Nguyên nhân lớn nhất gây ra sâu răng chính là từ thói quen vệ sinh răng miệng không đúng cách. Chúng ta hãy xem cách khắc phục răng cửa bị sâu bên trong và cách phòng ngừa tại đây nhé!
Lý do răng cửa bị sâu bên trong
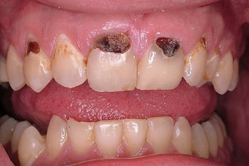
Sâu răng cửa là tình trạng răng xuất hiện các lỗ sâu răng có màu đen hoặc là màu nâu xám. Theo như một số chuyên gia nha khoa, có rất nhiều nguyên nhân dẫn đến tình trạng này, điển hình nhất mà bạn có thể biết đến là 3 nguyên nhân sau đây:
Do cao răng bám lâu ngày
Đây chính là mảng bám của thức ăn do lâu ngày không được vệ sinh sạch sẽ nên đã tạo điều kiện thuận lợi cho các vi khuẩn xâm nhập. Chúng sẽ phá vỡ mô răng thật, sau đó gây ra những lỗ sâu răng.
Do vệ sinh răng không kỹ
Nếu như bạn chải răng không đúng cách, sử dụng những bàn chải có lông quá to sẽ không thể lấy đi được những mảng bám đang nằm ở các kẽ răng. Về lâu về dài, nó sẽ sinh sôi vi khuẩn, rồi gây ra một số bệnh lý khác về răng miệng, đặc biệt nhất chính là sâu răng.
Do những thói quen hằng ngày
Nếu bạn đã tập cho mình thói quen xỉa răng sau mỗi bữa ăn, thì điều đó sẽ dễ khiến kẽ răng cửa của bạn bị thưa. Các mảng bám dễ dính vào răng hơn, ngoài ra nó còn làm chân răng chảy máu, hình thành việc sâu răng.
Sau khi đọc 3 nguyên nhân sâu răng cửa ở trên, chủ yếu các yếu tố đều do thói quen và cách vệ sinh của bạn. Cho nên để răng cửa của bạn không bị sâu bên trong, bạn cần lưu ý một số vấn đề để ngăn chặn vi khuẩn xâm nhập nhé!

Lý do răng cửa bị sâu bên trong
Răng cửa bị sâu bên trong có nguy hiểm không?
Răng cửa bị sâu bên trong sẽ làm nụ cười của bạn bị mất thẩm mỹ. Ngoài ra còn mang đến nhiều hậu quả nặng nề về sức khỏe và tâm lý người bệnh.
Làm nụ cười không được đẹp
Răng cửa là loại răng nằm ở phía trước của cung hàm, chỉ cần bạn cười hoặc nói chuyện là người đối diện sẽ nhìn thấy. Cho nên khi gặp phải trường hợp sâu răng cửa bên trong, những lỗ sâu có màu nâu hoặc đen nằm bề mặt răng sẽ làm ảnh hưởng vô cùng nghiêm trọng đến tính thẩm mỹ gương mặt.
Bệnh lý hôi miệng
Vi khuẩn do tác nhân sâu răng gây ra trong khoang miệng sẽ khiến hơi thở của bạn trở nên có mùi hôi khó chịu. Khi bị hôi miệng, bệnh nhân sẽ e ngại trong việc giao tiếp với mọi người, bắt đầu trở nên tự ti và rụt rè.
Tác động đến chức năng nhai
Răng cửa có một trò vô cùng quan trọng trong việc bạn cắn xé thức ăn. Trong trường hợp răng cửa bị sâu bên trong, nó sẽ bắt đầu xuất hiện những cơn đau khó chịu khiến bạn mất đi chức năng ăn và nhai. Làm ảnh hưởng rất lớn đến quá trình hấp thu các chất dinh dưỡng của bạn, khiến cơ thể mệt mỏi.
Không tốt cho răng miệng và toàn thân
Nếu thấy sâu răng cửa mà không điều trị sớm, chúng có thể âm thầm phát triển, sau đó sẽ phá hủy toàn bộ ngà răng của bạn. Để vi khuẩn tấn công vào tủy răng gây viêm quanh chóp răng của bệnh nhân.
Dấu hiệu nhận biết tình trạng này là vùng nướu chỗ chân răng bị sưng, tấy đỏ, có mủ, tạo nên các cơn đau khó chịu. Nghiêm trọng hơn nữa là nó còn khiến răng bị suy yếu, lung lay rồi rụng đi.

Răng cửa bị sâu bên trong có nguy hiểm không?
Cách khắc phục vấn đề răng cửa bị sâu bên trong
Răng cửa bị sâu bên trong nếu phát hiện cần phải điều trị sớm để ngăn chặn những ảnh hưởng không tốt đến sức khỏe.
Nạo hết những vết sâu – Trám lại răng
Đối với trường hợp bị sâu răng cửa ở cấp độ nhẹ, bác sĩ thường chỉ định khách hàng của mình nạo sạch các vết sâu. Sau đó bác sĩ sẽ trám răng để tái tạo lại hình thể và màu sắc răng của răng như ban đầu.
Ngoài ra, vật liệu dùng để trám răng có thể dùng composite hoặc Amalgam. Nhưng khi bạn cắn mạnh, các vật liệu trám này sẽ dễ bị bong, tuổi thọ của các chỗ trám chỉ duy trì được 2 – 3 năm.
Phương pháp bọc sứ
Khi gặp những trường hợp sâu răng cửa nặng, sâu đến tủy, thân răng bị gãy vỡ nhiều, bác sĩ sẽ nạo sạch các vết sâu, điều trị tủy, sau đó, trám lại và thực hiện bọc răng sứ. Bọc răng sứ sẽ giúp bảo vệ răng thật bên trong bởi răng đã lấy tủy rất giòn và dễ vỡ, từ đó bạn có thể ăn nhai thoải mái và đảm bảo tính thẩm mỹ cho hàm răng.
Trồng răng giả
Trường hợp bạn bị sâu răng đến không thể chữa được, không thể khôi phục chức năng răng bằng các biện pháp thông thường. Lúc này bác sĩ buộc phải nhổ răng và trồng lại răng giả để không làm ảnh hưởng tới những chiếc răng kế bên. Bạn có thể lựa chọn làm răng tháo lắp, cầu răng sứ hoặc trồng răng Implant, tùy theo tình trạng và điều kiện của mỗi người.
Chúng tôi vừa đưa ra cho bạn 3 giải pháp để khắc phục tình trạng răng cửa bị sâu bên trong. Để cảm thấy bản thân phù hợp với biện pháp trị sâu răng nào, bạn hãy mạnh dạn đăng ký để được hỗ trợ nhé!

Cách khắc phục vấn đề răng cửa bị sâu bên trong
Cách phòng ngừa tình trạng sâu răng cửa
Hiện nay việc điều trị răng sâu không còn khó khăn nữa. Cùng tham khảo cách phòng ngừa sâu răng như sau:
Một ngày bạn cần đánh răng đều đặn ít nhất 2 lần vào buổi tối trước khi ngủ và mỗi buổi sáng thức dậy.
Cần chọn loại bàn chải bằng lông mềm, dùng phương pháp chải theo chiều dọc hoặc xoay tròn. Không nên chải theo chiều ngang vì nó có thể làm tụt nướu và gây viêm.
Nên sử dụng các loại kem đánh răng có chứa fluor và dùng thêm chỉ nha khoa. Kèm với nước súc miệng để loại bỏ các mảng thức ăn thừa còn bám bên trong kẽ răng, giúp kháng khuẩn và giữ hơi thở thơm mát.
Cần phải uống đủ 1.5 – 2 lít nước mỗi ngày. Tăng cường ăn những thực phẩm có nhiều chất xơ, vitamin, canxi và sắt,… Đừng ăn vặt hoặc các thực phẩm có chứa nhiều đường, tinh bột.
Định kỳ nên đi lấy cao răng, khoảng 3 – 6 tháng/lần. Dành thời gian đến nha khoa để bác sĩ kiểm tra, loại bỏ những tác nhân gây sâu răng.
Sâu răng cửa là bệnh lý rất phổ biến, nếu không được điều trị sẽ gây ra nhiều hậu quả không thể lường trước được. Khi bạn thấy răng có dấu hiệu bị sâu nên chạy ngay đến nha khoa để điều trị.
Tóm lại, việc răng cửa bị sâu bên trong rất ảnh hưởng đến sức khỏe, bạn đừng nên chủ quan. Nếu bị sâu răng hoặc các bệnh lý khác hãy đến nha khoa để điều trị nhanh nhất.
*Chụp phim X-Quang hoặc phim 3 chiều CT Cone Beam là một bước quan trọng trong quy trình điều trị phục hồi răng. Vì vậy Khách hàng sẽ được Bác sĩ của nha khoa Nhân Tâm chỉ định đến các cơ sở y tế đủ chức năng để thực hiện trước khi điều trị.



