Khớp cắn đối đầu là tình trạng răng cửa hàm trên và hàm dưới chạm vào nhau khi miệng ở trạng thái nghỉ. Tình trạng này có thể ảnh hưởng đến thẩm mỹ, chức năng ăn nhai, lâu dài có thể gây đau nhức vùng thái dương hàm.
Việc điều trị khớp cắn đối đầu cần được thực hiện bởi bác sĩ chuyên khoa. Tốt nhất bạn nên đến trực tiếp cơ sở nha khoa uy tín để được thăm khám và tư vấn phương pháp điều trị phù hợp nhất.
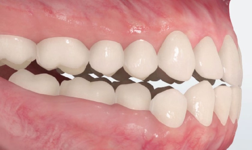
Khớp cắn đối đầu là gì?
Khớp cắn đối đầu là một trường hợp sai lệch khớp cắn khá phổ biến. Có thể hiểu một cách đơn giản rằng, khớp cắn đối đầu là tình trạng nhóm răng cửa hàm trên và nhóm răng cửa hàm dưới chạm đỉnh răng vào nhau khi miệng ở trạng thái nghỉ. Điều này khác với khớp cắn chuẩn, khi mà răng cửa hàm trên bao phủ một phần răng cửa hàm dưới.
Khi nhìn thẳng, bạn sẽ rất khó để phân biệt khớp cắn đối đầu với khớp cắn chuẩn. Tuy nhiên, khi quan sát theo góc nghiêng, bạn sẽ nhìn thấy được môi hàm trên bị thụt vào trong một ít so với môi hàm dưới.

Khớp cắn đối đầu
Khi bạn gặp phải tình trạng khớp cắn đối đầu, răng cửa hàm trên và hàm dưới sẽ chạm vào nhau, trong khi đó, vùng răng hàm sẽ khó chạm vào nhau theo cách bình thường, gây ảnh hưởng đến quá trình ăn nhai.
Nguyên nhân gây ra tình trạng khớp cắn đối đầu
Tình trạng khớp cắn đối đầu do rất nhiều nguyên nhân gây nên, trong đó phổ biến với các nguyên nhân như:
Do di truyền
Nếu ba mẹ hoặc các thành viên trong gia đình có khớp cắn đối đầu, khả năng con cái mắc phải tình trạng này sẽ rất cao. Gen di truyền có thể ảnh hưởng đến hình dạng của xương hàm, vị trí răng mọc, hay dẫn đến sự phát triển không cân đối giữa hai hàm.
Thói quen xấu
Những thói quen xấu như mút tay, mút môi, ngậm ti giả, đẩy lưỡi,... có thể tạo áp lực lên răng và xương hàm, làm thay đổi vị trí của răng và dẫn đến khớp cắn đối đầu.

Thói quen mút tay có thể dẫn đến sai lệch khớp cắn
Sai lệch xương hàm
Một trong những nguyên nhân gây ra tình trạng khớp cắn đối đầu đó là xương hàm bị sai lệch bẩm sinh. Nếu như xương hàm trên hẹp và ngắn hơn xương hàm dưới, hoặc xương hàm dưới phát triển quá mức, đưa ra trước nhiều hơn bình thường thì sẽ gây ra tình trạng khớp cắn đối đầu.
Xem thêm: Niềng răng có làm hết cằm lẹm không?
Những ảnh hưởng của khớp cắn đối đầu
Mặc dù được đánh giá là sai lệch khớp cắn nhẹ, nhưng khớp cắn đối đầu vẫn gây ra một số ảnh hưởng đến sức khỏe răng miệng, trong đó có thể kể đến như:
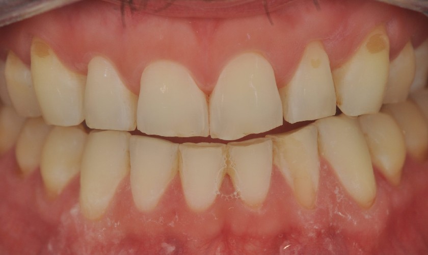
Mất thẩm mỹ
Răng cửa hàm trên và răng cửa hàm dưới chạm vào nhau sẽ tạo một khoảng trống ở vùng răng hàm, đồng thời khiến khuôn mặt mất cân đối, làm cho nụ cười trở nên kém duyên. Ngoài ra, trong một số trường hợp, người có khớp cắn đối đầu có môi trên không thể khép kín với môi dưới, gây mất thẩm mỹ.

Khớp cắn đối đầu gây mất thẩm mỹ nụ cười
Ảnh hưởng đến ăn nhai
Việc khớp cắn không khớp nhau sẽ gây khó khăn khi nghiền nát thức ăn, từ đó gây mỏi hàm và đau nhức. Thức ăn không được nghiền nát kỹ trước khi xuống dạ dày sẽ khiến hệ tiêu hóa phải làm việc nhiều hơn, dẫn đến các bệnh lý về hệ tiêu hóa.
Gây mòn men răng
Nhóm răng cửa thường xuyên va chạm vào nhau sẽ khiến men răng dễ bị bào mòn. Men răng bị mòn càng nhiều sẽ khiến răng càng yếu, sau một thời gian có thể dẫn đến tình trạng sứt mẻ, gãy rụng,...
Dễ mắc bệnh lý về răng miệng
Men răng bị bào mòn sẽ tạo điều kiện để vi khuẩn tấn công, dẫn đến các bệnh lý răng miệng như sâu răng, viêm nướu, viêm tủy, viêm nha chu,...

Men răng bị bào mòn
Ảnh hưởng đến khớp thái dương hàm
Áp lực nhai không đều và các cử động bất thường của hàm có thể gây ảnh hưởng đến khớp thái dương hàm, gây đau nhức và hạn chế các chuyển động của hàm như há miệng.
Cách khắc phục tình trạng khớp cắn đối đầu
Tùy vào từng tình trạng khớp cắn đối đầu cụ thể của mỗi người mà bác sĩ sẽ đưa ra các phương pháp điều trị phù hợp. Hiện nay có 3 phương pháp phổ biến đó chính là bọc răng sứ, niềng răng và phẫu thuật chỉnh hình răng.
Bọc răng sứ
Bọc răng sứ thường được áp dụng trong những trường hợp bị khớp cắn đối đầu nhẹ. Bác sĩ sẽ sử dụng các mão răng sứ để cân chỉnh lại hai hàm sao cho đều nhau, đảm bảo thẩm mỹ và ăn nhai.

Bọc răng sứ
Phương pháp bọc răng sứ không chỉ khắc phục được tình trạng khớp cắn mà còn cải thiện được hình dáng và màu sắc của răng, mang đến thẩm mỹ cao như răng thật. Độ bền của răng sứ khá lâu dài, có thể lên đến 10 - 15 năm và chịu được lực ăn nhai khá tốt. Hơn nữa, thời gian điều trị nhanh, không mất nhiều thời gian như phương pháp niềng răng.
Niềng răng
Trường hợp khớp cắn đối đầu do răng gây ra thì niềng răng sẽ là phương pháp tối ưu để khắc phục các trường hợp từ nhẹ đến nặng. Với phương pháp này, bác sĩ sẽ sử dụng các khí cụ chỉnh nha như mắc cài, dây cung hoặc khay niềng trong suốt để tạo lực kéo chỉnh răng về đúng vị trí trên cung hàm.

Niềng răng khắc phục khớp cắn đối đầu
Niềng răng giúp khắc phục hiệu quả tình trạng khớp cắn đối đầu mà không làm ảnh hưởng đến răng, giúp bảo tồn răng thật một cách tối đa. Hàm răng của bạn sẽ trở nên đều, đẹp, chuẩn khớp cắn sau khi niềng.
Phẫu thuật hàm
Phẫu thuật hàm thường được chỉ định trong những trường hợp khớp cắn đối đầu phức tạp và nguyên nhân chủ yếu là do sự phát triển bất thường của xương hàm. Khi đó, bác sĩ sẽ tiến hành phẫu thuật để đưa xương hàm về đúng vị trí, khôi phục lại khớp cắn chuẩn.
Trường hợp khớp cắn đối đầu do cả răng và xương hàm gây ra, bệnh nhân có thể sẽ cần phải kết hợp cả hai phương pháp niềng răng và phẫu thuật hàm để đem lại hiệu quả như mong đợi.
Địa chỉ điều trị khớp cắn đối đầu hiệu quả, an toàn
Với những trường hợp nguyên nhân dẫn đến khớp cắn đối đầu là do răng, bạn có thể tìm đến các địa chỉ nha khoa uy tín, chuyên sâu về niềng răng hay bọc răng sứ. Tại đây, bác sĩ sẽ thăm khám, xác định nguyên nhân và đưa ra hướng điều trị phù hợp, theo đúng nhu cầu của khách hàng.
Nha khoa Nhân Tâm là một địa chỉ nha khoa uy tín, đáng tin cậy, có thể giúp bạn khắc phục nhược điểm khớp cắn đối đầu bằng các phương pháp như bọc răng sứ, niềng răng. Đây là hai dịch vụ thế mạnh của nha khoa, đã mang đến cho hàng chục ngàn khách hàng nụ cười tự tin, rạng rỡ.

Nha khoa Nhân Tâm là địa chỉ nha khoa uy tín
Nha khoa Nhân Tâm sở hữu đội ngũ bác sĩ giỏi và dày dạn kinh nghiệm, đã thực hiện thành công rất nhiều trường hợp sai lệch khớp cắn từ đơn giản đến phức tạp. Với mỗi khách hàng, bác sĩ sẽ thăm khám và lên kế hoạch cụ thể, đảm bảo mang đến kết quả điều trị hoàn hảo.
Hy vọng rằng những thông tin trên đã giúp bạn hiểu được khớp cắn đối đầu là gì và biết được cách điều trị hiệu quả. Để được tư vấn thêm thông tin, đừng ngần ngại liên hệ ngay đến Nha khoa Nhân Tâm theo số Hotline 1900 56 5678, các chuyên gia sẽ hỗ trợ nhanh chóng và hoàn toàn miễn phí cho bạn.




