Áp xe răng là một tình trạng nhiễm trùng răng nghiêm trọng có thể dẫn đến nhiều biến chứng nguy hiểm nếu không được phát hiện và điều trị kịp thời. Bản chất của áp xe răng là sự tích tụ mủ nhiễm khuẩn ở chân răng, gây sưng viêm và đau đớn cho người bệnh. Bên cạnh các triệu chứng khó chịu, áp xe chân răng có thể gây ra nhiều biến chứng nghiêm trọng ảnh hưởng đến sức khỏe.
Áp xe răng là gì?
Áp xe răng là tình trạng răng bị sưng đau, có dấu hiệu tụ mủ, máu và chảy dịch ra ngoài. Đây là một bệnh lý nhiễm trùng do sâu răng, viêm nướu hay viêm nha chu gây ra. Ngoài ra, những tác động từ bên ngoài khiến răng bị nứt, vỡ cũng tạo điều kiện cho vi khuẩn phát triển và gây nên hiện tượng áp xe. Nếu không điều trị kịp thời, người bệnh có thể bị nhiễm trùng nặng hơn ở răng, xương hàm và những mô xung quanh.

Áp xe răng là một bệnh lý nguy hiểm trong nha khoa
Tình trạng áp xe răng phát triển vô cùng nhanh chóng. Chỉ sau khoảng 1 - 2 ngày, bệnh sẽ tiến triển mạnh mẽ và hình thành nên các ổ viêm nhiễm trong vùng răng bị tổn thương. Bệnh lý này có thể xuất hiện ở mọi đối tượng, từ trẻ em đến người trưởng thành và cả người lớn tuổi.
Áp xe chân răng có mấy loại?
Tùy vào từng nguyên nhân gây bệnh, sau khi thăm khám, bác sĩ sẽ xác định được tình trạng bệnh thuốc 1 trong 2 trường hợp sau đây:
Áp xe quanh thân răng
Áp xe quanh thân răng, còn được gọi là áp xe quanh chóp răng, được hình thành do sâu răng không được điều trị đúng cách và kịp thời, dẫn đến hoại tử răng và tủy.
Nhiễm trùng ở vùng chóp răng có thể lan theo nhiều hướng, gây tổn thương đến xương răng, vỏ xương hàm và cuối cùng là màng xương. Tình trạng này nếu kéo dài sẽ vô cùng nguy hiểm, có thể gây áp xe tạo túi mủ, viêm nhiễm lan đến sàn miệng, ngách hành lang…

Áp xe răng có thể gặp ở bất kỳ ai
Áp xe nha chu
Áp xe nha chủ xảy ra do sự phá hủy mô nha chu của một loại vi khuẩn đặc biệt tạo thành. Vi khuẩn này thường tồn tại trong các mảng bám, vụn thức ăn, gây viêm nhiễm và hình thành các túi mủ nha chu.
Nguyên nhân gây áp xe răng
Áp xe chân răng do rất nhiều nguyên nhân gây nên, trong đó phổ biến với các nguyên nhân như:
Vệ sinh răng miệng kém
Vệ sinh răng miệng kém là một trong những nguyên nhân phổ biến gây ra tình trạng áp xe răng. Vệ sinh răng miệng không kỹ lưỡng hoặc sai cách sẽ khiến các vụn thức ăn và mảng bám đọng lại trên răng, tạo điều kiện cho vi khuẩn sinh sôi nảy nở và tấn công khoang miệng, gây ra tình trạng áp xe răng và hàng loạt các biến chứng nguy hiểm khác.
Bệnh lý răng miệng
Nếu bạn mắc các bệnh lý răng miệng như sâu răng, viêm nướu, viêm tủy, viêm nha chu… nhưng không được điều trị kịp thời, thì có thể tiến triển nặng và gây áp xe chân răng.

Sâu răng là nguyên nhân hàng đầu dẫn đến áp xe
Bệnh lý cơ thể
Một số bệnh lý như tiểu đường, tim mạch, suy thận… sẽ làm cho hệ miễn dịch bị suy yếu. Từ đó, vi khuẩn sẽ tấn công vào cơ thể và phát triển thành áp xe chân răng.
Chế độ ăn uống không hợp lý
Việc ăn quá nhiều những thực phẩm nhiều đường cũng là nguyên nhân phổ biến dẫn đến áp xe chân răng. Các thực phẩm nhiều đường sẽ khiến các ổ sâu răng phát triển rất nhanh, vi khuẩn sẽ lây lan xuống lợi và dẫn đến áp xe răng.
Xem thêm: Viêm họng cấp là gì? Nguyên nhân và cách điều trị thế nào?
Dấu hiệu nhận biết áp xe chân răng
Áp xe chân răng nếu không được điều trị sẽ gây ảnh hưởng rất nhiều đến việc ăn uống, sinh hoạt cũng như chất lượng cuộc sống. Do đó, bạn cần nhận biết sớm các dấu hiệu của áp xe răng để có cách điều trị phù hợp.
- Răng bị đau nhức, chỉ nhai nhẹ hoặc uống nước thôi cũng thấy những cơn đau nhẹ.
- Răng trở nên nhạy cảm, dễ bị ê buốt, nhất là khi ăn uống các thức ăn quá lạnh, quá nóng.
- Miệng có mùi hôi, khó chịu, chảy máu chân răng hoặc dịch mủ cho dù mới vệ sinh răng miệng xong.
- Nướu tại vị trí răng bị áp xe bị sưng tấy, chuyển sang màu trắng bợt hay đỏ sẫm như máu.
- Cơ thể mệt mỏi, nóng sốt, có trường hợp còn bị nổi hạch ở cổ.

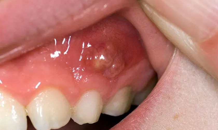
Hình thành túi mủ ở nướu răng
Áp xe răng có nguy hiểm không?
Các chuyên gia cho biết, áp xe răng là một trong những bệnh vô cùng nguy hiểm trong nha khoa. Bệnh lý này nếu không được điều trị nhanh chóng sẽ dẫn đến những tình trạng nguy hiểm như:
Nhiễm trùng lan rộng
Vi khuẩn từ ổ áp xe có thể lan rộng đến các mô xung quanh, từ đó gây nhiễm trùng nghiêm trọng ở nướu, xương hàm và các cấu trúc miệng lân cận. Thậm chí nhiễm trùng còn có thể lan ra vùng cổ và mặt, gây sưng đau và ảnh hưởng đến ăn uống, sinh hoạt hàng ngày.
Nhiễm trùng huyết
Nhiễm trùng huyết là một biến chứng rất nguy hiểm. Nếu vi khuẩn từ ổ áp xe xâm nhập vào màu thì có thể gây nhiễm trùng toàn thân, hay còn gọi là nhiễm trùng huyết. Tình trạng này có thể gây đe dọa đến tính mạng và cần phải được điều trị khẩn cấp.

Áp xe răng nếu không được điều trị kịp thời sẽ gây nên nhiều biến chứng khôn lường
Viêm tủy xương hàm
Vi khuẩn từ áp xe có thể lan đến xương hàm, gây ra tình trạng viêm tủy xương, làm suy yếu cấu trúc xương và có thể khiến răng bị lung lay hoặc gãy rụng.
Mất răng
Khi nhiễm trùng quá nặng và gây tổn thương nghiêm trọng đến mô nướu và xương, răng có thể bị ảnh hưởng và không thể bảo tồn, phải nhổ bỏ. Điều này có thể gây ảnh hưởng đến khả năng nhai và thẩm mỹ của người bệnh.
Điều trị áp xe răng như thế nào?
Để điều trị áp xe răng hiệu quả, bạn nên tìm đến địa chỉ nha khoa uy tín để bác sĩ thăm khám cụ thể. Dựa trên kết quả X-quang, bác sĩ sẽ xác định rõ tình trạng áp xe răng đang ở mức độ nào, từ đó đưa ra phác đồ điều trị phù hợp.
Hiện nay có 2 phương pháp chính để điều trị áp xe răng phổ biến, đó là: điều trị cấp tính và điều trị dứt điểm.
Điều trị cấp tính
Điều trị áp xe chân răng cấp tính là một phương pháp điều trị tạm thời để loại bỏ ổ mủ tại vị trí áp xe. Bác sĩ sẽ tiến hành rạch mở các mô niêm mạc, sau đó hút sạch dịch mủ và loại bỏ ổ vi khuẩn ở bên trong.
Tiếp đó, bác sĩ sẽ vệ sinh vùng vừa điều trị và kê đơn thuốc kháng sinh, kháng viêm cho người bệnh. Phương pháp này không thể điều trị dứt điểm hoàn toàn áp xe răng nhưng sẽ giúp ngăn chặn nhiễm trùng tái phát.

Điều trị áp xe răng cần phải được thực hiện tại địa chỉ uy tín
Điều trị tận gốc
Sau khi điều trị cấp tính, để tránh áp xe răng tái phát, bệnh nhân cần phải thực hiện biện pháp điều trị áp xe răng tận gốc. Bác sĩ sẽ thăm khám và tư vấn cho bệnh nhân nên bảo tồn răng bằng cách chữa viêm tủy, sau đó tiến hành lấp những lỗ hổng, lấy vôi răng, lấy mảnh răng vỡ, trám hoặc bọc răng sứ để tránh những ảnh hưởng về sau.
Trong trường hợp áp xe răng nghiêm trọng và không thể bảo tồn răng, bác sĩ bắt buộc phải nhổ răng, làm sạch mủ để nhiễm trùng không lây lan, làm ảnh hưởng đến những răng lân cận và ảnh hưởng đến khả năng ăn nhai. Sau khi nhổ răng, bạn có thể thực hiện trồng răng Implant để khôi phục răng mất.
Biện pháp phòng ngừa áp xe răng
Để tránh gặp phải tình trạng áp xe răng và hàng loạt những biến chứng nguy hiểm do bệnh lý này gây ra, tốt nhất bạn nên phòng tránh ngay từ đầu bằng những biến pháp như:
- Chải răng ít nhất 2 lần/ngày bằng bàn chải lông mềm, đầu nhỏ và chải nhẹ nhàng theo chiều dọc hoặc vòng xoắn ốc để lấy được hết mảng bám, các thức ăn thừa ở kẽ rằng. Sau mỗi bữa ăn, bạn có thể súc miệng để làm sạch răng, hạn chế vi khuẩn tích tụ.
- Sử dụng chỉ nha khoa để làm sạch các kẽ răng, kết hợp sử dụng nước súc miệng để làm sạch răng miệng một cách toàn diện.

Chăm sóc răng miệng kỹ lưỡng để phòng ngừa áp xe răng
- Khi mắc phải các bệnh răng miệng như sâu răng, viêm nướu, viêm nha chu… hãy nhanh chóng đến nha khoa để được bác sĩ thăm khám và điều trị kịp thời.
- Xây dựng chế độ ăn uống khoa học, bổ sung khoáng chất, vitamin để tăng cường sức đề kháng cho cơ thể. Đồng thời tránh xa những thực phẩm có hại cho sức khỏe răng miệng như đồ ngọt, đồ uống chứa các chất kích thích…
- Thăm khám nha khoa định kỳ 6 tháng/lần để bác sĩ chăm sóc răng miệng và phát hiện, điều trị sớm những bệnh răng miệng nếu có.
Hy vọng rằng những thông tin trên đây đã giúp bạn hiểu rõ hơn về tình trạng áp xe răng là gì. Đây là một dạng nhiễm trùng nặng và nguy hiểm, do đó nếu bạn nhận thấy các dấu hiệu của áp xe răng, cần đến ngay địa chỉ nha khoa uy tín để có biện pháp điều trị phù hợp nhất. Để đặt lịch hẹn khám nhanh nhất, hãy liên hệ ngay đến Nha khoa Nhân Tâm qua số Hotline 1900 56 5678.




