Tình trạng nổi cục cứng ở lợi đang rất phổ biến hiện nay. Không chỉ gây đau đớn, khó chịu mà còn có thể gặp những biến chứng đe dọa đến sức khỏe răng miệng, thậm chí tính mạng. Hãy cùng tìm hiểu nguyên nhân nổi cục cứng ở lợi, cách chữa trị và cách phòng tránh một cách tốt nhất.
Lý do bị nổi cục cứng ở lợi
Nổi cục cứng ở lợi có nhiều nguyên nhân, có thể là do mảng bám, u hạt nhiễm khuẩn hoặc viêm nướu… Dưới đây là một số nguyên nhân cơ bản gây ra tình trạng nổi cục cứng như sau:
Mảng bám tích tụ
Tình trạng tích tụ mảng bám lâu ngày sẽ khiến vi khuẩn trong miệng hình thành khiến nướu bị chảy máu, sưng đỏ và dẫn đến nổi cục cứng ở lợi.
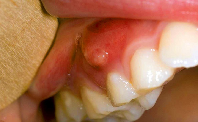
U nang răng
U nang răng là những bóng nhỏ chứa đầy không khí, chất lỏng, vật liệu mềm khác mọc ở trên nang răng. U nang răng thường được hình thành khi chân răng bị gãy, tạo áp lực lên răng khiến răng bị yếu khi u phát triển lớn hơn.
Tình trạng u nang này sẽ hình thành và nổi cục cứng ở lợi, nhưng muốn loại bỏ chúng cũng rất dễ dàng. Các bác sĩ sẽ loại bỏ mô chết xung quanh u nang để ngăn ngừa khối u nang này tái phát.

Lý do bị nổi cục cứng ở lợi
Do u hạt nhiễm khuẩn
U hạt nhiễm khuẩn sẽ tạo ra những vết sưng đỏ trong miệng và nướu răng của bạn. Cục thịt này khá mềm, không gây đau đớn, chứa đầy máu và rất dễ bị chảy máu gây viêm nhiễm. Muốn điều trị tình trạng nổi cục cứng ở lợi này thì bác sĩ thường đề nghị phẫu thuật để cắt bỏ khối u.
Do loét miệng
Vết loét miệng xuất hiện ở đáy nướu răng có thể mang lại đau đớn cho mọi người. Và khi vết loét miệng xuất hiện với đốm trắng có viền đỏ xung quanh thì nỗi đau sẽ tăng thêm gấp bội.
Khi vết sưng nhô lên có thể dẫn đến tình trạng nổi cục cứng gây đau đớn trong khi ăn uống. Để làm giảm tình trạng này, bạn có thể sử dụng thuốc giảm đau hoặc các những biện pháp khác.
Do sâu răng không được điều trị dứt điểm
Tình trạng sâu răng là do vi khuẩn tấn công vào mảng bám gây phá hủy men răng, tổn thương đến mô răng. Khi sâu răng không được điều trị dứt điểm sẽ làm ảnh hưởng chân răng, nướu răng và nổi cục cứng ở lợi. Cục thịt này là nơi vi khuẩn sâu răng tích tụ gây viêm nhiễm và hoại tử, dịch tủy tích tụ thành.
Do viêm lợi trùm
Viêm lợi trùm làm nướu răng mọc lên một cục thịt nhỏ, sưng, khó chịu hoặc chảy mủ nghiêm trọng. Viêm lợi trùm còn gây ảnh hưởng đến răng số 8 và rất nhiều rủi ro nếu bạn không điều trị đúng cách.
Áp xe nướu
Trường hợp áp xe nướu xuất hiện là do nhiễm trùng vi khuẩn gây ra nốt sưng nhỏ, mềm. Tình trạng áp xe không gây đau đớn ở vị trí bị ảnh hưởng, cơn đau sẽ rất đột ngột.
Do ung thư miệng
Ung thư miệng cũng là nguyên nhân nổi cục cứng ở lợi, nướu và cổ họng. Đây là tình trạng bệnh lý nguy hiểm mà bạn nên thăm khám cẩn thận để được điều trị kịp thời.
Nổi cục cứng ở lợi có ảnh hưởng gì không?
Tình trạng nổi cục cứng còn tùy vào từng trường hợp khác nhau, đôi khi sẽ bình thường hoặc nguy hiểm đến sức khỏe. Dưới đây là một số biến chứng nguy hiểm mà nổi cục cứng ở lợi gây ra:
- Nhiễm trùng gây viêm chân răng, tổn thương đến tủy răng và làm mất răng.
- Vi khuẩn từ cục thịt này sẽ làm hoại tử niêm mạc miệng, ảnh hưởng đến hệ hô hấp.
- Biến chứng nguy hiểm sẽ xuất hiện như nhiễm trùng huyết, ảnh hưởng đến tính mạng.
- Tăng nguy cơ tử vong khi bị nổi cục cứng là ung thư miệng.
Biện pháp điều trị nổi cục cứng ở lợi hiệu quả
Khi bị nổi cục sưng viêm ở lợi thì các bạn không được tự ý mua thuốc để dùng tại nhà. Điều này có thể dẫn đến những tác dụng phụ khó lường làm bệnh thêm nặng. Tốt nhất là các bạn nên đến nha khoa uy tín để bác sĩ thăm khám kỹ lưỡng, chẩn đoán chính xác nguyên nhân và phương pháp xử lý thích hợp.
- Trường hợp nhẹ thì bác sĩ sẽ lấy cao răng, loại bỏ ổ vi khuẩn gây viêm nhiễm. Sau đó hướng dẫn các bạn cách chăm sóc và vệ sinh răng đúng cách với chế độ ăn uống khoa học.
- Nếu viêm nhiễm nặng thì bác sĩ sẽ kết hợp việc cạo vôi và làm sạch khoang miệng. Đồng thời kê thêm các toa thuốc kháng sinh để giảm đau, ngừa sưng viêm.
- Đối với trường hợp viêm nhiễm quá nghiêm trọng thì cần phải tiến hành tiểu phẫu để loại bỏ phần viêm nhiễm và ghép vạt lợi để nướu hồi phục, tránh bị mất răng.

Biện pháp điều trị nổi cục cứng ở lợi hiệu quả
Ngăn ngừa nổi cục cứng ở lợi
Cách ngăn ngừa nổi cục ở lợi tốt nhất đó chính là chế độ ăn uống, vệ sinh răng miệng đúng cách. Nên duy trì thói quen khám răng định kỳ để bảo vệ sức khỏe răng miệng.
- Chú ý chọn những loại bàn chải có lông mềm, kem đánh răng có nồng độ fluor phù hợp để việc làm sạch răng được tối ưu hơn.
- Hãy chải răng 2 lần/ngày vào buổi sáng tối, đồng thời nên làm sạch răng sau các bữa ăn bằng chỉ nha khoa, nước súc miệng để ngăn ngừa sâu răng tốt hơn.
- Những món bánh kẹo ngọt, nước có gas, thức ăn nhanh, đồ ăn nóng hay quá lạnh cũng là tác nhân hàng đầu khiến răng dễ bị sâu hỏng.
- Tăng cường các loại thực phẩm có nhiều canxi, vitamin D, chất xơ tốt cho sức khỏe răng lợi. Nên uống đủ nước mỗi ngày để miệng không bị khô.
- Đặc biệt, cứ mỗi 6 tháng/lần mọi người nên đến nha khoa Nhân Tâm để bác sĩ kiểm tra sức khỏe răng miệng tổng quát. Và cạo vôi răng để duy trì hàm răng chắc khỏe, đồng thời có thể phát hiện sớm những dấu hiệu bất thường để điều trị kịp thời và tốt nhất
Qua những thông tin về nổi cục cứng ở lợi ở trên, hy vọng mọi người đã biết cách phòng ngừa và nguyên nhân để khắc phục. Mọi thắc mắc về vấn đề này hãy liên hệ hoặc đến trực tiếp nha khoa Nhân Tâm để được các chuyên gia hỗ trợ tư vấn.



