Sâu răng trẻ em có thể xảy ra do nhiều nguyên nhân, nếu không được chữa trị sớm có thể lây lan vào tủy, gây viêm tủy, nhiễm trùng và có nguy cơ mất răng vĩnh viễn. Khi nhận thấy trẻ có những dấu hiệu sâu răng ở trẻ em, bạn nên nhanh chóng đưa trẻ đến nha khoa để thăm khám và chữa trị kịp thời.
Nguyên nhân sâu răng trẻ em
Sâu răng là thương tổn do sự tấn công của vi khuẩn trong khoang miệng. Những vi khuẩn này sản sinh ra acid, tấn công vào men răng làm hình thành lỗ sâu trên bề mặt răng, tạo ra cảm giác đau nhức. Nếu không được chữa trị kịp thời, sâu răng sẽ ngày càng lan rộng, gây nhiễm trùng và thậm chí mất răng. Nói cụ thể hơn, khi ăn uống, các mảnh vụn thức ăn có thể giắt lại trong kẽ răng. Các vi khuẩn cư trú trong miệng sẽ lên men carbohydrate trong vụn thức ăn và sản sinh ra acid. Acid sẽ ăn mòn, làm răng bị thương tổn và hình thành lỗ sâu.
Một số nguyên nhân gây nên sâu răng ở trẻ em bao gồm:
- Thói quen ăn nhiều đồ ngọt.
- Thiếu hụt Fluoride do chế độ ăn hoặc sử dụng nguồn nước không có khoáng chất này.
- Thói quen bú bình vào ban đêm khiến sữa và đường bám trên răng nhiều giờ, tạo cơ hội cho vi khuẩn phát triển.
- Vệ sinh răng miệng kém.
- Do các vấn đề khác về sức khỏe như dị ứng mạn tính khiến trẻ phải thở bằng miệng dẫn đến khô miệng, gia tăng nguy cơ sâu răng.

Nguyên nhân sâu răng trẻ em
Các biểu hiện sâu răng ở trẻ em
Sâu răng trẻ em thường không có biểu hiện cụ thể trong giai đoạn đầu. Bệnh lý này thường chỉ được phát hiện khi răng đã xuất hiện những lỗ sâu nhỏ màu đen hoặc nâu, nướu răng bị sưng và đau nhức. Bên cạnh đó, trẻ nhỏ cũng có thể có những biểu hiện khác như:
- Đau khi cắn hoặc nhai thức ăn.
- Răng nhạy cảm, nhất là khi tiếp xúc với các thực phẩm quá lạnh hoặc quá nóng.
- Cảm giác đau nhức thường đến bất chợt.
- Có mùi hôi trong hơi thở.
Nếu phát hiện trẻ có những biểu hiện trên, tốt nhất cha mẹ nên đưa trẻ tới nha khoa để được các bác sĩ kiểm tra, chẩn đoán vấn đề răng miệng và có biện pháp chữa trị kịp thời, phòng tránh trường hợp sâu răng tiến triển nặng gây ra biến chứng phức tạp, ảnh hưởng tới sức khỏe của trẻ nhỏ.
Điều trị sâu răng trẻ em
Sâu răng trẻ em hoàn toàn có thể được chữa trị dứt điểm nếu áp dụng đúng biện pháp. Sau khi thăm khám, các bác sĩ sẽ chỉ định kỹ thuật điều trị thích hợp với tình trạng răng của từng trẻ.
Bổ sung fluoride
Kỹ thuật này sẽ giúp phục hồi các thương tổn hại men răng khi răng mới chớm sâu ở giai đoạn đầu. Trẻ có thể được bôi fluoride dạng bọt, gel để bao phủ lỗ sâu nhỏ và cung cấp các chất khoáng cần thiết cho răng. Bên cạnh đó, bác sĩ cũng có thể chỉ định trẻ dùng kem đánh răng chứa flour, góp phần chữa lành thương tổn, phục hồi hiệu quả bề mặt răng.
Trám răng

Điều trị sâu răng ở trẻ em bằng trám răng
Trường hợp răng của trẻ đã có lỗ sâu lớn nhưng chưa gây ảnh hưởng đến tủy răng, bác sĩ sẽ trám răng cho trẻ để ngăn sâu răng lan rộng, bảo vệ những chiếc răng khác. Chất liệu dùng để trám răng có thể là composite hoặc sứ,…
Điều trị tủy răng
Sâu răng mức độ nặng có thể kéo theo tình trạng viêm tủy răng, khiến răng bị hư hại nặng nề và rất có thể phải nhổ răng. Nếu vẫn còn có khả năng bảo tồn, bác sĩ sẽ thực hiện làm sạch phần tủy đã nhiễm trùng và trám bít lại. Tùy theo mức độ thương tổn mà bác sĩ có thể cân nhắc các kỹ thuật khác.
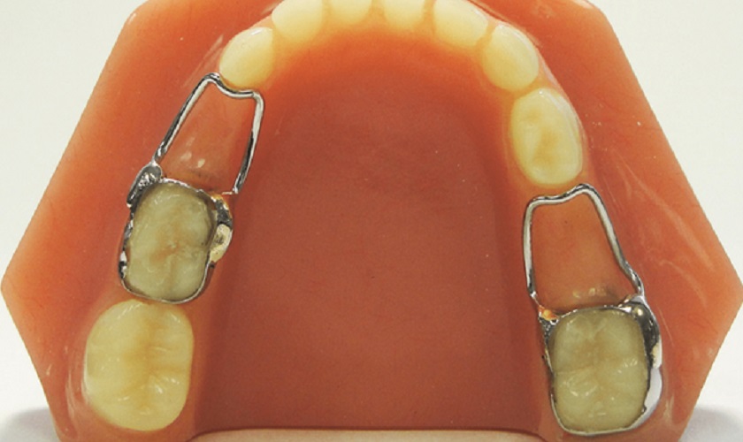
Nhổ răng sâu
Trong trường hợp răng sâu đã hư hại nặng, không thể phục hồi lại được do nhiễm trùng thì có thể cần phải nhổ răng để tránh lây nhiễm sang các răng khác. Việc mất răng vĩnh viễn gây ảnh hưởng không hề nhỏ tới chức năng ăn nhai và thẩm mỹ nên cần cân nhắc việc phục hình lại răng, đeo hàm giữ khoảng để cấy ghép Implant sau này cho trẻ nhỏ.

Đeo hàm giữ khoảng để cấy ghép Implant phục hình răng mất khi trẻ đủ tuổi
Mong rằng những thông tin mà Nha khoa Nhân Tâm cung cấp trên đây đã giúp các bậc cha mẹ hiểu hơn về bệnh lý sâu răng trẻ em. Đừng quên chọn lựa địa chỉ khám Răng Hàm Mặt chất lượng, đáng tin cậy để quá trình điều trị cho trẻ nhỏ an toàn và đạt hiệu quả cao cha mẹ nhé.



