Răng bị đen ở kẽ hoặc răng bị đen ở mặt trong dù không gây mất thẩm mỹ nhưng vẫn tiềm ẩn rất nhiều bệnh nguy hiểm. Cùng tìm hiểu nguyên nhân gây ra tình trạng răng bị đen ở kẽ? Và cách khắc phục như thế nào để dứt điểm nhé!
Nguyên nhân làm răng bị đen ở kẽ
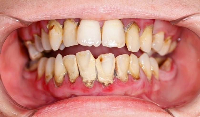
Răng bị đen ở kẽ là một tình trạng khá phổ biến vì có rất nhiều người đang gặp phải. Nguyên nhân chính của tình trạng này là do các bạn không vệ sinh răng miệng đúng cách. Cũng có thể là do một số bệnh lý về răng đã làm răng bị đổi màu. Hơn nữa, các loại thức ăn mà chúng ta ăn mỗi ngày và tác dụng của kháng sinh cũng là nguyên nhân phải kể đến.

Nguyên nhân làm răng bị đen ở kẽ
Do bệnh lý liên quan đến răng
Sâu răng sẽ thường phát triển ở cạnh răng hoặc ở trong kẽ răng. Vì đây là vị trí có lớp men răng mỏng nhất, khả năng chống chọi với vi khuẩn cũng yếu hơn so với mặt nhai của răng. Sâu răng được hình thành những lỗ nhỏ li ti, sau đó biến thành những lỗ lớn hơn có màu đen có thể nhìn thấy bằng mắt thường. Khi bị sâu răng, bạn nên điều trị sớm vì nếu để lâu ngày thì chúng có thể ăn sâu vào buồng tủy răng, làm viêm tủy và chết răng, nặng nhất là rụng răng.
Gen di truyền hoặc tác dụng phụ của thuốc kháng sinh
Gen di truyền là quy định chung về kiểu hình của con người. Có nghĩa là hình dạng, màu sắc của răng cũng không bị thay đổi. Gen sẽ làm ảnh hưởng trực tiếp tới độ dày và mỏng của lớp men răng. Thật ra gen không phải là yếu tố không thể thay đổi, chúng ta có thể chủ động thay đổi điều này bằng cách ăn uống, vệ sinh răng miệng.
Nhất là những người đang mang thai cần phải uống nhiều thuốc kháng sinh, điều này sẽ làm ảnh hưởng đến men răng và màu sắc răng của con. Còn người trưởng thành nếu dùng uống kháng sinh lâu ngày thì răng cũng bị xỉn màu như bình thường. Đây cũng là nguyên nhân phổ biến khiến răng bị đen ở kẽ.
Uống thuốc tây nhiều cũng làm tuyến nước bọt không hoạt động hiệu quả. Khoang miệng sẽ bị khô hơn bình thường, một khi khoang miệng không đủ độ ẩm thì vi khuẩn sẽ phát sinh gây hôi miệng và thay đổi màu sắc của hàm răng.
Chải răng sai cách
Chải răng sai cách là nguyên nhân chính dẫn đến nhiều bệnh lý về răng miệng. Thức ăn thừa bám thường bám vào kẽ răng rồi hình thành mảng bám cứng chắc. Các mảng bám này sẽ làm cho răng không được trắng sáng.
Mảng bám để lâu ngày sẽ tích tụ thành cao răng, đó chính là nơi vi khuẩn sinh sôi nhiều nhất. Người có cao răng dày thì răng thường hay bị vàng đen hoặc mắc bệnh về nướu và nha chu.
4 cách điều trị răng bị đen ở kẽ
Điều trị sâu răng
Trám răng là cách phổ biến được dùng để chữa sâu răng. Trám răng chỉ có thể áp dụng đối với những trường hợp răng bị sâu nhẹ, sâu răng chưa ăn vào buồng tủy và tủy không bị viêm. Thời gian trám một chiếc răng tầm khoảng 15 phút. Composite là một vật liệu trám răng phổ biến nhất hiện nay vì có màu sắc và tính chất giống với răng thật.
Tẩy trắng răng
Tại nha khoa Nhân Tâm đang có rất nhiều phương pháp tẩy trắng răng. Ngoài ra bạn có thể dùng các nguyên liệu như chanh, muối, baking soda để tự làm mất viền đen tại nhà nhưng rất lâu mới có hiệu quả. Tốt nhất là bạn nên đến gặp bác sĩ để được tẩy trắng răng bằng thuốc tẩy trắng chuyên dụng.

Tẩy trắng răng
Trong trường hợp răng bị nhiễm kháng sinh nhẹ thì các bạn cũng có thể dùng biện pháp tẩy trắng răng. Nhưng không khuyến khích các bạn dùng phương pháp này, vì răng nhiễm kháng sinh đã rất yếu. Nếu dùng thêm thuốc tẩy trắng sẽ dễ làm răng nhạy cảm, ê buốt hơn. Đối với tình trạng răng bị đen ở kẽ do kháng sinh thì bác sĩ thường khuyên bạn bọc răng sứ.
Lấy vôi răng
Vôi răng tích tụ sẽ làm kẽ răng bị đen, nên lấy vôi răng là phương pháp chính xác và hữu hiệu nhất. Bác sĩ sẽ lấy vôi răng ở toàn bộ bề mặt răng, theo thứ tự từ răng đến kẽ răng và cuối cùng là chân răng.
Quá trình cạo vôi răng tầm khoảng 15 đến 20 phút, đặc biệt không gây đau đớn, chảy máu hoặc khiến bạn bị đau nhức. Sau khi cạo vôi, răng sẽ mất đi viền đen và không còn ố vàng.
Bọc răng sứ
Đây là một giải pháp tối ưu nhất cho những người bị đen ở kẽ răng do sâu răng, men răng hư, răng sứt mẻ hoặc hình dạng răng bị thay đổi. Mão sứ sẽ được chế tác bằng công nghệ hiện đại có tính thẩm mỹ tuyệt đối, đảm bảo màu sắc đẹp và khả năng ăn nhai giống hệt răng thật.

Bọc răng sứ
Tham khảo cách phòng ngừa răng bị đen ở kẽ
Để hàm răng luôn trắng sáng và khỏe mạnh, ngoài việc chăm sóc và vệ sinh răng miệng thì bạn cũng nên để ý đến chế độ dinh dưỡng.
Chải răng sạch sẽ
Chải răng đúng cách chính là biện pháp bảo vệ sức khỏe răng miệng đơn giản vô cùng hiệu quả, vừa loại bỏ các mảng bám và vụn thức ăn mà còn giúp kiểm soát nồng độ vi khuẩn. Các bạn nên đánh răng vào buổi sáng và tối, tốt nhất là đánh sau khi ăn các thực phẩm có chứa tinh bột hoặc hàm lượng đường cao.
Ăn uống khoa học
Không nên tiêu thụ quá nhiều thực phẩm có lượng đường cao để tốt cho sức khỏe răng miệng và toàn thân. Đường có trong thực phẩm rất dễ bám lại trên bề mặt răng, sau đó vi khuẩn và muối vô cơ trong khoang miệng sẽ chuyển hóa chúng thành acid làm men răng bị yếu đi.
Khám răng định kỳ ở nha khoa Nhân Tâm
Ngoài việc chăm sóc và vệ sinh răng miệng tại nhà thật kỹ, các bạn cũng nên đến nha khoa 6 tháng một lần để bác sĩ thăm khám và vệ sinh định kỳ.
Hy vọng bài viết này sẽ giúp bạn có được cái nhìn tổng quan về tình trạng răng bị đen ở kẽ và những cách điều trị. Nếu bạn muốn được tư vấn thêm, thì vui lòng liên hệ với Nha khoa Nhân Tâm để được tư vấn nhanh chóng và điều trị ngay nhé!



