Đau răng có thể xảy ra vì nhiều lý do và đôi khi có thể phục hồi dễ dàng chỉ với chế độ chăm sóc răng khoa học. Thế nhưng, đau răng bị sưng má có nhiều khả năng là dấu hiệu của một vấn đề răng miệng nghiêm trọng.
Nếu bạn bị đau răng sưng má, điều quan trọng là phải gặp Bác sĩ nha khoa càng sớm càng tốt để thăm khám, tìm ra nguyên nhân và điều trị tận gốc vấn đề gặp phải.
Dấu hiệu đau răng bị sưng má
Có nhiều lý do dẫn đến đau răng với mức độ đau từ nhẹ đến đau dữ dội. Khi bị đau răng, bệnh nhân cảm thấy đau liên tục, đau ngắt quãng hoặc chỉ đau khi cắn hay nhai tùy theo tình trạng của bệnh. Có thể đau một hoặc nhiều răng, đau lan đến hàm, tai hoặc đầu.
Sưng (viêm) ảnh hưởng đến nướu, các mô mềm khác trong miệng hoặc có thể ở hàm hoặc mặt. Các triệu chứng liên quan khác có thể bao gồm răng nhạy cảm và chảy máu nướu răng.
Đau răng thường đi kèm với các tình trạng sưng ở nướu hoặc các mô mềm khác trong miệng, sưng hàm hoặc sưng mặt.

Đau răng bị sưng má
Các dấu hiệu khác bao gồm chảy dịch (máu, mủ) ở răng, co cứng hàm, khó thở, khó nuốt, khó giao tiếp và sốt. Nếu bạn có bất kỳ triệu chứng nào trong số này, hãy đặt lịch hẹn khẩn cấp với nha sĩ hoặc đến phòng cấp cứu gần nhất.
Nguyên nhân gây đau răng bị sưng má là gì?
Có rất nhiều nguyên nhân gây đau răng bị sưng má, bao gồm:
- Sâu răng: vi khuẩn ăn mòn men răng, phá hủy cấu trúc răng và tạo thành những lỗ hổng trên bề mặt răng, đi từ sâu men răng đến sâu ngà răng và sâu tủy răng.
- Bệnh nướu răng: nếu viêm nướu phát triển thành bệnh nướu răng nghiêm trọng hơn, điều này có thể khiến nướu bị tụt và răng bị đau và lung lay.
- Nhiễm trùng chân răng: nếu sâu răng hoặc tổn thương khác gây viêm tủy thì sẽ gây đau răng nghiêm trọng và dẫn đến ê buốt răng, sốt, sưng hàm, sưng má.
- Răng bị vỡ mẻ hoặc nứt: chấn thương ở răng có thể gây đau, nhạy cảm và khiến răng dễ bị nhiễm trùng, dẫn đến sưng tấy.
- Áp-xe răng: sâu răng nghiêm trọng hoặc bệnh nướu răng có thể gây áp-xe răng, gây cảm giác đau đớn, khu vực má bị sưng to.
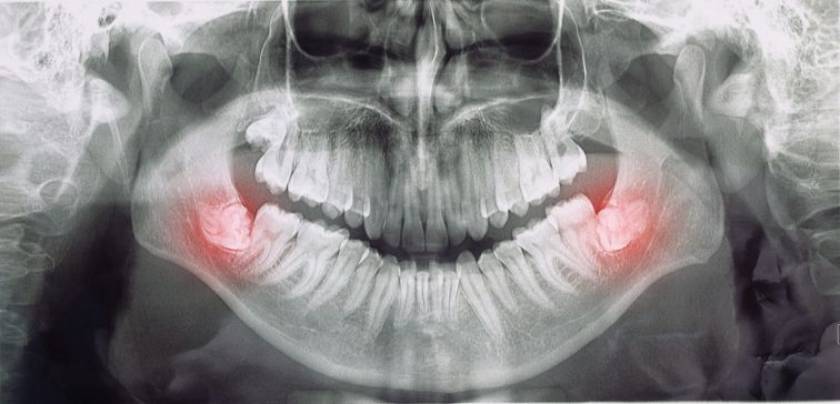
- Răng khôn: răng khôn bị sâu, răng khôn bị kẹt (mọc) bên trong nướu có thể gây đau và cũng gây sưng tấy Nghiến răng: thói quen nghiến răng khi ngủ sẽ tạo áp lực lên răng và khiến răng bị đau.
- Nhiễm trùng xoang: Nhiễm trùng xoang có thể gây ra tình trạng đau răng sưng má, đặc biệt là các răng vùng hàm trên.

Mọc răng khôn có thể gây đau răng sưng má
Đau răng và sưng tấy điều trị như thế nào?
Nếu bạn bị sưng ở miệng, mặt hoặc hàm, hãy đến nha khoa uy tín để gặp Bác sĩ càng sớm càng tốt. Điều này có thể là dấu hiệu của nhiễm trùng, nếu không điều trị sẽ khiến tình trạng trở nên trầm trọng hơn, cũng như khiến bạn cảm thấy khó chịu kéo dài.
Bác sĩ sẽ kiểm tra miệng của bạn để xem có thể phát hiện bất kỳ dấu hiệu nào của vấn đề hay không. Việc chụp phim X-quang là cần thiết để chẩn đoán hoặc loại trừ các vấn đề như nhiễm trùng răng hoặc áp-xe răng.

Thăm khám bệnh nhân đau răng tại Nha khoa Nhân Tâm
Sau khi hoàn tất việc kiểm tra, Bác sĩ sẽ đưa ra các phương pháp điều trị thích hợp với bạn. Tùy thuộc vào nguyên nhân gây đau răng bị sưng má, bạn có thể cần thực hiện những điều trị sau:
- Nạo bỏ mô răng sâu và phục hình bằng trám răng, hay bọc răng sứ.
- Điều trị tủy răng bị nhiễm trùng.
- Cạo vôi răng, điều trị viêm nướu, viêm nha chu.
- Thay thế các miếng trám hoặc mão răng bị hỏng. Dẫn lưu áp-xe.
- Dùng thuốc kháng sinh điều trị nhiễm trùng.
- Nhổ răng khôn.
- Sử dụng máng chống nghiến.
- Điều trị viêm khớp thái dương hàm.
- Nếu răng bị tổn thương nặng không thể giữ thì cần nhổ răng và phục hình bằng phương pháp răng giả tháo lắp, cầu răng sứ hoặc cấy ghép răng Implant.
Sau khi chữa đau răng bị sưng má, bệnh nhân cần thực hiện tốt những hướng dẫn của Bác sĩ như duy trì vệ sinh răng miệng đúng cách, dùng chỉ nha khoa và nước súc miệng, hạn chế hút thuốc lá,… Để tư vấn thêm về các vấn đề răng miệng khác, bạn vui lòng liên hệ cho chuyên gia qua Hotline 1900565678.



