Nâng khớp cắn là liệu pháp được tiến hành song song với việc đeo niềng răng mắc cài. Khi nâng khớp cắn, các bệ được làm bằng vật liệu tổng hợp sẽ được đặt lên các răng hàm hoặc mặt sau răng cửa. Các vật thể này được chèn vào bề mặt tiếp xúc của khớp cắn với mục đích ngăn 2 hàm cắn lại hoàn toàn.
Có nhiều lý do khác nhau để bác sĩ thực hiện liệu pháp điều trị này. Tác dụng chính là để giảm áp lực mà hàm dưới phải chịu do các khớp cắn sâu hoặc khớp cắn chéo. Với những trường hợp nghiêm trọng, áp lực này có thể gây hư hại đến gọng niềng và men răng.
Tác dụng của nâng khớp cắn khi niềng răng
Nâng khớp cắn thường được áp dụng đối với các khách hàng gặp phải tình trạng khớp cắn sâu hoặc khớp cắn chéo. Ngoài ra, bác sĩ có thể tiến hành thủ thuật này đối với những khách hàng có thói quen nghiến răng. Để đưa ra phác đồ điều trị phù hợp và chính xác nhất, khách hàng cần thăm khám và chụp X-quang.
Khớp cắn sâu
Khớp cắn sâu thường biểu hiện bằng việc hàm trên bao trùm và che khuất các răng ở hàm dưới khi cắn lại bình thường. Hàm trên thường sẽ che phủ một phần hoặc toàn bộ hàm dưới. Trong một số trường hợp khớp cắn quá sâu, phần rìa của răng hàm dưới gần như không thể chạm vào răng hàm trên.
Thay vào đó, rìa răng sẽ chạm vào phần nướu trong của hàm trên. Nếu tình trạng này cứ tiếp diễn và không được can thiệp bằng biện pháp nâng khớp cắn, chức năng ăn nhai của khách hàng sẽ bị suy giảm ngày một nghiêm trọng, đồng thời gây mất thẩm mỹ và tự tin khi giao tiếp.
Trong trường hợp chỉnh nha bằng niềng răng với mắc cài, nếu không tiến hành nâng khớp cắn, dây cung của hàm dưới sẽ cọ xát với mặt trong của hàm trên gây ra các tổn thương nướu và giảm hiệu quả trong điều trị.
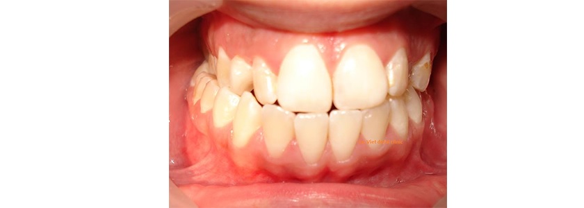
Khớp cắn chéo

Hình ảnh khớp cắn chéo
Khớp cắn chéo cũng là trường hợp nằm trong phạm vi điều trị của nâng khớp cắn. Dấu hiệu thể hiện rõ rệt nhất chính là việc các nhóm răng hàm trên dưới bị xô lệch, không đối xứng.
Bên cạnh đó, nếu từ chóp mũi xuống khe giữa 2 răng cửa của bạn không tạo thành một đường thẳng, bị gấp khúc thì cũng là một biểu hiện của khớp cắn chéo.
Nhìn chung, nếu không thể phân biệt rõ rệt hàm trên có bao ra ngoài hàm dưới hay không, khả năng cao răng của bạn nằm trong diện khớp cắn chéo. Khớp cắn này gây ảnh hưởng đến quá trình tạo lực khi ăn nhai, tạo ra tác động không tốt đến các mắc cài của niềng răng.
Người hay nghiến răng
Những khách hàng thường xuyên nghiến răng, đặc biệt là khi ngủ cũng cần phải can thiệp biện pháp này để giảm áp lực cho răng, tạo điều kiện thuận lợi hơn để kéo chỉnh răng cũng như điều chỉnh khớp cắn.
Ngoài nâng khớp cắn, khách hàng còn có thể can thiệp bằng tiêm botox giãn cơ. Tuy nhiên, nâng khớp cắn vẫn là phương pháp hiệu quả và an toàn cho tính mạng của khách hàng hơn cả.
Bạn cần đeo nâng khớp bao lâu?
Tùy từng trường hợp khớp cắn và tình trạng của răng mà thời gian điều trị sẽ khác nhau. Thông thường, các bác sĩ sẽ gắn nâng khớp khi bắt đầu gắn mắc cài niềng răng. Đối với tình trạng khớp cắn sai lệch nhẹ, thời gian sẽ rút ngắn hơn so với người bị khớp cắn lệch nặng và phức tạp.
Thời gian trung bình để nâng khớp thường kéo dài trong khoảng 3 tháng đến một năm. Khi nhận thấy 2 hàm đã có sự thay đổi và tương đối cân đối, bác sĩ có thể tháo bỏ cục nâng khớp hoặc khí cụ nâng khớp khác.
Xem thêm: Niềng răng bên trong có tốt hay không?
Nên ăn gì và kiêng gì khi chỉnh khớp cắn?
Điều chỉnh khớp cắn là phương pháp quan trọng giúp điều chỉnh vị trí của cung hàm. Trong thời gian đầu khi mới gắn khí cụ nâng khớp, chắc chắn bạn sẽ gặp phải không ít khó khăn, đặc biệt là khi ăn uống. Bạn nên lưu ý một số điều sau đây:
Nên ưu tiên các loại thức ăn mềm và không bám dính trên răng. Đối với các nhóm đồ ăn khác, bạn nên cắt hoặc xé nhỏ thức ăn để tránh gây hư hại khí cụ. Ngoài ra, bạn cũng có thể bổ sung thêm dinh dưỡng bằng cháo hoặc sữa.

Bạn nên ăn những thức ăn mềm trong giai đoạn nâng khớp cắn
Hạn chế hoặc tuyệt đối với thức ăn dai và cứng. Trong thời gian đeo khí cụ nâng khớp cắn, bạn nên hạn chế để răng phải hoạt động ăn nhai nhiều. Trong trường hợp bị bung cục nâng hàm, bạn nên đến nha khoa càng sớm càng tốt để được bác sĩ khắc phục.
Hy vọng với bài viết trên bạn đã hiểu nâng khớp cắn khi niềng răng có tác dụng gì và trở nên vững tâm hơn với việc phải đeo thêm các cục nâng khớp cắn. Chúc bạn sớm khắc phục được các vấn đề về khớp cắn, ăn uống thoải mái hơn và sớm đạt được hiệu quả chỉnh nha mong muốn! Nếu còn điều gì thắc mắc, bạn có thể liên hệ ngay với phòng khám nha khoa để được hỗ trợ thông tin chi tiết!
*Chụp phim X-Quang hoặc phim 3 chiều CT Cone Beam là một bước quan trọng trong quy trình điều trị phục hồi răng. Vì vậy Khách hàng sẽ được Bác sĩ của nha khoa Nhân Tâm chỉ định đến các cơ sở y tế đủ chức năng để thực hiện trước khi điều trị.




