Túi nha chu là khoảng trống hình thành giữa răng và nướu do vi khuẩn tấn công mô nâng đỡ răng, dẫn đến viêm nha chu và nguy cơ mất răng. Bệnh trải qua nhiều giai đoạn từ viêm nướu nhẹ đến tổn thương xương ổ răng nghiêm trọng. Các triệu chứng thường gặp bao gồm nướu sưng đỏ, chảy máu, hôi miệng và răng lung lay.
Việc điều trị túi nha chu có thể bao gồm phương pháp không phẫu thuật như cạo vôi răng, sử dụng thuốc kháng sinh hoặc can thiệp phẫu thuật như nạo túi nha chu, ghép mô nướu và ghép xương. Chi phí điều trị tùy thuộc vào mức độ tổn thương. Để phòng ngừa, cần duy trì vệ sinh răng miệng đúng cách, thăm khám nha khoa định kỳ và có chế độ ăn uống lành mạnh.
Túi nha chu là gì?
Túi nha chu là một khoảng trống hình thành giữa răng và nướu do sự phá hủy mô liên kết và xương nâng đỡ răng. Đây là một trong những dấu hiệu nghiêm trọng của viêm nha chu – bệnh lý ảnh hưởng trực tiếp đến sức khỏe răng miệng và có thể gây mất răng nếu không được điều trị kịp thời.
Khi vi khuẩn từ mảng bám tích tụ lâu ngày, chúng kích thích phản ứng viêm và làm tiêu xương ổ răng, khiến nướu tách khỏi bề mặt răng. Theo thời gian, túi nha chu ngày càng sâu hơn, tạo điều kiện cho vi khuẩn xâm nhập sâu hơn vào mô nướu và gây tổn thương nghiêm trọng.

Túi nha chu là một khoảng trống giữa răng và nướu, hình thành do mảng bám lâu ngày không được loại bỏ
Giai đoạn hình thành túi nha chu
Quá trình hình thành túi nha chu diễn ra qua nhiều giai đoạn khác nhau, từ nhẹ đến nặng:
Giai đoạn 1 – Viêm nướu
Mảng bám tích tụ quanh răng, vi khuẩn sinh sôi làm nướu bị viêm. Khi bị viêm, nướu sẽ bị sưng đỏ, dễ bị chảy máu, nhất là khi chải răng. Tuy nhiên, giai đoạn này thường chưa có tổn thương đến xương.
Giai đoạn 2 – Viêm nha chu nhẹ
Vi khuẩn tiếp tục tấn công, làm mô nướu tách khỏi răng, tạo thành túi nhỏ. Túi nha chu có độ sâu khoảng 4-5mm, bắt đầu ảnh hưởng đến xương ổ răng.
Giai đoạn 3 – Viêm nha chu trung bình đến nặng
Túi nha chu sâu hơn 5mm, vi khuẩn xâm nhập vào chân răng và tiêu hủy xương ổ răng. Lúc này, răng có thể bị lung lay, thậm chí có nguy cơ rụng nếu không điều trị kịp thời.

Quá trình hình thành túi nha chu diễn ra qua nhiều giai đoạn khác nhau
Triệu chứng của túi nha chu
Người mắc túi nha chu có thể gặp một số dấu hiệu sau:
- Nướu sưng đỏ, đau và dễ chảy máu khi đánh răng.
- Hơi thở có mùi hôi kéo dài, dù đã vệ sinh răng miệng kỹ.
- Nướu bị tụt, chân răng dần lộ ra ngoài.
- Xuất hiện mủ giữa răng và nướu.
- Răng lung lay, thưa dần và có thể bị xô lệch.
Xem thêm:
Nguyên nhân hình thành túi nha chu
Có nhiều nguyên nhân và yếu tố làm tăng nguy cơ hình thành túi nha chu, bao gồm:
- Vệ sinh răng miệng kém: Không chải răng đúng cách, không dùng chỉ nha khoa khiến mảng bám tích tụ, tạo điều kiện cho vi khuẩn phát triển.
- Hút thuốc lá: Độc tố trong thuốc lá làm suy yếu hệ miễn dịch, giảm khả năng chống lại vi khuẩn.
- Bệnh lý toàn thân: Tiểu đường, tim mạch, loãng xương làm tăng nguy cơ viêm nha chu.
- Yếu tố di truyền: Một số người có nguy cơ cao mắc bệnh nha chu do yếu tố di truyền.
- Chế độ ăn uống thiếu dinh dưỡng: Thiếu vitamin C, canxi có thể làm nướu yếu đi, dễ bị viêm nhiễm.

Vệ sinh răng miệng sai cách dễ hình thành túi nha chu
Túi nha chu nguy hiểm như thế nào?
Túi nha chu không chỉ gây ảnh hưởng đến sức khỏe răng miệng mà còn liên quan đến nhiều vấn đề sức khỏe toàn thân. Nếu không được điều trị kịp thời, bệnh có thể gây:
- Mất răng: Khi túi nha chu sâu hơn, xương ổ răng bị tiêu biến, răng mất đi điểm tựa và rụng.
- Ảnh hưởng đến hệ tim mạch: Vi khuẩn từ túi nha chu có thể đi vào máu, làm tăng nguy cơ viêm nội tâm mạc và đột quỵ.
- Làm nặng thêm bệnh tiểu đường: Viêm nha chu làm tăng lượng đường trong máu, gây khó khăn trong việc kiểm soát tiểu đường.

Túi nha chu có thể dẫn đến mất răng
Cách điều trị túi nha chu
Việc điều trị túi nha chu cần phụ thuộc vào mức độ tổn thương và tình trạng răng miệng của khách hàng. Hiện nay có hai phương pháp điều trị phổ biến:
Điều trị không phẫu thuật
Với những trường hợp nhẹ hoặc trung bình, túi nha chu có kích thước từ 4 - 5cm, nướu răng không có dấu hiệu sưng viêm hay chảy máu, bác sĩ có thể chỉ định phương pháp như:
- Cạo vôi răng: Bác sĩ sử dụng máy cạo vôi răng siêu âm để loại bỏ mảng bám, vôi răng ra khỏi bề mặt răng và bên dưới nướu, từ đó giúp nướu phục hồi và giảm viêm.
- Đánh bóng răng: Vôi răng khi đã được loại bỏ, bác sĩ sẽ tiến hành đánh bóng răng để làm mịn bề mặt răng, hạn chế tình trạng vôi răng, mảng bám tích tụ. Điều này sẽ giúp thu hẹp khoảng cách giữa mô nướu và bề mặt răng, từ đó giảm kích thước túi.
- Sử dụng thuốc kháng sinh: Bác sĩ có thể chỉ định sử dụng thuốc kháng sinh ở dạng uống hoặc dạng bôi để kiểm soát sự lây nhiễm của vi khuẩn, qua đó giảm khả năng hình thành và phát triển của túi nha chu.

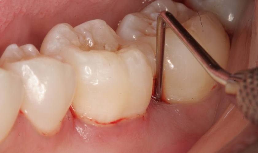
Cạo vôi răng để khôi phục sức khỏe của nướu
Điều trị bằng phẫu thuật
Với các túi nha chu sâu, đi kèm với tình trạng tiêu xương, bác sĩ có thể chỉ định phẫu thuật:
- Nạo túi nha chu: Mở nướu, loại bỏ mô viêm, vi khuẩn và làm sạch túi nha chu. Sau đó, nướu được khâu lại để bám sát vào răng.
- Ghép mô nướu hoặc ghép xương: Nếu tổn thương xương hoặc mô nướu nghiêm trọng, bác sĩ có thể thực hiện ghép xương hoặc mô nướu để tái tạo cấu trúc bị mất.
Cách phòng ngừa tình trạng túi nha chu
Phòng ngừa túi nha chu là cách tốt nhất để tránh các biến chứng nghiêm trọng. Một số biện pháp hiệu quả gồm:
- Chăm sóc răng miệng đúng cách: Hãy đánh răng ít nhất hai lần mỗi ngày, đồng thời kết hợp sử dụng chỉ nha khoa, máy tăm nước và nước súc miệng để làm sạch mảng bám trong kẽ răng và dọc theo viền nướu – những vị trí dễ bị bỏ sót.
- Chọn bàn chải phù hợp: Nên dùng bàn chải có lông mềm, thao tác nhẹ nhàng theo chiều dọc hoặc vòng tròn dọc theo đường viền nướu để tránh gây tổn thương mô nướu. Nếu muốn làm sạch hiệu quả hơn, bạn có thể chuyển sang sử dụng bàn chải điện.
- Lựa chọn sản phẩm chăm sóc răng miệng kỹ lưỡng: Ưu tiên chọn kem đánh răng chứa fluoride và có khả năng ngăn hình thành mảng bám. Bên cạnh đó, nước súc miệng nên có tác dụng bảo vệ nướu và giúp làm sạch vùng giữa các răng.

Chăm sóc răng miệng đúng cách để ngăn ngừa hình thành túi nha chu
- Tránh xa thuốc lá: Hút thuốc là một trong những yếu tố làm tăng nguy cơ mắc bệnh nha chu. Vì thế, giảm hoặc tốt hơn là ngừng hút thuốc sẽ góp phần cải thiện sức khỏe răng miệng đáng kể.
- Chế độ ăn uống hợp lý: Tăng cường rau xanh, trái cây và thực phẩm giàu vitamin C trong thực đơn hàng ngày giúp củng cố sức đề kháng của mô nướu. Đồng thời, nên hạn chế thực phẩm chứa nhiều đường và thức ăn nhanh để giảm nguy cơ sâu răng và viêm nướu.
- Khám răng định kỳ: Việc đến nha khoa uy tín để lấy vôi răng định kỳ 6 tháng/lần sẽ giúp bạn sớm phát hiện các vấn đề răng miệng tiềm ẩn và xử lý kịp thời, đồng thời góp phần phòng ngừa hiệu quả các bệnh lý nha chu.
Túi nha chu là một bệnh lý nguy hiểm, ảnh hưởng không chỉ đến sức khỏe răng miệng mà còn tác động tiêu cực đến toàn cơ thể. Việc điều trị sớm và đúng cách giúp bảo vệ răng miệng, ngăn ngừa mất răng và duy trì nụ cười khỏe mạnh. Nếu bạn nhận thấy dấu hiệu viêm nướu hoặc túi nha chu, hãy đến ngay Nha khoa Nhân Tâm để được thăm khám và tư vấn kịp thời.



