Chảy máu chân răng khi đánh răng xảy ra do vệ sinh răng miệng không đúng cách, bệnh viêm nướu, viêm nha chu, sử dụng bàn chải quá cứng hoặc do mắc các bệnh lý khác,...
Khi gặp tình trạng này bạn nên ghé qua phòng khám răng gần nhất để điều trị sớm nhất có thể. Nếu chưa sắp xếp được thời gian đến nha khoa, bạn có thể áp dụng các biện pháp khắc phục tại nhà bằng nước muối, tinh dầu bạc hà, bột quế,...
Nguyên nhân dẫn đến chảy máu chân răng khi đánh răng
Chảy máu chân răng khi đánh răng xảy ra khá phổ biến nhưng lại thường bị bỏ qua. Tình trạng này nếu xảy ra trong thời gian dài thì có thể kéo theo nhiều bệnh lý nguy hiểm. Dưới đây là một số nguyên nhân chủ yếu khiến bạn đánh răng bị chảy máu:
Vệ sinh răng miệng không đúng cách
Chải răng theo chiều ngang, chải răng quá mạnh, quá nhiều lần sẽ gây ảnh hưởng đến nướu răng, làm chúng bị tổn thương và chảy máu.
Thói quen dùng tăm xỉa răng cũng là một trong những nguyên nhân gây xước nướu, thưa răng, thức ăn dễ mắc lại dẫn đến chảy máu chân răng.
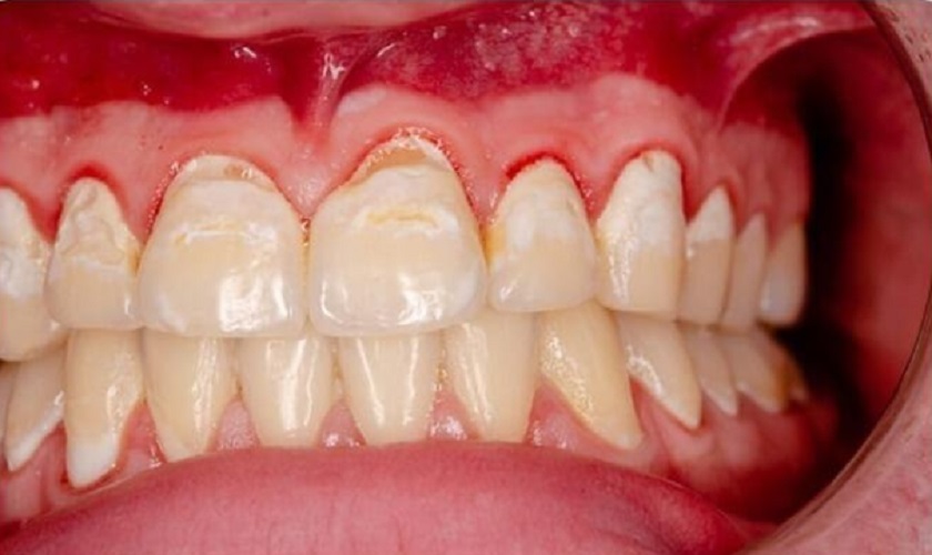
Viêm nướu và viên nha chu

Chảy máu chân răng khi đánh răng do viêm nướu, viêm nha chu
Tình trạng viêm nướu, viêm nha chu cũng có thể gây chảy máu bởi lúc này nướu răng đang sưng tấy, dễ bị thương tổn kể cả khi chỉ va chạm nhẹ.
Sử dụng bàn chải quá cứng
Bàn chải đánh răng với đầu lông chải quá cứng, quá to và quá dài sẽ làm trầy xước, thương tổn nướu khi chải răng. Để không gặp phải tình huống này thì bạn nên chọn bàn chải có kích cỡ vừa phải, phù hợp với khuôn răng, lông chải mảnh và mềm.
Thiếu hụt vitamin cần thiết
Tình trạng thiếu vitamin C, K cũng làm gia tăng nguy cơ chảy máu chân răng khi đánh răng. Vì các loại vitamin này có chức năng hỗ trợ đông máu. Khi bị chảy máu nướu răng, hãy xem lại khẩu phần ăn và bổ sung thêm các thực phẩm giàu vitamin C, K để cải thiện.
Mắc các bệnh lý khác

Các bệnh lý tiểu đường, tăng huyết áp hoặc gan, mật sẽ làm tăng nguy cơ chảy máu chân răng
Khi mắc các chứng bệnh như tiểu đường, tăng huyết áp hoặc gan, mật có bệnh lý và không thể hoạt động tốt như trước, hiện tượng đánh răng bị chảy máu sẽ diễn ra thường xuyên hơn.
Cách khắc phục chảy máu chân răng khi đánh răng
Khi đánh răng bị chảy máu, tốt nhất bạn nên ghé qua phòng khám răng gần nhất để điều trị sớm nhất có thể. Nếu chưa sắp xếp được thời gian đến nha khoa, bạn có thể áp dụng các biện pháp khắc phục tại nhà sau đây:
Sử dụng nước muối
Sử dụng nước muối để súc miệng là biện pháp điều trị viêm nhiễm trong khoang miệng dễ thực hiện nhất. Bởi muối có khả năng khử trùng, kháng viêm, tiêu diệt vi khuẩn gây bệnh và làm dịu cảm giác đau.
Bạn có thể tự pha nước muối hoặc tốt nhất là nên dùng nước muối sinh lý để súc miệng hàng ngày sau các bữa ăn để làm sạch vi khuẩn gây hại, hạn chế chảy máu nướu răng.
Sử dụng tinh dầu bạc hà

Dùng tinh dầu bạc hà để giảm chảy máu chân răng
Tinh dầu bạc hà có chứa hoạt chất kháng khuẩn tự nhiên, hương thơm tươi mát giúp giảm tình trạng sưng tấy và loại bỏ mùi hôi trong khoang miệng.
Cách thực hiện rất đơn giản, bạn chỉ cần lấy một vài giọt tinh dầu này thoa lên vị trí nướu bị tổn thương và massage nhẹ nhàng. Áp dụng đều đặn mỗi ngày 2 lần để đạt được hiệu quả.
Sử dụng bột quế
Thành phần của quế có khả năng diệt khuẩn mạnh, điều trị sâu răng và ngăn chặn viêm nướu. Hơi thở của bạn cũng sẽ trở nên thơm mát sau khi sử dụng loại dược liệu này.
Hướng dẫn thực hiện: Pha lượng bột quế vừa đủ với một chút nước rồi bôi lên nướu răng. Giữ nguyên khoảng 2 phút rồi rửa lại bằng nước sạch.
Bổ sung các thực phẩm giàu canxi vào bữa ăn hàng ngày

Nên bổ sung các thực phẩm giàu canxi vào bữa ăn hàng ngày
Sữa, các món ăn từ sữa, cá mòi, cá hồi, hạnh nhân, các loại đậu, rau lá xanh,… là các thực phẩm giàu canxi, rất có lợi cho xương, tăng độ chắc khỏe cho răng và nướu. Bổ sung đầy đủ lượng canxi cần thiết sẽ giúp hàn gắn khoảng trống trong nướu, khu vực vi khuẩn tích tụ và sinh sôi. Điều này giúp làm giảm tình trạng sưng tấy, ửng đỏ và hạn chế chảy máu chân răng nhanh chóng.
Các thông tin về nguyên nhân và cách điều trị chảy máu chân răng trên đây chắc hẳn đã giúp bạn hiểu hơn về vấn đề sức khỏe này rồi đúng không. Nếu còn băn khoăn cần giải đáp, bạn có thể liên hệ với Nha khoa Nhân Tâm theo số điện thoại 1900 56 5678 để được hỗ trợ miễn phí nhé.



