Bọc răng sứ thẩm mỹ được xem là phương pháp làm đẹp được rất nhiều khách hàng tin tưởng lựa chọn. Bọc răng sứ mang lại cho bạn một hàm răng trắng đều, khỏe đẹp, sáng bóng và bền chắc, giúp bạn tự tin trước đám đông. Không những thế, răng sứ còn đảm bảo khả năng ăn nhai như răng thật, bảo vệ răng thật tốt nhất.
Khi nào nên bọc răng sứ?
Bọc răng sứ là một trong những kỹ thuật trồng răng giả cố định. Trong đó, các bác sĩ sẽ chụp thân răng giả được làm hoàn toàn bằng sứ hoặc sườn kim loại vỏ sứ lên trên các răng thật đã được mài chỉnh theo một tỷ lệ phù hợp để khôi phục, thiết kế lại hình dáng, màu sắc của các răng.
Theo khuyến cáo của bác sĩ chuyên khoa thì không phải ai cũng có thể phù hợp để bọc răng sứ thẩm mỹ. Tùy vào từng tình trạng khiếm khuyết của răng mà các bác sĩ sẽ tư vấn phương pháp điều trị phù hợp sau khi có kết quả thăm khám, chụp phim cụ thể.
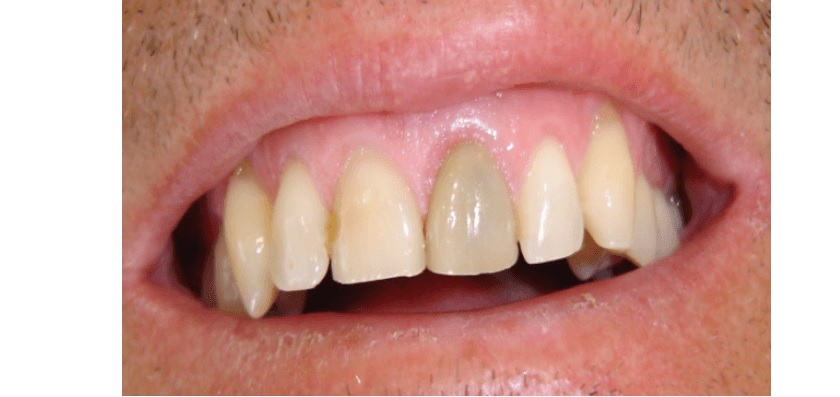
Thông thường, bọc răng sứ sẽ được chỉ định thực hiện khi:
- Răng bị nhiễm màu Tetra, Fluor nặng mà không thể tẩy trắng răng được.
- Răng mọc lệch lạc, hở kẽ.
- Răng bị gãy vỡ, sứt mẻ lớn.
- Răng bị sâu, viêm tủy, chết tủy.
- Răng hô, móm nhẹ.
- Răng thưa, ngắn.

Những trường hợp được chỉ định phục hình răng sứ
Bọc răng sứ có hại không?
Bọc răng sứ chỉ thực hiện các thao tác bên ngoài phía men răng. Không gây bất kỳ tác động gì lên cấu trúc của răng cũng như các mô mềm trong khoang miệng. Do đó bọc răng sứ sẽ không gây bất kỳ nguy hại nào cho người dùng.
Khi thực hiện bọc răng sứ đúng kỹ thuật với quy trình đảm bảo đúng tiêu chuẩn sẽ mang lại nhiều lợi ích đáng kể như:
- Mão răng sứ có màu sắc tương tự như răng thật, giúp cải thiện các khiếm khuyết về màu sắc của các răng, giúp chúng được trắng sáng và đều màu hơn.
- Chức năng ăn nhai được khôi phục chắc chắn như bình thường thậm chí còn tốt hơn trước, không làm mất độ cảm biến của thức ăn giúp bạn thỏa thích thưởng thức vị ngon của món ăn.
- Độ bền của các loại răng sứ được làm từ chất liệu cao cấp khá cao, có thể tồn tại hơn hàng chục năm trong môi trường miệng nếu được chăm sóc đúng cách.
- Việc bọc răng sứ bên ngoài sẽ giúp bảo vệ răng thật khỏi sự tấn của mảng bám, vi khuẩn xâm nhập, ngăn ngừa các bệnh lý răng miệng có thể xảy ra.
Bọc răng sứ có thể gây ra những biến chứng gì?
Bọc răng sứ nếu như không có chỉ định của bác sĩ và thực hiện tại nha khoa kém uy tín sẽ dẫn đến nhiều biến chứng khó lường như:
Răng ê buốt, khó chịu
Khi thao tác mài cùi xâm lấn quá nhiều đến răng thật sẽ làm lộ ngà răng. Từ đó răng sẽ trở nên nhạy cảm, khó chịu khi ăn uống nhất là với các món ăn nóng hoặc lạnh.
Gây chết tủy răng
Nếu kỹ thuật mài răng của bác sĩ không tốt có thể làm tổn thương đến tủy răng, thậm chí gây chết tủy và hư hỏng răng vĩnh viễn.

Răng bị chết tuỷ
Gây viêm nướu
Nhiều bệnh nhân sau khi bọc sứ có cảm giác cộm cấn, không thoải mái. Điều này là do tỷ lệ mài răng không chuẩn xác dẫn đến sưng lợi, viêm nướu gây đau nhức dai dẳng. Với những ai có cơ địa nhạy cảm nếu bọc răng sứ kim loại có nguy cơ bị kích ứng và viêm nhiễm ở vùng quanh chân răng.
Gây các bệnh lý răng miệng
Bọc răng sứ không sát khít sẽ dẫn đến tình trạng thức ăn bị nhồi nhét nhiều. Nếu không vệ sinh kỹ lưỡng sẽ làm cho vi khuẩn tích tụ nhiều gây mùi hôi khó chịu ở khoang miệng. Đồng thời dễ phát sinh nhiều bệnh lý răng miệng như sâu răng, viêm nha chu,…
Xem thêm: Sau khi bọc răng sứ nên làm gì để giữ răng bền đẹp?
Lưu ý sau khi bọc răng sứ
Sau khi bọc răng sứ, để đảm bảo duy trì được thời gian sử dụng răng sứ bền đẹp lâu dài bạn hãy lưu ý các vấn đề sau đây:
- Trong thời gian đầu chưa thích nghi với những chiếc răng mới, bạn chỉ nên ăn những thực phẩm mềm, lỏng, dễ nhai,… sau đó tăng từ từ mức độ cứng của thức ăn lên.
- Trên thực tế, các loại thực phẩm quá cứng sẽ không tốt cho răng thật, kể cả răng sứ. Do đó, bạn nên tránh dùng những đồ ăn quá cứng để bảo vệ hàm răng một cách tốt nhất.
- Không nên dùng răng như một công cụ để mở nắp chai, cắn xé bao bì,…

Chấm dứt việc dùng răng như công cụ mở nắp chai
- Hạn chế sử dụng bia rượu, thuốc lá, cà phê, nước ngọt có gas… vì chúng vừa có hại cho sức khỏe và cũng sẽ ảnh hưởng nhiều đến men răng.
- Nên sử dụng bàn chải có lông mềm. Chải răng với lực vừa đủ, nhẹ nhàng theo chiều dọc để vừa tăng cường hiệu quả làm sạch nhưng lại không gây hại cho răng.
- Sử dụng chỉ tơ nha khoa để làm sạch thức ăn còn sót lại tại những vị trí mà bàn chải không thể tiếp cận được.
- Đồng thời kết hợp dùng thêm dung dịch súc miệng hoặc nước muối sinh lý để làm sạch sâu các vi khuẩn còn tồn đọng.
- Duy trì thói quen thăm khám nha khoa định kỳ 6 tháng 1 lần, kể cả khi không có bất kỳ vấn đề nào về răng miệng để bác sĩ cạo vôi, vệ sinh răng miệng định kỳ. Đồng thời kiểm tra độ khít sát của răng sứ, chủ động khắc phục sớm khi có dấu hiệu bất thường.

Bạn cần duy trì thói quen thăm khám nha khoa định kỳ mỗi 6 tháng/lần
Nếu bạn có nhu cầu tư vấn hoặc sử dụng dịch vụ bọc răng sứ chất lượng, hãy liên hệ đến với Nha khoa Nhân Tâm. Tại đây, bạn sẽ được các Bác sĩ có chuyên môn hàng đầu trong lĩnh vực chăm sóc răng miệng tư vấn và đưa ra phương pháp bọc răng sứ phù hợp với bạn nhất.




