ cho vi khuẩn và gây kích ứng nướu khiến cho nướu bị viêm.
Theo thời gian, nướu bị viêm sẽ bị sưng và dễ chảy máu. Sâu răng (sâu răng) cũng có thể xảy ra. Nếu không được điều trị, viêm nướu có thể tiến triển thành viêm nha chu và cuối cùng là mất răng.

Vôi răng là nguyên nhân chính gây viêm nướu
Cách điều trị viêm nướu răng cửa
Viêm nướu răng cửa hoàn toàn có thể được điều trị dứt điểm tại phòng khám nha khoa. Tùy theo tình trạng viêm nướu mà Bác sĩ sẽ có các phương pháp điều trị phù hợp.
- Đối với viêm nướu nhẹ, không kèm theo các bệnh lý răng miệng khác thì chỉ cần cạo vôi răng để loại bỏ vôi răng – tác nhân gây viêm nướu là có thể chấm dứt tình trạng sưng, đau nướu.

Cạo vôi răng điều trị viêm nướu
- Đối với trường hợp viêm nướu đi kèm với các bệnh lý khác như sâu răng, viêm tủy răng… thì sẽ cần các phương pháp chữa trị chuyên sâu tùy theo bệnh lý, kết hợp với cạo vôi răng để loại bỏ tình trạng viêm nướu, cho hàm răng chắc khỏe.
- Với trường hợp viêm nướu gây nhiễm trùng nặng, áp-xe răng thì cần điều trị ổ áp-xe kết hợp uống thuốc theo đơn của Bác sĩ để kháng viêm, tiêu diệt vi khuẩn gây viêm nhiễm.
Phòng ngừa viêm nướu răng cửa
1. Vệ sinh răng miệng đúng cách
Đánh răng trong hai phút bằng bàn chải lông mềm, ít nhất hai lần mỗi ngày - vào buổi sáng và trước khi đi ngủ, kết hợp dùng chỉ nha khoa ít nhất một lần một ngày.
Tốt hơn hết, hãy chải răng sau mỗi bữa ăn chính hoặc bữa ăn nhẹ hoặc theo khuyến nghị của bác sĩ. Dùng chỉ nha khoa trước khi chải răng sẽ giúp làm sạch các mảnh thức ăn và vi khuẩn còn sót lại.

Vệ sinh răng miệng đúng cách để phòng ngừa viêm nướu răng cửa
2. Thăm khám nha khoa định kỳ
Thăm khám nha khoa định kỳ 6 tháng/ lần để vệ sinh và cạo vôi răng. Nếu bạn có các yếu tố làm tăng nguy cơ phát triển bệnh nha chu - chẳng hạn như bị khô miệng, dùng một số loại thuốc hoặc hút thuốc thì bạn cần đến bác sĩ chuyên khoa để vệ sinh răng thường xuyên hơn.
Các Bác sĩ khuyến cáo nên chụp phim X-quang răng 1 lần/ năm để giúp xác định các bệnh mà khám răng trực quan không phát hiện được và theo dõi những thay đổi về sức khỏe răng miệng của bạn.

Thăm khám nha khoa định kỳ giúp phòng ngừa hiệu quả viêm nướu răng
3. Chế độ ăn uống khoa học
Ăn uống đầy đủ dinh dưỡng, tăng cường rau xanh và các loại thực phẩm tốt cho răng như thịt, cá, trứng, sữa, phô mai… Hạn chế ăn vặt và tiêu thụ các loại thực phẩm chứa nhiều đường, thực phẩm dai - cứng - dễ bám dính. Uống đủ nước mỗi ngày. Hạn chế nước ngọt có ga và thức uống chứa cồn.
Viêm nướu răng cửa là vấn đề răng miệng thường gặp ở mọi lứa tuổi. Nếu nhận thấy dấu hiệu của bệnh viêm nướu, hãy tìm một phòng phòng khám nha khoa gần nhất uy tín để thăm khám và điều trị sớm để tránh tình trạng nha chu gây mất răng bạn nhé!




