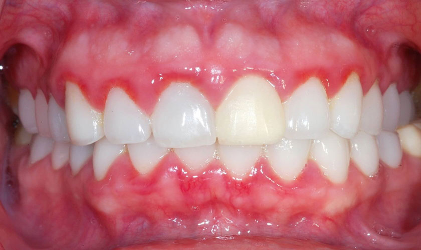
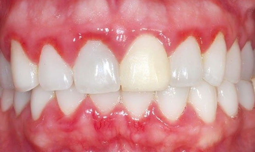
Bệnh viêm nướu răng (hay viêm lợi) là tình trạng xuất hiện những vết sưng đỏ, có mảng bám và rất dễ chảy máu ở nướu
Có hai loại viêm nướu là: viêm nướu răng và viêm nha chu. Viêm nướu là tình trạng viêm răng nhẹ, khi tiến triển nặng do răng miệng không được chăm sóc thích hợp thì được gọi là viêm nha chu.
Bệnh viêm nướu không nguy hiểm và có thể điều trị triệt để ở ngay giai đoạn đầu của bệnh
Nguyên nhân gây viêm nướu
Nguyên nhân viêm nướu thường gặp nhất là do khách hàng vệ sinh răng miệng kém. Khi hệ miễn dịch suy yếu, các mảng bám bao gồm chủ yếu là vi khuẩn sẽ hình thành trên răng. Nếu các mảng bám trên răng nếu không được loại bỏ trong hơn hai đến ba ngày thì sẽ tạo thành vôi răng (cao răng). Từ đó, các mảng bám và cao răng chính là điều kiện thuận nướu kích thích vi khuẩn phát triển gây bệnh viêm nướu.
Ngoài ra còn có một số nguyên nhân gây bệnh khác như:
- Sử dụng thuốc lá dẫn tới viêm nướu
- Những thay đổi nội tiết tố của phụ nữ mang thai hay sau khi sinh
- Một số bệnh như đái tháo đường, ung thư,… khiến hệ miễn dịch suy yếu cũng dẫn tới viêm nướu
- Do tác dụng phụ của một số thuốc như thuốc kháng histamin, thuốc chống trầm cảm,… là nguyên nhân làm giảm tiết nước bọt (thành phần có vai trò làm sạch vi khuẩn) tạo điều kiện cho vi khuẩn phát triển

Nguyên nhân nào gây bệnh viêm nướu?
Triệu chứng bệnh viêm nướu
- Bệnh viêm nướu thường ít khi đau vì vậy khách hàng có thể bị viêm mà không biết. Các dấu hiệu và triệu chứng viêm nướu có thể có là:
- Nướu răng sưng húp, mềm
- Nướu teo rút
- Nướu răng chảy máu một cách dễ dàng khi dùng bàn chải đánh răng hoặc chỉ nha khoa, có thể nhận biết qua màu đỏ hoặc hồng trên bàn chải hay chỉ nha khoa
- Sự thay đổi màu sắc nướu răng từ một màu hồng khỏe mạnh đến nâu sẫm đỏ
- Có thể thường xuyên bị loét miệng
- Hơi thở có mùi hôi
- Có cảm giác đau khi nha
- Nếu không điều trị viêm nướu thì bệnh có thể tiến triển lây lan đến các mô cơ và xương (nha chu) và có thể dẫn đến mất răng
Đối tượng của bệnh viêm nướu
Viêm nướu rất phổ biến trong cộng đồng và bất kì ai cũng có thể gặp. Tuy nhiên có một số đối tượng nguy cơ bị viêm nướu nhiều hơn là:
- Người có thói quen bảo vệ sức khỏe răng miệng kém
- Người hút thuốc lá, bia rượu
- Người lớn tuổi
- Người mắc các bệnh như: tiểu đường, HIV, nhiễm virus hoặc nấm
- Phụ nữ mang thai hoặc sau khi sinh có sự thay đổi nội tiết tố
- Người có chế độ dinh dưỡng kém
Xem thêm: Nguyên nhân và cách điều trị răng ê buốt nhưng không sâu
Các giai đoạn của bệnh viêm nướu
Viêm nướu cục bộ
Đây là giai đoạn không gây nhiều đau đớn cho khách hàng.
Dấu hiệu nhận biết: nướu sưng phồng đỏ và có thể chảy máu khi có tác động, nhất là lúc đánh răng. Giai đoạn này bệnh chưa ảnh hưởng đến chân răng và các tổ chức quanh răng. Người bị viêm nướu cục bộ rất dễ được chữa trị nhưng cũng dễ dàng tái phát.
Viêm cận răng

Viêm nướu cục bộ không được điều trị sẽ chuyển sang viêm cận răng
Khi nướu đã bị viêm mà không chữa trị và chăm sóc răng miệng đúng cách, lớp nướu bên trong cùng với xương hàm bị đẩy lùi ra phía sau, tạo thành những lỗ hổng quanh răng. Những khoảng trống nhỏ giữa răng và nướu là nơi tích tụ các mảnh vụn thức ăn bị giắt vào và có thể gây nhiễm khuẩn.
Khi vôi răng tích tụ ngày càng nhiều dưới vòm lợi, hệ thống miễn dịch của cơ thể lại càng phải gắng sức chiến đấu chống lại vi khuẩn. Và các độc tố kháng vi khuẩn và các chất enzym trong cơ thể được sản sinh ra sẽ dần phá hủy hàm và các mô liên kết (những mô này có tác dụng định vị, giữ cho răng chắc).
- Dấu hiệu nhận biết : nướu bị viêm sưng đỏ, chảy máu gây đau nhức, sưng má, răng miệng có mùi hôi khó chịu.
- Tác hại : nướu sẽ bị tụt xuống làm chân răng lộ ra, trông rất xấu. Khi bệnh nặng, những lỗ hổng sẽ to và sâu, nướu và xương hàm dần bị phá hủy càng nặng, răng không còn chỗ bám nữa sẽ trở nên lỏng lẻo dẫn đến răng bị rụng ra
Phòng bệnh viêm nướu chuyển biến sang bệnh nha chu

Cách phòng chống bệnh về nướu
Để tránh lây lan đến người khác thì người bị bệnh viêm nướu cần tuân thủ 2 nguyên tắc:
- Điều trị bệnh viêm nướu cho bản thân
- Chủ động phòng tránh lây lan bệnh cho người khác.
Việc quan trọng nhất mà người mắc bệnh viêm nướu cần thực hiện để thoát khỏi tình trạng này là vệ sinh răng miệng thật tốt bằng việc đánh răng đúng cách và dùng chỉ nha khoa ít nhất 2 lần/ngày
Bổ sung vitamin cho nướu tốt hơn. Vitamin C giúp vết thương lành nhanh hơn và giải quyết triệt để những vấn đề chảy máu chân răng, bên cạnh việc phòng bệnh trên thì việc khám răng định kỳ 6 tháng/1 lần tại các phòng khám nha khoa sẽ giúp cho việc phát hiện bệnh sớm và điều trị kịp thời.
Tuy rằng bệnh viêm nướu ít lây nhiễm giữa người với người, nhưng đến giai đoạn sau của bệnh là giai đoạn viêm nha chu, thì việc lây nhiễm là hoàn toàn có thể. Hơn nữa còn có khả năng di truyền bệnh viêm nướu giữa các thế hệ.




