Chân răng bị mòn là tình trạng men răng tại vùng cổ chân răng bị mòn đi và tạo thành rãnh sâu, lõm trên răng đồng thời làm xuất hiện khoảng trống giữa các răng.
Tình trạng này có thể xảy ra do di truyền, biến chứng của một số bệnh lý toàn thân, cách chăm sóc răng miệng không đúng, thường xuyên cắn vật cứng, sử dụng thực phẩm có tính axit cao, nhiều đường,…
Lúc này bạn có thể lựa chọn trám răng hoặc bọc răng sứ để khôi phục thẩm mỹ và cải thiện chức năng ăn nhai.
Thế nào là mòn chân răng?
Chân răng bị mòn hay mòn cổ chân răng là tình trạng men răng tại vùng cổ chân răng bị mòn đi và tạo thành rãnh sâu, lõm trên răng đồng thời làm xuất hiện khoảng trống giữa các răng. Mòn chân răng thường xảy ra ở khu vực răng cửa, răng nanh và các răng tiền hàm.
Bệnh lý này không chỉ gây mất thẩm mỹ mà còn tạo cảm giác ê buốt, khiến việc ăn nhai trở nên khó khăn, thời gian dài sẽ khiến răng bị lung lay và thậm chí là mất răng sớm.

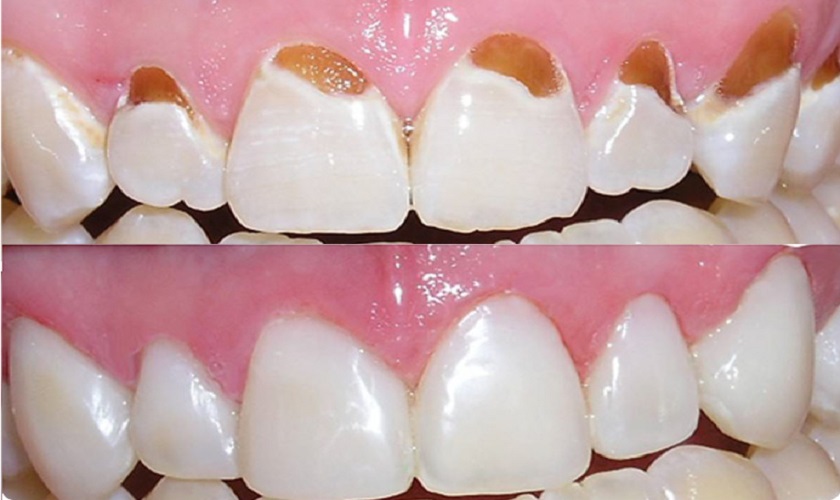
Hiện tượng chân răng bị mòn
Chân răng bị mòn do nguyên nhân nào?
Men răng trên thực tế vẫn sẽ mòn đi do sự ma sát khi ăn nhai và ảnh hưởng của các chất trong khoang miệng. Kích thước của răng sẽ giảm đi theo thời gian và mức độ mòn nhiều hay ít còn tùy thuộc vào cơ địa từng người.
Tuy nhiên, quá trình ăn mòn chân răng vẫn có thể diễn ra nhanh hơn bình thường do các nguyên nhân sau:
- Chải răng với lực quá mạnh: Chải răng quá mạnh sẽ tạo ra ma sát lớn giữa bề mặt răng và bàn chải, từ đó đẩy nhanh tốc độ bào mòn men răng.
- Thường xuyên cắn vật cứng: Thói quen xấu này có thể khiến răng bạn bị nứt mẻ, gãy vỡ. Vậy nên nếu có thói quen dùng răng cắn vật cứng, nhai đá, cạy mở bao bì thực phẩm, nắp chai,… thì bạn nên bỏ ngay thói quen này để tránh làm hại đến sức khỏe răng miệng.
- Ăn nhiều đồ ngọt: Lượng đường có trong những đồ ngọt như bánh ngọt, kẹo, socola,… rất dễ tích tụ lại trên răng và sản sinh ra axit làm yếu men răng.
- Sử dụng thực phẩm có tính axit cao: Các kết quả nghiên cứu đã chỉ ra, nếu sử dụng quá nhiều các thực phẩm có thành phần axit như bưởi, cam, chanh, nước ngọt có gas,… mưn răng sẽ bị hòa tan.

Sử dụng quá nhiều thực phẩm có tính axit có thể dẫn đến mòn chân răng
- Sử dụng nhiều rượu, bia: Uống nhiều bia, rượu, say xỉn, nôn mửa khiến răng tiếp xúc thường xuyên với axit dạ dày, từ đó sẽ bị mài mòn nhanh hơn.
- Nghiến răng: Thói quen nghiến răng khiến hai hàm răng ma sát với nhau nhiều, răng cũng vì vậy mà bị mòn nhanh hơn.
Ngoài những nguyên nhân nêu trên, một số yếu tố khác cũng có thể khiến tình trạng mòn cổ chân răng ở một số người diễn ra nhanh hơn bình thường như di truyền, các bệnh lý toàn thân,…
Xem thêm: Răng mọc chồi – Nguyên nhân và giải pháp
Biện pháp khắc phục khi chân răng bị mòn
Phương pháp điều trị mòn chân răng thường được áp dụng là bọc răng sứ hoặc trám răng.
Bọc răng sứ
Phương pháp này thích hợp với hầu hết các trường hợp chân răng bị mòn. Bác sĩ sẽ mài cùi răng cần chữa trị theo một tỉ lệ thích hợp và gắn mão sứ ra bên ngoài.

Bọc răng sứ là biện pháp khắc phục hiệu quả cho những người bị mòn chân răng
Màu sắc, kích cỡ, hình dáng của răng sứ gần như tương đồng với răng thật nên sẽ đem lại cho người dùng tính thẩm mỹ cực kì cao.
Bọc răng sứ được nhiều khách hàng ưa chuộng nhờ:
- Thời gian điều trị nhanh chóng.
- Cường độ chịu lực cao, gấp tới 7 lần răng tự nhiên.
- Tuổi thọ lâu dài, thời gian sử dụng của những dòng răng sứ cao cấp có thể lên tới 25 năm.
- Tính thẩm mỹ hoàn hảo.
Trám răng
Biện pháp trám răng thường được chỉ định cho những người bị mòn cổ chân răng mức độ nhẹ, chưa ảnh hưởng tới tủy răng. Vật liệu trám răng chuyên dụng sẽ được sử dụng để lấp đầy những khoảng trống trên thân răng.
Miếng trám có công dụng như tấm “lá chắn”, ngăn cách mô răng thật với môi trường bên ngoài. Chấm dứt hiện tượng ê buốt và làm giảm nguy cơ mắc các bệnh lý liên quan đến răng miệng.

Trám răng khắc phục mòn cổ chân răng
Vật liệu trám răng được sử dụng phổ biến hiện nay là composite với các ưu điểm nổi bật như:
- Thời gian thực hiện nhanh chóng.
- Tính thẩm mỹ cao.
- Chi phí tiết kiệm.
- Độ bền cao.
- Ít xâm lấn tới răng thật, khả năng phục hình linh hoạt.
Chân răng bị mòn không chỉ gây ảnh hưởng đến thẩm mỹ của hàm răng, gương mặt mà còn kéo theo nhiều nguy cơ về sức khỏe răng miệng. Vậy nên bạn hãy loại bỏ các thói quen xấu, xây dựng khẩu phần ăn khoa học để phòng tránh tình trạng này và hãy nhanh chóng tới trung tâm nha khoa gần nhất để thăm khám khi phát hiện răng có biểu hiện bất thường nhé.



