Đánh răng hay bị chảy máu có thể xảy ra do các vấn đề về sức khỏe răng miệng hoặc sức khỏe tổng thể. Nếu chỉ thỉnh thoảng hiện tượng trên mới xuất hiện thì bạn không cần quá lo vì chúng sẽ tự khỏi sau vài ngày và không tái phát. Nhưng nếu chúng xảy ra thường xuyên thì bạn không nên chủ quan mà hãy tới trung tâm nha khoa để thăm khám trong thời gian sớm nhất. Sau khi khám và xác định nguyên nhân, bác sĩ sẽ chỉ định cho bạn phương pháp điều trị phù hợp.
Nguyên nhân dẫn đến đánh răng hay bị chảy máu
Đánh răng hay bị chảy máu có thể xảy ra do các vấn đề về sức khỏe răng miệng hoặc sức khỏe tổng thể. Nói về vấn đề răng miệng, các nguyên nhân dẫn đến chảy máu chân răng khi đánh răng bao gồm:
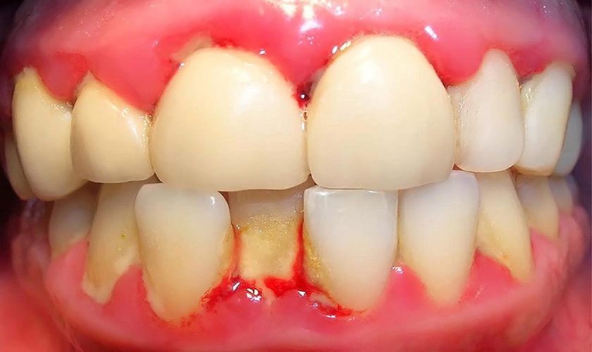
Viêm nướu
Nguyên nhân chủ yếu khiến bạn bị chảy máu chân răng chính là viêm nướu, viêm lợi. Thói quen sử dụng tăm xỉa răng hoặc vệ sinh răng sai cách sẽ khiến thức ăn mắc lại ở kẽ răng và gây nên viêm nướu. Tình trạng viêm càng nặng thì khi đánh răng bạn càng hay bị chảy máu.

Viêm nướu là nguyên nhân khiến bạn đánh răng hay bị chảy máu
Các bệnh lý về răng và mô quanh răng
Sâu răng, nhiễm trùng chân răng, viêm nha chu, đau răng là những bệnh lý liên quan đến răng và mô quanh răng có thể gây nên chảy máu chân răng khi đánh răng.
Các vấn đề về nướu và răng
Hiện tượng răng mọc lệch, không đúng chỗ, khiến quá trình làm sạch răng gặp nhiều khó khăn, vụn thức mảng bám tích tụ lâu ngày cũng sẽ khiến bạn đánh răng hay bị chảy máu.
Khi bạn sử dụng bàn chải cứng, chải răng với lực quá mạnh cũng sẽ làm nướu bị tổn thương và gây chảy máu chân răng.
Đánh răng hay bị chảy máu có nguy hiểm không?

Đánh răng hay bị chảy máu có nguy hiểm không?
Nếu chỉ thỉnh thoảng hiện tượng trên mới xuất hiện thì bạn không cần quá lo vì chúng sẽ tự khỏi sau vài ngày và không tái phát. Nhưng nếu chảy máu răng diễn ra thường xuyên thì có thể gây viêm nướu cấp và tác động tiêu cực đến hoạt động ăn uống, giao tiếp và sinh hoạt hàng ngày.
Chảy máu chân răng khi đánh răng không được điều trị sớm sẽ gây tổn thương răng và các tổ chức quanh răng, nghiêm trọng hơn có thể dẫn đến gãy rụng răng. Vấn đề răng miệng này còn nguy hiểm hơn ở các đối tượng:
- Người có bệnh tiểu đường hoặc tim mạch: Làm tăng đường huyết và gây ra các biến chứng nguy hiểm như viêm nội tâm mạc, tăng nguy cơ đột quỵ, nhồi máu cơ tim.
- Phụ nữ có thai: Làm nguy cơ xảy ra biến chứng trong giai đoạn mang thai tăng lên, dẫn tới sinh non, trẻ nhẹ cân.
Cách phòng ngừa và khắc phục đánh răng hay bị chảy máu

Thăm khám nha khoa nếu chảy máu chân răng khi đánh răng xảy ra thường xuyên
Nếu chảy máu chân răng khi đánh răng xảy ra thường xuyên thì bạn không nên chủ quan mà hãy tới trung tâm nha khoa để thăm khám trong thời gian sớm nhất. Sau khi khám và xác định nguyên nhân, bác sĩ sẽ chỉ định cho bạn phương pháp điều trị phù hợp.
Bên cạnh đó, bạn cũng nên xây dựng cho mình thói quen ăn uống, chăm sóc răng miệng và sinh hoạt hợp lý, cụ thể:
- Vệ sinh răng đúng cách và kỹ lưỡng: Chải răng ít nhất 2 lần mỗi ngày vào buổi sáng và tối. Khi chải răng hãy sử dụng bàn chải lông mềm, chải theo chiều dọc và chuyển động tròn với lực vừa phải.
- Ăn uống đủ chất dinh dưỡng: Bổ sung cho cơ thể đầy đủ các vitamin, khoáng chất thiết yếu như vitamin C, K, magie, canxi,… Các dưỡng chất này sẽ giúp bạn nâng cao sức khỏe tổng thể và hạn chế chảy máu chân răng khi đánh răng. Bạn có thể bổ sung những dưỡng chất này và nhiều vi chất khác bằng việc ăn đa dạng các loại thực phẩm như rau củ, hải sản, trái cây tươi chứa nhiều vitamin C (bưởi, cam, quýt, ổi,…).

Xây dựng khẩu phần ăn hợp lý với đa dạng các nhóm thực phẩm
- Loại bỏ các thói quen xấu: Các thói quen gây ảnh hưởng tới sức khỏe răng miệng như dùng răng cạy mở đồ vật, hút thuốc lá, nghiến răng,… cần được khắc phục và loại bỏ để đảm bảo độ chắc khỏe của răng.
- Thăm khám nha khoa và dùng thuốc: Sau khi thăm khám tại nha khoa, bác sĩ có thể chỉ định bạn cạo vôi răng và sử dụng nước súc miệng để cải thiện chảy máu chân răng. Nếu tình trạng không thuyên giảm, bạn có thể cần dùng đến một số loại thuốc như Penicillin, Tetracycline, Metronidazole, Amoxicillin,…
Đánh răng hay bị chảy máu có thể là dấu hiệu của bệnh lý về răng miệng, nếu không xử lý kịp thời có thể dẫn đến viêm nha chu, viêm nướu, mất răng và các biến chứng phức tạp khác ở người mắc đái tháo đường, tim mạch hoặc phụ nữ có thai. Do đó, bạn không nên chủ quan mà bỏ qua chúng, lúc này một cuộc hẹn với bác sĩ nha khoa sẽ rất cần thiết với bạn đấy.


